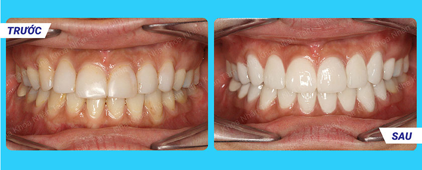
Bọc răng sứ sẽ giúp bệnh nhân sở hữu hàm răng đẹp và chắc khỏe sau khi điều trị các bệnh về răng miệng như sâu răng, mẻ răng… hoặc vấn đề về hàm như răng hô hoặc móm nhẹ.
Nhờ có răng sứ, bệnh nhân không còn e ngại vấn đề răng nứt, vỡ, mẻ hoặc xỉn màu… Họ sẽ có hàm răng đẹp, trắng sáng và tự tin với nụ cười hoàn hảo. Vấn đề về tuổi thọ răng sứ vẫn là mối bận tâm chung của rất nhiều bệnh nhân.
Làm sao để bảo vệ răng sứ luôn bền đẹp? Bọc răng sứ ở đâu tốt? Hãy cùng Nha khoa Nhân Tâm tìm lời giải đáp ngay sau đây.
Cấu tạo của răng sứ
Răng sứ có cấu tạo hai phần bao gồm:
Phần lõi là khung nâng đỡ phần sứ bên ngoài có thể được làm bằng kim loại hoặc sứ.
Phần sứ bên ngoài là phần sứ phủ có màu sắc tương thích với màu răng thật.
Răng sứ không chỉ có tính thẩm mỹ cao, giúp bệnh nhân khôi phục lại vẻ đẹp cho hàm răng và nụ cười, mà còn có độ bền chắc cao, khả năng chịu lực tốt, hỗ trợ phục hồi chức năng ăn nhai hiệu quả.
Tuổi thọ răng sứ sẽ phụ thuộc vào những yếu tố bao gồm:
Loại răng sứ mà bệnh nhân chọn
Vật liệu tạo nên răng sứ cần phải có đặc tính quang học ưu việt, thẩm mỹ cao, cứng chắc và đảm bảo có tính tương hợp sinh học tốt với nướu răng. Trong nhiều vật liệu chế tác sứ hiện nay, nguyên liệu Zirconia và Cercon được đánh giá tốt nhất.

Dòng răng sứ kim loại được nhiều bệnh nhân lựa chọn nhờ giá thành tốt. Tuy nhiên, nhược điểm là răng sứ kim loại sẽ bị oxi hóa với môi trường trong khoang miệng làm đen viền nướu, không đảm bảo yếu tố thẩm mỹ sau một thời gian sử dụng.
Trong khi đó, răng toàn sứ khắc phục được nhược điểm của răng sứ kim loại, có vẻ đẹp tự nhiên như răng thật và tuổi thọ cao.
Chính vì thế, nếu bệnh nhân muốn giữ cho kết quả phục hình răng lâu dài thì nên cân nhắc dùng răng toàn sứ.
Bệnh nhân có thể cân nhắc đến dịch vụ làm răng sứ thẩm mỹ chất lượng tại Sài Gòn khi quyết định bọc răng sứ, Bác sĩ sẽ tư vấn loại sứ và màu răng sứ phù hợp cho tình trạng răng miệng của bạn.
Tham khảo: Giá răng sứ tại Nha Khoa Nhân Tâm
Tình trạng răng miệng của bệnh nhân
Nếu bệnh nhân có răng chắc khỏe, không điều trị tủy trước khi bọc sứ thì răng sứ sẽ có độ bền chắc tốt như răng thật. Ngược lại, nếu răng đã từng bị chấn thương, chân răng thật cũng bị yếu đi và răng sứ dễ bị tổn thương hơn.
Ngoài ra, bệnh nhân cần điều trị các bệnh lý về răng miệng trước khi bọc răng sứ để đảm bảo an toàn cho quá trình bọc sứ, cũng như giúp kéo dài tuổi thọ răng sứ.
Tuổi thọ của răng sứ sẽ chịu tác động một phần từ sức khỏe răng miệng của bệnh nhân. Do đó, chăm sóc răng miệng đúng cách sẽ giúp cho tuổi thọ răng sứ kéo dài.


Kỹ thuật bọc sứ của bác sĩ
Trước khi bọc răng sứ, Bác sĩ cần mài răng thật để làm cùi răng, tỉ lệ mài đạt chuẩn, không phạm khoảng sinh học và an toàn cho răng.
Kỹ thuật mài cùi răng đòi hỏi sự tỉ mỉ và tinh tế của Bác sĩ vì nếu mài cùi răng quá mỏng sẽ khiến cùi răng không giữ được răng sứ lâu, còn nếu mài cùi răng quá dày thì lại khiến cho bệnh nhân thấy cộm khi dùng răng sứ. Kế đến, để phục hình răng đẹp, Bác sĩ cần lấy dấu hàm và lắp răng sứ chính xác.
Ngoài ra, tay nghề của kỹ thuật viên chế tác răng sứ cũng đóng vai trò quan trọng đối với tuổi thọ răng sứ. Kỹ thuật viên phải có trình độ cao để tạo hình dáng, màu sắc răng sứ phù hợp, chuẩn khớp tỷ lệ dấu hàm.
Nha khoa Nhân Tâm xây dựng phòng Lab hiện đại, chế tác răng sứ ngay tại phòng khám, tạo sự thuận tiện cho bệnh nhân trong quá trình phục hình răng.

Đội ngũ Bác sĩ tại Nha khoa Nhân Tâm đã có hơn 23 năm kinh nghiệm, am hiểu về răng sứ và có thẩm mỹ tinh tế. Chúng tôi sẽ tư vấn loại răng sứ cũng như kiểu dáng răng phù hợp cho bệnh nhân để đảm bảo thẩm mỹ hoàn thiện.
Hãy đến nha khoa tốt ở Sài Gòn - Nha Khoa Nhân Tâm để làm răng sứ đẹp, tuổi thọ cao.



