Chỉnh nha hay niềng răng là một thuật ngữ được sử dụng rộng rãi trong nha khoa để nói về kỹ thuật dịch chuyển răng về đúng vị trí trên cung hàm bằng cách dùng những khí cụ nha khoa chuyên dụng, khắc phục các tình trạng răng hô, móm, thưa, lệch lạc, sai khớp cắn.
Thông thường, quá trình niềng răng có thể mất 18 - 24 tháng, có thể nhanh hoặc lâu hơn tùy theo mức độ lệch lạc của răng và phương pháp chỉnh nha mà bệnh nhân lựa chọn. Lựa chọn địa chỉ niềng răng chất lượng sẽ giúp bạn niềng răng hiệu quả, an toàn, tiết kiệm thời gian và chi phí tối đa khi niềng răng.
Có nên niềng răng không?
Niềng răng là phương pháp can thiệp tự nhiên có khả năng tác động đáng kể đến tính thẩm mỹ của khuôn mặt, ngăn ngừa nguy cơ mắc một số bệnh răng miệng cũng như cải thiện chức năng nhai. Chính vì vậy, nếu bạn đang gặp một số vấn đề về sai lệch răng hàm, lựa chọn phương pháp niềng răng là điều cần thiết.
Niềng răng có đau không?
Niềng răng có đau không là thắc mắc của hầu hết khách hàng trước khi thực hiện niềng răng. Thực thế thì cơ chế của quá trình niềng răng là sử dụng mắc cài hoặc khay niềng tạo ra lực kéo giúp răng di chuyển về đúng vị trí trên cung hàm. Chính vì vậy, thời gian đầu khi niềng răng, những cơn đau là không thể tránh khỏi. Tuy nhiên, nếu lựa chọn phương pháp niềng răng phù hợp, thực hiện tại các đơn vị nha khoa uy tín, cơn đau có thể giảm đến mức tối thiểu.
Sau khoảng 2 tuần, khi đã quen hoàn toàn với các khí cụ nha khoa, bạn sẽ không còn cảm thấy đau nhức và ăn uống như bình thường.
Xem thêm: Niềng răng giúp gì cho sức khỏe răng miệng của bạn?
Các trường hợp nên niềng răng
Ngoài việc xác định khi nào nên niềng răng, tìm hiểu trường hợp nào cần niềng răng là yếu tố quan trọng tiếp theo bạn cần quan tâm. Một số trường hợp nên niềng răng phổ biến nhất gồm:
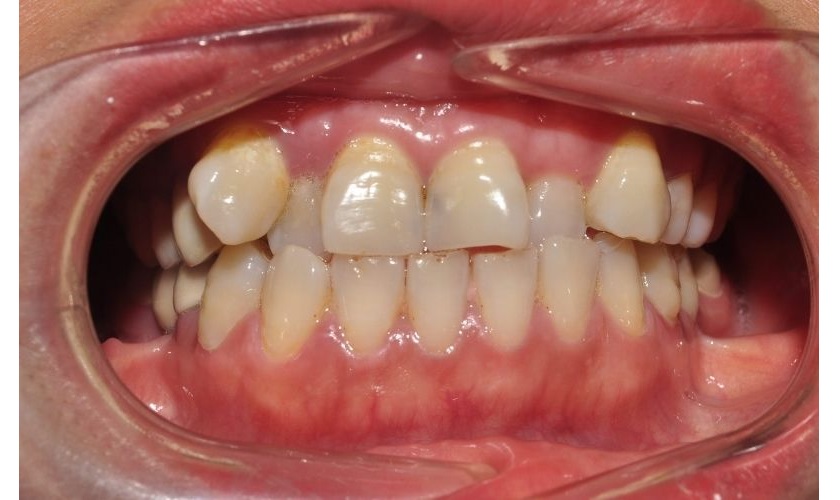
Răng khấp khểnh, chen chúc
Răng khấp khểnh chen chúc là một trong những trường hợp khá phổ biến nên thực hiện niềng răng. Đây là tình trạng răng mọc không đúng vị trí, chìa ra, thụt vào hoặc mọc chồng lên nhau trên khung hàm gây mất thẩm mỹ. Ngoài ra, tình trạng này cũng ảnh hưởng không nhỏ đến quá trình cách chăm sóc răng miệng khi niềng răng, dễ dẫn đến tình trạng ố vàng hoặc sâu răng.

Răng khấp khểnh, chen chúc là một trong những trường hợp nên tiến hành niềng răng
Răng thưa, hở kẽ
Răng thưa, hở kẽ là tình trạng có khoảng cách lớn giữa hai răng, dễ khiến thức ăn bị giắt kẽ, làm ảnh hưởng đến việc phát âm. Về lâu dài, do tác động của việc ăn nhai làm răng yếu và dễ lung lay hơn thông thường.
Phương pháp niềng răng thưa sử dụng hệ thống mắc cài hoặc khay niềng trong suốt cố định trên răng nhằm tác dụng lực giúp cho răng được sát và khít với nhau hơn.
Răng cắn hở, hai hàm không chạm nhau
Đặc điểm của tình trạng này là hai hàm không thể chạm được vào nhau, gây khó khăn cho việc ăn nhai, phát âm đồng thời dễ dẫn đến rất nhiều bệnh răng miệng khác. Thông thường tình trạng này là do những thói quen xấu khi còn nhỏ như đẩy lưỡi, thở miệng, mút ngón tay… gây ra.
Răng hô
Răng hô thực chất là một bệnh lý về khớp cắn, các răng nằm không đúng vị trí khiến khả năng ăn nhai gặp khó khăn, ảnh hưởng lớn đến tính thẩm mỹ. Đặc điểm của tình trạng này là hàm trên chìa ra, hàm dưới thụt vào rõ rệt làm mất đi sự cân đối trên khuôn mặt.
Răng móm, khớp cắn ngược
Răng móm là tình trạng hàm trên thụt vào, hàm dưới nhô ra làm khuôn mặt mất đi sự cân đối vốn có. Tương tự như răng hô vẩu, răng móm khiến việc ăn nhai và phát âm khó khăn hơn rất nhiều.
Lợi ích của niềng răng sớm là gì?
Có thể nói, câu trả lời chính xác nhất cho câu hỏi khi nào nên niềng răng chính là thực hiện càng sớm càng tốt. Bởi lẽ khi can thiệp sớm, thời gian niềng sẽ được rút ngắn đáng kể, góp phần đơn giản hóa biện pháp tác động đến răng hàm. Các bác sĩ sẽ có đủ thời gian tác động đến sự dịch chuyển của răng, giúp đưa răng về vị trí phù hợp trên cung hàm theo cách ít đau nhức, mang lại hiệu quả tối ưu.

Tiến hành niềng răng càng sớm thì hiệu quả chỉnh nha đạt được càng cao
Với tâm huyết và lòng yêu nghề của đội ngũ bác sĩ tại phòng khám, nha khoa Nhân Tâm luôn mang đến cho khách hàng chất lượng phục vụ tốt nhất. Cùng với đó là sự hỗ trợ từ trang thiết bị hiện đại, không gian khám chữa bệnh vô trùng. Trong quá trình khám chữa áp dụng các biện pháp gây tê giảm đau giúp khách hàng cảm thấy thoải mái khi thăm khám cũng như không gây ra tác dụng phụ từ thuốc.




