Tái tạo gai nướu trong khi phục hình sứ để có nụ cười đẹp
Chức năng và cấu tạo của nướu răng
Ts.Bs Võ Văn Nhân - Giám đốc Trung tâm Nha khoa Nhân Tâm cho biết, nướu là một phần của các mô niêm mạc miệng, bao quanh răng và có chức năng bảo vệ cho răng. Nướu gắn bó chặt chẽ với xương hàm nên chống lại được sự ma sát của thực phẩm trong quá trình ăn nhai. Về cấu tạo, nướu răng bao gồm 3 phần:
Nướu tự do
Đây là phần nướu bao quanh vùng cổ răng tựa như một chiếc nhẫn, giới hạn với nướu dính bằng một rãnh nhỏ (rãnh nướu rời). Nướu này được gọi là nướu tự do vì có thể tách ra khỏi mặt răng bởi cây thăm dò.
- Khe nướu: Có hình chữa V, là một rãnh nhỏ và hẹp, là nơi tiếp xúc giữa mặt răng và nướu, tương tự như nướu tự do, khe nướu cũng bao xung quanh răng. Một khe nướu bình thường có chiều sâu khoảng 0 – 3,5 mm, lý tưởng nhất là 0mm. Biểu mô ở khe nướu rất mỏng và không được hóa sừng nên vi khuẩn rất dễ xâm nhập vào gây nên viêm nướu. Do đó, khe nướu chính là nơi chủ yếu làm xuất phát viêm nướu.
- Gai nướu (nướu kẽ răng): Có hình tháp và là phần nướu giữa 2 răng. Gai nướu quá to hoặc trường hợp không có gai nướu thì cũng rất mất thẩm mỹ, gây đọng lại thức ăn, tạo ra các hố ở vùng kẽ răng khiến bệnh nha chu hình thành.

Nướu dính
Đây là nướu ở kế tiếp nướu tự do, kéo dài đến vùng niêm mạc di động. Chiều rộng của nướu dính trong khoảng 0.5 – 6 mm, chúng không bị thay đổi, di động dưới áp lực của ăn nhai mà bám chắc vào xương ổ răng.
Xem thêm: Dán răng sứ Veneer - Giải pháp cho việc điều trị kẽ hở răng
Dây chằng nướu
Dây chằng nướu hay còn gọi là dây chằng nha chu, là một cấu trúc bao xung quanh răng, gắn kết chặt chẽ gốc răng và xương ổ răng. Chức năng quan trọng của dây chằng nướu là giữ chặt răng chắc chắn trong xương ổ răng, duy trì quan hệ về mặt sinh lý giữa răng và xương ổ răng.
Vì sao nên tái tạo gai nướu trong phục hình sứ?
Khi mất răng được một thời gian, nướu răng có xu hướng bị teo lại và biến dạng. Chính vì thế, nếu phục hình sứ xong mà không can thiệp thẩm mỹ để tái tạo vùng nướu thì khi cười, bạn sẽ cảm thấy không tự tin, người khác nhìn vào cũng dễ nhận thấy bạn đang sử dụng răng giả.
Hạn chế được những bệnh lý về răng miệng và ngăn ngừa các biến chứng khó lường từ các vấn đề về sức khỏe răng miệng của bạn sau khi phục hình sứ. Bổ trợ cho quá trình phục hình răng sứ, giúp hàm răng trở nên tự nhiên, thẩm mỹ, giao tiếp tự tin và hiệu quả hơn.

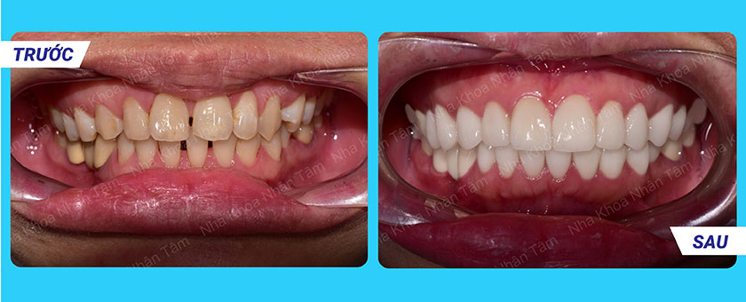
Khách hàng bọc sứ tại Nha Khoa Nhân Tâm
Bạn có thể hoàn toàn yên tâm rằng quá trình tái tạo gai nướu trong phục hình sứ sẽ không mất quá nhiều thời gian cũng như bạn sẽ không cảm thấy đau đớn, khó chịu. Bởi trước khi thực hiện, Bác sĩ sẽ sử dụng thuốc tê để làm mất cảm giác ở vùng nướu cho bạn. Hơn nữa, nếu được thực hiện bởi Bác sĩ giỏi và sự trợ giúp của máy móc, trang thiết bị hiện đại thì bạn có thể yên tâm về quá trình tái tạo nướu cũng như kết quả nhận được sau khi thực hiện.
NHA KHOA NHÂN TÂM – TRUNG TÂM RĂNG SỨ THẨM MỸ UY TÍN
- Đội ngũ Bác sĩ nha khoa thẩm mỹ trên 20 năm kinh nghiệm tốt nghiệp từ các trường đại học danh tiếng trong nước và Quốc tế
- Hệ thống vô trùng nha khoa theo đúng chuẩn
- Chất liệu răng sứ cao cấp được nhập khẩu trực tiếp từ châu Âu, phục hình bền, đẹp theo thời gian và tuyệt đối an toàn với cơ thể bệnh nhân
- Công nghệ LAB hiện đại tại nha khoa, thực hiện đúng thông số kỹ thuật, đảm bảo độ tương khít và bền đẹp của mặt dán sứ Veneer
- Dịch vụ chất lượng cao, chăm sóc khách hàng tận tâm.



