Làm răng sứ bị thâm nướu có thể xảy ra do nhiều nguyên nhân, trong đó chủ yếu là sự oxy hóa của lớp khung sườn bên trong răng sứ kim loại, vệ sinh răng miệng sai cách, kỹ thuật bọc sứ không tốt, chất lượng sứ kém, thói quen hút thuốc lá,…
Lúc này, bạn nên tới trung tâm nha khoa để bác sĩ thăm khám, đánh giá tình trạng răng và chỉ định phương án khắc phục phù hợp. Các biện pháp thường được áp dụng là làm răng toàn sứ thay cho răng sứ kim loại, thay đổi thói quen vệ sinh răng, bỏ thuốc lá,…
Làm răng sứ bị thâm nướu – nguyên nhân là gì?
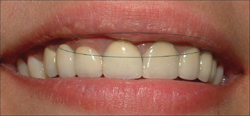
Sau khi bọc răng sứ, ngoài hình dáng, màu sắc, kích cỡ của răng sứ thì màu sắc của nướu cũng là yếu tố được không ít khách hàng quan tâm chú ý. Nướu khỏe mạnh sẽ mang màu sắc hồng cam, săn chắc, không có hiện tượng chảy máu khi thăm khám hoặc chải răng hàng ngày.
Một số trường hợp bọc sứ xong thì nướu có màu thâm đen, lý do xảy ra tình trạng này có thể là:
Kỹ thuật bọc không đúng và sứ kém chất lượng
Nếu tay nghề của bác sĩ không tốt, thao tác bọc sứ không đúng kỹ thuật hoặc chất lượng mão sứ không đảm bảo sẽ khiến chân răng lộ ra ngoài gây thâm đen tại viền nướu.
Sự oxy hóa của răng sứ kim loại
Các khách hàng sử dụng răng sứ kim loại sau một thời gian sẽ xảy ra hiện tượng oxy hóa của phần khung sườn kim loại bên trong răng sứ bởi sự tác động của môi trường axit trong khoang miệng. Đây chính là một trong những nguyên nhân dẫn đến làm răng sứ bị thâm nướu.
Bên cạnh đó, phần khung sườn kim loại luôn có màu sẫm, tối, khi dùng sẽ ánh lên các tổ chức quanh răng, nhât là vùng lợi.

Bọc răng sứ kim loại có thể gây thâm đen nướu sau một thời gian sử dụng
Làm sạch răng không đúng cách
Thói quen đánh răng theo chiều ngang và dùng lực quá mạnh có thể gây ra thương tổn cho lợi, khiến chúng kém săn chắc và sẫm màu dần, từ đó xuất hiện vệt thâm đen.
Xem thêm: Làm răng sứ có bị hôi miệng không?
Hút thuốc lá
Thành phần của khói thuốc có nicotin, chất này sẽ kích thích cơ thể sản sinh nhiều Melanin hơn bình thường. Melanin khi tích tụ tại mô lơi sẽ tạo thành mảng có màu thâm đen.
Thuốc lá không chỉ khiến răng sứ bị ngả màu mà còn là mối nguy hại đối với sức khỏe hệ tiêu hóa, làm tăng nguy cơ mắc các bệnh liên quan đến răng miệng, tim mạch, tai biến mạch máu não, ung thư phổi,…
Cách phòng tránh thâm đen nướu sau khi bọc sứ
Phụ thuộc vào nguyên nhân khiến làm răng sứ bị thâm nướu mà bác sĩ sẽ chỉ định những phương án khắc phục thích hợp:
Sử dụng răng toàn sứ thay vì răng sứ kim loại
Đối với các trường hợp bị thâm đen nướu sau khi bọc sứ do sử dụng răng sứ kim loại thì cách khắc phục hiệu quả nhất là bọc răng toàn sứ thay thế răng sứ kim loại. Tuy nhiên, bạn cần lựa chọn các sản phẩm sứ chất lượng cao, có nguồn gốc rõ ràng để đạt hiệu quả phục hình tối ưu nhất.
Bỏ thuốc lá
Nếu bạn đang hút thuốc lá, hãy bỏ ngay để giữ màu sắc răng sứ luôn trắng sáng, hơi thở thơm mát. Việc này không chỉ giúp bạn giữ gìn sức khỏe của mình mà còn bảo vệ sức khỏe của những người xung quanh.

Hãy bỏ thuốc lá để giữ gìn sức khỏe và độ bền đẹp của răng sứ
Tạo thói quen chăm sóc răng miệng khoa học
Nếu tình trạng thâm đen nướu sau khi bọc sứ của bạn là do vệ sinh răng sai cách thì bạn cần thay đổi thói quen cũ. Bạn cần chải răng theo chiều dọc bằng bàn chải lông mềm ít nhất 2 lần mỗi ngày. Kết hợp với chỉ nha khoa và nước súc miệng để làm sạch răng triệt để nhất.
Khám răng định kỳ
Bên cạnh việc làm sạch răng theo hướng dẫn của bác sĩ, bạn nên tới phòng khám nha khoa để khám răng định kỳ mỗi 3 đến 6 tháng, cạo vôi răng cung như đánh giá tình trạng răng sứ, điều trị kịp thời các vấn đề răng miệng nếu có.
Trên đây là những nguyên nhân và cách khắc phục tình trạng làm răng sứ bị thâm nướu. Để phòng tránh tình trạng này, bạn hãy tới phòng khám của Nha khoa Nhân Tâm để được các bác sĩ thăm khám, lên kế hoạch điều trị và tư vấn sản phẩm răng sứ phù hợp.



