Nguyên nhân gây ra tình trạng răng cửa thưa
Răng cửa thưa có thể do nhiều nguyên nhân gây nên, trong đó có thể kể đến như:
- Do thiếu mầm răng: Vì một lý do nào đó mà ở một số vị trí không có mầm răng phát triển như các răng khác. Khi đó, những vị trí thiếu mầm răng này sẽ không có thân răng nên bị trống, các răng kế cận mọc lên chiếm chỗ của khoảng trống thiếu răng nhưng lại không lấp kín hoàn toàn nên để lại các khe thưa. Thông thường nếu răng cửa thưa do nguyên nhân này thì khe thưa sẽ khá lớn.
- Do răng mọc ngầm: Răng mọc ngầm bên dưới chân răng cửa thay vì mọc trồi lên khỏi nướu khiến cho răng cửa bị ngăn cách, tạo nên khe hở nhỏ giữa hai răng.
- Do bệnh lý về răng miệng: Các bệnh lý như viêm nướu, mất răng đều là những vấn đề có thể khiến cho răng thưa dần. Bởi những bệnh lý này có thể dẫn đến tình trạng tiêu xương, tụt nướu, tạo cảm giác hàm răng không chỉ bị thưa mà còn như dài thêm.

Điều trị răng cửa thưa hiệu quả bằng niềng răng
Niềng răng được xem là giải pháp khắc phục những tình trạng khiếm khuyết của răng chứ không chỉ riêng gì răng cửa thưa. Phương pháp này mang lại hiệu quả cao, ổn định và có thể lâu dài mà không cần điều trị lại bằng cách sử dụng lực kéo từ các khí cụ nha khoa hoặc các mắc cài để nắn chỉnh, dịch chuyển các răng sát gần với nhau.
Trở ngại của việc niềng răng đó chính là thời gian điều trị kéo dài (trung bình từ 1,5 – 2 năm) tùy thuộc vào mức độ thưa của răng. Bên cạnh đó chi phí niềng răng cũng tương đối cao so với các phương pháp bọc răng sứ và trám răng thẩm mỹ.
Niềng răng cửa thưa mất bao nhiêu tiền?
Niềng răng cửa thưa mất bao nhiêu tiền sẽ có mức giá khác nhau ở mỗi trung tâm nha khoa. Tại Nha Khoa Nhân Tâm, chi phí niềng răng cửa bị thưa được niêm yết công khai và rõ ràng. Bạn có thể tham khảo bảng giá chi tiết dưới đây:
| BẢNG GIÁ NIỀNG RĂNG | ||
|---|---|---|
| DỊCH VỤ | ĐƠN VỊ | PHÍ TÍNH (VNĐ) |
| Các bước chuẩn bị trước chỉnh nha | Liệu trình | 1,000,000 VND |
| Răng tháo lắp tạo khoảng | Răng | 800,000 VND |
| Chỉnh nha tạo khoảng | Liệu trình | 10,000,000 VND |
| Máng duy trì – Làm mới | 1 Hàm | 1,500,000 VND |
| Máng duy trì – Làm mới | 2 Hàm | 3,000,000 VND |
| Máng duy trì – Làm lại | 1 Hàm | 1,000,000 VND |
| Máng duy trì – Làm lại | 2 Hàm | 2,000,000 VND |
| Trainer | Máng | 4,000,000 VND |
| Chỉnh nha không mắc cài – Invisalign – Cấp độ 1 | 2 Hàm | 105,000,000 VND |
| Chỉnh nha không mắc cài – Invisalign – Cấp độ 2 | 2 Hàm | 110,000,000 VND |
| Chỉnh nha không mắc cài – Invisalign – Cấp độ 3 | 2 Hàm | 120,000,000 VND |
| Chỉnh nha mắc cài kim loại - Cấp độ 1 | 2 Hàm | 35,000,000 VND |
| Chỉnh nha mắc cài kim loại - Cấp độ 2 | 2 Hàm | 40,000,000 VND |
| Chỉnh nha mắc cài kim loại - Cấp độ 1 | 1 Hàm | 17,500,000 VND |
| Chỉnh nha mắc cài kim loại - Cấp độ 2 | 1 Hàm | 22,500,000 VND |
| Chỉnh nha mắc cài sứ - Cấp độ 1 | 2 Hàm | 50,000,000 VND |
| Chỉnh nha mắc cài sứ - Cấp độ 2 | 2 Hàm | 55,000,000 VND |
| Chỉnh nha mắc cài sứ - Cấp độ 3 | 2 Hàm | 60,000,000 VND |
| Chỉnh nha mắc cài sứ - Cấp độ 1 | 1 Hàm | 22,500,000 VND |
| Chỉnh nha mắc cài sứ - Cấp độ 3 | 1 Hàm | 40,000,000 VND |
| Chỉnh nha mắc cài tự khóa - Cấp độ 1 | 2 Hàm | 40,000,000 VND |
| Chỉnh nha mắc cài tự khóa - Cấp độ 2 | 2 Hàm | 45,000,000 VND |
| Chỉnh nha mắc cài tự khóa - Cấp độ 3 | 2 Hàm | 60,000,000 VND |
| Chỉnh nha mắc cài tự khóa - Cấp độ 1 | 1 Hàm | 22,500,000 VND |
| Chỉnh nha mắc cài tự khóa sứ | 2 Hàm | 55,000,000 VND |
| Chỉnh nha mắc cài mặt lưỡi | 2 Hàm | 60,000,000 VND |
| Chỉnh nha mắc cài mặt lưỡi | 1 Hàm | 30,000,000 VND |
| Nong rộng hàm tháo lắp | Liệu trình | 4,000,000 VND |
| Nong rộng hàm cố định | Liệu trình | 4,000,000 VND |
| Cung lưỡi | 4,000,000 VND | |
| Twin Block ngược/thuận | 4,000,000 VND | |
| Khí cụ EF | 5,000,000 VND | |
| Minivit | 4,000,000 VND | |
| Mặt phẳng nghiêng | 5,000,000 VND | |
| Vít Buckle Self | 5,000,000 VND | |
| Vít zygoma | 1 Vít | 5,000,000 VND |
| Vít zygoma | 2 Vít | 10,000,000 VND |
| Nẹp vít khẩu cái | 7,000,000 VND | |
| Khí cụ Horseshoe | 5,000,000 VND | |
| Tháo mắc cài (BN chỉnh nha tại nơi khác) | 2 Hàm | 2,000,000 VND |
| Tháo mắc cài (BN chỉnh nha tại nơi khác) | 1 Hàm | 1,000,000 VND |
| Bộ giữ khoảng chỉnh hình răng | 3,000,000 VND | |
Chi phí niềng răng cửa bị thưa bao nhiêu tiền sẽ được Bác sĩ quyết định sau khi thăm khám tình trạng răng miệng của chính người bệnh. Vì thế, bệnh nhân nên dành thời gian đến với Nha hhoa Nhân Tâm để được Bác sĩ tư vấn cụ thể hơn.
Niềng răng cửa thưa hiệu quả tại Nha khoa Nhân Tâm
Khi đến với Nha khoa Nhân Tâm - Nha khoa tốt nhất Hồ Chí Minh, bạn sẽ hoàn toàn an tâm về chất lượng cũng như chi phí bỏ ra sẽ luôn tương xứng với kết quả mà bạn nhận được. Với hơn 20 năm hoạt động, Nha khoa Nhân Tâm đã thực hiện thành công rất nhiều trường hợp niềng răng - chỉnh nha, bao gồm niềng răng cửa bị thưa và tất cả đều nhận được những phản hồi tích cực từ đông đảo khách hàng.
- Đội ngũ Bác sĩ niềng răng giỏi có chuyên môn vững vàng, được đào tạo bài bản từ các trường Đại học Y Dược nổi tiếng trong và ngoài nước, từng có thời gian tu nghiệp tại nước ngoài, giàu kinh nghiệm trong việc thăm khám và điều trị thực tế, giúp bạn sở hữu hàm răng đều đẹp, chắc khỏe.
- Phòng điều trị và dụng cụ nha khoa được vô trùng tuyệt đối chuẩn Quốc tế. Hơn nữa, mỗi khách hàng khi đến với nha khoa sẽ được sắp xếp 1 phòng điều trị riêng biệt, với 1 bộ dụng cụ riêng, được vô trùng theo quy trình phòng khám chuẩn quốc tế nhằm đảm bảo an toàn và loại bỏ tình trạng lây nhiễm chéo.
- Ứng dụng các trang thiết bị, công nghệ niềng răng hiện đại như: Máy chụp phim X-quang Cone Beam CT 3D, công nghệ phân tích Vceph 3D, công nghệ lấy dấu mẫu hàm Scan 3D… Tất cả đảm bảo cho quá trình chỉnh răng diễn ra chính xác, theo đúng trình tự và đạt kết quả cao.
- Khi niềng răng, các Bác sĩ sẽ tư vấn và đưa ra mức giá cuối cùng ngay từ lúc mới bắt đầu niềng răng, đảm bảo không phát sinh chi phí khác. Hơn nữa, khi niềng răng tại Nha khoa Nhân Tâm, khách hàng có thể tham gia chương trình hỗ trợ niềng răng trả góp lãi suất 0%, tạo điều kiện cho khách hàng an tâm sở hữu hàm răng đẹp mà không lo về giá.
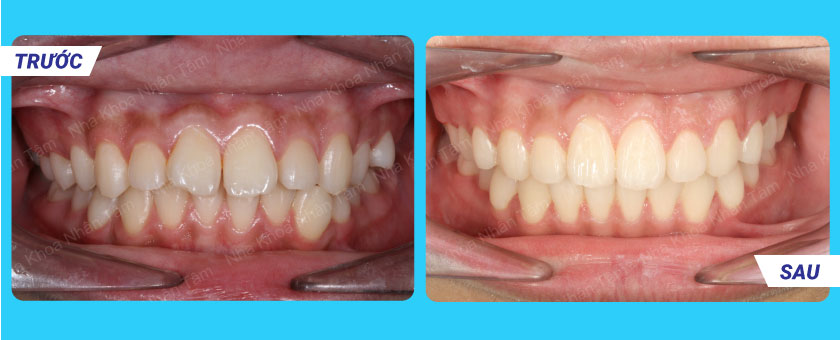
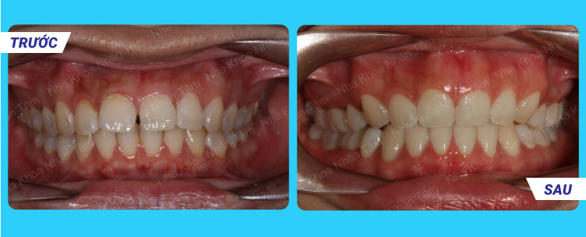
HÌNH ẢNH TRƯỚC - SAU CỦA KHÁCH HÀNG NIỀNG RĂNG CỬA THƯA TẠI NHA KHOA NHÂN TÂM



Hy vọng những thông tin trên đã giúp bạn biết được niềng răng cửa thưa mất bao nhiêu tiền cũng như có thể lựa chọn cho mình giải pháp niềng răng hiệu quả, phù hợp với nhu cầu và điều kiện tài chính của bản thân. Nếu còn bất kỳ thắc mắc nào khác, hãy liên hệ trực tiếp với Nha Khoa Nhân Tâm để được giải đáp chi tiết và hoàn toàn miễn phí.




