Niềng răng hay còn gọi là chỉnh nha (thuật ngữ dành riêng cho nha khoa) là phương pháp thẩm mỹ răng, nắn chỉnh, sắp xếp các răng về đúng vị trí mong muốn trên cung hàm nhằm khắc phục các khiếm khuyết răng miệng như hô, móm, răng lộn xộn, khớp cắn lệch.
Giờ đây, nhờ kĩ thuật niềng răng mà những người không may sở hữu hàm răng khiếm khuyết sẽ sở hữu hàm răng thẳng đều nếu như biết cách lựa chọn cho mình địa chỉ nha khoa gần đây uy tín. Tuy nhiên, không phải ai cũng có thể niềng răng, tùy thuộc vào tình trạng răng miệng cũng như điều kiện kinh tế của mỗi người mà Bác sĩ sẽ chỉ định phương pháp điều trị phù hợp với từng bệnh nhân.
NHỮNG TRƯỜNG HỢP NÊN NIỀNG RĂNG
Những trường hợp nên niềng răng theo chỉ định của Bác sĩ:

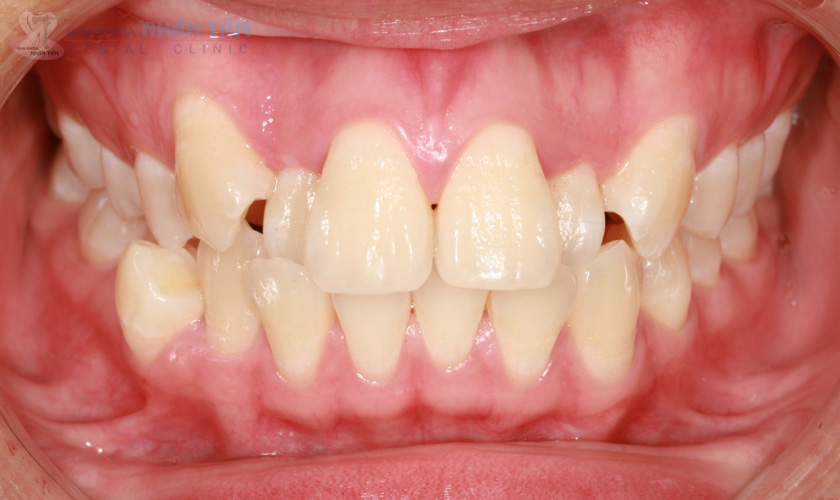
1. Răng mọc chen chúc
Đây là tình trạng thường gặp nhất trong các ca niềng răng. Răng chen chúc do rối loạn khớp cắn nặng dẫn đến nhiều bệnh lý răng miệng như viêm nha chu, sâu răng ảnh hưởng đến tủy răng,… Niềng răng là giải pháp tối ưu mang đến hàm răng thẳng đều cho bệnh nhân.
2. Răng hô
Răng hô là biểu hiện của răng mọc sai vị trí trên cung răng, phương răng và thế răng đổ về phía trước, có trường hợp nặng thì răng chìa ra ngoài làm mất cân đối giữa hai khớp cắn. Trường hợp này, bác sĩ thường chỉ định nhổ răng để có chỗ cho răng dịch chuyển về vị trí đúng trên cung hàm.
3. Răng móm
Móm hay còn gọi là hô ngược là một dạng khiếm khuyết răng miệng do sự sai lệch của khớp cắn. Khi nhìn nghiêng, khuôn mặt của người bị móm rất mất cân đối vì hàm dưới chìa ra ngoài nhiều so với hàm trước. Niềng răng chỉ đạt hiệu quả với trường hợp móm do răng và móm nhẹ. Với trường hợp móm do xương cần dùng đến phương pháp chỉnh hàm.
4. Răng thưa
Nguyên nhân gây thưa răng là do thiếu răng hoặc do các răng mọc cách xa nhau gây mất thẩm mỹ. Điều trị răng thưa bằng phương pháp niềng răng giúp các răng sát khít lại và thẳng đều như mong muốn.

Một số trường hợp chống chỉ định niềng răng đó là bệnh nhân có bệnh lý nha chu quá nặng hoặc bệnh nhân mắc phải các bệnh lý toàn thân như động kinh, có tiền sử bệnh tim mạch, tiểu đường hoặc ung thư.
Lựa chọn nha khoa niềng răng uy tín đồng nghĩa với việc lựa chọn cho mình một Bác sĩ có chuyên môn cao có khả năng phân tích những trường hợp nên và không nên niềng răng để tránh những hậu quả đáng tiếc có thể xảy ra.
Ngoài việc lựa chọn Bác sĩ giỏi, còn rất nhiều tiêu chí đánh giá để bạn lựa chọn địa chỉ niềng răng uy tín cho bản thân. Việc tìm hiểu kĩ trước khi niềng răng sẽ giúp bạn sở hữu nụ cười hoàn hảo và tránh được những rủi ro không mong muốn.

Xem thêm: Niềng răng mắc cài kim loại có ưu điểm gì?
3 TIÊU CHÍ LỰA CHỌN ĐỊA CHỈ NIỀNG RĂNG UY TÍN
1. Bác sĩ giỏi, giàu kinh nghiệm
Như đã nói, một bác sĩ niềng răng giỏi, lành nghề có vai trò quan trọng và quyết định trong kết quả điều trị. Bởi vì, Bác sĩ là người trực tiếp lập ra phác đồ điều trị phù với với từng tình trạng răng, là người theo dõi, phân tích và dự đoán trước hướng dịch chuyển của các răng trong suốt thời gian điều trị.
Ngoài ra, Bác sĩ lành nghề còn là người phải biết kiến thức nha khoa tổng quát để xử lý các biến chứng không mong muốn trong quá trình điều trị.
2. Trang thiết bị hiện đại đạt chuẩn
Niềng răng ở đâu tốt cũng phụ thuộc vào máy móc, trang thiết bị của phòng khám. Bác sĩ giỏi cũng cần sự hỗ trợ của thiết bị để đưa ra phác đồ điều trị bao gồm hình ảnh, số liệu cụ thể. Vì vậy, khi lựa chọn nha khoa để niềng răng, bệnh nhân cần tìm hiểu các trang thiết bị y khoa tại phòng khám phải đạt chuẩn khoa học, an toàn và dụng cụ phải được vô trùng để tránh nhiễm khuẩn chéo.
3. Chất lượng của các khí cụ niềng răng
Một nha khoa niềng răng uy tín cần cung cấp các đa dạng các loại mắc cài, cung cấp đầy đủ khí cụ niềng răng để đáp ứng tình trạng răng miệng và nhu cầu của mỗi bệnh nhân. Yêu cầu đạt chuẩn về các khí cụ trong niềng răng bao gồm:
- Đảm bảo chất lượng
- Sản xuất chính hãng
- Được kiểm định an toàn với sức khỏe
- Đạt tiêu chuẩn của Bộ Y Tế

NIỀNG RĂNG THẨM MỸ CÔNG NGHỆ CAO TẠI NHA KHOA NHÂN TÂM
Nha khoa Nhân Tâm là một trong những nha khoa chuyên niềng răng uy tín ở TP.HCM nói riêng và ở Việt Nam nói chung. Với hơn 20 năm thành lập và phát triển, nha khoa đã mang đến hàng triệu nụ cười đẹp và tạo dựng niềm tin vững chắc trong lòng khách hàng trong nước và quốc tế.
Bên cạnh chuyên môn cao, dày dặn kinh nghiệm của Bác sĩ chỉnh nha, cơ sở vật chất tại Nha khoa Nhân Tâm luôn đảm bảo tiêu chuẩn quốc tế, trang thiết bị hiện đại bậc nhất nhằm rút ngắn thời gian điều trị tối đa, giúp Khách hàng mau chóng sở hữu nụ cười hoàn hảo.
Bài viết trên chia sẻ 3 tiêu chí để đánh giá và lựa chọn nha khoa niềng răng uy tín. Mong rằng bài viết này cũng giải đáp phần nào thắc mắc “Niềng răng ở đâu tốt?”, một câu hỏi mà rất nhiều người có ý định niềng răng quan tâm. Nếu còn thắc mắc hoặc muốn đặt hẹn thăm khám cùng chuyên gia tại Nha khoa Nhân Tâm, Khách hàng liên hệ với chúng tôi qua Hotline: 1900 56 5678.




