Mặt dán sứ Veneer là gì?
Mặt dán sứ Veneer còn được gọi là bọc răng sứ Veneer, là một kỹ thuật phục hình răng được sử dụng khá phổ biến tại Mỹ và Châu Âu. Nếu như trước đây muốn có hàm răng đẹp, khắc phục tình trạng răng nhiễm màu nặng thì cần phải nhờ đến phương pháp bọc răng sứ truyền thống.
Phương pháp này thường phải mài cùi, xâm lấn răng nên dễ gây nên tình trạng đau nhức, ê buốt răng. Điều này khiến nhiều người cảm thấy e ngại.
Với mặt dán sứ Veneer thì những nhược điểm này sẽ được loại bỏ, các bác sĩ chỉ mài mặt ngoài của răng, sau đó dán mặt sứ lên để mang lại độ trắng sáng, giúp bề mặt răng trở nên hoàn thiện hơn.

Mặt dán sứ Veneer được rất nhiều người ưa chuộng
Mặt dán sứ Veneer là một lớp sứ mỏng, được chế tạo bằng chất liệu sứ nguyên chất. Mỗi mặt dán sứ được thiết kế dựa trên kích thước của răng thật của từng khách hàng với độ dày từ 0,5 – 0,6 mm.
Do đó, bọc răng sứ Veneer sẽ không gây nên những ảnh hưởng quá lớn đến răng thật, gần 100% trường hợp thực hiện phương pháp này không cần tiến hành điều trị tủy.
Lợi ích của mặt dán sứ veneer
Có thể nói, mặt dán sứ Veneer hiện đang là phương pháp phục hình các khuyết điểm trên răng thịnh hành nhất. Phương pháp này sở hữu nhiều ưu điểm vượt trội và khắc phục hoàn toàn những nhược điểm của phương pháp cũ:
Tính thẩm mỹ cao: Đây là một trong những ưu điểm hàng đầu của kỹ thuật bọc răng sứ Veneer mà bất kỳ ai cũng có thể thấy được. Với màu sắc trắng sáng, thiết kế ôm khít vào cùi răng thật sẽ tạo nên một hàm răng đều đẹp với nụ cười rạng rỡ.
Độ ổn định cao: Mặt dán sứ Veneer có khả năng chịu lực rất tốt, không thua kém với các loại răng sứ kim loại quý, răng sứ titan hay răng toàn sứ,… Chính vì thế, bạn có thể ăn nhai như răng thật mà không cần phải lo lắng. Tuy nhiên, bạn cũng nên hạn chế sử dụng một số loại thực phẩm quá cứng để giúp độ bền của sứ Veneer được lâu hơn.
Tỷ lệ mài răng ít: Răng sứ Veneer mài răng rất ít, chỉ cần trung bình 0,5mm là đủ, trong khi kỹ thuật cổ điển phải mài đến 1,2 mm mô răng. Chính vì thế, răng thật được bảo tồn tối đa, bạn sẽ không gặp phải các tình trạng như bị đau nhức hay ê buốt răng trong suốt quá trình sử dụng.
Hạn chế cao răng: Lớp sứ bóng phủ ngoài mặt dán sứ Veneer có vai trò như một lớp màng bảo vệ răng, hạn chế sự hình thành các mảng bám, cao răng và sự tác động của axit có trong thức ăn vào răng thật, giúp bảo vệ men răng tự nhiên.

Mặt dán sứ Veneer sở hữu nhiều ưu điểm vượt trội
Xem thêm: Dán sứ veneer - Tối ưu thẩm mỹ hàng đầu cho nụ cười đẹp
Những trường hợp có thể áp dụng mặt dán sứ Veneer
Mặt dán sứ Veneer có thể áp dụng được cho rất nhiều trường hợp, trong đó có thể kể đến như:
- Răng thưa, lộ các kẽ hở
- Răng bị nhiễm màu
- Răng nhiễm tetracycline
- Răng bị sứt mẻ, hình dạng không đều
Bên cạnh đó, phương pháp này cũng hạn chế những tình trạng như: răng đã chữa tủy (răng chết), răng sâu, răng bị nha chu, răng mọc lệch quá nhiều hoặc bị sai khớp cắn,…
Để biết tình trạng của mình có thích hợp để thực hiện bọc răng sứ Veneer không, tốt nhất bạn nên đến với các trung tâm nha khoa gần đây nhất và uy tín nhất.
Nha khoa Nhân Tâm – Trung tâm răng sứ thẩm mỹ hàng đầu
Mặt dán sứ Veneer có kỹ thuật tương đối phức tạp, yêu cầu trình độ cao đối với cả bác sĩ và kỹ thuật viên nha khoa. Do đó, tại Việt Nam, kỹ thuật này vẫn chưa được phổ biến rộng rãi và có rất ít trung tâm nha khoa có thể thực hiện được phương pháp này.
Nha khoa Nhân Tâm là một trong những địa chỉ thực hiện dịch vụ bọc răng sứ Veneer uy tín, chất lượng, được đông đảo khách hàng trong và ngoài nước đánh giá cao và lựa chọn là địa chỉ khắc phục nhược điểm về răng của mình.
Với công nghệ dán sứ Veneer chất lượng cao, được nhập khẩu từ những tập đoàn nha khoa tiên tiến trên thế giới, Nha khoa Nhân Tâm sẽ giúp bạn sở hữu hàm răng trắng sáng cùng với nụ cười rạng rỡ như mong muốn.


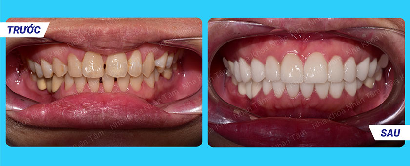
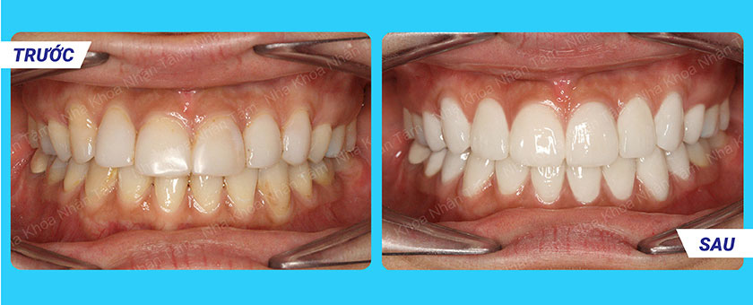
Khách hàng dán sứ Veneer tại Nha khoa Nhân Tâm
Để biết thêm về mặt dán sứ Veneer hay bất kỳ vấn đề nào có liên quan đến nha khoa, hãy liên hệ ngay đến Nha khoa Nhân Tâm để các chuyên gia sẽ tư vấn chi tiết và hoàn toàn miễn phí cho bạn.



