Lợi ích của nhổ răng khôn khi niềng răng Invisalign
Việc chỉ định nhổ răng khi niềng răng Invisalign có nhiều điểm khác biệt so với niềng răng bằng mắc cài. Khi niềng răng bằng mắc cài, Bác sĩ thường chỉ định nhổ răng số 4.
Chiếc răng này nằm ở giữa cung hàm, nhổ đi sẽ giúp các răng có sự dịch chuyển cân đối từ ngoài vào trong và từ trong ra ngoài mà không ảnh hưởng quá nhiều đến việc ăn nhai hay thẩm mỹ.
Trong khi đó, với niềng răng Invisalign, Bác sĩ thường chỉ định nhổ răng số 8 (răng khôn). Vốn dĩ, chiếc răng này không được khuyến khích duy trì bởi nó không hỗ trợ được cho ăn nhai mà còn tiềm ẩn những nguy cơ gây hại cho răng miệng.
Răng khôn có thể đâm vào răng số 7 và làm hỏng răng này, đồng thời dễ gây nên các bệnh lý về răng miệng vì rất khó vệ sinh do ở cuối cung hàm.
Cho nên có thể nói, nhổ răng trong niềng răng mắc cài là buộc phải thực hiện. Trong khi đó, nhổ răng trong niềng răng Invisalign được xem như là giải pháp có tác dụng tốt đối với người chỉnh nha, mang lại 2 lợi ích vượt trội:
- Ngăn ngừa bệnh lý, bảo vệ sức khỏe răng miệng.
- Tạo khoảng trống cho hàm răng di chuyển về vị trí chuẩn khớp cắn trên cung hàm.

Răng khôn không hỗ trợ được cho ăn nhai mà còn tiềm ẩn những nguy cơ gây hại cho cả khuôn hàm
Bên cạnh những lợi ích về sức khỏe răng miệng, việc nhổ răng khôn khi niềng răng Invisalign còn mang lại thẩm mỹ cao. Nếu như niềng răng bằng mắc cài phải nhổ răng số 4 khiến bạn cảm thấy ngại cười nói trong khoảng vài tháng đầu vì khoảng trống lớn, thì nhổ răng khôn hoàn toàn ngược lại.
Răng khôn mọc bên trong cùng của hàm răng nên không ai có thể nhìn thấy dấu tích khi nhổ răng, giúp bạn cảm thấy tự tin hơn khi giao tiếp, đảm bảo tính thẩm mỹ ngay trong khi chỉnh nha.

Nhổ răng khôn khi niềng răng Invisalign mang lại thẩm mỹ cao vì không ai có thể nhìn thấy dấu tích khi nhổ răng
Nhổ răng khi niềng răng Invisalign có đau không?
Nhổ răng khôn khi niềng răng Invisalign là một dạng tiểu phẫu đơn giản. Khi nhổ răng tại Nha Khoa Nhân Tâm, Bệnh nhân sẽ không hề có cảm giác đau nhờ công nghệ nhổ răng hiện đại bằng máy siêu âm Piezotome với những ưu điểm nổi bật sau:
- Các bước sóng siêu âm Piezotome sắc bén chuyển động linh hoạt với tần số chọn lọc từ 28 - 36 Khz, tác động lên các mô cứng, không làm tổn thương các mô mềm. Với tần số được chọn lọc này, các Bác sĩ sẽ đưa đầu máy siêu âm đi vòng quanh chân răng một cách nhẹ nhàng, lúc này các dây chằng xung quanh răng sẽ tự động đứt ra.
- Sự biến điệu tần số của các bước sóng siêu âm mang đến sự êm dịu trong suốt quá trình phẫu thuật, giúp tái tạo tế bào một cách tối ưu, giảm đau hiệu quả sau khi nhổ răng, hỗ trợ quá trình lành thương nhanh chóng.
- Thuốc tê công nghệ mới hỗ trợ đắc lực, giúp khách hàng không có cảm giác đau nhức.

Máy siêu âm Piezotome giúp nhổ răng nhanh chóng, an toàn, không đau
Xem thêm: Invisalign G5 - Niềng răng vô hình điều trị khớp cắn sâu
Dịch vụ niềng răng Invisalign tại Nha Khoa Nhân Tâm
Nha Khoa Nhân Tâm là địa chỉ chăm sóc, điều trị và phục hình răng hàng đầu tại Việt Nam. Nha khoa cung cấp đa dạng các dịch vụ, trong đó niềng răng Invisalign được đánh giá là dịch vụ thế mạnh, mang lại sự hài lòng cho hàng ngàn khách hàng trong và ngoài nước.
Đội ngũ Bác sĩ giỏi
Nha khoa Nhân Tâm quy tụ đội ngũ Bác sĩ giỏi, chuyên môn cao, giàu kinh nghiệm trong lĩnh vực chỉnh nha thẩm mỹ. Không chỉ vậy, các Bác sĩ còn rất nhiệt tình, tận tâm với công việc, khả năng xử lý tình huống nhạy bén và chuẩn xác, chắc chắn sẽ làm khách hàng hài lòng với kết quả đạt được.
Đảm bảo vô trùng, vô khuẩn tuyệt đối
Mỗi khách hàng khi đến thăm khám tại nha khoa đều sẽ được sắp xếp vào một ghế nha khoa riêng biệt, có bộ thăm khám riêng, bộ tay khoan riêng nhằm đảm vô trùng và loại bỏ lây nhiễm chéo.
Đặc biệt đây còn là địa chỉ đi đầu trong ứng dụng máy phun sương, hệ thống máy hấp dụng cụ chỉ thị màu và diệt khuẩn bằng tia cực tím, đảm bảo vô trùng vô khuẩn tuyệt đối.


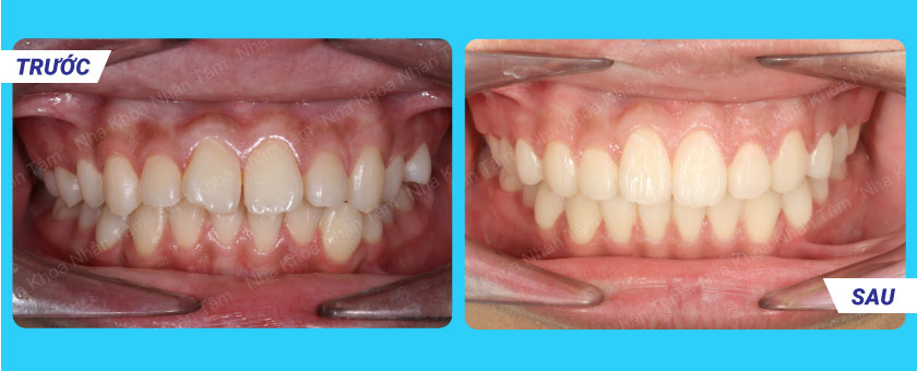
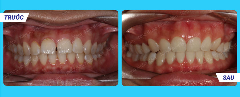
Kết quả niềng răng của khách hàng tại Nha khoa Nhân Tâm
Hệ thống máy móc, trang thiết bị hiện đại
Không chỉ đáp ứng cao về yếu tố chuyên môn Bác sĩ, vô trùng vô khuẩn, Nha Khoa Nhân Tâm còn trang bị đồng bộ hệ thống máy móc hiện đại để nâng cao kết quả cũng như tiết kiệm thời gian thực hiện niềng răng Invisalign.
Khách hàng sẽ được chụp phim X-quang Paronex & Cephalometric thế hệ mới, máy X-quang Cone Beam CT 3D, phần mềm VCeph 3D cho phép thấy trước kết quả, dự đoán đúng những thay đổi của răng,…

Nha Khoa Nhân Tâm trang bị hệ thống máy móc, trang thiết bị hiện đại, giúp kết quả niềng răng Invisalign đạt cao hơn
Chương trình ưu đãi: Niềng răng trả góp lãi suất 0%
Nha Khoa Nhân Tâm hiện áp dụng chính sách niềng răng trả góp lãi suất 0% với thủ tục đơn giản và nhanh chóng. Với chính sách này, khách hàng có thể trả chi phí niềng răng Invisalign theo từng đợt, chủ động hơn về vấn đề tài chính.
Hơn nữa, đến với Nha Khoa Nhân Tâm, khách hàng còn được thực hiện thăm khám & tư vấn, chụp X-quang miễn phí mà không phải chịu thêm bất cứ chi phí phát sinh nào.
Dịch vụ chăm sóc khách hàng chu đáo
Đội ngũ nhân viên chăm sóc khách hàng tại Nha khoa Nhân Tâm luôn nhiệt tình, sẵn sàng giải đáp mọi thắc mắc của khách hàng. Ngoài ra, nơi đây còn có xe đưa đón khách tận nơi và cung cấp chế độ bảo hành với những điều khoản tốt nhất.
Đặc biệt, nha khoa còn hỗ trợ dịch vụ Dental Tourist (Nha khoa du lịch) để bạn có thể vừa nghỉ dưỡng, thăm thú các danh lam thắng cảnh tại Việt Nam và các nước trong khu vực, vừa sử dụng dịch vụ điều trị răng miệng tại Nha Khoa Nhân Tâm.
Để được tư vấn cụ thể hơn về phương pháp chỉnh nha Invisalign và chỉ định nhổ răng khôn khi niềng răng bằng kỹ thuật này, hãy liên hệ ngay Nha Khoa Nhân Tâm, các Bác sĩ chuyên sâu về chỉnh nha sẽ tư vấn tận tình nhất cho bạn.



