Hiện nay, số lượng người quan tâm đến niềng răng vô hình nhiều hơn mỗi ngày. Nguyên nhân là bởi vì biện pháp này có tính thẩm mỹ cao hơn hẳn so với chỉnh nha mắc cài truyền thống. Vậy niềng răng vô hình Invisalign G5 cụ thể là gì? Hiệu quả mang lại có tốt như chỉnh nha truyền thống hay không?
Đặc điểm của khớp cắn sâu
Khớp cắn sâu là hiện tượng hàm trên nằm ngoài hàm dưới nhưng lại hạ thấp hơn quá mức cho phép, khiến cho phần răng trên che phủ đi phần nhiều răng hàm dưới.
Tình trạng này cũng có một số đặc điểm riêng để có thể phân biệt và nhận diện khi quan sát tỷ lệ tương quan giữa 2 hàm răng, cụ thể như:
- Răng cửa hàm trên che phủ toàn bộ răng cửa hàm dưới, nặng hơn là phần rìa răng cửa của hàm trên hạ xuống thấp đến nướu ngoài của răng cửa hàm dưới.
- Răng cửa hàm dưới bị khuất hoàn toàn, mặt nhai gần hoặc chạm sâu đến nướu mặt trong của răng cửa hàm trên.
- Răng hàm dưới tiếp xúc hoặc không tiếp xúc với răng của hàm trên. nghiêm trong hơn nữa là rìa răng hàm dưới sẽ không chạm vào răng hàm trên mà chạm vào nướu trong của hàm trên.
- Đường nối của 3 phần trán – mũi – cằm có thể thẳng hàng hoặc gãy khúc tùy vào mức độ cắn sâu cụ thể ở mỗi người.
Invisalign G5 – Giải pháp điều trị khớp cắn sâu

Invisalign G5 giải pháp điều trị khớp cắn sâu hiệu quả
Invisalign G5 là giải pháp được các chuyên gia trong lĩnh vực chỉnh nha đánh giá rất cao trong việc điều trị khớp cắn sâu.
Phương pháp nha khoa này không chỉ đưa kết quả hiệu chỉnh răng tới mức hoàn hảo nhất có thể mà còn đáp ứng các nhu cầu thẩm mỹ cao của Khách hàng trong thời gian điều trị.
Invisalign G5 có thiết kế thông minh, giúp cân bằng lại độ cong của hàm, thông qua khí cụ neo chặn ở răng tiền cối để cho kết quả điều trị có tiên lượng thành công cao.
Invisalign G5 tạo ra một vùng áp lực có tác động đều thông qua trục dọc của các răng cửa để gia tăng lực kéo cho răng cửa, giúp răng di chuyển nhanh chóng nhưng vẫn bảo vệ được mô mềm và ổ răng hiệu quả nhất.
Thiết kế bệ dốc, hạn chế sự tiếp xúc của mặt nhai của vùng răng trong, gia tăng các khả năng hiệu chỉnh ở vùng răng cửa và răng nanh, qua đó giúp cho việc điều trị khớp cắn sâu mang một đến kết quả tối ưu nhất.
Những lưu ý khi niềng răng khớp cắn sâu
- Thời gian điều trị răng cho khớp cắn sâu sẽ còn tùy thuộc vào độ tuổi khi niềng, tình trạng răng miệng xô lệch như thế nào, cách chăm sóc, vệ sinh trong khi niềng, các khí cụ niềng răng…
- Thời gian niềng răng móm trung bình khoảng 6 đến 24 tháng phụ thuộc vào tình trạng xô lệch nặng nhẹ. Một số trường hợp răng xô lệch ở mức độ nghiêm trọng hơn sẽ có thời gian điều trị lâu hơn.
- Trong quá trình niềng răng điều trị khớp cắn sâu, bạn chỉ nên lựa chọn những thực phẩm mềm, dễ ăn như cháo, súp, cơm mềm… để hạn chế ảnh hưởng đến răng cũng như hiệu quả sau niềng răng.
- Hạn chế những thức ăn quá nóng, quá lạnh, cứng hay quá dai vì khiến răng dễ bị kích ứng.

Niềng răng khớp cắn sâu cần lưu ý những gì?
Niềng răng vô hình ở đâu uy tín?
Ưu tiên nhất là bạn phải tìm được một phòng khám răng gần nhất để tiến hành niềng răng invisalign, một trung tâm nha khoa uy tín với một đội ngũ Bác sĩ giỏi, máy móc và trang thiết bị hiện đại cùng với dịch vụ chuyên nghiệp thì mới mang lại một hiệu quả như mong muốn.
Tại TP.HCM, Nha khoa Nhân Tâm là một trung tâm chỉnh nha thẩm mỹ có trên 20 năm kinh nghiệm, đã điều trị thành công cho hàng ngàn ca chỉnh nha khác nhau, mang lại hàm một hàm răng đều đẹp cùng nụ cười rạng rỡ cho các Khách hàng.
Trung tâm Nha khoa Nhân Tâm hoạt động với tiêu chí “Vì nụ cười đẹp tự tin - hàm răng chắc khỏe giúp nâng cao chất lượng cuộc sống, hạnh phúc và thành công”.
Xem thêm: Hôi miệng khi niềng răng - Nguyên nhân và cách khắc phục

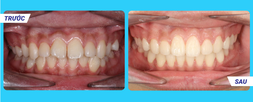
Khách hàng niềng răng tại Nha khoa Nhân Tâm
Đến với Nha khoa Nhân Tâm, Khách hàng bị khớp cắn sâu sẽ được thăm khám và điều trị bởi chính Giám đốc chuyên môn Nha khoa Nhân Tâm – Bác sĩ Trần Thị Nga.
Bác sĩ Nga tốt một nghiệp khóa Chỉnh nha cơ bản đầu tiên tại Viện Răng Hàm Mặt TW vào năm 2010. Sau đó, Bác sĩ tốt nghiệp thêm một khóa Chỉnh nha nâng cao tại đây vào năm 2016.
Bác sĩ đồng thời cũng là thành viên của Hội Chỉnh nha Việt Nam, từng tham dự những hội thảo uy tín quốc tế về niềng răng, tham gia các khóa huấn luyện niềng răng do giảng viên nước ngoài giảng dạy.
Là người vô cùng am tường và giàu kinh nghiệm trong lĩnh vực niềng răng, bác sĩ Nga đã từng thực hiện thành công hơn 1000 ca chỉnh nha, kể cả những trường hợp phức tạp nhất từ trước tới nay.




