Niềng răng đã không còn là cụm từ xa lạ đối với chúng ta. Dù là trẻ em, thanh niên hay người lớn tuổi khi có hàm răng lệch lạc, không đều thì cũng có chung mong muốn khắc phục để cảm thấy tự tin hơn trong cuộc sống. Niềng răng chính là phương pháp hoàn hảo để biến mong ước này trở thành sự thật.
Niềng răng sử dụng các khí cụ nha khoa gồm mắc cài hoặc khay niềng gắn trên bề mặt răng nhằm nắn chỉnh, dịch chuyển răng về đúng vị trí khớp cắn, giải quyết tình trạng răng hô, thưa, móm hay mọc lệch lạc, chen chúc… Kết quả sau khi niềng răng sẽ là một hàm răng đều đẹp, một gương mặt cân đối với nụ cười “vạn người mê”.
Tuy nhiên, để ca niềng răng thành công, bạn cần phải lựa chọn được trung tâm nha khoa uy tín, Bác sĩ có tay nghề cao và trang thiết bị công nghệ, máy móc hiện đại.
Dựa vào đâu để đánh giá địa chỉ niềng răng uy tín tại TP.HCM
Địa chỉ niềng răng uy tín ở TP.HCM - nha khoa gần đây ở quận 10 sẽ được đánh giá dựa trên những tiêu chí sau đây:
1. Chuyên môn và kinh nghiệm của Bác sĩ
Hàm răng của chúng ta liên kết chặt chẽ với hệ thống xương, cơ, dây thần kinh vùng mặt. Do đó, để đảm bảo không ảnh hưởng đến những hệ thống này trong khi niềng răng thì cần Bác sĩ niềng răng giỏi, am hiểu sâu về cấu trúc vùng sọ - mặt, nắm được lực tác động của từng loại khí cụ, có kinh nghiệm chỉnh nha dày dặn thì mới có thể mang lại hiệu quả cao và an toàn cho bệnh nhân.
2. Cơ sở vật chất và công nghệ
Bất cứ một kỹ thuật y khoa nào cũng đạt tỷ lệ thành công cao hơn nếu được ứng dụng hệ thống máy móc và công thệ tân tiến trong quá trình thực hiện. Trung tâm niềng răng chất lượng sẽ trang bị đầy đủ cơ sở vật chất và ứng dụng công nghệ cao để hỗ trợ việc niềng răng chính xác, nhanh chóng và thuận lợi, phòng ngừa những biến chứng.

Cần lựa chọn địa chỉ niềng răng uy tín để đảm bảo hiệu quả và an toàn khi niềng răng
3. Chất lượng của khí cụ, vật liệu chỉnh nha
Để đảm bảo chất lượng các khí cụ, vật liệu chỉnh nha đạt chuẩn thì cần vốn đầu tư lớn và không phải cơ sở nào cũng đủ điều kiện đáp ứng yêu cầu này. Do đó, khi tham khảo địa chỉ niềng răng, bạn đừng quên hỏi rõ nguồn gốc khí cụ và vật liệu sử dụng, ưu và nhược điểm của những loại khí cụ này nhé.
4. Chất lượng phục vụ và chế độ bảo hành
Sẽ chỉ rước bực vào người nếu chúng ta lựa chọn một cơ sở niềng răng với thái độ phục vụ tệ. Lời khuyên cho bạn là khi nhắm được trung tâm nào thì hãy đến tận nơi để xem thái độ nhân viên đón tiếp như thế nào, có ân cần hay không, đồng thời nhờ họ tư vấn rõ về chính sách bảo hành trước khi quyết định lựa chọn nhé.
Đọc thêm: Ưu điểm của niềng răng mắc cài sứ
Nha khoa Nhân Tâm – Địa chỉ niềng răng uy tín tại TP.HCM mà bạn không thể bỏ lỡ
Niềng răng thẩm mỹ là một trong những thế mạnh nổi bật của Nha khoa Nhân Tâm. Trong hơn 23 năm hoạt động, Nha khoa Nhân Tâm đã thực hiện hàng ngàn ca niềng răng từ đơn giản đến phức tạp, giúp khách hàng khắc phục hiệu quả tình trạng răng thưa, hô, móm, lệch lạc… và chinh phục ước mơ sở hữu hàm răng cùng nụ cười đẹp không tì vết.


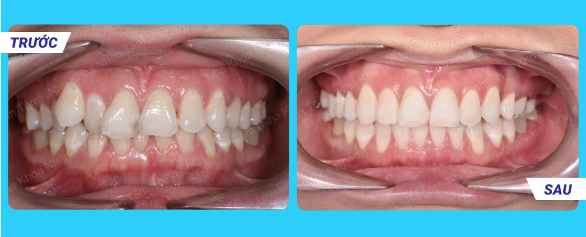
Trước và sau niềng răng tại Nha khoa Nhân Tâm
Đến với Nha khoa Nhân Tâm, bạn sẽ được khăm khám, tư vấn và điều trị niềng răng bởi Bác sĩ Trần Thị Nga – Phó giám đốc trung tâm – Chuyên gia chỉnh nha với hơn 20 năm kinh nghiệm. Tốt nghiệp chỉnh nha khóa đầu tiên và khóa chỉnh nha nâng cao tại Viện răng hàm mặt TW, được đào tạo các khóa chỉnh nha tại Pháp, Mỹ và Hàn Quốc, Bác sĩ Nga có đầy đủ chuyên môn và kinh nghiệm để thực hiện thành công tất cả các trường hợp niềng răng. Bác sĩ đã điều trị tất cả các ca phức tạp, cắn hở, hô hoặc móm quá nhiều bằng các kỹ thuật TADS, nẹp vít zygomatis để làm lún răng, giải quyết những ca khó,…
Bên cạnh đó, Nhân Tâm sở hữu hệ thống máy móc hiện đại bậc nhất được nhập khẩu từ Mỹ và Châu Âu: máy chụp X-quang toàn hàm Panorama, máy chụp phim sọ đầu Cephalometric, máy CT Cone Beam 3D… giúp Bác sĩ chẩn đoán chính xác cấu trúc răng và hàm mặt, mức độ khiếm khuyết, từ đó lên kế hoạch điều trị chi tiết theo lộ trình cụ thể. Phần mềm chỉnh nha V-ceph 3D giúp tiên lượng trước kết quả niềng răng, hỗ trợ Bác sĩ tối đa trong quá trình niềng. Đồng thời nha khoa trang bị hệ thống vô trùng theo tiêu chuẩn quốc tế, phòng điều trị riêng biệt, bộ dụng cụ riêng biệt cho từng khách hàng.
Niềng răng tại Nha khoa Nhân Tâm không chỉ giúp bạn đạt hiệu quả cao, an toàn tuyệt đối mà còn được phục vụ chu đáo và có chính sách bảo hành rõ ràng, dài lâu. Để đặt hẹn thăm khám và tư vấn cùng Bác sĩ Trần Thị Nga, bạn vui lòng liên hệ qua Hotline 1900 56 5678 hoặc gửi tin nhắn quan Fanpage https://www.facebook.com/nhantamdental.



