Chụp CT răng là công đoạn trọng trong thăm khám, giúp bác sĩ chẩn đoán các bệnh lý đang mắc phải và xác định khu vực bị bệnh, từ đó đưa ra phác đồ điều trị phù hợp. Vì đã được nghiên cứu và được phép sử dụng trong y khoa nên bạn có thể hoàn toàn yên tâm về độ an toàn khi thực hiện biện pháp này.
Khái niệm về chụp CT răng
Các bệnh lý như sâu răng, viêm tủy, viêm mô răng, viêm nướu,… ngày càng xuất hiện nhiều hơn ở mọi lứa tuổi do thói quen hoạt và ăn uống thiếu khoa học. Nếu chỉ quan sát bằng mắt thường thì không thể nhận định đúng hoặc chẩn đoán chính xác khiến bệnh tiến triển ngày càng nặng. Điều này không chỉ gây cảm giác đau nhức, khó chịu mà còn làm ảnh hưởng nặng nề tới sức khỏe. Vì vậy, để việc chẩn đoán bệnh được dễ dàng và chính xác thì cần có sự hỗ trợ của máy chụp CT.
Chụp CT răng là phương pháp dùng tia X phản chiếu qua một tấm phim. Khi chụp, thiết bị chứa tia X đưa qua vùng hàm mặt của khách hàng sẽ được xử lý bằng điện toán bởi hệ thống cảm biến để đưa ra hình ảnh 3 chiều sắc nét. Nhờ vậy, các bác sĩ có thể quan sát dễ dàng và đưa ra chẩn đoán chính xác về các vấn đề răng miệng của khách hàng.

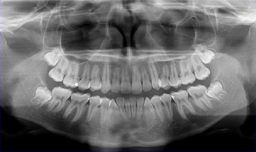
Kết quả chụp CT răng hỗ trợ rất nhiều cho bác sĩ trong việc chẩn đoán
Công dụng của phương pháp chụp CT răng
CT răng là biện pháp chẩn đoán hình ảnh quan trọng và đem đến nhiều lợi ích trong việc khám và chẩn đoán bệnh. Hiện nay, CT đã trở thành một bước không thể thiếu được trong lĩnh vực nha khoa hiện đại.
Những công tuyệt vời phải kể tới của phương pháp này là:
- Xác định mật độ xương hàm.
- Phát hiện sớm các bệnh lý như viêm lợi, sâu răng, viêm tủy,… xác định mức độ bệnh và đưa ra biện điều trị kịp thời.
- Phát hiện thương tổn tại xương hàm, bao gồm các tình trạng u, nang, viêm nhiễm hoặc chấn thương.
- Xác định hình thái, hướng mọc của răng để kịp thời điều chỉnh. Từ đó hạn chế thương tổn nặng và khôi phục thẩm mỹ hàm răng.
- Quan sát và theo dõi việc thay răng ở trẻ nhỏ.
Khi tiến hành các phương pháp nha khoa thẩm mỹ như bọc răng sứ, niềng răng,… Chụp CT răng cũng sẽ được thực hiện để chẩn đoán tình trạng răng, hỗ trợ việc điều chỉnh thao tác của bác sĩ trên răng miệng khách hàng.
Các trường hợp cần chụp CT răng
Phương pháp chụp CT răng thường được chỉ định cho những đối tượng sau:
Nghi ngờ mắc các bệnh lý răng miệng
Khi khám răng định kỳ hoặc sau khi xem xét răng miệng bằng mắt thường, bác sĩ nhận thấy các biểu hiện nghi ngờ sâu răng, viêm tủy, viêm lợi,… thì sẽ tiến hành chụp CT cho bạn để làm rõ vấn đề, chẩn đoán chính xác tình trạng bệnh và có phương án điều trị kịp thời.
Nhổ răng khôn
Nhổ răng khôn là tiểu phẫu có độ phức tạp cao hơn các răng khác trên cung hàm, nếu không tiến hành đúng sẽ có nguy cơ biến chứng. Vậy nên trước khi loại bỏ răng này, bạn cần phải chụp CT răng. Khi có được kết quả hình ảnh, bác sĩ sẽ nắm được hướng mọc, vị trí và hình thái của răng. Quá đó đánh giá răng có mọc ngầm, mọc lệch không để chỉ định phương pháp nhổ hợp lý.

Cần chụp CT răng trước khi nhổ răng khôn
Trồng răng implant
Hình ảnh trên phim CT sẽ giúp bác sĩ nắm được cấu trúc xương, răng để cấy ghép Implant vào vị trí chính xác, đạt độ nghiêng và độ sâu phù hợp, từ đó đảm bảo tính thẩm mỹ và chức năng ăn nhai.
Việc xác định được chiều rộng của xương còn giúp bác sĩ xác định khách hàng có cần thực hiện ghép xương không và lựa chọn loại trụ implant thích hợp. Trong trường hợp răng đã mất còn sót chân răng, việc chụp CT sẽ giúp bác sĩ thấy được khu vực dưới nướu để có giải pháp phù hợp.
Niềng răng
Trước khi chỉnh nha, bác sĩ cần nắm được độ lệch, trục răng, độ cứng của răng và cấu trúc xương hàm nên chụp CT là bước cần thiết. Nó sẽ giúp việc lựa chọn hình thức niềng, thao tác chỉnh nha chính xác và thuận lợi hơn. Từ đó bảo đảm tính an toàn và hiệu quả điều trị tối ưu nhất.
Chụp CT răng có ảnh hưởng tới sức khỏe không?

Chụp CT răng có ảnh hưởng tới sức khỏe không?
Khi nghe nói đến chụp CT hay X – quang, không ít người có tâm lý lo lắng, e ngại sẽ có tác động không tốt tới sức khỏe vì kỹ thuật này sử dụng tia X. Thực tế, không thể phủ nhận rằng tất cả chất phóng xạ đều gây tác động tiêu cực đến các tế bào của cơ thể. Nhưng lượng bức xạ trong phương pháp này rất nhỏ nên độ an toàn vẫn được đảm bảo.
Biện pháp này đã được nghiên cứu và được phép sử dụng trong y khoa nên bạn có thể hoàn toàn yên tâm khi thực hiện.
Tuy nhiên, người đang trong giai đoạn thai kỳ, đặc biệt là 3 tháng đầu thì không nên chụp CT. Bởi trong thời gian này, tế bào của thai nhi chưa hình thành đủ và khá nhạy cảm với tia phóng xạ nên có nguy cơ dẫn đến dị tật. Do đó, tuyệt đối không được để tia X chiếu qua phụ nữ có thai.
Trên đây là những thông tin cơ bản bạn cần biết về chụp CT răng. Để được tư vấn cụ thể hơn về kỹ thuật này hoặc có nhu cầu chụp CT để xác định các vấn đề răng miệng đang nghi ngờ, bạn hãy đặt hẹn ngay với các bác sĩ tại Nha khoa Nhân Tâm nhé.



