Cấy ghép răng Implant là một phương pháp phục hồi răng mất bằng việc cấy ghép vào vị trí tương ứng một răng nhân tạo có cấu tạo và chức năng giống với răng thật. Cấy ghép răng Implant còn được biết đến với những cái tên khác như trồng răng, cắm răng,…
Tuy nhiên, cấy ghép răng Implant là một thủ thuật có xâm lấn trong miệng, đòi hỏi phải được thực hiện cẩn thận bởi các bác sĩ có trình độ chuyên môn, đã được đào tạo chuyên sâu sau Đại Học.
Nha khoa Nhân Tâm được biết đến là nha khoa nổi tiếng cả nước trong tất cả các lĩnh vực chuyên ngành Răng Hàm Mặt, trong đó có dịch vụ cấy ghép răng. Với đội ngũ bác sĩ trên 20 năm kinh nghiệm đã điều trị thành công hàng ngàn ca cấy ghép răng Implant và mang đến sự hài lòng cho khách hàng.
Cấy ghép răng Implant là gì?
Cấy ghép răng Implant hay còn được biết đến với các tên gọi như trồng răng, cắm răng, ghép răng Implant,… Đây là một kỹ thuật chuyên sâu phục hồi răng mất bằng một răng nhân tạo, khôi phục thẩm mỹ và chức năng cho khách hàng.
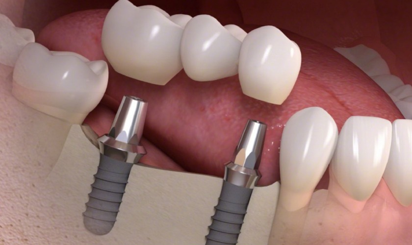
Theo đó, bác sĩ sẽ thực hiện cấy một trụ Titanium vào xương hàm của khách hàng và đợi từ 3-6 tháng cho trụ vô khuẩn này tích hợp vào xương hàm của khách hàng sẽ tiến hành lắm một thân răng sứ đã được chế tạo có hình thể và màu sắc giống với răng đã mất lên phía trên.
Hình ảnh dưới đây là cấu tạo của một răng nhân tạo được cấy vào xương hàm của khách hàng, giúp các bạn dễ hình dung hơn.

Cấu tạo của một răng nhân tạo
Ưu điểm của cấy ghép răng Implant
Cấy ghép răng Implant đang ngày càng được nhiều khách hàng lựa chọn bởi những ưu điểm nổi trội mà phương pháp này mang lại, như:
Độ bền chắc tương đương với răng thật:
So với những phương pháp phục hình khác thì cấy ghép răng Implant được các chuyên gia đánh giá cao về độ bền chắc theo thời gian. Do trụ Titanium đã được tích hợp vào xương hàm của khách hàng nên đóng vai trò giống như một chân răng thật vô cùng chắc chắn.
Xem thêm: Chi phí trồng răng implant là bao nhiêu? Cần lưu ý điều gì?
Thẩm mỹ cao:
Phần thân răng sứ phía trên trụ titanium được chế tác bằng vật liệu sứ cao cấp có hình thể và màu sắc giống với thân răng thật, chịu được áp lực của lực nhai. Khiến cho người đối diện nhìn vào sẽ khó có thể nhận biết được đó là răng nhân tạo.
Dễ vệ sinh răng miệng:
Không giống những phương pháp phục hình khác gây vướng víu, khó vệ sinh thì với phương pháp cấy ghép răng Implant, khách hàng hoàn toàn có thể yên tâm về vấn đề này, do răng sau khi được cấy hoàn toàn giống với răng thật ở vị trí đó nên khách hàng chỉ cần vệ sinh thường xuyên như cách vệ sinh với răng thật.

Răng được cấy ghép giống với răng thật
Cơ sở cấy ghép răng Implant uy tín
Đội ngũ bác sĩ chuyên nghiệp, giàu kinh nghiệm. Đặc biệt có TS.BS Võ Văn Nhân là chuyên gia hàng đầu trong lĩnh vực cấy ghép răng, đã điều trị thành công hàng ngàn ca cấy ghép trong và ngoài nước.
Công nghệ hiện đại, trang thiết bị được cập nhật thường xuyên: Khi cắm răng tại Nha Khoa Nhân Tâm khách hàng sẽ được trải nghiệm công nghệ định vị cấy ghép hiện đại, chính xác, nhanh chóng, ít đau. Chú trọng đầu tư và liên tục cập nhật và làm mới là điểm khác biệt mà ít phòng khám nha khoa nào có thể sánh được với nha khoa Nhân Tâm
Chi phí cấy ghép hợp lý: Với phương châm lấy chữ TÂM hàng đầu, đội ngũ bác sĩ tại nha khoa Nhân Tâm luôn đặt lợi ích của khách hàng lên trên hết, mang lại sự hài lòng cho khách hàng.

Nha khoa Nhân Tâm luôn tận tâm với khách hàng
Trên đây là toàn bộ những thông tin về dịch vụ cấy ghép răng Implant. Hi vọng qua bài viết này, khách hàng có thể có được những kiến thức nhất định về dịch vụ này.
Hãy gọi tới nha khoa Nhân Tâm qua Hotline: 1900 56 5678 nếu bạn có bất kì thắc mắc gì cần giải đáp. Phục vụ quý khách hàng là niềm vui của chúng tôi.



