Cấy ghép răng Implant là một phương pháp được áp dụng nhằm thay thế cho những chiếc răng bị mất trong nha khoa. Không giống như răng giả thông thường, răng Implant được đặt cố định vào xương hàm bằng một tiểu phẫu.
Cấu tạo răng Implant gồm có 3 phần: chân răng là trụ Implant được làm từ Titanium, thân răng được làm bằng mão sứ và khớp nối Abutment dùng để kết nối mão sứ và trụ Implant. Theo thời gian, xương sẽ phát triển quanh trụ Implant giúp giữ cố định các trụ này như giữ chân răng thật.
Implant là gì? Lợi ích của răng Implant
“Implant là gì?” là câu hỏi mà bệnh nhân mất răng nào cũng muốn biết khi muốn tìm một biện pháp để phục hình lại những chiếc răng bị mất. Implant là tên gọi tắt của phương pháp cấy ghép răng Implant trong nha khoa, là một kỹ thuật trồng răng giả hiện đại phổ biến hiện nay.
Cấy ghép Implant nha khoa được phát minh vào năm 1952 bởi một bác sĩ phẫu thuật chỉnh hình người Thụy Điển tên là Per-Ingvar Branemark. Ngày nay, phương pháp được xem là tiêu chuẩn trong phục hình thay thế răng mất trong nha khoa.
Xem thêm: Có nên làm răng implant cho răng cửa không?
Cấy ghép răng Implant sử dụng những trụ Implant có hình dạng tương tự như một chiếc vít được phẫu thuật đặt cố định vào xương hàm và được hợp nhất với xương hàm sau 3-6 tháng.
Những trụ này là những chân răng nhân tạo thay thế cho chân răng bị mất. Quá trình hợp nhất giữa trụ Implant và xương hàm được gọi là "tích hợp xương".
Sau khi tích hợp xương thành công, một thân răng nhân tạo được làm bằng mão răng sứ sẽ được gắn vào trụ Implant để lấp đầy khoảng trống do chiếc răng bị mất để lại. Mão sứ được chế tạo đặc biệt để giống răng thật về kích thước, hình dạng và màu sắc.
Sở dĩ răng Implant được các chuyên gia khuyên dùng để điều trị mất răng là nhờ những ưu điểm mà răng Implant mang lại vượt trội hơn so với cầu răng sứ hay hàm giả tháo lắm.
Những lợi ích của răng Implant bao gồm:
- Răng Implant cố định, vững chắc và tồn tại độc lập mà không ảnh hưởng đến các răng lân cận.
- Nhờ có chân răng nên răng Implant có độ chịu lực cao, mang lại cảm giác ăn nhai tự nhiên, giúp bệnh nhân mất răng phục hồi khả năng ăn nhai và nâng cao sức khỏe.
- Vật liệu Implant cho phép chúng tích hợp với xương hàm mà không bị nhận biết là vật thể lạ trong cơ thể, từ đó không gây kích ứng hay tổn hại đến cơ thể.
- Tỷ lệ thành công khi cấy ghép răng lên đến 98%.
- Trụ Implant kích thích xương hàm phát triển, ngăn ngừa hiệu quả tình trạng tiêu xương hàm.
- Màu sắc, hình dáng răng tự nhiên như răng thật, nâng cao thẩm mỹ.
- Tuổi thọ của răng Implant lên tới hơn 20 năm, thậm chí vĩnh viễn nếu chăm sóc tốt.
Đối tượng nào cần thực hiện cấy ghép răng Implant?
Những ai nên thực hiện cấy ghép răng Implant sẽ được bác sĩ cân nhắc và đánh giá dựa trên nhiều tiêu chí. Bởi để quá trình cấy ghép diễn ra thành công thì không chỉ liên quan đến tình trạng răng miệng mà còn phụ thuộc rất nhiều vào sức khỏe người bệnh.
Theo các chuyên gia nha khoa, Implant có thể áp dụng cho mọi trường hợp mất răng như:
- Mất 1 răng hoặc mất từng răng xen kẽ: Rất nhiều người bị mất răng do răng bị sâu nặng cần nhổ bỏ; răng bị nứt vỡ, tổn thương do tai nạn,… Trong trường hợp này, mất răng ở vị trí nào sẽ được cấy ghép Implant ở vị trí nấy.
- Mất 2 răng cạnh nhau: Đối với trường hợp này thì thường sẽ cấy 2 trụ Implant và gắn 2 mão răng sứ lên trên để phục hồi răng. Tuy nhiên, có một số đối tượng có thể dùng cầu răng giả lên trên trụ Implant và trụ kia sẽ là răng thật. Cách này sẽ giúp khách hàng tiết kiệm được chi phí, nhưng để thực hiện được thì đòi hỏi răng thật phải chắc khỏe.
- Mất nhiều răng cạnh nhau: Thông thường, bác sĩ có thể chỉ định cấy số trụ Implant ít hơn so với số răng bị mất và gắn cầu răng sứ lên trên, tùy vào tình trạng răng của từng khách hàng. Tùy vào mỗi trường hợp mà quá trình cắm Implant có thể chia làm nhiều lần, bởi mỗi lần chỉ cắm 2 trụ Implant để đảm bảo an toàn cho khách hàng.
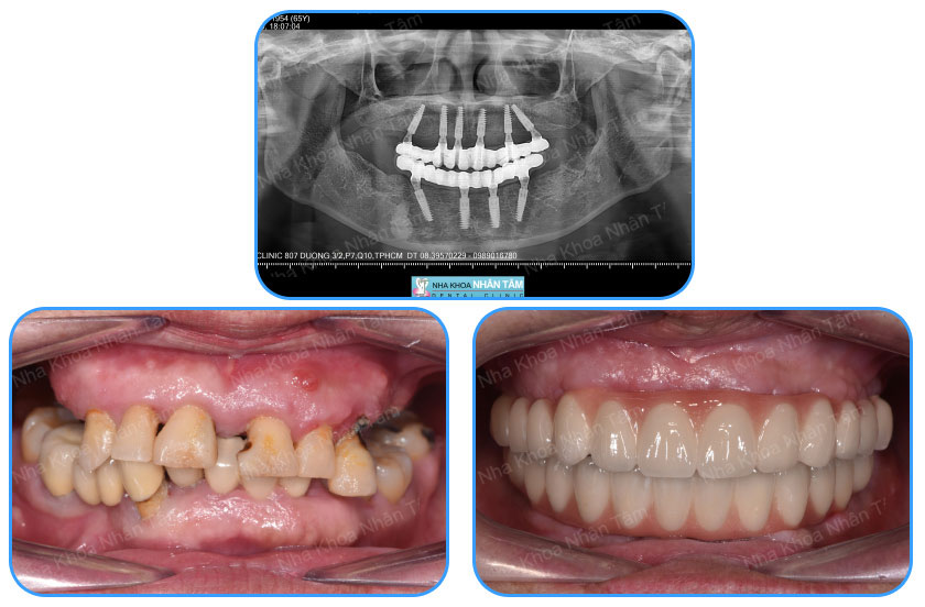
- Mất toàn bộ răng: Các trường hợp mất răng toàn hàm trên hoặc hàm dưới cũng có thể lựa chọn cấy ghép Implant để phục hồi răng mất một cách hoàn hảo. Tùy vào từng trường hợp cụ thể mà có thể lựa chọn cấy ghép Implant đơn lẻ hoặc cấy ghép Implant All on X (All on X là phương pháp cắm từ 2, 3, 4 hoặc 5, 6,... trụ Implant, tùy vào tình trạng của mỗi người. Quá trình cắm trụ sẽ được chia làm nhiều lần, mỗi lần chỉ cắm 2 trụ Implant để đảm bảo an toàn cho khách hàng).

Implant áp dụng được cho rất nhiều trường hợp mất răng
Quy trình thực hiện cấy ghép răng Implant
Việc cấy ghép răng Implant thường được thực hiện theo từng giai đoạn:
- Đầu tiên, thăm khám và chụp phim CT Cone Beam 3D được thực hiện để cung cấp cho Bác sĩ hình ảnh rõ ràng về trình trạng mất răng và cấu trúc của xương hàm.
- Tiếp theo, sẽ có một cuộc phẫu thuật nhỏ để cấy trụ Implant vào trong xương hàm. Tùy theo chất lượng xương mà có thể có những thủ thuật như ghép xương, nâng xoang hoặc không. Quá trình phẫu thuật làm răng Implant sẽ được gây tê để giúp bệnh nhân cảm thấy thoải mái khi thực hiện.
- Khi trụ Implant được đặt vào xương, bệnh nhân cần chờ khoảng 3-6 tháng để quá trình tích hợp xương diễn ra.
- Khi Implant đã ổn định trong xương, Bác sĩ sẽ kiểm tra nướu và lấy dấu mẫu hàm để chế tạo răng sứ.
- Cuối cùng, răng sứ được gắn cố định lên trụ Implant thông qua khớp nối Abutment.


Thông thường, bạn sẽ mất từ 3-5 lần đến Nha khoa để thực hiện tất cả các bước trong quy trình cấy ghép Implant.
Nhiều người lo lắng cấy ghép răng Implant sẽ bị đau và có những rủi ro xảy ra, tuy nhiên, phương pháp cấy ghép răng Implant đã được hàng triệu người trên thế giới lựa chọn và được chứng minh là an toàn nếu thực hiện đúng kỹ thuật và chăm sóc Implant đúng cách.
Địa chỉ cấy ghép răng Implant uy tín tại TP.HCM
Không phải ngẫu nhiên mà khách hàng luôn hoang mang trong việc lựa chọn địa chỉ cấy ghép Implant uy tín tại TP.HCM. Bởi hiện nay, có rất nhiều nha khoa quảng cáo thực hiện được dịch vụ này, nhưng không phải nơi nào cũng mang lại kết quả như mong đợi.
Nha khoa Nhân Tâm là một trong số ít những nha khoa tại Việt Nam đi theo hướng nha khoa điều trị và đặt mục tiêu sức khỏe của khách hàng lên hàng đầu.
Đây là điểm đến được đông đảo khách hàng trong và ngoài nước tin tưởng lựa chọn nhờ vào chất lượng dịch vụ và sự chuyên nghiệp trong hơn 25 năm hình thành và phát triển.

Nha khoa Nhân Tâm là địa chỉ cấy ghép Implant uy tín hàng đầu tại TP.HCM
- Đội ngũ bác sĩ, trợ thủ nha khoa có trình độ chuyên môn cao, giàu kinh nghiệm, đứng đầu là Ts.Bs Võ Văn Nhân – một trong những chuyên gia hàng đầu về cấy ghép Implant tại Việt Nam với hơn 25 năm kinh nghiệm.
- 100% các loại trụ Implant và răng sứ được nhập khẩu chính hãng từ các thương hiệu nổi tiếng trên thế giới, có giấy tờ chứng minh rõ ràng.
- Tiên phong trong việc ứng dụng các trang thiết bị, công nghệ trồng răng hiện đại nhất nhằm đảm bảo quá trình thực hiện dịch vụ tối ưu nhất.
- Hệ thống vô trùng khép kín với phòng vô trùng riêng biệt tại nha khoa, đảm bảo an toàn tuyệt đối cho khách hàng, loại bỏ nguy cơ lây nhiễm chéo.
- Dịch vụ chăm sóc khách hàng chu đáo, hỗ trợ xe đưa – đón miễn phí, chính sách bảo hành lâu dài, đảm bảo tối đa quyền lợi và tạo sự an tâm cho khách hàng.

Nha khoa Nhân Tâm hỗ trợ xe đưa – đón miễn phí
Hy vọng rằng những thông tin trên đây đã giúp bạn hiểu rõ hơn về phương pháp cấy ghép Implant, từ đó nhanh chóng khắc phục tình trạng mất răng của mình. Nếu còn thắc mắc vấn đề nào khác, hãy liên hệ ngay với Nha khoa Nhân Tâm để được tư vấn nhanh chóng và hoàn toàn miễn phí.





