Viêm chân răng có mủ là tình trạng bị nhiễm trùng trong khoang miệng ở vùng chân răng, có thể lan sang các bộ phận khác. Khi thấy chân răng bị viêm chứng tỏ sức khỏe răng miệng của bạn đang có vấn đề xấu, cần nhanh chóng điều trị nếu không muốn gặp biến chứng nguy hiểm.
Bệnh lý viêm chân răng có mủ là gì?
Viêm chân răng có mủ là bệnh về chân răng hoặc nướu răng đang bị vi khuẩn tấn công gây nhiễm trùng. Có thể là do vôi răng hình thành trên răng lan xuống phần nướu dẫn đến viêm chân răng tạo thành túi mủ (gọi là áp xe răng).
Viêm chân răng có mủ sẽ gây ra các cơn đau liên tục với nhiều mức độ khác nhau, thậm chí đau lan đến phần hàm, tai và cổ. Nếu bạn không đến nha khoa điều trị kịp thời thì chân răng bị viêm có mủ sẽ gây ảnh hưởng nghiêm trọng tới sức khỏe răng miệng. Nặng hơn là gây nhiễm trùng máu và đe dọa đến tính mạng.

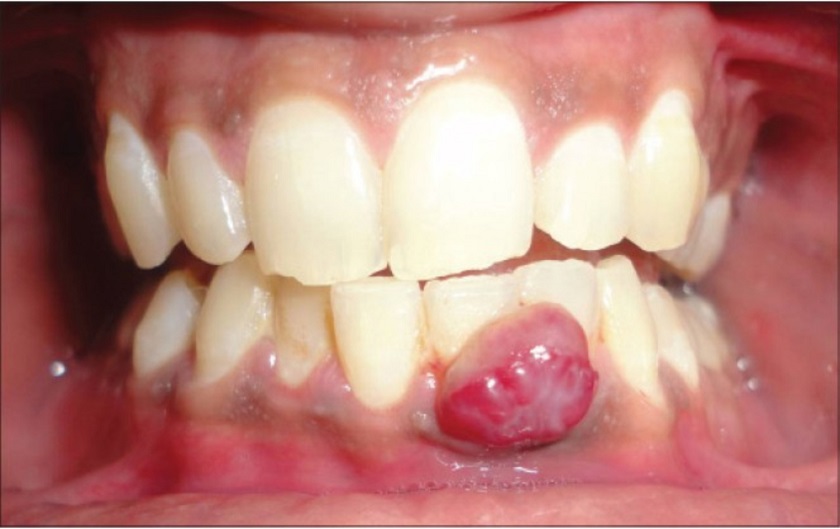
Bệnh lý viêm chân răng có mủ
Nguyên nhân mắc phải bệnh viêm chân răng có mủ
Bệnh lý viêm chân răng có mủ là tình trạng nhiễm trùng ở chân răng, với các nguyên nhân chính sau đây.
Do tủy răng
Đây chính là tình trạng tủy răng bị ảnh hưởng do nhiễm trùng từ các bộ phận khác của răng. Khi răng bắt đầu bị sâu, vi khuẩn sẽ phá hủy lớp men răng và ngà răng để tấn công trực tiếp vào phần tủy răng bên trong. Nếu để tình trạng viêm quanh răng lâu ngày sẽ lan xuống phần cuống răng và gây ảnh hưởng đến tủy răng.
Bệnh tủy răng nếu để lâu ngày có thể hình thành ổ áp xe ở vị trí chân răng và cuống răng của các bạn. Chúng sẽ tạo thành những ổ viêm có mủ gây ra các cơn đau và mùi hôi vô cùng khó chịu.
Bệnh về tủy răng nếu không được chữa trị kịp thời sẽ khiến tủy răng bị nhiễm trùng nghiêm trọng, dẫn đến mất răng. Khi các bạn để quá lâu, các ổ mủ sẽ di chuyển vào máu có thể khiến máu bị nhiễm trùng và gây nguy hiểm đến tính mạng.
Viêm quanh răng (bệnh viêm nha chu)
Một trong những nguyên nhân dẫn đến bệnh này là do vệ sinh răng miệng không đúng cách, thức ăn còn sót lại không được lấy hết, cao răng để lâu ngày. Bên cạnh đó, những tác động mạnh cũng gây tổn thương nướu răng như đánh răng quá mạnh, xỉa răng bằng tăm vô tình đâm vào lợi. Các hành động này đều gây viêm lợi với các triệu chứng như hôi miệng, chảy máu, lợi bị sưng, che mất một phần răng.
Bệnh này không được chữa trị kịp thời sẽ khiến phần lợi bị nhiễm trùng, thức ăn kẹt ở kẽ răng làm cho vi khuẩn phát triển nhanh. Sau đó vùng nướu răng sẽ xuất hiện áp - xe, tạo mủ, xương răng dần tiêu đi và nướu răng bị tụt xuống.

Viêm quanh răng (bệnh viêm nha chu)
Nguyên nhân khác
Ngoài 2 nguyên nhân phổ biến ở trên thì cũng có một số nguyên nhân khác gây nên tình trạng viêm chân răng có mủ như:
- Bị chấn thương khớp cắn ở răng.
- Do mắc bệnh tiểu đường.
- Sử dụng quá nhiều loại thuốc, người có sức đề kháng yếu.
Dấu hiệu khi bị viêm chân răng có mủ
Dấu hiệu nhận biết viêm chân răng có mủ rất dễ nhận biết, các bạn có thể biết được tình trạng này qua các cơn đau và dấu hiệu ở bên ngoài:
- Cảm giác đau nhói ở răng, lan dần sang cả hàm, tai và cổ. Mức độ đau sẽ tăng lên khi nhai và không thể nhai ở bên bị đau.
- Nướu sưng to hơn bình thường, cảm giác đau, sưng mềm khi ấn vào chỗ bị đau, rất dễ chảy máu và có mủ chảy ra khi ấn vào.
- Phần da mặt nơi có răng đau sẽ to hơn bình thường kèm theo cảm giác nóng rát, đỏ mặt.
- Xuất hiện những nốt hạch ở cổ, hàm, nhấn vào có cảm giác đau và miệng có mùi hôi.
- Khối mủ mọc ở vùng chân răng, khi khối mủ vỡ ra thì bạn sẽ bớt đau hơn.
Điều trị viêm chân răng có mủ tại nha khoa hiệu quả
Muốn điều trị tình trạng chân răng có mủ, các bác sĩ nha khoa sẽ làm sạch vị trí bị nhiễm trùng và giảm đau. Tùy theo triệu chứng mà bác sĩ sẽ chỉ định chụp X-quang để xác định tình trạng cụ thể và xem các khu vực lân cận có bị lây nhiễm không.
- Dẫn lưu khối mủ: Bác sĩ nha khoa sẽ tạo một vết nhỏ ở vị trí chân răng bị viêm để dẫn lưu khối mủ. Sau đó làm sạch khu vực bị viêm để phòng tránh tình trạng viêm nhiễm lây lan sang xung quanh.
- Lấy tủy răng: Tủy răng là phần mềm nằm ở bên trong răng, nơi chứa dây thần kinh, mô liên kết và các mạch máu. Bác sĩ sẽ lấy tủy răng ra để giữ lại những chiếc răng bị sâu hay bị viêm bằng cách khoan một lỗ nhỏ trên răng rồi loại bỏ tủy răng bị viêm nhiễm.
- Nhổ răng: Nếu tình trạng viêm chân răng có mủ của bạn quá nghiêm trọng khiến răng bị hỏng nặng, bác sĩ sẽ chỉ định nhổ bỏ răng rồi mới làm sạch ổ viêm.
- Dùng thuốc kháng sinh: Nếu phần viêm ở chân răng đã lan rộng ra xung quanh hay hệ miễn dịch của bạn không thể chống lại tình trạng nhiễm trùng, bác sĩ sẽ kê đơn thuốc kháng sinh để bạn sử dụng.
- Làm tiểu phẫu: Nếu tình trạng viêm chân răng là do dị vật (xương cá hay lông bàn chải…), bác sĩ sẽ làm tiểu phẫu để loại bỏ chúng.

Điều trị viêm chân răng có mủ tại nha khoa hiệu quả
Sau khi điều trị viêm chân răng có mủ, bạn cần lưu ý những vấn đề để phòng tránh tình trạng này tái phát:
- Chăm sóc răng miệng sạch sẽ bằng cách chải răng sau mỗi bữa ăn và trước khi đi ngủ để răng chắc khỏe. Hãy sử dụng chỉ nha khoa để loại bỏ những mảnh vụn thức ăn còn tồn đọng trên răng.
- Súc miệng bằng nước muối ấm mỗi ngày để tiêu diệt vi khuẩn hiệu quả
- Hãy đi lấy cao răng và khám răng định kỳ tại nha khoa 6 tháng/lần để bảo vệ sức khỏe răng miệng được tốt nhất.
Nếu bạn bất cứ vấn đề gì về việc chăm sóc sức khỏe răng miệng hoặc đang bị viêm chân răng có mủ, hãy liên hệ ngay Nha khoa Nhân Tâm. Đội ngũ nhân viên sẽ nhiệt tình giải đáp và các y bác sĩ với kinh nghiệm dày dặn sẽ giải quyết mọi vấn đề của bạn.



