Niềng răng vô hình là gì?
Niềng răng Invisalign hay còn gọi là niềng răng không mắc cài. Đây là một loại hình điều trị chỉnh nha sử dụng các dấu hiệu rõ ràng, vì vậy người đối diện khó có thể nhận ra rằng bạn đang niềng răng.
Trong quá trình niềng răng vô hình, bác sĩ thăm khám tình trạng của bệnh nhân sau đó lên kế hoạch điều trị dứt điểm từ đầu, cho bệnh nhân biết trước kết quả qua hình ảnh 3D. Các chuỗi khay trong suốt sau đó được tạo ra cho từng bệnh nhân cụ thể.
Để hoàn tất quá trình điều trị, bệnh nhân sẽ cần đeo khoảng 20-40 khay niềng răng tùy theo tình trạng răng miệng của mỗi người và sự hướng dẫn của nha sĩ. Trung bình mỗi pallet khoảng 4-6 tuần và mỗi pallet di chuyển khoảng 0,25mm.

Niềng răng Invisalign – Niềng như không niềng mang lại thẩm mỹ cao
Niềng răng vô hình Invisalign phù hợp cho những ai?
Invisalign có thể điều trị thành công cho nhiều trường hợp. Chúng bao gồm các đối tượng như:
- Răng hơi chìa ra ngoài (hô, vẩu, móm), sứt mẻ và thưa.
- Răng mọc lệch lạc, mọc ngược, mọc ngầm, hơi chen chúc nhau.
- Vết cắn quá mức, vết cắn hở, vết cắn sâu,… ở mức độ nhẹ.
- Khách hàng muốn niềng răng nhưng bị dị ứng với mắc cài kim loại.
- Khách hàng có yêu cầu cao về tính thẩm mỹ trong quá trình chỉnh nha.
- Khách hàng không có nhiều thời gian, ở xa phòng khám hoặc dự định đi học, làm việc ở nước ngoài.
Lợi ích lớn nhất của niềng răng vô hình Invisalign?
Được coi là bước đột phá lớn trong ngành chỉnh nha, niềng răng Invisalign mang đến cơ hội làm thẳng răng hiệu quả mà không cần dùng đến mắc cài. Dưới đây là những ưu điểm của niềng răng Invisalign mà không phải phương pháp niềng răng nào cũng có được:
1. Thẩm mỹ cao:
Các khay Invisalign hầu như không thể nhìn thấy được và chúng được thiết kế để ôm lấy răng của bạn, vì vậy người đối diện sẽ không dễ dàng nhận ra bạn đang chỉnh nha. Ngoài ra, khay trong suốt còn giúp che đi một số khuyết điểm của răng hiện có.
2. Tạo sự thoải mái:
Các thiết bị định hình vô hình Invisalign gần như không thể nhìn thấy được và chúng được thiết kế để vừa khít với răng của bạn để mọi người không thể dễ dàng nhìn thấy bạn đang nắn chỉnh răng. Ngoài ra, khay trong suốt còn giúp che đi một số khuyết điểm trên răng hiện có.
3. Tiện lợi khi vệ sinh:
Các khay niềng dễ tháo ra, cho phép bạn làm sạch răng và giảm các bệnh răng miệng có thể xảy ra.
4. Đảm bảo an toàn:
Mắc cài vô hình Invisalign được thiết kế để phù hợp với các cá nhân khác nhau, các núm chỉnh bằng nhựa trong vừa khít với răng của bạn, không cọ xát vào má, môi gây lở miệng, sưng nướu và không gây kích ứng hoặc làm tổn thương mô nướu như truyền thống The giống như cách mắc cài.

Invisalign dễ dàng tháo lắp một cách dễ dàng, tạo sự thuận tiện khi sử dụng
Đọc thêm: Nha khoa niềng răng chất lượng cao – trả góp lãi suất 0%
Niềng răng vô hình sẽ mất khoảng bao lâu?
Niềng răng vô hình mất bao lâu phụ thuộc vào nhiều yếu tố. Nắm rõ những yếu tố này trước khi quyết định niềng răng, bạn sẽ rút ngắn thời gian điều trị và giúp quá trình chỉnh nha của bạn an toàn hơn.
Độ tuổi niềng răng:
Thông thường, độ tuổi lý tưởng để niềng răng là từ 9 đến 12 tuổi. Nói như vậy không có nghĩa những người ngoài độ tuổi này niềng răng không hiệu quả. Tuy nhiên, càng lớn tuổi, hàm của bạn càng trở nên cứng hơn nên việc niềng răng sẽ mất nhiều thời gian hơn.
Nếu tình trạng mất răng quá nặng thì cần thực hiện phức tạp hơn nên thời gian chỉnh nha sẽ chậm hơn.
Tay nghề Bác sĩ:
Đây cũng là yếu tố quan trọng quyết định thời gian niềng răng mất bao lâu. Dù phương pháp niềng răng có hiện đại và công nghệ tiên tiến đến đâu mà không có bác sĩ giỏi thì cũng không thể mang lại hiệu quả cao được.
Bác sĩ có trình độ chuyên môn cao, giàu kinh nghiệm sẽ giúp bạn lựa chọn khí cụ chỉnh nha và thao tác niềng răng chính xác hơn, tiết kiệm thời gian hơn.
Giá niềng răng vô hình Invisalign hiện nay là bao nhiêu?
Do những ưu điểm vượt trội nên chi phí niềng răng vô hình Inisalign cũng là vấn đề được nhiều người quan tâm. Mức phí này phụ thuộc vào nhiều yếu tố như: tình trạng răng miệng của mỗi người, địa chỉ nha khoa bạn lựa chọn, chất liệu khay niềng,…
Nếu bạn muốn số lượng cụ thể có thể tham khảo bảng giá niềng răng vô hình tại Nha Khoa Nhân Tâm như sau:
Địa chỉ niềng răng Invisalign uy tín – Nha Khoa Nhân Tâm
Niềng răng Invisalign là phương pháp điều trị chỉnh nha phổ biến nhất. Để đạt được hiệu quả như mong muốn thì tìm phòng khám nha khoa nào tốt, một địa chỉ niềng răng uy tín là vô cùng quan trọng. Với đội ngũ bác sĩ giỏi và trang thiết bị hiện đại, Nha khoa Nhân Tâm là sự lựa chọn đáng tin cậy cho mọi người.
Đội ngũ bác sĩ chất lượng cao, được đào tạo bài bản về chỉnh nha. Với kinh nghiệm và tay nghề của mình, các bác sĩ sẽ đảm bảo cho việc chỉnh nha hiệu quả, nắn chỉnh đúng cách mà không sợ bị lệch lạc.
Không gian khám, tư vấn và điều trị tại Nha khoa Nhân Tâm rất thoáng mát, rộng rãi. Tất cả các dụng cụ nha khoa đều được vô trùng tuyệt đối và mỗi khách hàng sẽ sử dụng một bộ dụng cụ riêng, loại bỏ tình trạng lây nhiễm chéo.
Máy X-Quang Paronex & Cephalometric thế hệ mới giúp bác sĩ xác định chính xác tình trạng, khiếm khuyết của răng, từ đó lên phương án điều trị chi tiết, cụ thể, tính toán hợp lý thời điểm di chuyển răng, số lượng răng móm và kết quả niềng răng như thế nào ở dạng 3D.


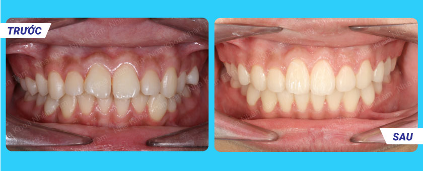
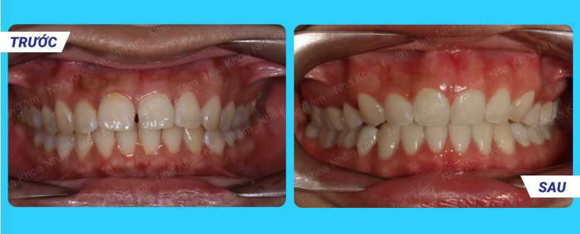
Khách hàng niềng răng tại Nha khoa Nhân Tâm
Đội ngũ nhân viên được đào tạo bài bản, sẵn sàng hỗ trợ và giải đáp các thắc mắc của bệnh nhân. Ngoài ra, nha khoa còn cung cấp dịch vụ lấy hàng và bảo hành chu đáo cho khách hàng.
Hỗ trợ niềng răng, trả góp 0% lãi suất, mỗi tháng chỉ từ 1 triệu đồng, không phát sinh thêm bất kỳ khoản phí nào. Điều này sẽ giúp giảm bớt gánh nặng tài chính của khách hàng và lý tưởng cho sinh viên, sinh viên mới tốt nghiệp, nhân viên văn phòng, v.v.
Quy trình niềng răng vô hình invisalign tại nha khoa Nhân Tâm
Niềng răng vô hình Invisalign tại Nha Khoa Nhân Tâm được thực hiện theo một quy trình chuẩn với trình tự rõ ràng và chính xác đến từng bước nhỏ nhất:
- Bước 1: Thăm khám và tư vấn
- Bước 2: Chụp phim bằng máy X-quang Cone Beam CT 3D
- Bước 3: Lập phác đồ bằng phần mềm Vceph 3D
- Bước 4: Vệ sinh răng miệng và lấy dấu mẫu hàm
- Bước 5: Thiết kế khay niềng
- Bước 6: Hướng dẫn sử dụng khay niềng và hẹn lịch tái khám.
Nếu bạn đang cân nhắc điều trị chỉnh nha và muốn tìm hiểu thêm về phương pháp niềng răng vô hình Invisalign, hãy liên hệ với Nha khoa Nhân Tâm ngay hôm nay.
Đội ngũ nhân viên chăm sóc và chuyên nghiệp của chúng tôi sẽ sẵn lòng trả lời bất kỳ câu hỏi hoặc thắc mắc nào mà bạn có thể có để giúp bạn quyết định điều trị chỉnh nha nào là tốt nhất cho nhu cầu của bạn.




