CHI PHÍ MẶT DÁN SỨ VENEER BAO NHIÊU?
Nha khoa Nhân Tâm công khai bảng giá răng sứ veneer giúp khách hàng lựa chọn được loại răng sứ phù hợp

QUY TRÌNH DÁN SỨ VENEER TẠI NHA KHOA NHÂN TÂM NHƯ THẾ NÀO?
Bước 1: Thăm khám, chụp phim và tư vấn bác sĩ
Với Hệ thống CT 3D Cone Beam, các bác sĩ thực hiện thăm khám, chụp phim để đánh giá tổng thể tình trạng răng miệng nhằm đưa ra phương án điều trị nhanh chóng và hiệu quả nhất.
Bước 2: Vệ sinh răng miệng sạch sẽ
Làm sạch để loại bỏ mảng bám và làm sạch răng miệng kỹ lưỡng.

Bước 3: Tiến hành thiết kế nụ cười bằng phần mềm Smile Design Pro
Bác sĩ tiến hành chụp phim, dựng phim và đưa vào phần mềm chuyên dụng để phân tích màu răng, dáng răng, đường nét nụ cười, .. sau đó trao đổi với khách hàng để tìm ra nụ cười và dáng răng phù hợp nhất.
Bước 4: Tạo hình răng và lấy dấu mẫu hàm
Tùy theo tình trạng khoang miệng, bác sĩ sẽ tạo hình lại răng theo tỷ lệ phù hợp để đảm bảo không gian sinh học không bị xâm phạm, mô nướu và răng được bảo vệ tối ưu.
Sử dụng phần mềm 3shape để lấy dấu răng giúp lấy dấu nhanh và chính xác, loại bỏ sai sót so với các phương pháp cũ.
Bước 5: Tiến hàng gắn mặt dán sứ Veneer
Sau khi kết thúc quá trình chế tác, veneer sứ được gắn vào răng, nắn chỉnh lại, đảm bảo ăn nhai và thẩm mỹ.
Bước 6: Hoàn tất điều trị và hướng dẫn chăm sóc tại nhà
Sau quy trình bọc răng sứ, bác sĩ sẽ sắp xếp lịch tái khám (nếu có) và hướng dẫn bạn cách chăm sóc răng miệng đúng cách tại nhà để răng sứ luôn bền đẹp và tồn tại lâu dài.

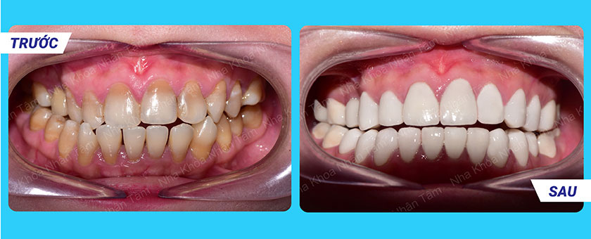
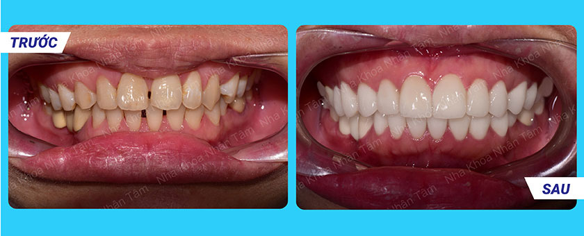
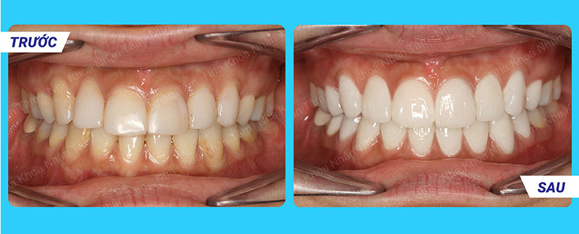
Khách hàng đang điều trị mặt dán sứ Veneer tại Nha khoa Nhân Tâm
THỜI GIAN ĐỂ LÀM RĂNG SỨ VENEER MẤT BAO LÂU?
Nha khoa Nhân Tâm có kỹ thuật điều trị hiện đại cùng đội ngũ bác sĩ nhiều năm kinh nghiệm nên rút ngắn thời gian, đảm bảo khả năng ăn nhai và tính thẩm mỹ.
Để hoàn tất quá trình làm mặt dán sứ Veneer, khách hàng cần đến Nha khoa Nhân Tâm khoảng 2-3 lần.
Trong lần hẹn khám đầu tiên, bác sĩ sẽ tiến hành thăm khám để kiểm tra sức khỏe răng miệng, làm sạch răng miệng, tạo hình nụ cười và thực hiện phục hình răng.

Kỹ thuật dán sứ veneer hạn chế việc mài và xâm lấn răng thật, khiến cho một số trường hợp không cần thiết phải mài. Việc mài răng được thực hiện chỉ khoảng 0,3mm và hoàn toàn không ảnh hưởng đến răng thật.
Sau khi tạo hình xong, răng sẽ được lấy dấu bằng máy quét tự động. Thông số sẽ được gửi trực tiếp đến Labo tại Nha Khoa Nhân Tâm. Đội ngũ kỹ thuật viên chế tạo mặt dán sứ chuẩn xác nhất theo các thông số này, đảm bảo răng sau này khít và bền chắc.

Trong lần hẹn thứ 2, bác sĩ sẽ dán sứ Veneer lên răng và cố định hợp chất cement kết dính kết hợp ánh sáng cao tần. Sau khi phục hình, veneer sứ sẽ nằm chắc chắn, ôm sát hoàn toàn vào mô nướu, có màu sắc tự nhiên như men răng thật, hài hòa tuyệt đối với tổng thể cung răng.

Hình ảnh khách hàng điều trị mặt dán sứ veneer tại Nha khoa Nhân Tâm
Tuy nhiên, thời gian làm mặt dán sứ veneer ở mỗi người là khác nhau, tùy thuộc vào tình trạng sức khỏe và răng miệng của mỗi người. Nếu bệnh nhân gặp một số vấn đề về sức khỏe răng miệng như viêm nướu, sâu răng, nha chu… thì bác sĩ cần tiến hành điều trị dứt điểm trước khi bọc sứ veneer.
Để biết cụ thể thời gian điều trị mặt dán sứ, khách hàng cần đến trực tiếp Nha Khoa Nhân Tâm để được bác sĩ thăm khám và đưa ra phương án điều trị phù hợp nhất.
Tư vấn: Bọc răng sứ ở đâu tốt tphcm?
TRƯỜNG HỢP NÀO NÊN TIẾN HÀNH LÀM RĂNG SỨ VENEER?
Thực phẩm tạo màu gây ố vàng răng, răng bị nhiễm Florua
Răng nhiễm kháng sinh, bệnh giảm sản men
Răng thưa, sứt mẻ, gãy nhẹ
Kích thước và hình dạng răng không đồng đều
VÌ SAO NÊN CHỌN NHA KHOA NHÂN TÂM ĐỂ DÁN RĂNG SỨ VENEER
Mặt dán sứ veneer là kỹ thuật phục hình răng đòi hỏi bác sĩ giỏi và đầy đủ trang thiết bị hiện đại nên khi quyết định làm veneer sứ, khách hàng cần lựa chọn nha khoa tốt nhất và uy tín nhất để đảm bảo ca phục hình an toàn và hoàn hảo nhất.
Nha Khoa Nhân Tâm - Trung tâm bọc răng sứ thẩm mỹ hàng đầu Việt Nam tự hào đạt tiêu chuẩn phòng khám nha khoa hiện đại, uy tín và chất lượng:
Đội ngũ Bác sĩ nha khoa thẩm mỹ hơn 20 năm kinh nghiệm trong lĩnh vực bọc răng sứ thẩm mỹ, tốt nghiệp các trường đại học danh tiếng trong và ngoài nước, không ngừng cập nhật xu hướng thẩm mỹ răng miệng hiện đại, đảm bảo mang lại kết quả tốt nhất, tạo hình răng sứ phù hợp và chính xác nhất. kế hoạch điều trị cho tình trạng răng cụ thể của từng bệnh nhân.
Hệ thống vô trùng Nha khoa đạt chuẩn Quốc tế và loại bỏ hoàn toàn tình trạng lây nhiễm chéo.
Hệ thống Labo hiện đại tại phòng nha cùng đội ngũ kỹ thuật viên tay nghề cao đảm bảo sản xuất răng sứ nhanh chóng, chính xác theo chỉ định của bác sĩ điều trị.

Với đội ngũ bác sĩ nhiều năm kinh nghiệm, trang thiết bị hiện đại và chất lượng dịch vụ 5 sao, Nha khoa Nhân Tâm sẽ là lựa chọn phù hợp để điều trị răng sứ veneer.
Ứng dụng công nghệ điều trị hiện đại, trang thiết bị nha khoa nhập khẩu trực tiếp từ Châu Âu: Hệ thống 3D Ct Cone Beam, phần mềm lấy mẫu hàm số 3 Shape, Hệ thống chế tác sứ tự động CAD/CAM,… rút ngắn thời gian điều trị, răng sứ tinh tế, hậu phẫu thẩm mỹ tối đa có thể đạt được điều trị.
Dịch vụ thăm khám và lấy thuốc miễn phí nhằm tạo điều kiện thuận lợi nhất cho khách hàng khi đến thăm khám và điều trị tại Nha Khoa Nhân Tâm.
Dịch vụ chất lượng cao 5 sao, chăm sóc chu đáo trước, trong và sau khi điều trị.



