Mặt dán sứ Veneer sẽ mang lại một hàm răng trắng sáng
Mặt dán sứ Veneer là gì?
Mặt dán sứ Veneer hay còn được gọi là Laminate sứ. Đây là một kỹ thuật phục hình, thẩm mỹ bảo tồn răng thật được sử dụng khá phổ biến tại Mỹ và Châu Âu.
Tuy nhiên, vì độ phức tạp về mặt kỹ thuật cũng như yêu cầu trình độ cao đối với cả bác sĩ và kỹ thuật viên nha khoa, cho nên tại Việt Nam, kỹ thuật này vẫn chưa được phổ biến rộng rãi.
Có rất ít phòng khám nha khoa gần đây có thể thực hiện được phương pháp này, trong đó nơi được đánh giá tốt nhất chính là Trung tâm Nha khoa Nhân Tâm của Tiến sĩ, Bác sĩ Võ Văn Nhân.

Để thực hiện kỹ thuật dán sứ Veneer, bác sĩ phải có tay nghề cao
Trước đây, nếu muốn có hàm răng đều, đẹp, khắc phục các tình trạng răng nhiễm màu kháng sinh nặng thì bạn phải nhờ đến phương pháp làm răng sứ. Và với phương pháp này, bác sĩ cần phải mài cùi, xâm lấn răng nên có thể khiến bạn bị ê buốt, đau nhức.
Do vậy khá nhiều người cảm thấy e ngại. Ngày nay, kể từ khi có mặt dán sứ Veneer thì tình trạng khó chịu hay ê buốt răng đã không còn xảy ra. Bởi bác sĩ chỉ mài mặt ngoài của răng rồi sau đó dán mặt sứ lên, nhằm mang lại độ trắng sáng và hoàn thiện hơn cho bề mặt răng của bạn.
Tiến sĩ, Bác sĩ Võ Văn Nhân cho biết: Mặt dán sứ Veneer yêu cầu mài răng khá ít. Nếu như sử dụng công nghệ CAD/ CAM thì mặt sứ Veneer sẽ có độ dày trung bình là 0,6mm, thậm chí có những mặt sứ chỉ dày 0,3mm.
Vì mài răng ít cho nên răng thật của bạn sẽ được bảo tồn, gần 100% trường hợp làm mặt sứ Veneer không cần tiến hành điều trị tủy.

Mặt dán sứ Veneer yêu cầu mài răng khá ít
Mặt dán sứ Veneer có tốt không?
Được các chuyên gia đánh giá là phương pháp hiệu quả nhất hiện nay trong việc phục hình các khuyết điểm trên răng, mặt dán sứ Veneer sở hữu rất nhiều ưu điểm vượt trội hơn so với các phương pháp thông thường:
Đảm bảo hiệu quả thẩm mỹ: veneer sứ được thiết kế với màu sắc trắng sáng, trùng khít với kích thước bề mặt răng, mỗi khi bạn nở nụ cười thì người đối diện sẽ bị thu hút bởi một hàm răng trắng sáng và đều đẹp.
Độ bền cao: mặt dán sứ veneer có độ chịu lực rất tốt, bạn có thể ăn nhai như răng thật mà không lo xảy ra bất kỳ tình trạng gì. Tất nhiên bạn cũng nên hạn chế sử dụng các loại thực phẩm quá cứng để đảm bảo độ bền của veneer sứ được bền lâu.

Thẩm mỹ cao là một trong những ưu điểm nổi trội của mặt dán sứ Veneer
Tỉ lệ mài răng ít: phương pháp dán sứ veneer yêu cầu mài răng khá ít, độ dày trung bình chỉ ở mức 0,3 - 0,6mm. Vì vậy bạn sẽ không gặp phải các tình trạng như bị đau nhức hay ê buốt răng trong suốt quá trình sử dụng.
Hạn chế cao răng: lớp sứ bóng phủ bên ngoài mặt dán sứ Veneer đóng vai trò như một lớp màng bảo vệ răng, hạn chế được sự hình thành mảng bám, cao răng và sự tác động của axit có trong thức ăn vào răng thật, đồng thời bảo vệ men răng tự nhiên.
Xem thêm: Giới thiệu hệ thống CAD/CAM nha khoa (Hệ thống Cerec 2)
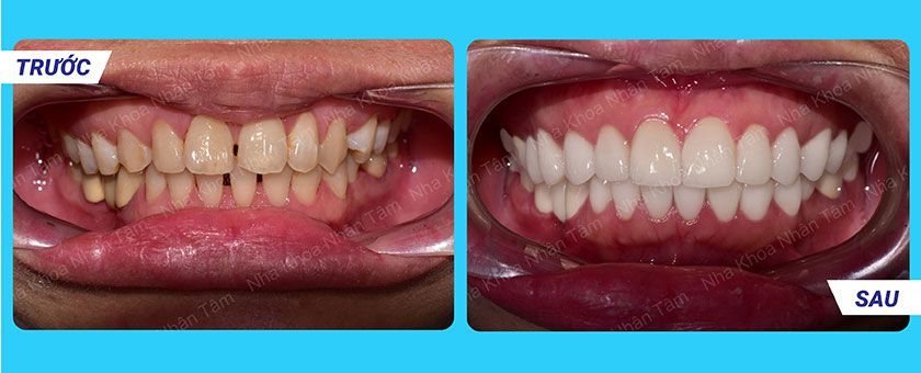
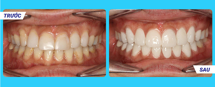
Hình ảnh trước - sau khi làm mặt dán sứ veneer


Hình ảnh khách hàng
Nha khoa Nhân Tâm cho răng đẹp, bền và ăn nhai hiệu quả
- Đội ngũ Bác sĩ Nha khoa với hơn 25 năm kinh nghiệm trong lĩnh vực răng sứ thẩm mỹ, luôn chú trọng đến từng chi tiết nhỏ để tạo ra 1 hàm răng đều, đẹp và đáp ứng nhu cầu ăn nhai cho người điều trị.
- Ứng dụng công nghệ răng sứ thẩm mỹ thế hệ mới với Phần mềm lấy dấu kỹ thuật số 3Shape, Hệ thống CAD/CAM tự động hóa, phần mềm thiết kế nụ cười Smile Design Pro,...
- Hệ thống LAB riêng biệt tại Nha khoa, đảm bảo quá trình chế tác răng sứ chính xác, tinh tế và đáp ứng cao nhu cầu thẩm mỹ.
- Hệ thống vô trùng nha khoa hiện đại, mang đến sự an tâm, an toàn tuyệt đối cho khách hàng.
- Dịch vụ chất lượng cao, được khách hàng Quốc tế, Kiều bào công nhận.
- Đặt chữ tâm lên hàng đầu, Nha khoa Nhân Tâm cam kết mang đến kết quả điều trị tốt cho khách hàng.



