Bọc răng sứ - Xu hướng về thẩm mỹ răng hiện đại ngày nay
Bọc răng sứ đang là xu hướng làm đẹp hiện đại được nhiều người ưa chuộng. Phương pháp này sử dụng một mão sứ được thiết kế và chế tạo theo công nghệ cao để bọc cùi răng đã mài. Chính vì vậy, răng sứ có khả năng khắc phục hầu hết các khuyết điểm trên răng như vỡ, xỉn màu, ố vàng, nhiễm màu nặng… mang đến cho khách hàng hàm răng trắng bóng, đẹp tự nhiên.

Bọc răng sứ dụng một mão sứ để bọc lại phần cùi răng đã được mài
Làm răng thay đổi tướng số, vận mệnh
Theo nhân tướng học, những người có răng thưa thường kém sắc, răng mọc vào trong sẽ gây khó khăn trong tình duyên và công việc, răng mọc chìa ra ngoài thường không suôn sẻ hay gặp trắc trở. Tuy nhận định trên không có cơ sở khoa học nhưng trên thực tế, nếu răng bạn không tốt sẽ gây ra nhiều phiền toái, khiến bạn tự ti, không dám giao tiếp, từ đó ảnh hưởng đến công việc, cuộc sống và tình duyên.
Chính vì vậy, nhiều người lấy đây là lý do nên bọc răng sứ, vì bọc răng sứ bạn sẽ có được hàm răng đều đẹp, trắng khỏe tự nhiên, lấy lại sự tự tin mỗi khi giao tiếp và nở nụ cười. sẽ ngày càng trở nên phổ biến hơn.

Hàm răng đẹp sẽ giúp bạn tự tin hơn và cuộc sống dễ dàng hơn
Mang lại thẩm mỹ cao về hình thể
Răng sứ được thiết kế có hình dáng và màu sắc rất tự nhiên, giống như răng thật, giúp khắc phục tối đa các khuyết điểm của răng như răng bị mất, gãy, ố vàng, sâu răng,…
Theo Tiến sĩ, Bác sĩ Võ Văn Nhân, Giám đốc Trung tâm Nha khoa Nhân Tâm, nếu răng bị sâu quá nhiều, mảnh vỡ lớn không thể trám lại thì nên bọc răng sứ, nếu răng bị thưa, mọc chìa, mọc lệch lạc. ... nhưng phương pháp niềng răng - chỉnh nha không được chấp nhận Có, bọc răng sứ sẽ phục hình răng và giúp răng đẹp về màu sắc như mong muốn; nếu răng bị nhiễm màu nặng mà các phương pháp tẩy trắng răng không hiệu quả thì bọc răng sứ sẽ mang lại một lớp men răng mới, giúp răng trắng và đẹp hơn.

Bọc răng sứ cho hàm răng trắng đẹp tự nhiên
Tuổi thọ răng sứ bền lâu
Răng sứ đạt tiêu chuẩn có độ bền rất cao, đặc biệt là các loại răng sứ đến từ các hãng nổi tiếng như Thụy Sĩ, Đức, Hoa Kỳ. Theo thói quen sử dụng và duy trì của mỗi người, tuổi thọ của răng sứ có thể duy trì từ 8-20 năm. hàm răng.
Thông thường, răng sứ kim loại (sườn răng bằng kim loại thường, titan, hoặc kim loại quý) có thể tồn tại từ 8 đến 15 năm khi được phục hình đúng kỹ thuật và chăm sóc tốt. Loại răng này do có tính chất kim loại nên tuổi thọ thấp hơn so với răng sứ không kim loại và có thể gặp một số kích ứng nhiệt và lạnh, kích ứng răng và nướu, dẫn đến viền nướu bị thâm đen.
Răng sứ không kim loại (răng sứ toàn sứ) có tuổi thọ cao, khoảng 15 - 20 năm. Ngoài ra, loại răng sứ này có đặc điểm là kết cấu sứ đồng nhất, rất an toàn cho răng và nướu, không gây thâm đen viền nướu, không gây kích ứng răng miệng,…

Răng sứ toàn sứ thường có tuổi thọ cao hơn răng sứ kim loại
Đảm bảo ăn nhai bình thường
Bọc răng sứ đảm bảo chức năng ăn nhai của bệnh nhân, vì răng sứ được nung ở nhiệt độ cao, có độ cứng gấp 4 - 5 lần răng thật, ngoài ra răng sứ còn có khả năng chịu lực cao, chống ăn mòn tốt, chịu lực khi ăn nhai hiệu quả. . Do đó, sau khi bọc răng sứ, bệnh nhân có thể ăn uống sinh hoạt như bình thường. Tất nhiên, với những thức ăn quá cứng, bạn cần hạn chế sử dụng, vì răng dễ bị nứt, mất nếu không sử dụng khớp cắn cân đối.

Bọc răng sứ sẽ đảm bảo chức năng ăn và nhai của bệnh nhân
Thời gian bọc sứ nhanh chóng
Thông thường, thời gian bọc răng sứ kéo dài từ 3-7 ngày với 2 lần hẹn. Tùy thuộc vào tình trạng răng miệng của bệnh nhân, số lượng răng cần điều trị, chuyên môn của bác sĩ và điều kiện vật chất kỹ thuật của cơ sở nha khoa mà đôi khi có thể lâu hơn.
Ở lần hẹn khám đầu tiên, bác sĩ sẽ khám tổng quát răng miệng cho bệnh nhân. Nếu tình trạng răng miệng của bệnh nhân khỏe mạnh và không mắc các bệnh lý như sâu răng, viêm nướu, nha chu thì có thể mài cùi ngay và lấy dấu răng để làm răng sứ. Nếu bệnh nhân có vấn đề về răng miệng sẽ được điều trị triệt để trước khi thực hiện các bước tiếp theo.
Ở lần hẹn thứ 2, bác sĩ sẽ tiếp tục khám răng rồi tiến hành bọc mão sứ lên răng. Khi khớp cắn và màu sắc đã đúng, răng sứ được gắn cố định trên răng thật, hoàn tất quá trình bọc răng sứ.

Trước khi bọc răng sứ, bác sĩ sẽ kiểm tra sức khỏe răng miệng của bệnh nhân
Đặc biệt, một số phòng khám nha khoa có review nha khoa tốt đều được trang bị công nghệ chế tạo răng sứ mới nhất như công nghệ CAD / CAM giúp hoàn thiện răng sứ nhanh chóng, mang lại sự tiện lợi tối đa cho bệnh nhân.

Công nghệ CAD/CAM giúp hoàn thiện răng sứ nhanh chóng
Những biến chứng cần đề phòng khi bọc sứ có thể xảy ra
Tiến sĩ, Bác sĩ Võ Văn Nhân cho biết, vật liệu phục hình răng đã được nghiên cứu từ lâu là không gây hại cho sức khỏe con người. Tuy nhiên, một số biến chứng cũng có thể gặp phải khi bọc răng sứ như:
- Viêm lợi khi không có răng hàm thích hợp, giải phẫu răng đúng và sinh học
- Kênh giữa hai hàm khiến bạn không thể ăn nhai.
- Đưa thức ăn vào kẽ do tiếp xúc kém với 2 răng bên cạnh.
- TChết tủy răng do bị mài quá nhiều bởi răng sống
- Bệnh nhân bị dị ứng với các thành phần kim loại như răng sứ kim loại, răng titan.

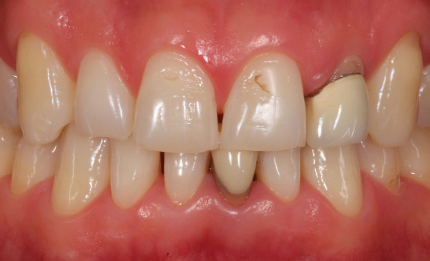
Mặt răng sứ có thể gây ra một số biến chứng nguy hiểm
Mặt dán sứ có thể gây ra một số biến chứng nguy hiểm
- Vì vậy, để răng sứ luôn đẹp và có tuổi thọ lâu dài, bạn cần biết cách chăm sóc răng miệng thật tốt.
- Không nên ăn thức ăn quá cứng như kẹo cứng, mía, xương… để không tác động mạnh đến răng miệng. Nên chọn những thức ăn có kết cấu mềm, dễ tiêu hóa, có tính kiềm, bão hòa axit dịch vị như rau xanh, hoa quả tươi.
- Sau khi bọc răng sứ xong, mỗi bữa ăn cần có lực nhai cân đối hai bên trái phải để tránh nguy cơ gãy răng, lệch lạc.
- Vệ sinh răng miệng kỹ càng như khi chải răng thật, sử dụng bàn chải lông mềm ít nhất 2 lần/ngày, chú ý chải răng theo chiều dọc hoặc theo chiều tròn để tránh làm tổn thương nướu. Ngoài ra, nên sử dụng nước súc miệng và chỉ nha khoa để làm sạch các kẽ răng để tránh sâu răng.
- Đi khám răng định kỳ 3 - 6 tháng / lần, để bác sĩ kiểm soát việc ăn uống xem có sâu răng, sậm màu nhanh hay lệch lạc không, hãy liên hệ ngay với bác sĩ để được điều trị kịp thời.

Bọc răng sứ thẩm mỹ là giải pháp làm đẹp hiện đại được nhiều người yêu thích hiện nay
Nha Khoa Nhân Tâm – Địa chỉ bọc răng sứ uy tín và chất lượng
Nha Khoa Nhân Tâm hiện là đơn vị chăm sóc và phục hình răng chất lượng có tiếng tại Việt Nam. Khi thực hiện bọc răng sứ tại Nha Khoa Nhân Tâm, khách hàng sẽ được trải nghiệm dịch vụ với những ưu điểm vượt trội mà không phải cơ sở nha khoa nào cũng có được.
Tham khảo: Răng toàn sứ giá bao nhiêu tại Nha Khoa Nhân Tâm
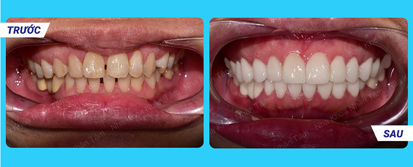
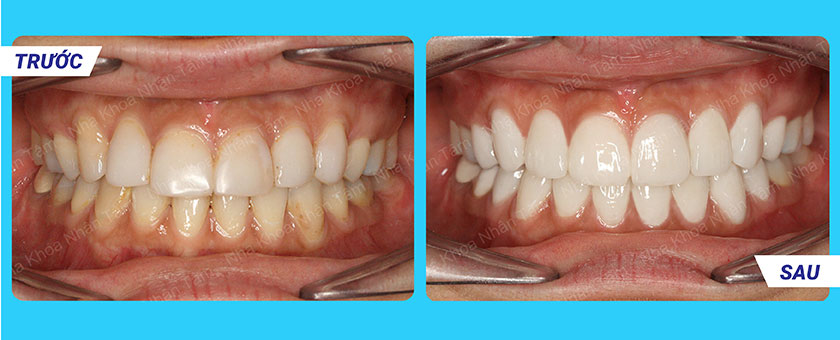
HÌNH ẢNH KHÁCH HÀNG BỌC RĂNG SỨ TẠI NHA KHOA NHÂN TÂM



Có thể thấy, với những ưu điểm vượt trội của mình, Nha Khoa Nhân Tâm xứng đáng là sự lựa chọn của mọi khách hàng khi tìm kiếm địa chỉ bọc răng sứ uy tín. Bạn có thể đến trực tiếp nha khoa vào tất cả các ngày trong tuần, tìm hiểu về chất lượng và tư vấn trường hợp của mình.

