Công nghệ niềng răng Vceph 3D được xem là công nghệ hỗ trợ niềng răng thế hệ mới, giúp tạo ra hiệu quả chỉnh nha tối ưu nhất cho người điều trị. Công nghệ này mang đến nhiều ưu điểm vượt trội có thể kể đến như: chẩn đoán và thiết lập kế hoạch điều trị chi tiết; giúp người điều trị thấy được tiến trình điều trị và phối hợp tốt hơn với bác sĩ; giúp tiết kiệm thời gian, tiên lượng chính xác và mang lại kết quả điều trị tốt nhất;…
Công nghệ niềng răng Vceph 3D là gì?
Vceph 3D là phần mềm hỗ trợ chỉnh nha hiện đại của Mỹ, cho phép Bác sĩ lên kế hoạch điều trị chi tiết, tính toán chính xác lộ trình di chuyển của răng, dự kiến thời gian niềng răng và hiển thị trước kết quả niềng răng bằng hình ảnh 3D.
Phầm mềm Vceph 3D được liên kết với hệ thống phân tích chỉnh nha bao gồm hệ thống chẩn đoán hình ảnh kỹ thuật số CT Cone Beam 3D, máy scanning, printing, hệ thống thiết kế nụ cười… từ đó giúp Bác sĩ chẩn đoán tình trạng răng, cấu trúc răng và xương hàm thông qua hình ảnh 3D. Sau đó, những dữ liệu hình ảnh sẽ được chuyển sang dữ liệu số qua tính năng chuyển đổi tích hợp trong phần mềm Vceph 3D, từ đó Bác sĩ có thể lên kế hoạch điều trị chi tiết theo từng lộ trình cụ thể.
Đồng thời, công nghệ chỉnh nha Vceph 3D cho phép mô phỏng quá trình dịch chuyển của răng thông qua video 3D, nhờ đó Khách hàng có thể thấy được tiến trình dịch chuyển của răng theo từng giai đoạn và tiên lượng trước kết quả niềng răng. Công nghệ niềng răng Vceph 3D mang lại nhiều lợi ích cho cả Bác sĩ và Khách hàng với những ưu điểm vượt trội như:
- Công nghệ niềng răng Vcep 3D hiện đại giúp lên phác đồ điều trị chi tiết nhanh chóng và chính xác, rút ngắn thời gian niềng răng.
- Khách hàng có thể nhận biết liệu trình dịch chuyển răng và cùng Bác sĩ thảo luận để đưa ra kế hoạch niềng răng tốt nhất.
- Số hóa tất cả các hình ảnh, phim chụp, mô phỏng và giúp Bác sĩ điều trị xác định chính xác nguyên nhân gây lệch lạc răng, từ đó đưa ra liệu trình chỉnh nha hiệu quả với từng trường hợp cụ thể.
- Hỗ trợ răng dịch chuyển theo đúng kế hoạch, điều chỉnh lực phù hợp theo từng giai đoạn, không tổn thương đến xương hàm và các mô mềm xung quanh, đảm bảo niềng răng hiệu quả, nhanh chóng và an toàn.

Ưu điểm của công nghệ niềng răng Vceph 3D
Nha khoa Nhân Tâm – Trung tâm chỉnh nha công nghệ cao
Nếu bạn đang tìm nha khoa gần đây, một địa chỉ niềng răng chất lượng tại TP.HCM thì Nha khoa Nhân Tâm sẽ là địa chỉ lý tưởng dành cho bạn.
Lựa chọn niềng răng tại Nhân Tâm, bạn sẽ được thăm khám, tư vấn và niềng răng với đội ngũ Bác sĩ Chỉnh nha trên 20 năm kinh nghiệm, đứng đầu là Bác sĩ Trần Thị Nga – Thành viên Hiệp hội chỉnh nha TP.HCM – Phó giám đốc trung tâm Nha khoa Nhân Tâm. Bác sĩ Nga đã tốt nghiệp Chỉnh nha khóa đầu tiên tại Viện răng hàm mặt TW năm 2010, và tốt nghiệp khóa Chỉnh nha Nâng cao tại đây, là thành viên của Hội Chỉnh nha Việt Nam, thường xuyên cập nhật kỹ thuật và xu hướng niềng răng do Chuyên gia Chỉnh nha của Pháp và Mỹ cập nhật, là khách mời & báo cáo viên khoa học tại những hội thảo nha khoa uy tín ở trong và ngoài nước về niềng răng (chỉnh nha).
Bên cạnh đó, trung tâm tiên phong ứng dụng công nghệ kỹ thuật cao trong thăm khám và điều trị. Với Hệ thống chẩn đoán hình ảnh kỹ thuật số CT Cone Beam 3D, Phần mềm Vceph 3D, Phần mềm chỉnh nha Orthovision,…mang đến quá trình niềng răng dễ dàng, thuận lợi, chính xác và an toàn.


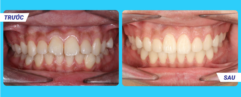
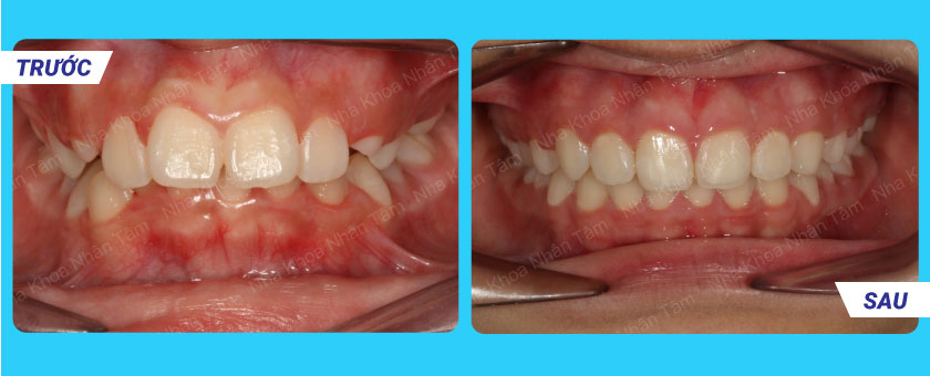
Kết quả niềng răng tại Nha khoa Nhân Tâm
Khách hàng niềng răng tại Nhân Tâm được đảm bảo an toàn và hiệu quả thông qua hợp đồng rõ ràng. Bên cạnh đó, chúng tôi ứng dụng đa dạng các loại khí cụ niềng giúp bạn thoải mái lựa chọn theo nhu cầu. Đồng thời, chế độ bảo hành lâu dài, phục vụ tận tâm cũng là ưu điểm nổi bật giúp Khách hàng tin tưởng và lựa chọn Nha khoa Nhân Tâm. Đừng quên liên hệ Hotline 1900 56 5678 để được tư vấn niềng răng miễn phí từ đội ngũ chuyên gia của Nhân Tâm nhé.



