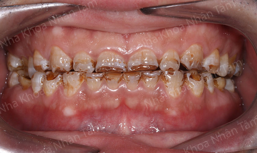
Hiện nay, có rất nhiều người sở hữu hàm răng xỉn màu do hút thuốc lá thường xuyên, ăn nhiều những thực phẩm sậm màu, chăm sóc răng miệng không cẩn thận hoặc do nhiễm tetracyclin khi còn bé.
Để khắc phục tình trạng răng xỉn màu, ố vàng, hiện nay có 2 giải pháp được nhiều người lựa chọn đó là: tẩy trắng răng và bọc răng sứ. Tuy nhiên, với những hàm răng bị xỉn màu nặng thì việc tẩy trắng răng sẽ không hiệu quả, lúc này bọc răng sứ sẽ là sự lựa chọn hoàn hảo.
Tốt nhất là bạn nên tìm đến nha khoa uy tín để bác sĩ xem tình trạng răng cụ thể và đưa ra phương pháp khắc phục phù hợp nhất. Nha khoa Nhân Tâm với đội ngũ bác sĩ chuyên sâu trong lĩnh vực răng sứ thẩm mỹ, trên 20 năm kinh nghiệm, cùng sự hỗ trợ của công nghệ hiện đại, chắc chắn sẽ mang lại cho bạn hàm răng đều đẹp và nụ cười rạng rỡ.
Trả lời:
Phương Linh thân mến, cảm ơn bạn đã tin tưởng gửi gắm câu hỏi về cho chúng tôi. Băn khoăn Răng xấu, xỉn màu có nên bọc răng sứ không của bạn, chúng tôi sẽ giải đáp cụ thể như sau.
Hiểu rõ hơn về bọc răng sứ
Bọc răng sứ đang là một biện pháp thẩm mỹ răng, giúp khắc phục các khuyết điểm của răng một cách nhanh chóng, được nhiều người ưa chuộng. Có thể nói, đây là phương pháp “mặc áo ngoài cho răng”, giúp răng trở nên đều đẹp, trắng sáng, tự nhiên như răng thật, mang lại cho bạn nụ cười rạng rỡ cùng sự tự tin khi giao tiếp với người khác.
Phương pháp này sử dụng mão sứ được thiết kế và chế tạo bằng công nghệ cao phủ lên trên phần cùi răng đã được mài nhỏ. Nhờ đó mà răng sứ có khả năng khắc phục được hầu hết các nhược điểm trên răng như gãy vỡ, xỉn màu, ố vàng, nhiễm màu nặng,...

Bọc răng sứ thẩm mỹ mang đến hàm răng đều, đẹp
Tuy nhiên, nếu bạn đang băn khoăn, suy nghĩ không biết tình trạng của mình có nên bọc răng sứ hay không, cách tốt nhất bạn vẫn nên tìm đến nha khoa uy tín. Sở dĩ chúng tôi chưa thể biết chính xác răng bạn xấu ở mức độ như thế nào, có khập khiễng, lệch lạc hay không, nên điều quan trọng là các bác sĩ phải quan sát trực tiếp mới đưa ra cho bạn lời khuyên chính xác được.
Những trường hợp nên bọc răng sứ
Theo như những gì Phương Linh miêu tả, Nha khoa Nhân Tâm sẽ cung cấp cho bạn một số thông tin cơ bản về bọc răng sứ và những trường hợp cần bọc răng sứ.
- Chỉ định bọc răng sứ trong trường hợp răng bị sâu hoặc vỡ lớn. Trong trường hợp này, dịch vụ trám răng không thể khắc phục được hết nhược điểm và duy trì không bền lâu và dễ dàng bị bong tróc. Bác sĩ sẽ mài chiếc răng nhỏ lại và chụp răng sứ lên trên răng thật, còn gọi là bọc mão răng sứ. Nếu răng sâu quá mức dẫn đến viêm tủy thì cần điều trị tủy rồi mới thực hiện.
- Chỉ định bọc răng sứ đối với các răng chết tủy. Những răng bị chết tủy mất đi sự đàn hồi sẽ giòn, dễ gãy và biến màu thâm đen không chỉ mất thẩm mỹ mà nếu bị gãy còn có khả năng làm cho cả hàm răng xô lệch. Bọc răng sứ để giúp răng chắc hơn, chức năng ăn nhai không bị ảnh hưởng.
- Trường hợp răng bị nhiễm màu (nhiễm màu tetracyline, hút thuốc, mặt răng khiếm khuyết không láng bóng, bị xỉn hay ố vàng…) thì lớp men răng thật sẽ được mài bớt để dán mặt sứ hay còn gọi là veneer. So với bọc sứ thông thường thì sử dụng mặt dán sứ sẽ không cần mài quá nhiều cùi răng thật.
- Trường hợp răng thưa, dị dạng, mọc chen chúc, mọc nghiêng, mọc lệch hay bị sứt mẻ sẽ bọc răng sứ để tái tạo lại vẻ ngoài của răng cho đồng đều với cả hàm răng. Khi đó, nha sỹ sẽ mài bớt một phần răng thật và chụp bọc mão sứ được chế tạo theo dấu răng hàm lên trên để phục hồi lại tính thẩm mỹ cho hàm răng.

Những trường hợp nên bọc răng sứ
Trong trường hợp của bạn, nếu quá xỉn màu tới mức không thể tẩy trắng răng, thì biện pháp bọc răng sứ vẫn là một giải pháp tối ưu. Răng sứ không kim loại được đánh giá là thích hợp cho màu răng tự nhiên như thật
Nếu bạn nằm trong những trường hợp kể trên thì bọc răng sứ là cách tốt nhất để khắc phục. Khi răng ở vị trí nào bị hư tổn hoặc có vấn đề không bình thường cũng sẽ nhanh chóng giảm độ cứng chắc, khả năng ăn nhai không đảm bảo và tạo điều kiện cho bệnh răng miệng phát triển. Do đó, bạn nên đi bọc răng sứ bởi vì đây không chỉ là biện pháp phục hình vẻ đẹp tự nhiên cho răng mà còn đảm bảo chức năng ăn nhai cho bạn.
Bạn có thể đến Nha khoa Nhân Tâm để được tư vấn và kiểm tra kỹ lưỡng, các bác sĩ sau khi khám sẽ đưa ra kết quả chính xác nhất có thể. Chúc bạn sớm có một hàm răng đẹp và một nụ cười tự tin.
Khách hàng bọc răng sứ tại Nha khoa Nhân Tâm





