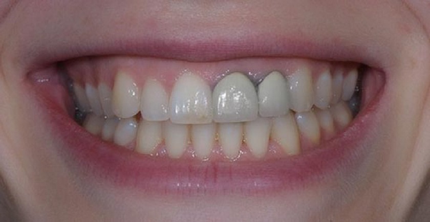
Răng sứ titan có bị đen không? Nhiều khách hàng cho biết sau một thời gian sử dụng tình trạng đen viền nướu sẽ xuất hiện và nếu có đèn pin hoặc ánh sáng tự nhiên chiếu qua sẽ thấy có một khối màu đen ở trong răng. Nguyên nhân của hiện tượng này có thể là do cấu tạo của răng sứ titan, hiện tượng tụt nướu, sâu chân răng,… hoặc răng sứ kém chất lượng.
Để duy trì được độ bền đẹp lâu dài của răng sứ, bạn cần có chế độ chăm sóc răng miệng hợp lý, bỏ các thói quen xấu như nghiến răng và lựa chọn đúng loại răng sứ titan có chất lượng.
Răng sứ titan có bị đen không?
Là một trong những dòng sản phẩm có mức giá phải chăng nhất trong các loại răng sứ nên răng sứ titan nhận được sự quan tâm của khách hàng cũng là điều dễ hiểu. Trong đó “Răng sứ titan có bị đen không?” là vấn đề nhiều người còn rất băn khoăn.
Rất nhiều khách hàng sau khi sử dụng răng sứ loại này cho biết sau một thời gian sẽ xuất hiện tình trạng đen viền nướu. Bên cạnh đó, nếu có đèn pin hoặc ánh sáng tự nhiên chiếu qua sẽ thấy có một khối màu đen ở trong răng.
Lý do dẫn đến hiện tượng này được lý giải như sau:
- Đối với tình trạng lộ bóng đen dưới ánh sáng
Răng sứ titan có cấu tạo gồm lõi bên trong làm từ hợp kim và lớp phủ bên ngoài làm bằng sứ. Chất liệu sứ bên ngoài sẽ cho phép ánh sáng xuyên qua nhưng lõi hợp kim thì không.
Do đó, anh sáng sau khi đi qua lớp vỏ sứ sẽ bị lớp hợp kim chặn lại. Vậy nên ta mới thấy bóng đen của phần lõi hợp kim hiển thị rõ rệt qua lớp sứ trong điều kiện có ánh sáng chiếu vào.
- Đối với tình trạng đen viền nướu

Hiện tượng răng sứ titan bị đen viền nướu
Ở vị trí chân răng, lớp men sứ thường tương đối mỏng hoặc thậm chí là sẽ có một phần nhỏ lõi hợp kim lộ ra ngoài.
Tại thời điểm mới gắn răng sứ, bác sỹ sẽ đặt các răng sao cho phần hợp kim này nằm phía dưới nướu, do vậy răng sẽ hoàn toàn bình thường khi mới gắn.
Tuy nhiên sau một thời gian, cơ thể người phát triển hoặc già đi, phần nướu bị tụt xuống hoặc dịch chuyển làm phần lõi hợp kim lộ ra ngoài. Ban đầu, phần hợp kim này có thể vẫn đẹp, sáng bóng nhưng trải qua thời gian tiếp xúc lâu với môi trường axit trong khoang miệng, chúng sẽ bị oxy hóa và xỉn đi, tạo thành màu đen.
Nếu ngay sau khi gắn mà răng sứ titan đã có hiện tượng đen viền nướu thì nguyên nhân thường liên quan đến kỹ thuật phục hình. Lỗi kỹ thuật có thể xảy ra khi chế tác răng sứ, những chiếc răng sứ không chuẩn sẽ khiến bác sỹ không thể gắn chúng sát khít với nướu được, từ đó để lộ ra phần lõi hợp kim.
Khắc phục răng sứ titan bị đen bằng cách nào?
Răng sứ titan bị đen là tình trạng khiến nhiều khách hàng lo lắng hoang mang vì không rõ điều này có gây ảnh hưởng gì đến sức khỏe không và khắc phục như thế nào?
Nhìn chung, hiện tượng bóng đen do lõi hợp kim trong răng sứ hoặc đen viền nướu tại chân răng sứ sẽ chỉ gây ảnh hưởng đến tính thẩm mỹ.

Răng sứ titan bị đen không ảnh hưởng đến sức khỏe
Nhưng việc bị người đối diện biết mình đang dùng răng sứ lại khiến nhiều khách hàng không mấy hài lòng. Vậy nên, khi gặp tình trạng đen viền nướu khách hàng thông thường đều muốn khắc phục nó.
Các chuyên gia cho biết, nếu răng sứ titan đã bị đen viền nướu thì cách khắc phục tối ưu nhất là thay một mão sứ khác. Vì khi đã hoàn thiện công đoạn chế tác một chiếc răng giả, bác sỹ không thể thêm vào bất kì vật liệu nào khác. Do đó, việc đắp men sứ lên trên phần hợp kim bị lộ là điều bất khả thi.
Bên cạnh đó, bạn cũng không thể dùng biện pháp tẩy trắng răng để loại bỏ lớp hợp kim đã bị đen được. Vì các chất có trong thuốc tẩy trắng không có tác dụng với kim loại hoặc men sứ.
Cách giữ gìn răng sứ titan bền đẹp
Chăm sóc răng miệng thật tốt
Nguyên nhân chủ yếu dẫn đến tình trạng đen viền nướu chính là sâu chân răng, tụt lợi,… Vì thế một chế độ vệ sinh, chăm sóc răng miệng tốt sẽ giúp duy trì sự bền đẹp của răng sứ được dài lâu.

Chăm sóc răng miệng tốt giúp duy trì sự bền đẹp của răng sứ titan
Bỏ tật xấu nghiến răng
Nghiến răng cũng là yếu tố làm tăng khả năng tụt lợi ở bất kì ai. Do đó, nếu đang có tật xấu này khi ngủ thì bạn nên dùng máng chống nghiến răng và tạo cho mình những thói quen tốt để khắc phục triệt để.
Chọn lựa sản phẩm răng sứ chất lượng cao
Nếu chọn phải những sản phẩm răng sứ titan chất lượng kém, thành phần lõi hợp kim bên trong sẽ bị pha lẫn nhiều tạp chất. Những tạp chất này có thể gây ra các phản ứng trong khoang miệng và gây viêm nướu.
Do vậy, bạn nên cân nhắc và lựa chọn làm răng sứ tại các trung tâm nha khoa uy tín và chất lượng để giúp hạn chế tối đa nguy cơ dùng phải sản phẩm răng sứ kém chất lượng.
Hy vọng qua bài viết này, băn khoăn răng sứ titan có bị đen không của quý khách hàng đã được giải đáp và đồng thời nắm được cách xử lý nếu chẳng may rơi vào tình huống này.



