Kỹ thuật niềng răng mắc cài kim loại giúp cho bệnh nhân tránh được những tình trạng thường gặp khi sử dụng mắc cài thông thường khác là hiện tượng bị bung nút mắc cài trong thời gian niềng răng, từ đó làm tăng hiệu quả và rút ngắn thời gian niềng răng.
Chất liệu được làm từ kim loại chắc chắn hơn so với các lựa chọn niềng răng khác. Vì vậy, nó không dễ dàng bị gãy, vỡ gây ảnh hưởng tới quá trình điều trị. Trong khi đó, mắc cài sứ dễ bị vỡ hơn do đó người dùng cần xác định là sẽ phải thay thế mắc cài sứ bị vỡ một vài lần trong suốt quá trình điều trị.
Niềng răng mắc cài là gì?
Niềng răng là phương pháp sử dụng hệ thống lực được tạo ra bởi mắc cài, dây cung và các khí cụ chỉnh nha khác nhằm di chuyển răng đến vị trí mong muốn. Đây được xem là phương pháp làm đẹp hoàn hảo, an toàn và bền vững; không ảnh hưởng tới sức khỏe, không phải mài răng như phương pháp bọc răng sứ.
Mắc cài kim loại giúp tăng hiệu quả niềng răng như thế nào?
Răng của chúng ta được bao bọc bởi các tổ chức nha chu gồm dây chằng nha chu, xương ổ răng và nướu răng. Khi bạn thực hiện niềng răng, các khi cụ sẽ tác động lực lên răng, từ đó dây chằng nha chu sẽ bị kéo dãn 1 bên và nén lại 1 bên, lúc này răng sẽ dịch chuyển và tác động lực lên xương ổ răng.
Từ đó, phần xương bị nén sẽ tiêu bớt còn phần thiếu hổng do răng di chuyển sẽ tự dày lên để hỗ trợ nâng đỡ răng ở vị trí mới, quá trình này được gọi là tự tiêu xương và bồi đắp xương. Tất cả đều được thực hiện bằng niềng răng.
Có thể bạn quan tâm: Niềng răng không mắc cài Invisalign – Công nghệ chỉnh nha mới nhất hiện
Niềng răng mắc cài giúp nắn chỉnh răng bằng cách sử dụng mắc cài kim loại và dây cung. Dây cung kim loại sẽ tác động lực lên mắc cài và răng làm dịch chuyển răng về vị trí mong muốn.
Các loại thun, lò xo được sử dụng để tác động lực lên răng theo các hướng nhất định. Quá trình niềng răng là một quá trình tác động liên tục lực lên răng giúp kéo răng về vị trí mong muốn một cách từ từ.

Dây cung kim loại sẽ tác động lực lên mắc cài và răng làm dịch chuyển răng về vị trí mong muốn
Tại sao niềng răng mắc cài được sử dụng phổ biến?
Chi phí phù hợp
So với niềng răng invisalign thì niềng răng mắc cài có chi phí phù hợp với khả năng chi trả của người dân Việt Nam hơn cả. Tùy vào tình trạng răng mà thời gian điều trị cũng như chi phí sẽ khác nhau, chi phí sẽ được quyết định sau khi bác sĩ chỉnh nha thăm khám và lên kế hoạch điều trị.
Rút ngắn thời gian điều trị
Chỉnh nha mang tới 1 nụ cười đẹp cùng hàm răng ngay ngắn, đúng vị trí, khắc phục mọi tình trạng hô, móm, khấp khểnh, lệch lạc,… từ dễ tới khó. Với xu thế hiện nay thì niềng răng mắc cài là loại có thể áp dụng linh hoạt, từ đó giúp tăng hiệu quả điều trị với các vấn đề răng miệng khác nhau và rút ngắn thời gian điều trị.
Kiểu dáng đa dạng
Hiện nay, có nhiều lựa chọn về niềng răng mắc cài như niềng răng mắc cài thép, mắc cài thông minh, mắc cài sứ.
Niềng răng mắc cài kỹ thuật hiện đại rút ngắn thời gian điều trị tại Nhân Tâm
Niềng răng là hành trình dài, việc tìm được 1 bác sĩ giỏi, tận tâm và nha khoa uy tín, đáp ứng được đủ tiêu chí về kỹ thuật thực hiện, cơ sở sở vật chất và công nghệ hiện đại là hết sức quan trọng.
Dựa trên phản hồi của khách hàng và đánh giá từ chuyên gia, thì nha khoa Nhân Tâm chính là địa chỉ chỉnh nha uy tín hàng đầu bạn nên tìm đến:
- Đội ngũ bác sĩ chuyên sâu về niềng răng
- Nha khoa Nhân Tâm là trung tâm nha khoa chuyên sâu về niềng răng bằng mắc cài dưới sự chỉ đạo chuyên môn của Ts. Bs Võ Văn Nhân với hơn 25 năm kinh nghiệm.
- 100% các bác sĩ đều tốt nghiệp Đại học Y Dược TP. HCM và có chứng chỉ chỉnh nha chuyên sâu do bộ Y tế cấp.

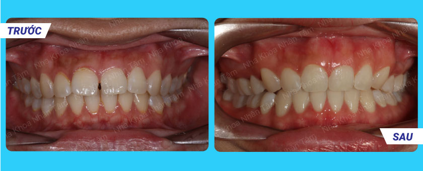
Trước và sau khi niềng răng tại Nha khoa Nhân Tâm
- Mắc cài có nguồn gốc xuất xứ rõ ràng
- Hiểu rõ những nguy hại do việc sử dụng mắc cài không đúng quy chuẩn, hay không rõ nguồn gốc xuất xứ.
- Chúng tôi cam kết mỗi bộ mắc cài sử dụng cho mỗi khách hàng là chính hãng và duy nhất.
- Bạn sẽ được tận mắt kiểm tra mã vạch sản phẩm trước khi gắn.
- Trả góp lãi suất 0%
Sau khi gắn mắc cài tại Nha khoa Nhân Tâm, bạn sẽ thanh toán 1/3 chi phí, 2/3 còn lại bạn sẽ được trả dần trong thời gian điều trị. Trung bình là 1.000.000đ/ tháng. Điều này giúp giảm bớt gánh nặng tài chính cho khách hàng, đặc biệt là học sinh sinh viên.




