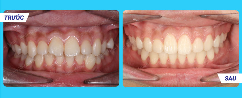
Niềng răng không mắc cài Invisalign là kỹ thuật chỉnh nha tân tiến nhất hiện nay
Niềng răng không mắc cài Invisalign là gì?
Khác với các kỹ thuật niềng răng sử dụng các loại mắc cài, niềng răng không mắc cài Invisalign không sử dụng nguyên lý hoạt động dựa trên hệ thống mắc cài và dây cung để nắn chỉnh răng mà thay vào đó là những khay niềng trong suốt có thể tháo lắp một cách dễ dàng. Các khay niềng này sẽ tạo lực siết phù hợp, giúp các răng dịch chuyển đến đúng vị trí chuẩn của nó, mang lại cho bạn hàm răng đều đẹp, chuẩn khớp cắn.
Với công nghệ kỹ thuật số tiên tiến, Invisalign vạch rõ kế hoạch điều trị cho bạn từ lúc bắt đầu cho đến khi kết thúc. Bạn sẽ nhìn thấy trước kết quả điều trị của mình thông qua hình ảnh 3D. Sau đó, các kỹ thuật viên sẽ sản xuất ra một chuỗi khay niềng trong suốt có độ dày chưa đến 1mm, được thiết kế dựa trên dấu hàm của từng khách hàng, do đó mỗi khách hàng sẽ có một khay niềng khác nhau, không ai giống ai. Bạn sẽ mang mỗi khay trong 2 tuần cho đến khi răng dịch chuyển đến vị trí như mong muốn. Thời gian điều trị Invisalign dài hay ngắn tùy thuộc vào tình trạng răng miệng của mỗi người.

Niềng răng Invisalign sử dụng khay niềng trong suốt để nắn chỉnh răng
Đối tượng có thể áp dụng niềng răng Invisalign
Niềng răng không mắc cài là bước đánh dấu sự phát triển vượt bậc của công nghệ nha khoa hiện đại. Phương pháp niềng răng trong suốt này có thể áp dụng cho những đối tượng khách hàng như sau:
- Răng bị hô, vẩu, móm ở mức độ nhẹ.
- Răng mọc lệch lạc, mọc ngược, mọc ngầm, chen chúc nhau ở mức độ nhẹ.
- Khớp cắn ngược, cắn hở, cắn sâu,… ở mức độ nhẹ.
- Khách hàng muốn niềng răng nhưng bị dị ứng với mắc cài kim loại.
- Khách hàng có yêu cầu cao về thẩm mỹ trong suốt quá trình chỉnh nha.
- Khách hàng không có nhiều thời gian, ở xa phòng khám hoặc có dự định du học, làm việc tại nước ngoài.
Ưu điểm của phương pháp niềng răng không mắc cài Invisalign
Kỹ thuật niềng răng không mắc cài Invisalign mang lại hiệu quả chỉnh nha không hề thua kém với những kỹ thuật niềng răng truyền thống, thậm chí còn khắc phục những nhược điểm mà các kỹ thuật cũ mắc phải trong quá trình điều trị, mang đến những ưu điểm vượt trội:
Tính thẩm mỹ cao
Nếu như các kỹ thuật niềng răng truyền thống sử dụng các mắc cài tạo sự nổi bật, cồng kềnh trên răng thì Invisalign với các khay niềng trong suốt, được chế tạo từ nhựa nha khoa, có màu sắc tương đồng với răng sinh lý sẽ mang lại tính thẩm mỹ cao ngay cả trong quá trình niềng răng. Bệnh nhân có thể cười nói, giao tiếp một cách tự nhiên mà không sợ người đối diện nhận ra là mình đang mang khí cụ chỉnh nha trên răng.
Tạo sự thoải mái
Với khay niềng Invisalign, bệnh nhân có thể tháo lắp dễ dàng bất cứ khi nào mà không cần đến sự can thiệp của các bác sĩ. Đây cũng là điều mà kỹ thuật niềng răng mắc cài không thể đáp ứng được. Hơn nữa, các khay niềng còn được thiết kế ôm sát vào mặt răng nên bạn sẽ không thấy khác biệt nhiều, chỉ cần vài ngày là bạn đã cảm thấy thoải mái, ăn uống, nói chuyện bình thường.

Invisalign có thể tháo ra lắp vào một cách dễ dàng
Dễ dàng vệ sinh
Vì các khay niềng có thể tháo lắp nên bệnh nhân sẽ thuận tiện hơn trong việc vệ sinh răng miệng. Điều này sẽ ngăn chặn các vi khuẩn có hại cho răng phát sinh, từ đó đảm bảo tốt cho sức khỏe răng miệng.
Rút ngắn thời gian thăm khám tại nha khoa
Dựa vào bản kế hoạch niềng răng chi tiết, các bác sĩ sẽ đánh số khay theo thứ tự tương ứng với từng giai đoạn thay niềng nhằm giúp bạn không bị nhầm lẫn. Do đó, bạn có thể tự thay khay niềng tại nhà mà không cần phải đến trực tiếp nha khoa. Bên cạnh đó, các khay niềng cũng hạn chế tình trạng hư hỏng, không xảy ra bong sút như các mắc cài, giúp bạn hạn chế thời gian phải đến nha khoa để sửa chữa. Phù hợp với những khách hàng hay đi công tác hoặc ở xa thành phố.
Đảm bảo an toàn
Khi thực hiện niềng răng Invisalign, bạn không cần phải lo lắng về việc mắc cài bị bong sút gây tổn thương đến xương hàm hoặc dị ứng với kim loại gây kích ứng nướu,… bởi các khay niềng trong suốt được chế tạo từ nhựa chuyên dụng trong nha khoa, thân thiện với cơ thể, không bị biến chất trong môi trường khoang miệng, bảo đảm an toàn khi sử dụng.
Niềng răng không mắc cài Invisalign và niềng răng mắc cài truyền thống có gì khác nhau?
Với những ưu điểm nổi trội trên, niềng răng không mắc cài Invisalign được rất nhiều người ưa chuộng và lựa chọn để chỉnh nha cho mình. Quan trọng là bạn phải tìm được địa chỉ thực hiện niềng răng uy tín, chất lượng để mang lại hiệu quả cao, nhanh chóng và đảm bảo an toàn.
Niềng răng không mắc cài Invisalign tại Nha Khoa Nhân Tâm

Khách hàng niềng răng tại Nha khoa Nhân Tâm
Nha khoa Nhân Tâm là một trong những trung tâm nha khoa uy tín thực hiện kỹ thuật niềng răng không mắc cài Invisalign uy tín, được đông đảo khách hàng trong và ngoài nước đánh giá cao.
- Nha Khoa Nhân Tâm quy tụ đội ngũ Bác sĩ giỏi, có trình độ chuyên môn cao và nhiều năm kinh nghiệm trên thực tế. Tại đây, mỗi khách hàng sẽ được điều trị với một Bác sĩ và ekip phụ tá chuyên môn, nhờ vậy mà các bước niềng răng Invisalign đều được thực hiện chuẩn xác, thống nhất, mang lại hiệu quả chỉnh nha cao.
- Nha Khoa Nhân Tâm đảm bảo vô trùng vô khuẩn tuyệt đối với hệ thống máy phun sương, máy hấp dụng cụ chỉ thị màu và diệt khuẩn bằng tia cực tím. Ngoài ra, mỗi khách hàng khi đến điều trị tại nha khoa đều được trang bị một bộ tay khoan riêng, một bộ dụng cụ riêng, loại bỏ lây nhiễm chéo.
- Bên cạnh yếu tố về Bác sĩ, vô trùng vô khuẩn, Nha Khoa Nhân Tâm còn trang bị hệ thống máy móc hiện đại, tiên tiến. Khách hàng khi thực hiện niềng răng Invisalign sẽ được chụp phim X-quang Panorex và Cephalometric để kiểm tra cụ thể cấu trúc răng hàm, xác định mức độ răng mọc lệch, từ đó phân tích và lên liệu trình cụ thể với phần mềm Vceph 3D.

Nha khoa Nhân Tâm đáp ứng đầy đủ mọi tiêu chuẩn khi niềng răng cho Khách hàng
- Đội ngũ nhân viên tại Nhân Tâm luôn nhiệt tình, tận tâm, sẵn sàng trả lời những thắc mắc của khách hàng một cách chi tiết. Hơn nữa, nha khoa còn có dịch vụ đưa đón khách hàng tận nơi và chính sách bảo hành chu đáo.
- Nha khoa Nhân Tâm hiện áp dụng chính sách niềng răng trả góp lãi suất 0% với thủ tục đơn giản và nhanh chóng. Với chương trình ưu đãi này, Khách hàng có thể trả chi phí niềng răng Invisalign theo từng đợt, từ đó chủ động hơn về vấn đề tài chính.
Tham khảo: Niềng răng mất bao nhiêu tiền?
Bảng giá niềng răng tại Nha Khoa Nhân Tâm
| BẢNG GIÁ NIỀNG RĂNG | ||
|---|---|---|
| DỊCH VỤ | ĐƠN VỊ | PHÍ TÍNH (VNĐ) |
| Các bước chuẩn bị trước chỉnh nha | Liệu trình | 1,000,000 VND |
| Răng tháo lắp tạo khoảng | Răng | 800,000 VND |
| Chỉnh nha tạo khoảng | Liệu trình | 10,000,000 VND |
| Máng duy trì – Làm mới | 1 Hàm | 1,500,000 VND |
| Máng duy trì – Làm mới | 2 Hàm | 3,000,000 VND |
| Máng duy trì – Làm lại | 1 Hàm | 1,000,000 VND |
| Máng duy trì – Làm lại | 2 Hàm | 2,000,000 VND |
| Trainer | Máng | 4,000,000 VND |
| Chỉnh nha không mắc cài – Invisalign – Cấp độ 1 | 2 Hàm | 105,000,000 VND |
| Chỉnh nha không mắc cài – Invisalign – Cấp độ 2 | 2 Hàm | 110,000,000 VND |
| Chỉnh nha không mắc cài – Invisalign – Cấp độ 3 | 2 Hàm | 120,000,000 VND |
| Chỉnh nha mắc cài kim loại - Cấp độ 1 | 2 Hàm | 35,000,000 VND |
| Chỉnh nha mắc cài kim loại - Cấp độ 2 | 2 Hàm | 40,000,000 VND |
| Chỉnh nha mắc cài kim loại - Cấp độ 1 | 1 Hàm | 17,500,000 VND |
| Chỉnh nha mắc cài kim loại - Cấp độ 2 | 1 Hàm | 22,500,000 VND |
| Chỉnh nha mắc cài sứ - Cấp độ 1 | 2 Hàm | 50,000,000 VND |
| Chỉnh nha mắc cài sứ - Cấp độ 2 | 2 Hàm | 55,000,000 VND |
| Chỉnh nha mắc cài sứ - Cấp độ 3 | 2 Hàm | 60,000,000 VND |
| Chỉnh nha mắc cài sứ - Cấp độ 1 | 1 Hàm | 22,500,000 VND |
| Chỉnh nha mắc cài sứ - Cấp độ 3 | 1 Hàm | 40,000,000 VND |
| Chỉnh nha mắc cài tự khóa - Cấp độ 1 | 2 Hàm | 40,000,000 VND |
| Chỉnh nha mắc cài tự khóa - Cấp độ 2 | 2 Hàm | 45,000,000 VND |
| Chỉnh nha mắc cài tự khóa - Cấp độ 3 | 2 Hàm | 60,000,000 VND |
| Chỉnh nha mắc cài tự khóa - Cấp độ 1 | 1 Hàm | 22,500,000 VND |
| Chỉnh nha mắc cài tự khóa sứ | 2 Hàm | 55,000,000 VND |
| Chỉnh nha mắc cài mặt lưỡi | 2 Hàm | 60,000,000 VND |
| Chỉnh nha mắc cài mặt lưỡi | 1 Hàm | 30,000,000 VND |
| Nong rộng hàm tháo lắp | Liệu trình | 4,000,000 VND |
| Nong rộng hàm cố định | Liệu trình | 4,000,000 VND |
| Cung lưỡi | 4,000,000 VND | |
| Twin Block ngược/thuận | 4,000,000 VND | |
| Khí cụ EF | 5,000,000 VND | |
| Minivit | 4,000,000 VND | |
| Mặt phẳng nghiêng | 5,000,000 VND | |
| Vít Buckle Self | 5,000,000 VND | |
| Vít zygoma | 1 Vít | 5,000,000 VND |
| Vít zygoma | 2 Vít | 10,000,000 VND |
| Nẹp vít khẩu cái | 7,000,000 VND | |
| Khí cụ Horseshoe | 5,000,000 VND | |
| Tháo mắc cài (BN chỉnh nha tại nơi khác) | 2 Hàm | 2,000,000 VND |
| Tháo mắc cài (BN chỉnh nha tại nơi khác) | 1 Hàm | 1,000,000 VND |
| Bộ giữ khoảng chỉnh hình răng | 3,000,000 VND | |
Niềng răng không mắc cài Invisalign đem đến nhiều lợi ích tuyệt vời trong việc nắn chỉnh những khiếm khuyết của răng, mang lại một hàm răng đều đẹp, chuẩn khớp cắn. Để tìm hiểu rõ hơn về kỹ thuật chỉnh nha này, hãy liên hệ ngay đến Nha khoa Nhân Tâm, các chuyên gia sẽ tư vấn và giải đáp mọi thắc mắc cho bạn.




