Tại sao niềng răng là giải pháp tối ưu cho hàm răng khấp khểnh?
Hiện nay, có hai phương pháp điều trị răng khấp khểnh hiệu quả là bọc răng sứ thẩm mỹ và niềng răng. Tuy nhiên, trong nhiều trường hợp răng khấp khểnh, niềng răng vẫn là phương pháp được nhiều Nha sĩ lựa chọn bởi những ưu điểm vượt trội mà nó mang lại.
Thẩm mỹ vượt trội
Niềng răng sử dụng các khí cụ chỉnh nha để tạo ra một lực kéo, giúp dịch chuyển những răng mọc lệch lạc, khấp khểnh về đúng vị trí như mong muốn, mang đến nụ cười rạng ngời với hàm răng đều đẹp và trắng sáng.
Cải thiện cấu trúc gương mặt và phát âm
Khi răng được sắp xếp hài hoà trên cung hàm sẽ cải thiện cấu trúc xương hàm, giúp gương mặt trở nên hài hoà, cân đối và gọn gàng hơn. Ngoài ra niềng răng còn hỗ trợ khả năng phát âm, giúp phát âm tròn chữ, rõ ràng, tạo ấn tượng tốt với người đối diện.

Niềng răng mang đến nhiều ưu điểm vượt trội
Khắc phục tình trạng sai lệch khớp cắn
Răng khấp khểnh khiến cho khớp cắn cũng bị sai lệch, từ đó gây ảnh hưởng đến khả năng ăn nhai của răng. Tình trạng lệch lạc khớp cắn còn khiến gia tăng các tổn thương lớn ở hàm, thậm chí gây ra đau đầu, đau lưng và mỏi quai hàm.
Niềng răng giúp tương quan hai hàm cân đối, giảm thiểu tối đa áp lực cho quai hàm và phòng ngừa đau khớp thái dương hàm một cách hiệu quả.
Hạn chế tối đa bệnh lý cho cơ thể
Răng hô, khấp khểnh, không đều khiến việc ăn nhai khó khăn và dễ gây ra tình trạng rối loạn tiêu hoá. Ngoài ra thức ăn dễ dính vào các kẽ răng và gây ra các bệnh lý về răng miệng như mảng bám, hôi miệng, sâu răng, viêm nha chu,…
Niềng răng khấp khểnh hiệu quả tại Nha khoa Nhân Tâm
Nha khoa Nhân Tâm là một trong những trung tâm nha khoa thực hiện niềng răng – chỉnh nha uy tín, chất lượng, đáp ứng đầy đủ các điều kiện về chuyên môn, kỹ thuật và trang thiết bị, đảm bảo mang lại kết quả cao cho Khách hàng khi thực hiện niềng răng khấp khểnh.
Xem thêm: Niềng răng – Giải pháp làm đẹp răng số 1 hiện nay
Đội ngũ Bác sĩ tại Nha khoa Nhân Tâm là những Bác sĩ niềng răng giỏi, được đào tạo bài bản tại các trường Đại học Y Dược nổi tiếng trong cả nước, am hiểu sâu sắc về kỹ thuật chỉnh nha, từng có thời gian tu nghiệp tại nước ngoài nên Khách hàng có thể yên tâm khi điều trị tại đây.
Bên cạnh đó, thực hiện niềng răng khấp khểnh tại Nha khoa Nhân Tâm áp dụng các phương pháp chỉnh nha hiện đại, đạt chuẩn Quốc tế.
Trong đó, công nghệ Vceph 3D có khả năng phân tích sự dịch chuyển của toàn bộ răng hàm, tính toán lực kéo của mắc cài với từng tình trạng răng miệng.
Từ đó, Bác sĩ có thể dễ dàng lên kế hoạch điều trị cụ thể, điều chỉnh lực nhẹ nhàng và liên tục lên các răng, giúp các răng dịch chuyển về đúng vị trí, đảm bảo thời gian niềng răng đúng như dự tính.


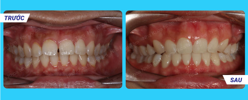
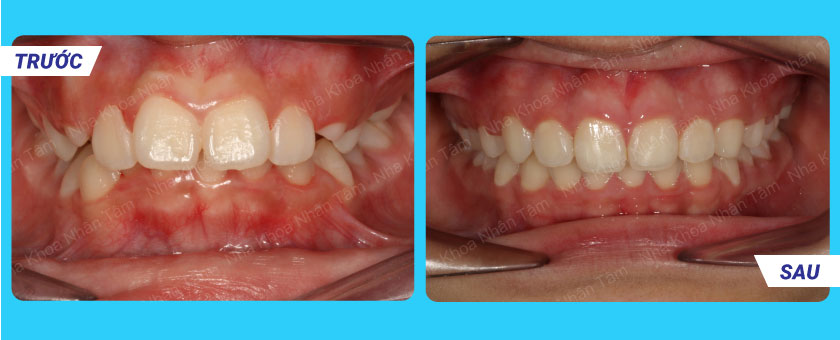
Hình ảnh Khách hàng niềng răng tại Nha khoa Nhân Tâm
Trên đây là những thông tin cung cấp về niềng răng – giải pháp tối ưu cho răng khấp khểnh. Để biết thêm nhiều thông tin hơn, hãy liên hệ ngay đến nha khoa gần đây tốt nhất Sài Gòn - Nha khoa Nhân Tâm, các chuyên gia sẽ tư vấn chi tiết và hoàn toàn miễn phí cho bạn.



