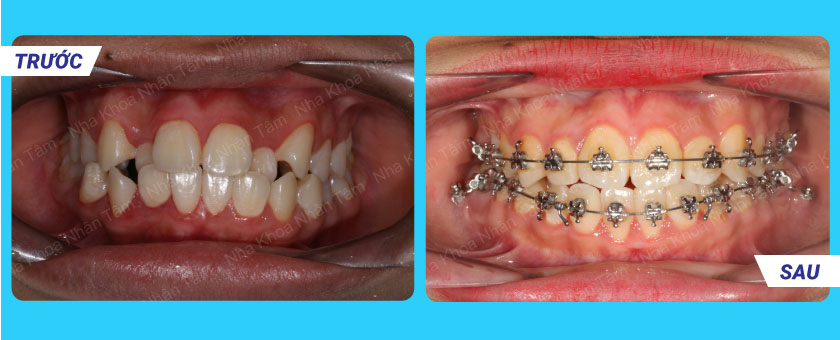
Niềng răng là kỹ thuật nha khoa giúp dịch chuyển răng về đúng vị trí trên cung hàm, nắn chỉnh răng chuẩn khớp cắn bằng khí cụ chuyên dụng như mắc cài hoặc khay niềng trong suốt. Bệnh nhân sẽ có hàm răng đều đẹp, chuẩn khớp cắn, đảm bảo chức năng nhai và thẩm mỹ toàn diện. Đây là giải pháp điều trị cho trường hợp răng hô, răng vẩu, răng mọc chen chúc, lộn xộn, sai khớp cắn, răng móm, răng thưa… Vì niềng răng sẽ tác động thay đổi cấu trúc răng nên sẽ gây cảm giác đau trong quá trình răng dịch chuyển. Niềng răng gồm những giai đoạn nào và đau nhất ở giai đoạn nào?
Hãy đến nha khoa niềng răng uy tín tại quận 10 để kiểm tra tình trạng răng miệng và có lộ trình điều trị phù hợp.
Điểm qua 5 giai đoạn mà bạn sẽ trải qua khi niềng răng
Niềng răng sử dụng khí cụ nha khoa để nắn chỉnh răng về đúng vị trí trên cung hàm để răng đều và có khớp cắn chuẩn. Quá trình siết dây cung để tạo lực dịch chuyển răng sẽ tạo ra sự ma sát gây cảm giác hơi ê buốt trong thời gian đầu. Sau khi bệnh nhân làm quen với sự tồn tại của mắc cài thì sẽ không thấy đau nữa.
Về bản chất, niềng răng sẽ không xâm lấn vào xương hàm, mô lợi và răng, trừ trường hợp kéo răng mọc ngầm, do đó, mặc dù khó tránh khỏi cảm giác đau trong quá trình niềng răng nhưng cảm giác đau sẽ nằm trong ngưỡng chịu đựng của chúng ta. Việc đầu tiên, bạn hãy tìm đến địa chỉ chỉnh nha chất lượng tại Sài Gòn để đảm bảo có lộ trình điều trị phù hợp. Kế tiếp, hãy tuân thủ theo hướng dẫn của Bác sĩ, bạn sẽ có những trải nghiệm niềng răng khác biệt, giảm cảm giác đau và niềng răng hiệu quả.
Bệnh nhân sẽ trải qua 05 giai đoạn niềng răng như sau:
Điều trị tổng quát: Vì quá trình chỉnh nha sẽ kéo dài từ 1,5 năm đến 2 năm nên bệnh nhân cần có sức khỏe răng miệng tốt. Bác sĩ sẽ kiểm tra tình trạng răng miệng của bệnh nhân để điều trị dứt điểm các bệnh về răng miệng như sâu răng, viêm nướu răng, chảy máu chân răng…(nếu có).
Đặt thun tách kẽ: Bác sĩ sẽ đặt thun tách kẽ có độ dày khoảng 2mm vào giữa các kẽ răng để tách các răng ra và tạo điều kiện để răng dịch chuyển. Sau khi đặt chun, bệnh nhân sẽ có cảm giác giống như có thức ăn giắt vào kẽ răng, hơi khó chịu.

Gắn mắc cài và dây cung: Sau khi gắn mắc cài, bệnh nhân sẽ cảm thấy hơi vướng do không quen. Môi và má sẽ bị đẩy ra ngoài hơn so với bình thường. Trong khoảng 1 – 2 tuần đầu làm quen, bệnh nhân sẽ thường bị cọ sát môi má vào mắc cài, đến khi hoàn toàn thích nghi thì bệnh nhân sẽ không có cảm giác khó chịu nữa.

Nhổ răng: Không phải trường hợp niềng răng nào cũng cần nhổ răng. Nhổ răng chỉ được chỉ định khi răng của bệnh nhân quá nhiều hoặc không đủ khoảng trống để răng dịch chuyển trong quá trình niềng răng. Bệnh nhân có thể cảm thấy đau sau khi hết thuốc tê và về nhà. Lúc này, bệnh nhân cần uống thuốc giảm đau theo đơn của Bác sĩ để giảm cảm giác đau do nhổ răng.
Dịch chuyển răng: Bác sĩ sẽ lên lịch hẹn tái khám cho bệnh nhân tùy theo tình trạng lệch lạc của răng, thường là khoảng 4 – 6 tuần/lần. Khi tái khám, Bác sĩ sẽ kiểm tra răng, thay dây cung và điều chỉnh lực dịch chuyển răng. Bệnh nhân có thể cảm thấy răng ê buốt và căng tức trong quá trình dịch chuyển răng.


Như vậy, trong suốt quá trình niềng răng, răng sẽ không ngừng thay đổi và thích ứng với lực tác động mới nhằm dịch chuyển răng về đúng vị trí trên cung hàm. Sự chuyển tiếp giữa các giai đoạn sẽ gây cảm giác hơi đau nhức cho bệnh nhân. Tuy nhiên, tùy theo cơ địa của mỗi người, cảm giác đau sẽ khác nhau và khi đã thích ứng với lực tác động mới, bệnh nhân sẽ không thấy đau nữa.
Với kinh nghiệm chuyên môn cao và tay nghề lâu năm, Bác sĩ tại Nha khoa Nhân Tâm sẽ tính toán tỉ mỉ để đảm bảo thực hiện đúng theo lộ trình điều trị, đồng thời, hạn chế cảm giác đau nhức trong quá trình niềng răng cho bệnh nhân.



