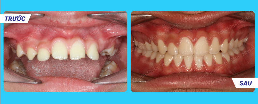
Răng chen chúc
Răng mọc chen chúc là tình trạng phổ biến và chiếm tỷ lệ cao nhất trong các bệnh lý về rối loạn khớp cắn. Đây là tình trạng răng mọc lệch khỏi vị trí ban đầu trên cung răng, có thể chìa ra, thụt vào hoặc chen chúc nhau.
Tại Nha khoa Nhân Tâm, với kỹ thuật và phác đồ điều trị răng chen chúc chính xác, bệnh nhân sẽ được bác sĩ chỉnh nha tiến hành chỉnh hình răng với mục tiêu giảm thiểu nhổ răng, mài răng tối đa, đem lại kết quả thẩm mỹ khuôn mặt thân thiện.
Răng hô, vẩu
Răng hô, vẩu là tình trạng răng hàm trên di chuyển về phía trước so với hàm dưới, có thể do hàm dưới phát triển chậm hơn hàm trên, hoặc cũng có thể là sự kết hợp của hai yếu tố.
Khi điều trị những trường hợp này, bác sĩ thường chỉ định nhổ răng. Hiện nay, với công nghệ chỉnh nha hiện đại, thời gian niềng răng mắc cài trung bình chỉ khoảng 18-24 tháng, nhổ răng tương đối thấp.

Những trường hợp nên niềng răng
Răng móm
Móm là một trong những khuyết điểm phức tạp của răng, ảnh hưởng nghiêm trọng đến hình dáng và chức năng của răng. Nguyên nhân là do hàm dưới phát triển quá mức, hàm trên phát triển chậm hơn hàm dưới hoặc cả hai.
Thông thường, sai khớp cắn dẫn đến tình trạng cắn ngược (răng cửa dưới che phủ răng trên) hoặc cắn đối đầu (các cạnh khớp cắn của răng cửa trên và dưới chạm nhau).
Niềng răng móm chỉ thực sự hiệu quả nếu nguyên nhân gây ra tình trạng sai khớp cắn là do răng và có tình trạng sai khớp cắn nhẹ. Nếu khớp cắn do xương hàm thì phải áp dụng phương pháp phẫu thuật chỉnh xương hàm.
Răng thưa
Răng thưa là tình trạng răng bị thiếu hoặc khoảng cách giữa 2 răng quá xa. Điều này xảy ra khi răng di chuyển (hậu quả của việc mất răng) hoặc khi răng quá nhỏ so với cung hàm. Răng thưa chủ yếu xuất hiện ở hàm trên mà chủ yếu là răng cửa gây mất thẩm mỹ trong giao tiếp.
Niềng răng là giải pháp chỉnh nha lâu bền nhất cho tình trạng răng thưa, giúp các răng di chuyển với nhau đều đặn hơn trên cung hàm bằng các thiết bị nha khoa chuyên dụng.


Khách hàng lấy lại hàm răng đều đẹp sau khi niềng răng tại Nha Khoa Nhân Tâm
Khớp cắn sâu
Các răng cửa hàm trên che phủ quá mức các răng cửa hàm dưới. Răng cửa hàm dưới có thể gây tổn thương mô mềm ở bề mặt bên trong của răng cửa hàm trên, có thể ảnh hưởng nghiêm trọng đến sức khỏe răng miệng lâu dài.
Ngoài ra, răng cửa ở vị trí này hạn chế vận động của hàm dưới gây khó khăn trong việc ăn nhai và dễ bị rối loạn khớp thái dương hàm.
Khớp cắn hở
Đây là tình trạng các răng không chạm vào nhau khi khớp cắn ở vị trí trung tâm, gây khó khăn cho việc ăn uống, nói năng, đồng thời làm mòn các răng tiếp xúc do lực tác động mạnh mà các răng này phải chịu. Cắn có thể do thói quen xấu như mút ngón tay cái hoặc thè lưỡi.
Khớp cắn chéo
Khớp cắn chéo là tình trạng 2 hàm trên và dưới không có sự đối xứng giữa các răng (răng cửa hàm trên và dưới lệch nhau, từ đỉnh mũi qua đường nối 2 răng cửa của 2 hàm đến tâm cằm không tạo thành đường thẳng mà bị gấp khúc ở khe răng cửa).
Ngoài ra, sự tiếp xúc giữa nhóm răng trên và dưới không đạt tiêu chuẩn tốt nên ảnh hưởng đến quá trình phát lực khi ăn nhai không chuẩn và không đầy đủ.

Hai loại niềng răng cơ bản là niềng răng mắc cài và niềng răng mắc cài.
Đọc thêm: Niềng răng trong suốt giá bao nhiều?
Răng khểnh
Răng khểnh là một yếu tố làm tăng thêm nét duyên khi cười, tạo cho người đối diện cảm giác thân thiện, dễ mến. Nếu Răng khểnh của bạn khỏe mạnh, sáng bóng, không có viền đen ở nướu hoặc tình trạng vệ sinh răng miệng bị ảnh hưởng, bạn có thể không cần niềng răng để khôi phục lại trật tự của khuôn hàm.
Tuy nhiên, nếu răng khấp khểnh, mọc lệch vào cằm, quá cao, gây hô môi không đẹp khi cười, hoặc nhô ra như “răng thỏ” như dân gian vẫn truyền miệng thì bạn nên niềng răng để vòm hàm dưới đều đặn hơn và khớp cắn tốt hơn. Mang tính thẩm mỹ, trục khớp cắn chính xác hơn, đồng thời góp phần vệ sinh răng miệng hàng ngày tốt hơn.
Đây là những tình huống nên niềng răng. Nếu bạn có nhu cầu điều trị chỉnh nha hoặc có bất kỳ thắc mắc nào, hãy liên hệ với Nha khoa Nhân Tâm ngay hôm nay!
*Chụp phim X-Quang hoặc phim 3 chiều CT Cone Beam là một bước quan trọng trong quy trình điều trị phục hồi răng. Vì vậy Khách hàng sẽ được Bác sĩ của nha khoa Nhân Tâm chỉ định đến các cơ sở y tế đủ chức năng để thực hiện trước khi điều trị.




