Mất răng số 6 có niềng răng được không? Trên thực tế, những người mất răng vẫn có thể tiến hành chỉnh nha. Bác sĩ sẽ sử dụng các khí cụ như khay niềng hoặc mắc cài để kéo răng sát khít và thẳng đều với nhau, loại bỏ khoảng trống do răng mất để lại.
Trường hợp khác, nếu khoảng trống mất răng quá lớn, kỹ thuật niềng không thể nắn chỉnh các răng đều đẹp trở lại thì bạn cần trồng răng bằng cấy ghép implant để khôi phục răng.
Một số ảnh hưởng do mất răng số 6
Răng số 6 là chiếc răng hàm lớn thứ nhất, có diện tích mặt nhai lớn và nhiều gờ rãnh, đảm nhận chức năng ăn nhai quan trọng và có liên quan mật thiết với các dây thần kinh tại khu vực xương hàm. Trường hợp mất răng số 6 không được điều trị trong thời gian dài sẽ gây ra những hậu quả nặng nề đối với sức khỏe răng miệng. Cụ thể:
Ăn nhai khó
Răng hàm mất đi khiến hoạt động ăn nhai trở nên khó khăn, việc nghiền nhỏ thức ăn không hiệu quả sẽ làm hại đến dạ dày và hệ tiêu hóa. Khi răng số 6 mất đi sẽ làm răng ở phía đối diện không còn lực nâng đỡ, lâu ngày sẽ trồi dài khiến việc ăn nhai càng thêm khó khăn.
Sai khớp cắn

Mất răng lâu ngày có thể làm sai lệch khớp cắn
Khi răng mất đi sẽ để lại khoảng trống trên cung hàm, khiến các răng khác ngày càng xô nghiêng về phía khoảng trống này. Đồng thời, các răng phía đối diện trồi dài làm mất cân đối khớp cắn, khiến gương mặt biến dạng.
Tiêu xương hàm
Xương hàm có thể phát triển ổn định là nhờ lực ăn nhai tác động thường xuyên thông qua chân răng. Do đó, sau khi mất răng, lực kích thích này không còn nữa sẽ khiến xương hàm tại khu vực này tự tiêu hủy. Cùng với đó là các biến đổi trên gương mặt, da chảy xệ, hóp má, lão hóa sớm.
Hư hỏng, xô lệch các răng khác
Lực ăn nhai bình thường sẽ được phân bố đều trên toàn bộ các răng, nhưng tình trạng mất răng sẽ khiến lực tác động dồn vào các răng còn lại tạo áp lực lớn hơn cho chúng.
Khi mất răng hàm, các răng cửa sẽ là vùng tập trung lực, trường hợp quá tải sẽ làm răng chìa ra phía trước. Từ đó, thẩm mỹ của khuôn mặt sẽ bị ảnh hưởng. Nặng nề hơn sẽ dẫn đến tình trạng mỏi hàm, đau khớp thái dương, loạn năng thái dương,…
Mất răng số 6 có niềng răng được không?

Mất răng số 6 có niềng răng được không?
Trên thực tế, những người mất răng vẫn có thể tiến hành chỉnh nha. Bác sĩ sẽ sử dụng các khí cụ như khay niềng hoặc mắc cài để kéo răng sát khít và thẳng đều với nhau, loại bỏ khoảng trống do răng mất để lại.
Tuy nhiên, nếu khoảng trống mất răng quá lớn, kỹ thuật niềng không thể nắn chỉnh các răng đều đẹp trở lại thì bạn cần trồng răng bằng cấy ghép implant để khôi phục răng.
Sau khi thăm khám và chụp phim, bác sĩ sẽ đánh giá tình trạng răng mất của bạn, từ đó chỉ định phương án khắc phục phù hợp. Trong trường hợp cần thiết, bạn sẽ cần thực hiện kết hợp cả trồng răng và niềng răng để có được kết quả tốt nhất, đem lại vẻ đẹp thẩm mỹ cho gương mặt và bảo vệ sức khỏe răng miệng.
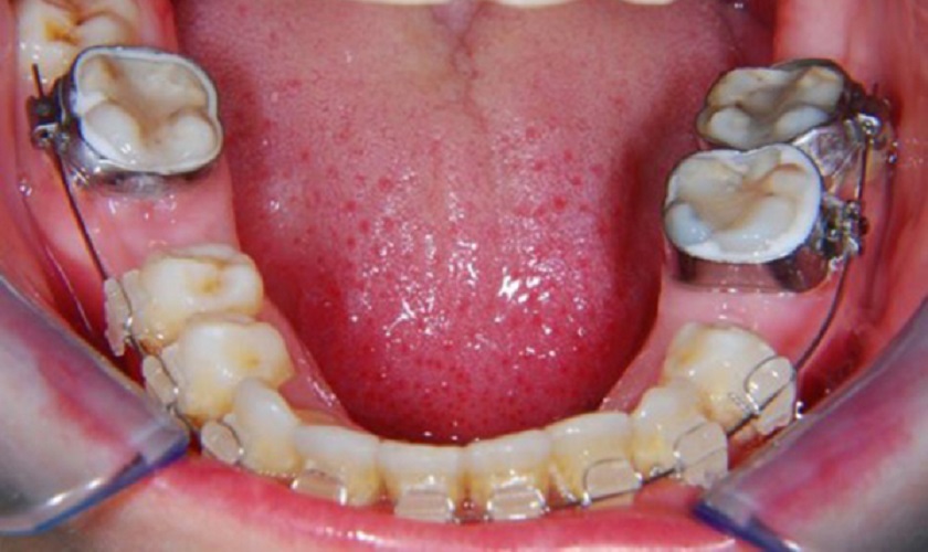
Chỉnh nha cho người mất răng là trường hợp khá đặc biệt và kỹ niềng cũng khác so với bình thường. Khí cụ định hình chuyên dụng sẽ được gắn vào những răng xung quanh răng mất nhằm giữ cho các răng này không bị xê dịch trong quá trình niềng, duy trì khoảng trống cần thiết cho việc phục hình răng sau này.

Sử dụng khí cụ định hình trong chỉnh nha cho người mất răng
Sau khi kết thúc quy trình niềng, bạn có thể phục hình chiếc răng đã mất để có được hàm răng đều đẹp như ban đầu. Dựa vào nhu cầu và thể trạng của khách hàng mà bác sĩ sẽ tư vấn biện pháp thích hợp nhất.
Phương pháp niềng trong trường hợp mất răng số 6
Như vậy, băn khoăn mất răng số 6 có niềng răng được không đã được giải đáp. Vậy có những biện pháp niềng nào phù hợp trong tình huống này?
Niềng răng mắc cài
Đây là kỹ thuật nắn chỉnh răng với lực kéo từ hệ thống mắc cài, dây cung để di chuyển răng về đúng vị trí trên khuôn hàm. Giúp bạn lấy lại hàm răng đều đẹp trong cả các trường hợp phức tạp. Vật liệu chế tác mắc cài có thể là sứ hoặc kim loại, mỗi loại sẽ có những đặc điểm riêng phù hợp với từng khách hàng.
Niềng răng trong suốt Invisalign

Kỹ thuật niềng răng trong suốt Invisalign
Phương pháp chỉnh nha này áp dụng công nghệ hiện đại với các máng niềng trong suốt thiết kế riêng theo dấu hàm của từng người với các điểm tạo lực, giúp nắn chỉnh răng nhẹ nhàng, đem lại nụ cười tự tin, rạng rỡ và còn đảm bảo tính thẩm mỹ tối ưu trong thời gian đeo niềng.
Trên đây là các thông tin giải đáp mất răng số 6 có niềng răng được không cũng như những biện pháp niềng có thể áp dụng. Bạn hãy tới trung tâm nha khoa để thăm khám, đánh giá tình trạng răng và trao đổi với bác sĩ về mong muốn, nhu cầu của bản thân, từ đó các bác sĩ sẽ tư vấn cho bạn phương pháp điều trị thích hợp nhất. Đặt hẹn với phòng khám nha khoa Nhân Tâm để được bác sĩ thăm khám và tư vấn miễn phí trong thời gian sớm nhất nhé.


