Niềng răng trong suốt là kỹ thuật chỉnh nha sử dụng khay niềng bằng nhựa trong suốt ôm khít vào răng giúp răng dịch chuyển về đúng vị trí. Đây là phương pháp đang rất được ưa chuộng, đặc biệt đối với những ai có nhu cầu thẩm mỹ cao khi niềng răng.
Niềng răng trong suốt giá bao nhiêu? Thông thương giá có thể gấp đôi hoặc gấp ba so với niềng răng mắc cài. Tuy nhiên lợi ích bạn đạt được chắc chắn hoàn toàn xứng đáng với chi phí bạn bỏ ra. Điều quan trọng nhất chính là tìm được địa chỉ niềng răng trong suốt uy tín để tránh tình trạng “tiền mất tật mang”.
Cập nhật giá niềng răng trong suốt
Thay vì sử dụng hệ thống mắc cài, dây cung và thun chỉnh nha gắn lên răng để tạo lực kéo răng về vị trí mong muốn, niềng răng trong suốt sử dụng hệ thống các khay niềng bằng nhựa nha khoa, lành tính với cơ thể, ôm khít vào răng và tác động giúp răng dịch chuyển, khắc phục tình trạng răng thưa, hô, móm, lệch lạc.
So với niềng răng truyền thống thì niềng răng trong suốt sở hữu nhiều ưu điểm vượt trội có thể kể đến như:
Đáp ứng thẩm mỹ
Khay niềng răng trong suốt được chế tác vừa khít với khuôn răng của từng bệnh nhân, giúp bạn có thể tự tin trong suốt thời gian niềng răng mà không lo bị người khác phát hiện. Đây là lý do nhiều bạn trẻ, các ngôi sao, diễn viên, hoa hậu chọn niềng răng trong suốt thay vì các phương pháp niềng răng khác.

Tháo lắp dễ dàng
Bạn có thể tự tháo lắp khay niềng để ăn uống và vệ sinh răng miệng. Điều này tạo cảm giác thoải mái khi niềng răng, việc đánh răng dễ dàng sẽ giúp phòng tránh được những bệnh lý răng miệng trong quá trình niềng răng.
Tuy nhiên để đạt hiệu quả thì cần đeo khay niềng trong 22 tiếng mỗi ngày, không nên lạm dụng việc tháo lắp khay.
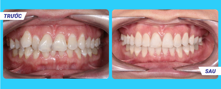
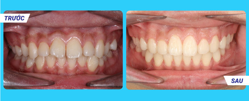
Hiệu quả cao
Niềng răng bằng khay niềng trong suốt có thể áp dụng trong nhiều trường hợp hô, móm, thưa hoặc lệch lạc ở răng và mang lại hiệu quả tương đương với niềng răng mắc cài. Thời gian niềng răng trong suốt khoảng 18-24 tháng.
Phù hợp với Khách hàng bận rộn
Phương pháp này được thiết kế theo từng lộ trình dịch chuyển răng, mỗi lộ trình Bác sĩ sẽ giao cho bạn 1 bộ khay và hướng dẫn bạn ngày nào đeo khay nào, bạn có thể tự thay khay tại nhà và chỉ đến nha khoa khi bước qua lộ trình tiếp theo cũng không xảy ra các sự cố bung sút như với mắc cài nên sẽ không mất nhiều thời gian thăm khám.

Hạn chế khó chịu khi niềng răng
Niềng răng trong suốt không bị vướng víu hay ma sát với môi, má, lưỡi nên sẽ không làm các mô mềm bị thương, hạn chế tối đa cảm giác đau hay khó chịu khi niềng răng.
Vì mang lại nhiều lợi ích và tiện lợi nên niềng răng trong suốt có chi phí cao, dao động từ 60tr đến 120tr tùy theo mức độ lệch lạc của răng và chất lượng tại phòng khám. Bạn có thể tham khảo bảng giá niềng răng trong suốt tại Nhân Tâm theo Link dưới đây:
Địa chỉ niềng răng trong suốt uy tín tại TP.HCM
Chọn được địa chỉ nha khoa chất lượng đó là điều kiện cần và đủ để việc niềng răng đạt được hiệu quả tối ưu nhất trong thời gian nhanh chóng nhất với chi phí tiết kiệm nhất.
Đặc biệt là với kỹ thuật niềng răng mới như niềng răng trong suốt Invisalign thì cần có Bác sĩ được cấp chứng nhận của hãng Invisalign bên Mỹ mới có đủ điều kiện thực hiện.
Thành lập vào năm 1997, đến nay nha khoa quận 10 - Nha khoa Nhân Tâm đã hình thành, phát triển và có bề dày hoạt động trên 23 năm, trở thành trung tâm niềng răng chuyên sâu được Khách hàng trong nước và quốc tế tin tưởng và lựa chọn.
Dưới đây là những “bí kíp” giúp Nha khoa Nhân Tâm trở thành địa chỉ niềng răng uy tín trong mắt mọi Khách hàng:
Đội ngũ Bác sĩ chuyên môn sâu, kinh nghiệm dồi dào
Đội ngũ Bác sĩ của trung tâm là những gương mặt ưu tú, được đào tạo chuyên ngành răng – hàm – mặt tại các trường Đại học danh tiếng trong và ngoài nước, trải qua quá trình làm việc thực tế lâu năm, có đôi bàn tay tài hoa và mắt thẩm mỹ tinh tế, chắc chắn sẽ mang đến nụ cười đẹp với hàm răng đều và thẳng tắp.
Xem thêm: Niềng răng bao lâu thì đẹp?

Hệ thống cơ sở vật chất khang trang - hiện đại
Những phần mềm kỹ thuật số hiện đại như hệ thống chụp phim CT Cone Beam 3D, phần mềm thiết lập phác đồ điều trị Vceph 3D cho phép quy trình thực hiện niềng răng diễn ra chính xác, nhanh chóng và đạt được kết quả tối ưu.

Quy trình niềng răng đạt chuẩn – không đau
Tại nha khoa Nhân Tâm, niềng răng được thực hiện với đầy đủ các bước theo đúng tiêu chuẩn đặt ra. Bên cạnh đó, bác sĩ sẽ xem xét và lên kế hoạch điều trị nhẹ nhàng, hạn chế tối thiểu việc nhổ răng, đảm bảo giảm thiểu tối đa cảm giác đau nhức hay khó chịu.
Không gian rộng rãi, thái độ phục vụ tận tình, chuyên nghiệp

Tọa lạc tại địa chỉ 807 đường 3/2, phường 7, quận 10, TP.HCM, Nha khoa Nhân Tâm sở hữu không gian rộng rãi kết hợp sự chăm sóc tận tình, chuyên nghiệp của đội ngũ nhân viên, giúp khách hàng cảm thấy thoải mái nhất khi tới điều trị các bệnh lý và và thẩm mỹ răng miệng.
Hỗ trợ niềng răng trả góp lãi suất 0%
Hiểu được tâm lý lo ngại về chi phí niềng răng, trung tâm áp dụng dịch vụ niềng răng trả góp lãi suất 0%, được thanh toán theo lộ trình, giúp Khách hàng cảm thấy yên tâm và thoải mái khi niềng răng.





