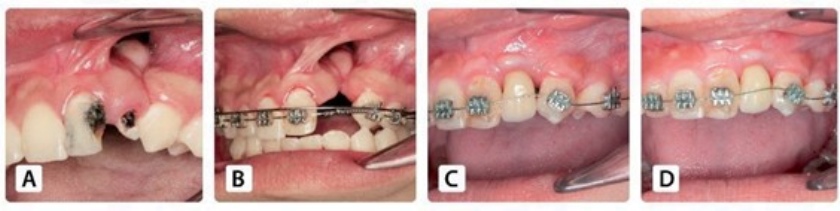
Công trình nghiên cứu “A New Technique of Two Iliac Cortical Bone Blocks Sandwich Technique for Secondary Alveolar Bone Grafting in Cleft Lip and Palate Patients” của Tiến sĩ, Bác sĩ Võ Văn Nhân và cộng sự đã được thực nghiệm với sự tham gia của 32 bệnh nhân mắc phải tình trạng khe hở môi vòm miệng (bao gồm 23 nữ, 9 nam).
Trên thực tế, phẫu thuật cấy ghép implant cho bệnh nhân khe hở môi vòm miệng được đánh giá khá phức tạp, khó có thể đạt được kết quả như mong muốn do tính ổn định không cao. Tuy nhiên, Ts.Bs Võ Văn Nhân và cộng sự đã nghiên cứu và thử nghiệm lâm sàng cho bệnh nhân kỹ thuật mới trong ghép xương và cấy ghép implant.

So với những kỹ thuật trước đây, kỹ thuật này đã có sự đột phá vượt trội. Điều này được giải thích bởi hai lí do. Thứ nhất, nhóm nghiên cứu đã sử dụng hai mảnh xương mào chậu để giúp vết thương lành nhanh chóng cũng như tránh được sự tiêu xương sau này. Thứ hai, các bác sĩ đã thực hiện kỹ thuật làm tăng độ ổn định ban đầu khi cấy implant như lỗ khoan xương nhỏ, implant được xử lí bề mặt tốt hơn, từ đó đảm bảo được độ an toàn, giúp quá trình cấy ghép implant diễn ra thành công.
Ts.Bs Võ Văn Nhân cho biết: “Công trình nghiên cứu đã ghi nhận tỷ lệ tồn tại của implant là 100%. Tất cả bệnh nhân đều hài lòng với phục hình trên implant và đạt 71,9% phục hình từ ngưỡng chấp nhận lâm sàng trở lên theo tiêu chuẩn của Belser”.

Công trình nghiên cứu của Ts.Bs Võ Văn Nhân mang lại nhiều ý nghĩa lớn:
1. Giải đáp được câu hỏi lớn về mặt khoa học đó là bác bỏ sự hoài nghi và khẳng định kết quả thành công của implant cấy trong vùng xương ghép khe hở cung răng ở người bệnh khe hở môi vòm miệng.
2. Đóng góp cho ngành nha khoa thế giới một phương pháp mới trong điều trị ghép xương và cấy implant để phục hồi răng cho bệnh nhân khe hở môi vòm miệng.
3. Giúp bệnh nhân cải thiện đáng kể thẩm mỹ, chức năng ăn nhai, phát âm,... tự tin trong giao tiếp, hòa nhập cộng đồng và thay đổi chất lượng sống.

Xem thêm về công trình nghiên cứu trên tạp chí IntechOpen
*Chụp phim X-Quang hoặc phim 3 chiều CT Cone Beam là một bước quan trọng trong quy trình điều trị phục hồi răng. Vì vậy Khách hàng sẽ được Bác sĩ của nha khoa Nhân Tâm chỉ định đến các cơ sở y tế đủ chức năng để thực hiện trước khi điều trị.

