Trám răng Inlay Onlay là phương pháp dẫn đầu xu hương trám răng thẩm mỹ hiện nay. Phương pháp này sử dụng các vật liệu như ceramic, hợp kim, composite… đúc theo hình dạng xoang đã sửa soạn và dán vào đó để phục hồi lại thân răng.
Tại Nha khoa Nhân Tâm, dịch vụ trám răng Inlay/Onlay được bảo hành nhanh chóng với chính sách và điều kiện bảo hành rõ ràng, đảm bảo tối đa quyền lợi cho quý khách hàng.
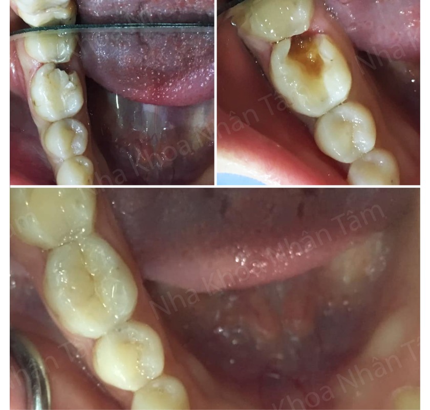
Chính sách và điều kiện bảo hành răng Onlay Composite, Inlay Composite
1. Đối tượng bảo hành
Tất cả khách hàng sử dụng dịch vụ răng sứ thẩm mỹ tại Nha khoa Nhân Tâm
2. Hình thức bảo hành
Thẻ bảo hành
Bảo hành điện tử
3. Thời gian bảo hành
3 năm kể từ ngày sử dụng dịch vụ
LƯU Ý
Khách hàng sẽ được làm lại hoặc sửa chữa hoàn toàn miễn phí theo điều kiện được bảo hành trong 1 năm đầu tiên. Năm thứ 2 nếu có sự cố răng composite nứt, vỡ, sút,... thì sẽ được giảm 20%. Năm thứ 3 sẽ được giảm 10%
Hiểu rõ hơn về phương pháp trám răng Inlay/Onlay
Inlay/Onlay là phương pháp dẫn đầu xu hương trám răng thẩm mỹ hiện nay. Phương pháp này sử dụng các vật liệu như ceramic, hợp kim, composite… đúc theo hình dạng xoang đã sửa soạn và dán vào đó để phục hồi lại thân răng.
Inlay thường được áp dụng trong những trường hợp lỗ sâu hoặc răng bị tổn thương ở vị trí giữa răng, chưa lan ra các múi của răng. Miếng trám sẽ được đúc sẵn theo kích thước chuẩn nhằm bít lại lỗ hổng tại mô răng.
Onlay thường được áp dụng cho những trường hợp răng bị sâu hoặc tổn thương nghiêm trọng hơn, không chỉ dừng lại ở giữa răng mà có thể bao phủ một phần hoặc toàn bộ mặt nhai.

Kỹ thuật trám răng Inlay/Onlay
Ưu điểm của phương pháp trám răng Inlay/Onlay
So với kỹ thuật trám răng trực tiếp với vật liệu amalgam hay composite, trám răng Inlay/Onlay mang đến nhiều ưu điểm nổi trội hơn hẳn, cụ thể như:
Tính thẩm mỹ cao
Trám răng Inlay/Onlay mang lại thẩm mỹ cao nhờ độ trắng, trong, bóng và sáng giống với răng thật đến 99%. Hơn nữa, kỹ thuật này giúp bảo vệ toàn diện những khuyết điểm của răng mà không làm biến dạng hình dáng hay kích thước của răng. Đặc biệt, miếng trám Inlay/Onlay ít hoặc thậm chí không bị đổi màu theo thời gian như những miếng trám răng thông thường.
Bảo tồn tối đa mô răng thật
Trám răng Inlay/Onlay có thể bảo tồn mô răng thật một cách tối ưu, kể cả những trường hợp răng bị vỡ, mẻ, tổn thương lớn. Nhờ đó mà răng không bị yếu hay trở nên nhạy cảm hơn.
Đảm bảo chức năng ăn nhai
Miếng trám Inlay/Onlay được chế tác dựa trên tình trạng răng của từng khách hàng, vì thế sẽ vừa vặn, tạo sự thoải mái và đảm bảo chức năng ăn nhai ổn định, không gây cộm cấn.
Tuổi thọ lâu dài
Thông thường, các bác sĩ sẽ ưu tiên chọn vật liệu sứ để trám Inlay/Onlay cho khách hàng. Điều này sẽ giúp độ cứng của miếng trám tăng lên rất nhiều, độ bền từ đó cũng kéo dài hơn, có thể lên đến 15 – 20 năm, thậm chí lâu hơn nếu được chăm sóc đúng cách.

Trám răng Inlay/Onlay mang đến ưu điểm vượt trội
Quy trình trám răng Inlay/Onlay tại nha khoa Nhân Tâm
Kỹ thuật trám răng Inlay/Onlay có yêu cầu cao ở tay nghề bác sĩ. Nếu không thì miếng trám sẽ dễ bị hở, cộm, đồng thời mang đến hàng loạt những rủi ro không mong muốn. Do đó, bạn cần tìm đến các cơ sở nha khoa uy tín, chất lượng như Nha khoa Nhân Tâm để đảm bảo hiệu quả và an toàn tuyệt đối.
Tại Nha khoa Nhân Tâm, trám răng Inlay/Onlay sẽ được thực hiện theo quy trình chuẩn như sau:
- Bước 1: Kiểm tra hồ sơ bệnh án, đánh giá tình trạng toàn thân, tại chỗ và răng cần điều trị của khách hàng.
- Bước 2: Vệ sinh răng miệng, làm sạch xoang.
- Bước 3: Tạo hình xoang inlay, onlay
Tạo xoang mặt nhai: Chiều cao của xoang 1,5mm. Chiều rộng của xoang phải đạt tối thiểu 1,5- 2mm đối với răng hàm nhỏ và 2,5- 3mm đối với răng hàm lớn. Sau đó, dùng mũi khoan chóp ngược cắt men răng ở rãnh giữa rồi mở rộng theo rãnh của răng theo hướng gần xa. Tiếp tục dùng mũi trụ tạo xoang hình đuôi én theo hướng song song với trục của răng. Đáy xoang được mài phẳng, nếu có những khoảng lẹm thì dùng vật liệu thích hợp để bù lẹm.
Tạo xoang mặt bên: Dùng mũi khoan trụ mài sâu xuống ngà răng, xoang mặt bên gồm 4 thành: Thành ngoài trong sâu về phía buồng tủy khoảng 2mm. Thành tủy (thành trục) được mài cong theo hình dạng thân răng. Thành phía lợi: ở sát đỉnh núm lợi và hợp với vách tủy một góc 45 độ.
- Bước 4: So màu răng. Sau đó tiến hành lấy dấu, đổ mẫu thạch cao rồi gửi về LAB để đúc Inlay/Onlay.
- Bước 5: Sau khi Inlay/Onlay đã được chế tạo xong, bác sĩ sẽ đặt Inlay/Onlay vào xoang, đồng thời kiểm tra độ kín khít, khớp cắn. Nếu tất cả đã ổn định thì sẽ tiến hành gắn Inlay/Onlay bằng chất gắn phù hợp.
- Bước 6: Hướng dẫn chăm sóc răng sau khi trám Inlay/Onlay.

Trám răng Inlay/Onlay tại Nha khoa Nhân Tâm được thực hiện theo quy trình chuẩn Quốc tế
Hy vọng rằng bài viết trên đã giúp bạn tìm hiểu được những thông tin về kỹ thuật trám răng Inlay/Onlay, đồng thời biết được chính sách và điều kiện bảo hành dịch vụ này tại Nha khoa Nhân Tâm. Nếu cần tư vấn thêm thông tin, hãy liên hệ ngay đến Nha khoa Nhân Tâm, các chuyên gia sẽ giải đáp cụ thể và hoàn toàn miễn phí cho bạn.



