Nụ cười xinh sau khi khắc phục răng sứ bị hở
Bọc răng sứ bị hở là một trong những thủ thuật, để khắc phục tình trạng sau khi bọc răng sứ bị hở chân răng. Tình trạng này nếu kéo dài gây ra rất nhiều khó khăn cho bệnh nhân trong việc ăn nhai, thức ăn có thể bám vào những chỗ hở và gây hôi miệng cũng như làm cho răng bị sâu, tính thẩm mỹ của răng cũng giảm sút rất nhiều. Cách khắc phục răng bị hở cũng không mất nhiều thời gian nhưng lại là một vấn đề quan trọng bệnh nhân cần phải làm ngay để đảm bảo sức khỏe răng miệng được tốt đẹp, khắc phục những hậu quả để lại sau khi bọc răng bị lỗi kỹ thuật.
Các nguyên nhân bọc răng sứ bị hở
Nguyên nhân bọc răng sứ bị hở Có thể sau một số nguyên nhân sau đây:
- Bác sĩ tiến hành quá trình mài răng không đúng kỹ thuật, không đúng quy trình. Do tay nghề còn yếu, trình độ chuyên môn thấp, chưa có nhiều kinh nghiệm nên thao tác không cẩn thận. Cùi răng được mài chưa đúng kỹ thuật, không đạt được độ nhẫn theo yêu cầu, khi bọc răng sứ lên trên thiếu sự bám dính nên không thể đạt độ chắc chắn.
- Vệ sinh không đúng cách cách cũng là một nguyên nhân làm ảnh hưởng đến răng sứ sau khi bọc có thể bị hở chân răng do cách vệ sinh mạnh tay làm cho nướu bị viêm nhiễm.
- Ăn các đồ ăn vừa khô, dai cứng cũng làm ảnh hưởng nhiều đến răng sứ. Khi mới làm răng sứ chưa đạt được độ kết dính hoàn hảo cần đợi một thời gian ít nhất là 1 tuần để răng bọc sứ chắc chắn. Bệnh nhân nên kiêng ăn những thức ăn gây nhiều áp lực cho răng để tránh tình trạng hở răng không mong muốn.

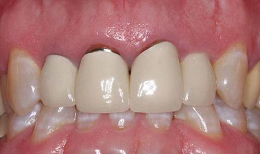
Răng sứ bị hở là lỗi kỹ thuật thường xảy ra sau khi bọc răng
Cách khắc phục bọc răng sứ bị hở
Khi gặp tình trạng răng sứ bị hở sau một thời gian làm răng bệnh nhân nên tìm cách khắc phục răng sứ bị hở ngay khi có thể. Nếu để tình trạng này kéo dài, trong quá trình ăn uống vệ sinh không đúng cách sẽ làm cho các mảng thức ăn nhỏ bé bám vào sẽ tạo điều kiện cho các vi khuẩn sinh sôi nảy nở, gây ra tình trạng hôi miệng. Để giải quyết vấn đề này, việc tìm đến một địa chỉ phòng khám nha khoa uy tín, có các bác sĩ giàu kinh nghiệm và trình độ chuyên môn cao để có thể thực hiện quy trình bọc răng sứ theo đúng thao tác kỹ thuật, nhằm gỡ bỏ răng sứ cũ đi, bọc lại răng mới khi cần có thể chỉnh sửa lại cùi răng đã mài cho đạt yêu cầu.

Răng sứ bị hở rất dễ khắc phục
Như vậy, bọc răng sứ sẽ được chắc chắn hơn, đảm bảo không bị hở chân răng lần thứ hai, gây ra những tình huống dở khóc dở cười. Bên cạnh đó, sau khi bọc lại răng sứ bệnh nhân nên có một chế độ ăn uống phù hợp, hạn chế ăn những thức ăn thô cứng gây nhiều áp lực đến răng sứ mới bọc đang còn yếu, chưa có độ kết dính hoàn hảo. Vệ sinh răng miệng hàng ngày một cách cẩn thận kỹ lưỡng và đúng cách sau mỗi bữa ăn là điều rất quan trọng, giúp kéo dài tuổi thọ của răng và tăng tính thẩm mỹ làm cho hàm răng luôn trắng sáng tự nhiên đồng thời không gây mất hôi miệng.
Một vài chú ý gì sau khi bọc răng sứ
Để tránh tình trạng sau khi bọc răng sứ bị hở, bệnh nhân nên chú ý sau khi bọc răng sứ những điều cần thiết sau đây để có hàm răng đẹp bền vững:
- Trước khi quyết định bọc răng sứ để khắc phục tình trạng răng có vấn đề bệnh nhân nên tìm hiểu thật kỹ những địa chỉ phòng khám nha khoa uy tín, chất lượng. Các Bác sĩ giàu kinh nghiệm, trình độ chuyên môn cao, có tay nghề vững vàng để thao tác mài răng sứ đúng quy trình, đúng kỹ thuật đảm bảo thành công và không bị tình trạng hở chân răng gây mất thẩm mỹ.
- Sau khi bọc răng sứ bệnh nhân nên hạn chế ăn những thức ăn dai khô và cứng gây nhiều áp lực cho răng sứ mới bọc đang còn chưa đạt được độ kết dính hoàn hảo có thể bị hở chân răng.
- Thường xuyên vệ sinh răng miệng sạch sẽ đúng cách sau sau mỗi bữa ăn để bảo vệ răng luôn khỏe mạnh.
- Khi răng bị hở bệnh nhân không nên lo lắng nhiều và mau chóng đến phòng khám đa khoa để các Bác sĩ có thể khắc phục ngay tránh tình trạng hở răng kéo dài gây ảnh hưởng không tốt đến sức khỏe răng.



