Trồng răng sứ hay bọc răng sứ là phương pháp được nhiều người lựa chọn để có được hàm răng đều đẹp, trắng sáng tự nhiên. Để có thể sử dụng răng sứ dài lâu, bền đẹp theo thời gian, bạn cần phải biết chăm sóc răng đúng cách và lưu ý theo những chỉ dẫn của bác sĩ.
Trường hợp nào nên trồng răng sứ?
- Răng bị nhiễm màu nặng: những trường hợp răng bị nhiễm màu nặng mà phương pháp tẩy trắng răng không thể khắc phục được thì nên bọc răng sứ.
- Răng bị mẻ, vỡ: răng bị sứt, mẽ ở mức độ nặng mà việc hàn trám không cho hiệu quả như ý thì nên tiến hành bọc răng sứ để đảm bảo việc ăn nhai cũng như duy trì độ bền của răng.
- Răng bị hư, chết tủy: răng chết tủy sẽ bị giòn, dễ gãy, nên bọc sứ để bảo vệ răng thật bên trong khi đã chữa tủy răng.
- Răng bị hô, chìa, vẩu ở mức độ nhẹ: bọc răng sứ sẽ giúp răng trở nên đều và thẩm mỹ hơn.
- Răng bị thưa, hở kẽ: những trường hợp răng bị thưa nhiều không thể hàn trám thẩm mỹ thì bọc răng sứ cũng là cách để khắc phục hiệu quả.
- Răng bị mất: phương pháp làm cầu răng sứ sẽ phục hồi răng mất hiệu quả, mang lại thẩm mỹ cao và chức năng ăn nhai tốt như răng thật.

Trồng răng sứ là giải pháp phục hình thẩm mỹ cho răng hiệu quả
Thời gian trồng răng sứ kéo dài bao lâu?
Thời gian bọc răng sứ phụ thuộc vào sức khỏe răng miệng cũng như số lượng răng mà khách hàng muốn phục hình. Tại Nha Khoa Nhân Tâm, khoảng thời gian này thường diễn ra từ 3 – 5 ngày với 2 lần hẹn:
- Lần 1: Kiểm tra sức khỏe răng miệng và tư vấn loại sứ phù hợp, sau đó tiến hành mài cùi, lấy dấu răng để chế tạo mão sứ. Nếu mắc các bệnh lý về răng thì sẽ tiến hành điều trị bệnh lý.
- Lần 2: Mão sứ sẽ được gắn thử lên răng. Nếu mọi thứ đều ổn định thì bác sĩ sẽ cố định luôn mão sứ lên cùi răng và hoàn tất quá trình bọc răng sứ.

Nha khoa Nhân Tâm là địa chỉ trồng răng sứ uy tín
Những loại răng sứ phổ biến hiện nay
Hiện nay có rất nhiều loại răng sứ, trong đó nổi bật là Răng sứ kim loại và Răng toàn sứ (Răng sứ không kim loại).
- Răng sứ kim loại: là loại răng sứ có cấu tạo 2 phần, bao gồm phần lõi kim loại và mão sứ phủ bên ngoài. Khi thực hiện, các kỹ thuật viên nha khoa sẽ đúc một lớp thân kim loại phù hợp với dấu răng đã mài cùi. Chất liệu thân răng có thể là titanium hoặc hợp kim của Titan (titan, Ni, Cr…).
- Răng toàn sứ (Răng sứ không kim loại): là loại răng sứ làm hoàn toàn bằng chất liệu sứ, không có lẫn các tạp chất khác, bao gồm răng sứ E.max hoặc Cercon. Vì được làm bằng chất liệu sứ cao cấp nên rất cứng chắc, độ bền cao và luôn đảm bảo màu sắc.
Xem thêm: Những loại răng sứ tốt nhất hiện nay trên thị trường

Các loại răng sứ phổ biến hiện nay
Nha Khoa Nhân Tâm - Trung tâm răng sứ uy tín tại TP HCM
Với hơn 25 năm hoạt động, Nha khoa Nhân Tâm tự hào là một trong những trung tâm nha khoa thực hiện trồng răng sứ uy tín, chất lượng, được đông đảo khách hàng trong và ngoài nước tin tưởng lựa chọn.
Đội ngũ Bác sĩ nha khoa thẩm mỹ trên 20 năm kinh nghiệm trực tiếp điều trị
Ứng dụng công nghệ làm răng sứ thế hệ mới
Hệ thống vô trùng nha khoa hiện đại, tuân thủ nghiêm ngặt quy định của Bộ Y Tế
Dịch vụ hoàn hảo, chăm sóc tận tâm trước, trong và sau điều trị
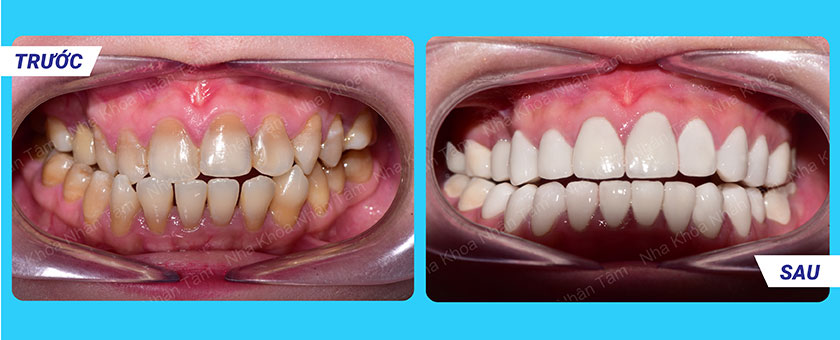
Hình ảnh trước - sau khi trồng răng sứ



Khách hàng trồng răng sứ tại Nha khoa Nhân Tâm
Trên đây là những lưu ý khi bọc răng sứ mà bạn cần biết. Một điều không kém phần quan trọng chính là bạn phải tìm được phòng khám nha khoa gần đây và uy tín để thực hiện nhằm mang lại hiệu quả như mong muốn.




