Phục hình răng sứ là kỹ thuật phục hình cố định trong nha khoa thẩm mỹ được áp dụng với các trường hợp răng xỉn màu, răng sứt mẻ, răng hô nhẹ, giúp khách hàng lấy lại nụ cười rạng rỡ cùng thần thái tự tin khi giao tiếp.
Răng sứ thẩm mỹ được đánh giá là phương pháp an toàn khi được thực hiện đúng kỹ thuật và sử dụng vật liệu đạt chuẩn, ít gây ảnh hưởng đến sức khỏe răng miệng.
Tuy nhiên, vẫn có những trường hợp bọc răng sứ tại cơ sở kém chất lượng, quy trình bọc sứ không đúng kỹ thuật làm suy yếu răng thật và kéo theo nhiều rủi ro ngoài ý muốn. Để tránh trường hợp này bạn cần lựa chọn trung tâm nha khoa uy tín, chất lượng với đội ngũ Bác sĩ chuyên môn cao và hệ thống máy móc hiện đại.
Bọc răng sứ thẩm mỹ là gì?
Bọc răng sứ thẩm mỹ là phương pháp phục hình răng bằng cách sử dụng một mão sứ được thiết kế riêng để chụp lên phần răng thật đã được mài chỉnh. Lớp mão sứ này có vai trò bao phủ toàn bộ thân răng, giúp cải thiện màu sắc, hình dáng và hỗ trợ chức năng ăn nhai.
Trong quá trình thực hiện, bác sĩ sẽ mài một tỷ lệ men răng nhất định để tạo khoảng trống cho mão sứ. Sau đó, dấu răng được lấy để chế tác mão sứ sao cho phù hợp với khớp cắn và tổng thể khuôn mặt. Khi hoàn tất, mão sứ được gắn cố định lên răng thật bằng vật liệu chuyên dụng, giúp răng có hình dáng hài hòa hơn.

Bọc răng sứ thẩm mỹ sử dụng một mão sứ được thiết kế riêng để chụp lên phần răng thật đã được mài chỉnh
Có nên bọc răng sứ thẩm mỹ không? Trường hợp nào nên bọc răng sứ thẩm mỹ?
Bọc răng sứ thẩm mỹ thường được cân nhắc khi răng gặp các vấn đề về màu sắc, hình dáng hoặc cấu trúc mà những phương pháp khác khó cải thiện rõ rệt. Tuy nhiên, việc có nên bọc răng sứ thẩm mỹ hay không sẽ phụ thuộc vào tình trạng răng miệng cụ thể, nhu cầu của từng người và chỉ định của bác sĩ.
Trong một số trường hợp, bọc răng sứ có thể giúp cải thiện đáng kể tính thẩm mỹ, đồng thời hỗ trợ chức năng ăn nhai ổn định hơn. Đặc biệt với các răng đã bị tổn thương như sứt mẻ, nhiễm màu nặng hoặc đã điều trị tủy, mão sứ đóng vai trò như một lớp bảo vệ bên ngoài, giúp răng hạn chế tác động từ môi trường ăn uống hằng ngày.

Có nên bọc răng sứ không?
Dưới đây là một số trường hợp thường được bác sĩ tư vấn bọc răng sứ:
- Răng ố vàng, nhiễm màu nặng: Những tình trạng nhiễm màu do kháng sinh, men răng yếu hoặc xỉn màu lâu năm có thể không cải thiện nhiều khi tẩy trắng. Khi đó, mão sứ có thể giúp che phủ màu răng và tạo màu sắc đồng đều hơn.
- Răng sứt mẻ, gãy vỡ: Với các răng bị tổn thương cấu trúc, bọc răng sứ giúp phục hồi hình dáng và hỗ trợ chức năng ăn nhai, đồng thời hạn chế tác động trực tiếp lên phần răng thật còn lại.
- Răng thưa, hở kẽ: Trong trường hợp khoảng cách giữa các răng không quá lớn, bọc răng sứ có thể giúp điều chỉnh hình thể răng để khép lại khe hở, mang lại tổng thể hài hòa hơn.
- Răng lệch nhẹ, hô hoặc móm mức độ nhẹ: Với những sai lệch không quá phức tạp, phương pháp này có thể được cân nhắc để cải thiện hình dáng răng trong thời gian tương đối ngắn, thay vì can thiệp chỉnh nha kéo dài.
- Răng đã điều trị tủy: Sau khi lấy tủy, răng thường có xu hướng giòn và dễ tổn thương hơn. Mão sứ giúp bao bọc bên ngoài, góp phần bảo vệ và duy trì chức năng ăn nhai.
- Răng hư tổn, hình dáng to nhỏ không đồng đều: Một số trường hợp răng có kích thước không cân đối, răng quá to hoặc quá nhỏ so với tổng thể, hoặc đã bị mòn, biến dạng theo thời gian.

Bọc răng sứ thẩm mỹ thường được cân nhắc trong những trường hợp răng có khuyết điểm
Lưu ý: Mỗi tình trạng răng miệng sẽ có chỉ định khác nhau, vì vậy để xác định có phù hợp bọc răng sứ hay không, bạn nên đến nha khoa uy tín để được bác sĩ thăm khám và tư vấn phương án điều trị phù hợp.
Quy trình bọc răng sứ thẩm mỹ chuẩn Y khoa
Quy trình bọc răng sứ thẩm mỹ thường được thực hiện theo từng bước rõ ràng nhằm đảm bảo độ chính xác và hạn chế cảm giác khó chịu trong suốt quá trình.
Bước 1: Thăm khám và chụp phim
Bác sĩ tiến hành kiểm tra tổng quát răng miệng, đánh giá tình trạng răng, nướu và cấu trúc xương hàm thông qua chụp phim. Bước này giúp phát hiện các vấn đề tiềm ẩn như sâu răng, viêm tủy hoặc bệnh lý nha chu để có hướng xử lý phù hợp trước khi bọc răng sứ.

Bác sĩ tiến hành kiểm tra tổng quát răng miệng
Bước 2: Thiết kế nụ cười, lập kế hoạch điều trị
Tại Nha khoa Nhân Tâm, quy trình bọc răng sứ thẩm mỹ có thêm bước ghi nhận hình ảnh và thiết kế nụ cười, kết hợp giữa điều trị nha khoa và công nghệ hiện đại.
Thông qua việc quét dữ liệu khuôn mặt, bạn có thể hình dung trước nụ cười của mình dưới nhiều góc nhìn khác nhau. Đồng thời, dữ liệu này hỗ trợ bác sĩ xây dựng kế hoạch điều trị rõ ràng hơn, góp phần kiểm soát các vấn đề có thể phát sinh và tối ưu thời gian thực hiện.

Quy trình bọc răng sứ thẩm mỹ có thêm bước ghi nhận hình ảnh và thiết kế nụ cười
Bước 3: Vệ sinh răng miệng và gây tê
Bạn sẽ được làm sạch và sát khuẩn khoang miệng nhằm giảm nguy cơ viêm nhiễm. Trường hợp có nhiều mảng bám hoặc vôi răng, bác sĩ có thể chỉ định lấy cao răng trước khi thực hiện. Sau đó, vùng răng cần điều trị sẽ được gây tê để hạn chế cảm giác khó chịu trong quá trình mài răng.
Bước 4: Mài cùi, lấy dấu răng
Bác sĩ tiến hành mài răng theo tỷ lệ đã được tính toán trước, thao tác được kiểm soát nhằm hạn chế ảnh hưởng đến mô răng và các răng xung quanh. Bước này giúp mão sứ sau khi gắn có độ ôm sát, tạo cảm giác tự nhiên khi sử dụng. Với những trường hợp răng tổn thương nhiều hoặc có vấn đề về tủy, việc điều trị sẽ được thực hiện trước khi mài.
Sau khi hoàn tất, bác sĩ lấy dấu răng bằng công nghệ 3Shape 3D để đảm bảo độ chính xác cao và hạn chế sai lệch. Dữ liệu thu được sẽ được chuyển đến phòng LAB để chế tác răng sứ phù hợp với từng trường hợp.

Bác sĩ lấy dấu răng bằng công nghệ 3Shape 3D
Bước 5: Thiết kế răng sứ
Dựa trên dữ liệu đã lấy, kỹ thuật viên tiến hành thiết kế và chế tác mão sứ. Quá trình này chú trọng đến độ khít sát, hình thể và màu sắc để đảm bảo tính thẩm mỹ và khả năng ăn nhai.

Kỹ thuật viên tiến hành thiết kế và chế tác mão sứ
Bước 6: Tiến hành bọc mão răng sứ phục hình
Mão sứ được thử và điều chỉnh nếu cần để đảm bảo phù hợp với khớp cắn. Sau đó, răng sứ được gắn cố định bằng vật liệu chuyên dụng, giúp ổn định trên cùi răng thật.
Bước 7: Hướng dẫn chăm sóc răng miệng
Sau khi hoàn tất, bác sĩ hướng dẫn cách vệ sinh và chăm sóc răng miệng tại nhà. Đồng thời, khách hàng được khuyến nghị tái khám định kỳ để kiểm tra độ ổn định và tình trạng răng sứ theo thời gian.

Một ca bọc răng sứ thẩm mỹ tại Nha Khoa Nhân Tâm
Bọc răng sứ thẩm mỹ có đau không?
Bọc răng sứ thường không gây đau khi được thực hiện đúng kỹ thuật và có gây tê trước khi mài răng. Quá trình này chủ yếu tác động lên lớp men răng, hạn chế ảnh hưởng đến cấu trúc bên trong nên bạn có thể yên tâm hơn khi thực hiện.
Sau khi bọc sứ, bạn có thể cảm thấy ê nhẹ ở răng hoặc nướu trong vài ngày đầu. Cảm giác này thường giảm dần khi răng và mô nướu thích nghi với mão sứ mới. Trong trường hợp tình trạng ê buốt kéo dài, xuất hiện đau khi nhai hoặc cảm giác khó chịu tăng lên, bạn nên quay lại nha khoa để được kiểm tra và có hướng xử lý phù hợp.

Bọc răng sứ thường không gây đau khi được thực hiện đúng kỹ thuật
Ưu điểm và nhược điểm của bọc răng sứ thẩm mỹ
Bọc răng sứ thẩm mỹ là phương pháp được nhiều người cân nhắc khi muốn cải thiện hình dáng và màu sắc răng. Tuy nhiên, trước khi lựa chọn, việc hiểu rõ cả ưu điểm và những điểm cần lưu ý sẽ giúp bạn có cái nhìn đầy đủ hơn và đưa ra quyết định phù hợp.
Ưu điểm nổi bật
- Khắc phục hoàn hảo các khuyết điểm: Bọc răng sứ giúp che phủ tình trạng răng xỉn màu, ố vàng nặng, răng sứt mẻ hoặc khấp khểnh nhẹ, mang lại nụ cười đều đẹp và rạng rỡ.
- Thiết kế cá nhân hóa: Mỗi mão sứ được chế tác tỉ mỉ dựa trên tỷ lệ khuôn mặt, đường cười và sắc tố da của từng cá nhân, đảm bảo sự hài hòa, tự nhiên như răng thật
- Phục hồi chức năng ăn nhai: Răng sứ có độ cứng và khả năng chịu lực tốt, không chỉ giúp ăn nhai thoải mái mà còn bảo vệ răng thật khỏi các tác động có hại từ vi khuẩn và nhiệt độ.
- Độ bền và tuổi thọ cao: Khi được thực hiện đúng kỹ thuật và chăm sóc đúng cách, răng toàn sứ có thể duy trì vẻ đẹp và chức năng ổn định từ 15–20 năm.
- Ít bị ảnh hưởng bởi màu thực phẩm (đối với răng toàn sứ): Một số dòng răng toàn sứ có khả năng hạn chế bám màu, giúp duy trì màu sắc ổn định hơn trong quá trình sử dụng.

Bọc răng sứ thẩm mỹ giúp nụ cười rạng rỡ và tự tin hơn
Nhược điểm cần cân nhắc
- Cần mài răng thật: Mài răng là chỉ định bắt buộc để tạo khoảng trống đặt mão sứ. Vì đây là quá trình không thể đảo ngược, bác sĩ cần tính toán tỷ lệ mài cực kỳ chính xác nhằm bảo tồn tối đa cấu trúc răng thật và tránh gây kích ứng tủy.
- Chi phí có thể cao hơn một số phương pháp khác: So với trám răng hoặc tẩy trắng, bọc răng sứ thường có mức chi phí cao hơn, đặc biệt khi sử dụng các dòng răng toàn sứ.
- Cảm giác ê buốt trong thời gian đầu: Sau khi thực hiện, một số người có thể cảm thấy ê nhẹ khi ăn uống. Cảm giác này thường giảm dần khi răng thích nghi.
- Nguy cơ phát sinh vấn đề nếu thực hiện không đúng kỹ thuật: Việc mài răng quá mức, lắp mão sứ không khít hoặc sử dụng vật liệu không phù hợp có thể dẫn đến các vấn đề như viêm nướu, hở viền hoặc khó chịu khi ăn nhai. Vì vậy, bạn nên lựa chọn nha khoa uy tín và bác sĩ có chuyên môn để đảm bảo quy trình thực hiện đúng kỹ thuật, hạn chế rủi ro và đạt kết quả lâu dài.
Bọc răng sứ thẩm mỹ giá bao nhiêu?
Giá bọc răng sứ thẩm mỹ dao động từ 2.800.000 – 12.000.000 đồng/răng. Chi phí bọc răng sứ thẩm mỹ thường có sự khác nhau tùy thuộc vào loại răng sứ, số lượng răng cần thực hiện và tình trạng răng miệng ban đầu. Vì vậy, mức giá cụ thể sẽ được xác định sau khi thăm khám và có kế hoạch điều trị phù hợp.

Bảng giá tham khảo, bạn vui lòng đến Nha Khoa Nhân Tâm để được thăm khám và tư vấn miễn phí
Những điều cần lưu ý trước và sau khi bọc răng sứ
Để quá trình bọc răng sứ diễn ra thuận lợi và duy trì kết quả ổn định theo thời gian, việc chuẩn bị trước khi thực hiện và chăm sóc sau khi hoàn tất là yếu tố cần được quan tâm. Những lưu ý dưới đây giúp bạn chủ động hơn trong từng giai đoạn.
Lưu ý trước khi bọc răng sứ
- Thăm khám và đánh giá tình trạng răng miệng: Việc kiểm tra tổng quát giúp xác định răng có phù hợp để bọc sứ hay không, đồng thời phát hiện các vấn đề như sâu răng, viêm nướu để xử lý trước khi thực hiện.
- Lựa chọn nha khoa và bác sĩ có kinh nghiệm: Tay nghề bác sĩ và quy trình thực hiện có ảnh hưởng đến độ chính xác khi mài răng và lắp mão sứ, từ đó giúp hạn chế cảm giác ê buốt và các vấn đề phát sinh.
- Tìm hiểu về loại răng sứ phù hợp: Mỗi loại răng sứ có đặc điểm riêng về màu sắc, độ bền và chi phí. Việc trao đổi với bác sĩ giúp bạn lựa chọn phương án phù hợp với nhu cầu và điều kiện cá nhân.
- Giữ tâm lý thoải mái trước khi thực hiện: Khi hiểu rõ quy trình và được gây tê đúng cách, trải nghiệm bọc răng sứ thường diễn ra nhẹ nhàng, giúp bạn giảm bớt lo lắng không cần thiết.

Thăm khám và đánh giá tình trạng răng miệng
Lưu ý sau khi bọc răng sứ
- Hạn chế ăn uống trong thời gian đầu: Sau khi gắn răng sứ, bạn nên tránh các thực phẩm quá cứng, quá nóng hoặc quá lạnh trong vài ngày đầu để răng thích nghi dần.
- Vệ sinh răng miệng đúng cách: Duy trì thói quen đánh răng ít nhất 2 lần mỗi ngày, kết hợp sử dụng chỉ nha khoa và nước súc miệng để làm sạch kẽ răng và vùng viền nướu.
- Tránh sử dụng răng để cắn vật cứng: Những thói quen như cắn đá, mở nắp chai hoặc nhai đồ quá dai có thể ảnh hưởng đến độ bền của răng sứ theo thời gian.
- Theo dõi cảm giác sau khi thực hiện: Ê nhẹ trong những ngày đầu có thể xảy ra, tuy nhiên nếu cảm giác này kéo dài hoặc xuất hiện dấu hiệu bất thường, bạn nên quay lại nha khoa để được kiểm tra.
- Tái khám định kỳ theo hướng dẫn: Việc kiểm tra định kỳ giúp bác sĩ đánh giá độ ổn định của răng sứ và xử lý kịp thời nếu có vấn đề phát sinh.
Bọc răng sứ thẩm mỹ ở đâu uy tín, an toàn?
Với gần 30 năm hoạt động trong lĩnh vực nha khoa, Nha khoa Nhân Tâm là một trong những địa chỉ được nhiều khách hàng tin tưởng khi có nhu cầu phục hình răng sứ thẩm mỹ. Sự lựa chọn này không chỉ đến từ kinh nghiệm lâu năm mà còn dựa trên hệ thống chuyên môn và công nghệ được đầu tư đồng bộ.
- Đội ngũ bác sĩ chuyên môn cao: Các bác sĩ được đào tạo bài bản, dày dặn kinh nghiệm trong lĩnh vực phục hình răng sứ, đảm bảo quá trình điều trị diễn ra chính xác và an toàn.
- Hệ thống trang thiết bị hiện đại: Máy móc và công nghệ được cập nhật liên tục, hỗ trợ quá trình điều trị diễn ra nhẹ nhàng, hạn chế xâm lấn và tối ưu trải nghiệm cho khách hàng.
- Ứng dụng công nghệ CAD/CAM: Cho phép thiết kế và chế tác răng sứ với độ chính xác cao, đảm bảo tính thẩm mỹ và độ bền lâu dài.
- Công nghệ lấy dấu và mô phỏng kỹ thuật số: Hệ thống quét dấu răng 3D và scan khuôn mặt giúp ghi nhận dữ liệu nhanh chóng, đồng thời mô phỏng kết quả điều trị trước khi thực hiện.
- Phòng labo inhouse: Giúp chủ động trong quá trình sản xuất răng sứ, rút ngắn thời gian hoàn thiện và đảm bảo kiểm soát chất lượng phục hình.

Các bác sĩ được đào tạo bài bản, dày dặn kinh nghiệm trong lĩnh vực phục hình răng sứ
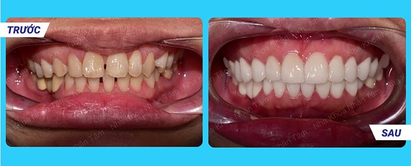
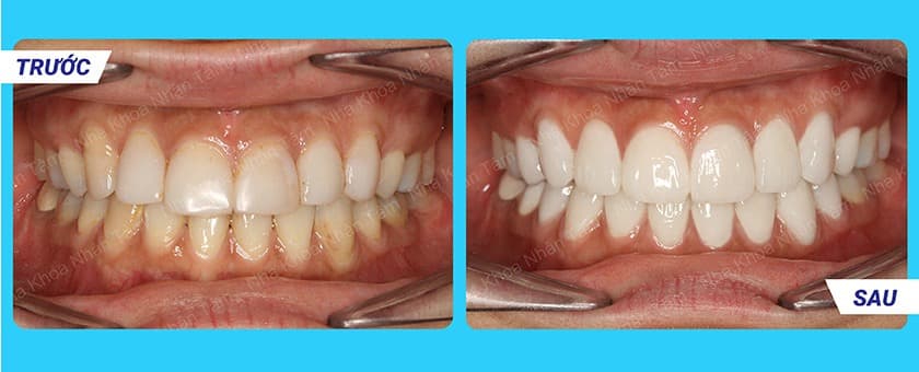
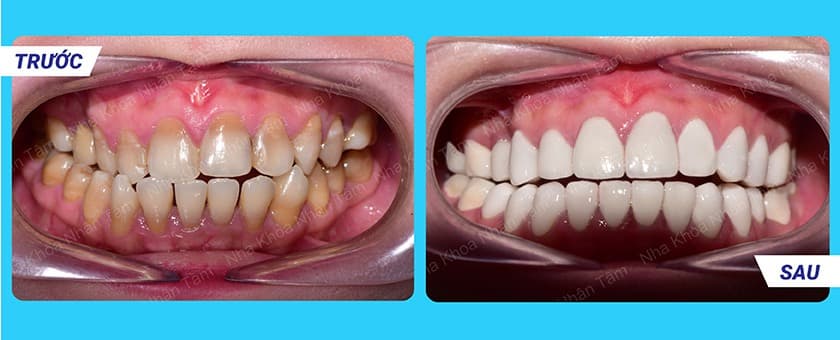
Hình ảnh khách hàng trước và sau khi bọc răng sứ tại Nha Khoa Nhân Tâm
Để bạn dễ hình dung hơn về hiệu quả của phương pháp bọc răng sứ thẩm mỹ, dưới đây là một số hình ảnh trước và sau khi thực hiện tại Nha khoa Nhân Tâm.




Câu hỏi thường gặp
Bọc răng sứ có cần lấy tủy không?
Không phải trường hợp nào bọc răng sứ cũng cần lấy tủy. Thông thường, bác sĩ sẽ ưu tiên bảo tồn tủy răng nếu răng còn khỏe mạnh. Việc lấy tủy thường chỉ được cân nhắc khi răng có dấu hiệu viêm tủy, tổn thương sâu hoặc đã điều trị trước đó. Việc giữ lại tủy răng có thể giúp duy trì độ cảm nhận và độ bền tự nhiên của răng trong quá trình sử dụng.
Bọc răng sứ có bị hôi miệng không?
Bọc răng sứ thường không gây hôi miệng nếu được thực hiện đúng kỹ thuật và chăm sóc đúng cách. Tuy nhiên, trong một số trường hợp, tình trạng hôi miệng có thể xuất hiện do:
- Mão sứ không khít với cùi răng
- Vệ sinh răng miệng chưa đúng cách
- Tồn tại bệnh lý răng miệng chưa được xử lý
Để hạn chế tình trạng này, bạn nên duy trì thói quen vệ sinh răng miệng đều đặn và tái khám theo hướng dẫn của bác sĩ.
Có thể tháo răng sứ ra được không?
Răng sứ sau khi gắn thường được cố định bằng vật liệu chuyên dụng, tuy nhiên vẫn có thể tháo ra khi cần thiết. Việc tháo hoặc thay mới cần được thực hiện bởi bác sĩ để tránh ảnh hưởng đến phần răng thật bên trong.
Với những chia sẻ trên đây, hy vọng các bạn đã có cái nhìn cụ thể hơn về phương pháp phục hình răng sứ thẩm mỹ. Nếu bạn đang gặp các vấn đề về răng miệng và có nhu cầu bọc răng sứ thẩm mỹ để cải thiện các vấn đề này thì hãy tới ngay Nha khoa Nhân Tâm – địa chỉ nha khoa chất lượng hàng đầu tại TPHCM để được các chuyên gia đầu ngành trực tiếp thăm khám, tư vấn và điều trị. Hoặc bạn cũng có thể gọi đến tổng đài 1900 56 5678, các bác sĩ và tư vấn viên luôn sẵn sàng hỗ trợ, giải đáp tất cả các vấn đề mà bạn còn đang băn khoăn.



