Tiêu chí đánh giá địa chỉ bọc răng sứ uy tín TPHCM
Dưới đây là những tiêu chí quan trọng giúp bạn lựa chọn đúng địa chỉ bọc răng sứ uy tín TPHCM, hạn chế rủi ro và đảm bảo kết quả thẩm mỹ lâu dài.
Đội ngũ bác sĩ chuyên môn cao, nhiều kinh nghiệm
Yếu tố quan trọng khi lựa chọn nha khoa chính là tay nghề bác sĩ. Bọc răng sứ không đơn thuần là làm đẹp mà còn liên quan trực tiếp đến cấu trúc răng, khớp cắn và chức năng ăn nhai. Vì vậy, bác sĩ cần có kiến thức chuyên sâu về phục hình răng, kinh nghiệm xử lý nhiều ca thực tế và khả năng đánh giá đúng tình trạng răng miệng của từng khách hàng. Những nha khoa uy tín thường công khai thông tin bác sĩ, bằng cấp và kinh nghiệm điều trị để khách hàng dễ dàng tham khảo.

Yếu tố quan trọng hàng đầu khi lựa chọn nha khoa bọc răng sứ chính là tay nghề bác sĩ
Công nghệ và trang thiết bị hiện đại
Một địa chỉ bọc răng sứ uy tín cần được trang bị hệ thống máy móc hiện đại như máy chụp phim, scan kỹ thuật số và công nghệ CAD/CAM trong thiết kế – chế tác răng sứ. Những công nghệ này giúp tăng độ chính xác trong từng khâu, từ chẩn đoán đến phục hình, hạn chế sai lệch và đảm bảo răng sứ ôm khít, tự nhiên. Đồng thời, công nghệ hiện đại cũng giúp rút ngắn thời gian điều trị và giảm cảm giác khó chịu cho khách hàng.
Chất liệu răng sứ chính hãng, rõ nguồn gốc
Chất lượng răng sứ quyết định trực tiếp đến độ bền và tính thẩm mỹ sau khi phục hình. Các nha khoa uy tín thường sử dụng răng sứ có nguồn gốc rõ ràng như Zirconia, Cercon, Emax… đi kèm thẻ bảo hành chính hãng. Việc sử dụng vật liệu kém chất lượng có thể dẫn đến tình trạng đổi màu, hôi miệng hoặc kích ứng nướu sau một thời gian ngắn.

Chất lượng răng sứ quyết định trực tiếp đến độ bền và tính thẩm mỹ sau khi phục hình
Quy trình bọc răng sứ chuẩn y khoa
Một nha khoa đáng tin cậy sẽ xây dựng quy trình điều trị rõ ràng, gồm các bước từ thăm khám, chụp phim, tư vấn, mài răng, lấy dấu đến gắn răng sứ và tái khám. Quy trình chuẩn không chỉ đảm bảo hiệu quả thẩm mỹ mà còn giúp kiểm soát tốt các yếu tố liên quan đến khớp cắn và sức khỏe răng miệng. Đây cũng là yếu tố giúp hạn chế biến chứng và kéo dài tuổi thọ răng sứ.
Chính sách bảo hành rõ ràng
Những nha khoa uy tín thường cung cấp thời gian bảo hành rõ ràng tùy theo loại răng sứ, kèm theo điều kiện cụ thể. Điều này giúp khách hàng yên tâm hơn trong quá trình sử dụng và có cơ sở để xử lý nếu phát sinh vấn đề.
Top 15 địa chỉ bọc răng sứ uy tín TPHCM được đánh giá cao
Việc lựa chọn đúng địa chỉ bọc răng sứ uy tín TPHCM không chỉ giúp bạn sở hữu hàm răng đẹp tự nhiên mà còn đảm bảo an toàn lâu dài cho sức khỏe răng miệng. Dưới đây là danh sách những nha khoa và bệnh viện được nhiều khách hàng đánh giá cao về chất lượng dịch vụ, đội ngũ bác sĩ và công nghệ hiện đại.
| DANH SÁCH NHA KHOA UY TÍN TẠI TP.HCM | ||
|---|---|---|
| Nha khoa | Địa chỉ | Hotline |
| Nha Khoa Nhân Tâm | 803-809 Đường 3/2, Phường Diên Hồng, TP.HCM (Quận 10 cũ) 35-37 Nguyễn Thị Thập, Phường Tân Hưng, TP.HCM (Quận 7 cũ) | 1900 56 5678 – 0338 56 567 |
| Nha khoa Kim | 150 – 152 Hai Bà Trưng, P.Đa Kao, Q.1 A43 – 187A Cống Quỳnh, P.Nguyễn Cư Trinh, Q.1 | 1900 6899 |
| Nha khoa I-Dent | 19V Nguyễn Hữu Cảnh, P.Thạnh Mỹ Tây (Q.Bình Thạnh cũ), TP.HCM 193A - 195 Hùng Vương, P.An Đông (Q.5 cũ), TP.HCM | 094 1818 616 |
| San Dentist | Số 5 Kỳ Đồng, Phường Nhiêu Lộc, TP.HCM | 0342 28 28 28 |
| Nha khoa Thanh Tâm | 717 Hậu Giang, Phường Bình Phú, TP.HCM (Quận 6 cũ) | 0933 922 025 |
| Nha khoa Paris | 4C Nguyễn Thị Minh Khai, Phường Tân Định, TP.HCM (Quận 1 cũ) 179C Đường Ba Tháng Hai, Phường Diên Hồng, TP.HCM (Quận 10 cũ) | 1900 6900 |
| Bệnh viện Răng Hàm Mặt TP.HCM | 1256 Võ Văn Kiệt, P Chợ Lớn, TP.HCM (Quận 5 cũ) 148 Đề Thám, Phường Cầu Ông Lãnh, TP.HCM (Quận 1 cũ) | 1800 6836 |
| Nha khoa Parkway | 215 Nam Kỳ Khởi Nghĩa, Phường Võ Thị Sáu, TP.HCM (Quận 3 cũ) 228-228A Trần Hưng Đạo, Phường Cầu Ông Lãnh, TP.HCM (Quận 1 cũ) | 1900 8059 |
| Nha khoa Anna | 28 – 30 Đường 3/2, Phường Hòa Hưng TP.HCM (Quận 10 cũ) | 0932 670 222 |
| Nha khoa Parkview Dental | 38 Trương Quốc Dung, Phường Phú Nhuận, TP.HCM | 028 7302 3833 |
| Nha khoa SGC Dental | 34 Hồ Biểu Chánh, Phường Phú Nhuận, TP.HCM | 028 999 59597 |
| Bệnh viện răng hàm mặt WorldWide | 244A Cống Quỳnh, Phường Bến Thành, TP.HCM | 0928 387 989 |
| Nha khoa Peace Dentistry | 563 – 565 Trần Hưng Đạo, Phường Cầu Ông Lãnh, TP.HCM 56 Nguyễn Thị Thập, KĐT Him Lam, Phường Tân Hưng, TP.HCM 147 Nguyễn Thiện Thuật, Phường Bàn Cờ, TP.HCM 328 Nguyễn Chí Thanh, Phường Diên Hồng, TP.HCM 855 Phạm Văn Đồng, Phường Thủ Đức, TP.HCM | 1900 2102 |
| Nha khoa Tâm Đức Smile | 52 Tân Kỳ Tân Quý, Phường Tây Thạnh, TP.HCM | 1900 8040 - 0329851079 |
| Nha khoa Đăng Lưu | 983 Trần Hưng Đạo, Phường 5, Quận 5, TP.HCM | 028 7301 7103 |
Nha Khoa Nhân Tâm
Nha Khoa Nhân Tâm là một trong những trung tâm nha khoa có lịch sử lâu đời tại TP.HCM, được thành lập từ năm 1997 và đã có gần 30 năm hoạt động trong lĩnh vực chăm sóc – điều trị – phục hình răng miệng.
Nhân Tâm định hướng phát triển theo mô hình nha khoa chuyên sâu, nổi bật ở các dịch vụ phục hình như bọc răng sứ và cấy ghép Implant. Trung tâm do TS.BS Võ Văn Nhân dẫn dắt – một trong những bác sĩ có nhiều kinh nghiệm trong lĩnh vực implant và phục hình răng.

Nha Khoa Nhân Tâm là một trong những trung tâm nha khoa có lịch sử lâu đời tại TP.HCM
Với đội ngũ bác sĩ chuyên khoa, trang thiết bị hiện đại và quy trình bọc sứ chuẩn, Nha Khoa Nhân Tâm là địa chỉ được nhiều khách hàng tại TP.HCM và các tỉnh lân cận lựa chọn khi cần làm răng sứ.
Đội ngũ bác sĩ chuyên sâu phục hình
Một trong những yếu tố giúp Nha Khoa Nhân Tâm được đánh giá cao là đội ngũ bác sĩ có chuyên môn sâu và nhiều năm kinh nghiệm. Các ca bọc răng sứ không chỉ dừng ở mức “làm đẹp” mà còn được tính toán kỹ về khớp cắn, chức năng ăn nhai và độ bền lâu dài.

Đội ngũ bác sĩ có chuyên môn sâu và nhiều năm kinh nghiệm
Đặc biệt, với các trường hợp khó như răng hô nhẹ, lệch khớp cắn hoặc đã làm răng sứ hỏng trước đó, bác sĩ tại đây có xu hướng xử lý theo hướng điều trị gốc vấn đề thay vì chỉ cải thiện bề ngoài.
Công nghệ hiện đại, kiểm soát độ chính xác cao
Nha khoa Nhân Tâm đầu tư nhiều thiết bị hiện đại như scan kỹ thuật số giúp quá trình chẩn đoán và phục hình đạt độ chính xác cao. Điều này là cần thiết khi bọc răng sứ, vì chỉ cần sai lệch nhỏ cũng có thể gây cộm cấn, viêm nướu hoặc ảnh hưởng khớp cắn về lâu dài.
Nha khoa còn sở hữu phòng Labo chế tác răng sứ riêng biệt đạt chuẩn ISO, ứng dụng công nghệ CAD/CAM 3D cùng phần mềm thiết kế chuyên dụng, giúp chế tác răng sứ với độ chính xác cao và phù hợp với từng trường hợp. Tùy vào tình trạng răng miệng, khách hàng có thể nhận răng sứ ngay trong ngày hoặc sau 24 giờ với độ khít sát và thẩm mỹ hoàn hảo.

Nha khoa Nhân Tâm đầu tư nhiều thiết bị hiện đại
Môi trường điều trị an toàn, đảm bảo điều kiện vô trùng khép kín
Tại Nha khoa Nhân Tâm, hệ thống và quy chuẩn vô trùng nha khoa được đặt lên hàng đầu, trang bị hệ thống máy phun sương tự động nhằm xử lý không khí vô trùng. Đồng thời, phòng thanh trùng dụng cụ được trang bị đầy đủ thiết bị như: lò hấp dụng cụ, hệ thống rửa dụng cụ tự động với nguồn nước được xử lý bằng tia cực tím….

Hệ thống và quy chuẩn vô trùng nha khoa nghiêm ngặt
Ngoài ra, mỗi khách hàng được điều trị trong từng phòng chuyên biệt, được trang bị bộ dụng cụ và tay khoan riêng, loại bỏ tình trạng lây nhiễm chéo.
Vật liệu sứ cao cấp, chính hãng
Nha khoa Nhân Tâm sử dụng các dòng vật liệu sứ chất lượng, được nhập khẩu từ những thương hiệu uy tín như Zirconia, Cercon HT, Emax, Lava hay Lisi. Các vật liệu này đều có nguồn gốc rõ ràng, đạt các tiêu chuẩn an toàn trong nha khoa và đi kèm chính sách bảo hành, giúp khách hàng yên tâm hơn trong quá trình sử dụng lâu dài.
Triết lý điều trị “can thiệp tối thiểu – hiệu quả tối đa”
Tại Nha Khoa Nhân Tâm, triết lý điều trị “can thiệp tối thiểu – hiệu quả tối đa” được xem là nền tảng trong mọi kế hoạch bọc răng sứ. Thay vì mài răng nhiều để đạt hiệu quả thẩm mỹ nhanh, bác sĩ luôn ưu tiên bảo tồn tối đa mô răng thật, chỉ can thiệp ở mức cần thiết để vừa đảm bảo tính thẩm mỹ, vừa giữ được chức năng sinh lý tự nhiên của răng.
Cách tiếp cận này giúp hạn chế ê buốt sau khi làm răng, giảm nguy cơ biến chứng như viêm nướu hay hở viền sứ, đồng thời kéo dài tuổi thọ của cả răng thật lẫn mão sứ. Nhờ đó, khách hàng không chỉ có nụ cười đẹp mà còn duy trì được sức khỏe răng miệng ổn định trong nhiều năm, đúng với định hướng điều trị bền vững mà nha khoa theo đuổi.
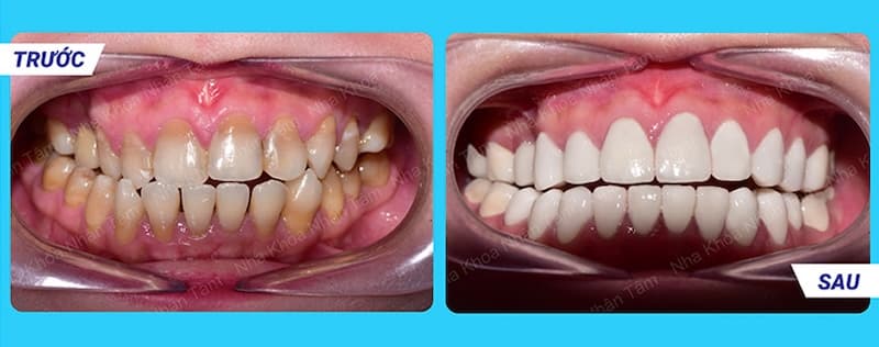
Khách hàng bọc răng sứ tại Nha khoa Nhân Tâm



Review tốt từ khách hàng ở các nền tảng
Bên cạnh chất lượng điều trị, Nha Khoa Nhân Tâm còn ghi nhận nhiều đánh giá tích cực từ khách hàng trên các mạng xã hội. Đây là những phản hồi chân thực, giúp người mới có thêm góc nhìn trước khi lựa chọn dịch vụ.



Review tốt từ khách hàng trên Google Maps
Thông tin liên hệ:
- Địa chỉ: 803-809 Đường 3/2, Phường Diên Hồng, TP.HCM (Quận 10 cũ) và 35-37 Nguyễn Thị Thập, Phường Tân Hưng, TP.HCM (Quận 7 cũ)
- Hotline: 1900 56 5678 – 0338 56 5678
Nha khoa Kim
Nha khoa Kim là hệ thống nha khoa có nhiều chi nhánh tại TP.HCM và các tỉnh thành, cung cấp đa dạng dịch vụ như bọc răng sứ thẩm mỹ, niềng răng, tẩy trắng và cấy ghép Implant. Đơn vị sở hữu đội ngũ bác sĩ có chuyên môn cao, giàu kinh nghiệm trong điều trị.
Điểm nổi bật là Nha khoa Kim có nhà máy chế tác răng sứ riêng, ứng dụng công nghệ hiện đại, đảm bảo chất lượng và độ chính xác cao. Khách hàng được thăm khám, chụp phim và tư vấn phương án phù hợp trong môi trường vô trùng, an toàn.
Ưu điểm khi bọc răng sứ tại nha khoa Kim
- Áp dụng công nghệ thiết kế răng sứ CAD/CAM 3D, giúp răng sứ được chế tác tinh xảo, sát khít hoàn toàn với nướu và răng thật, hạn chế tình trạng giắt thức ăn.
- Răng sứ tại đây có màu sắc, hình dáng tự nhiên như răng thật, không bị đen viền nướu theo thời gian. Độ cứng gấp nhiều lần răng thật, đảm bảo chức năng ăn nhai thoải mái.
- Đội ngũ bác sĩ giàu kinh nghiệm, thực hiện mài răng chuẩn xác, hạn chế tối đa xâm lấn, bảo tồn tối đa răng thật.
- Nha Khoa Kim cung cấp nhiều dòng sứ cao cấp (Cercon, Emax, Zirconia...), có thẻ bảo hành chính hãng, đảm bảo an toàn cho cơ thể.
- Quy trình bọc sứ được thực hiện trong môi trường vô trùng tuyệt đối, tuân thủ nghiêm ngặt các quy định của Bộ Y tế và tiêu chuẩn quốc tế.
- Khắc phục triệt để tình trạng răng thưa, hở kẽ, ố màu, vỡ mẻ, mang lại nụ cười đều đẹp, tự tin chỉ sau 2-3 lần hẹn.
Khoảng giá tham khảo: 3 - 12.8 triệu/răng

Nha khoa Kim

Review từ khách hàng đã trải nghiệm dịch vụ bọc răng sứ tại nha khoa Kim
Thông tin liên hệ:
- Địa chỉ: 150 – 152 Hai Bà Trưng, P.Đa Kao, Q.1 và A43 – 187A Cống Quỳnh, P.Nguyễn Cư Trinh, Q.1
- Hotline: 1900 6899.
Nha khoa I-Dent
Nha khoa I-DENT là một trong những địa chỉ nổi bật tại TP.HCM trong lĩnh vực thẩm mỹ răng sứ và dán sứ Veneer, được hơn 6.000 khách hàng trong và ngoài nước tin chọn.
Đơn vị quy tụ đội ngũ bác sĩ có chuyên môn cao, nhiều năm kinh nghiệm trong phục hình răng sứ, đảm bảo mài răng đúng tỷ lệ, hạn chế xâm lấn và duy trì độ bền cho răng thật. Quy trình thực hiện được hỗ trợ bởi công nghệ CAD/CAM 3D hiện đại, giúp thiết kế răng sứ chính xác, phù hợp với từng khuôn mặt và nhu cầu thẩm mỹ.
Bên cạnh đó, I-DENT sử dụng các dòng răng sứ nhập khẩu chính hãng từ Đức như Zirconia, Cercon HT, Nacera… có độ bền cao, màu sắc tự nhiên và khả năng ăn nhai tốt. Nhờ quy trình chuẩn và vật liệu chất lượng, các ca bọc răng sứ tại đây không chỉ đảm bảo tính thẩm mỹ mà còn duy trì chức năng lâu dài.
Ưu điểm khi bọc răng sứ tại nha khoa I-DENT
- Nha khoa I-Dent công khai toàn bộ giấy phép hoạt động, chứng chỉ hành nghề và bằng cấp của đội ngũ bác sĩ theo quy định.
- Các bác sĩ tại I-Dent đều được đào tạo chính quy từ Đại học Y Dược TP.HCM, có nền tảng chuyên môn vững vàng và kinh nghiệm thực tiễn trong lĩnh vực phục hình răng sứ thẩm mỹ.
- Nha khoa I-Dent đầu tư hệ thống máy móc nhập khẩu đồng bộ như CT Cone Beam 3D, X-quang kỹ thuật số, máy scan 3Shape TRIOS và công nghệ Digital Smile Design, hỗ trợ chẩn đoán và thiết kế nụ cười chính xác.
- Phòng Labo nội bộ ứng dụng công nghệ CAD/CAM, máy in 3D Rayshape và hệ thống chế tác tự động giúp rút ngắn thời gian phục hình, đảm bảo độ chính xác cao theo từng trường hợp.
- I-Dent sử dụng các dòng răng sứ cao cấp nhập khẩu từ những thương hiệu uy tín như Zirconia, Cercon HT, Nacera 9 MAX, Lava Plus…
- Chi phí bọc răng sứ được công khai trên các kênh chính thức và tư vấn cụ thể trước khi điều trị.
Khoảng giá tham khảo: 1 - 12 triệu đồng/răng.

Nha khoa I-Dent

Review từ khách hàng đã trải nghiệm dịch vụ bọc răng sứ tại Nha khoa I-Dent
Thông tin liên hệ:
- Địa chỉ: 19V Nguyễn Hữu Cảnh, P.Thạnh Mỹ Tây (Q.Bình Thạnh cũ), Tp.Hồ Chí Minh và 193A - 195 Hùng Vương, P.An Đông (Q.5 cũ), Tp.Hồ Chí Minh
- Hotline: 094 1818 616
San Dentist
San Dentist là một trong những nha khoa nổi bật tại TP.HCM trong lĩnh vực răng sứ thẩm mỹ, được nhiều khách hàng tin tưởng lựa chọn. Nha khoa quy tụ đội ngũ bác sĩ có chuyên môn, trong đó có Bác sĩ Võ Tá Dũng trực tiếp thăm khám và tư vấn các dịch vụ như phủ sứ, dán sứ Veneer và trồng răng Implant.
Mỗi khách hàng trước khi điều trị đều được kiểm tra, chụp phim và đánh giá kỹ lưỡng nhằm đảm bảo chỉ định phù hợp, góp phần mang lại kết quả an toàn và thẩm mỹ.
Ưu điểm khi bọc răng sứ tại nha khoa San Dentist
- Đội ngũ bác sĩ tại San Dentist được đào tạo bài bản, có chuyên môn vững và kinh nghiệm lâm sàng trong lĩnh vực phục hình – thẩm mỹ răng.
- Ứng dụng công nghệ mô phỏng nụ cười, giúp khách hàng hình dung trước sự thay đổi về thẩm mỹ sau khi thực hiện phủ sứ.
- Vật liệu sứ sử dụng có nguồn gốc rõ ràng, nhập khẩu chính hãng, đảm bảo tiêu chuẩn an toàn và độ bền trong phục hình.
- Chi phí điều trị được công khai minh bạch ngay từ đầu, xây dựng kế hoạch rõ ràng và không phát sinh ngoài dự kiến trong quá trình thực hiện.
- Hệ thống phòng nha được đầu tư theo tiêu chuẩn vô trùng, mỗi khách hàng sử dụng bộ dụng cụ riêng, đảm bảo an toàn và kiểm soát nhiễm khuẩn.
- Chính sách bảo hành răng sứ lên đến 15 năm, đồng thời hỗ trợ trả góp lãi suất 0% với thủ tục đơn giản, giúp khách hàng thuận tiện hơn khi lựa chọn dịch vụ.
Khoảng giá tham khảo: 2.300.000 - 30.900.000/răng

San Dentist

Review từ khách hàng đã trải nghiệm dịch vụ bọc răng sứ tại Nha khoa San Dentist
Thông tin liên hệ:
- Địa chỉ: Số 5 Kỳ Đồng, Phường Nhiêu Lộc, Thành phố Hồ Chí Minh
- Hotline: 0342 28 28 28
Nha khoa Thanh Tâm
Nha khoa Thanh Tâm là địa chỉ bọc răng sứ quen thuộc tại TP.HCM, sở hữu hệ thống 3 chi nhánh khang trang, trang bị đầy đủ máy móc hiện đại. Dịch vụ bọc răng sứ tại đây chú trọng yếu tố thẩm mỹ và trải nghiệm, hướng đến hạn chế ê buốt, đau nhức trong quá trình thực hiện.
Nha khoa cung cấp đa dạng các dòng sứ như Zirconia, Cercon, Zolid, Nacera… đều được kiểm định về chất lượng và độ an toàn. Quy trình thực hiện theo tiêu chuẩn, áp dụng công nghệ gây tê hiện đại và được thực hiện bởi đội ngũ bác sĩ giàu kinh nghiệm.
Ưu điểm khi bọc răng sứ tại nha khoa Thanh Tâm
- Nha khoa cung cấp đa dạng các dòng răng sứ như Zirconia, Cercon, Zolid, Nacera… giúp khách hàng dễ dàng lựa chọn theo nhu cầu thẩm mỹ và khả năng tài chính.
- Quy trình bọc răng sứ được thực hiện theo tiêu chuẩn y khoa, kết hợp công nghệ gây tê hiện đại, hạn chế tối đa cảm giác khó chịu trong quá trình điều trị.
- Đội ngũ bác sĩ giàu kinh nghiệm trực tiếp thăm khám và thực hiện, đồng thời khách hàng được cấp thẻ bảo hành chính hãng sau khi hoàn tất.
- Khách hàng được hỗ trợ thăm khám định kỳ miễn phí sau khi bọc sứ, nhằm theo dõi tình trạng răng sứ và duy trì sức khỏe răng miệng ổn định lâu dài.
Khoảng giá tham khảo: 1.500.000 – 22.000.000 VNĐ/răng

Nha khoa Thanh Tâm

Review từ khách hàng đã trải nghiệm dịch vụ bọc răng sứ tại Nha khoa Thanh Tâm
Thông tin liên hệ:
- Địa chỉ: 717 Hậu Giang, Phường Bình Phú, TP.HCM (Quận 6 cũ)
- Hotline: 0933 922 025
Nha khoa Paris
Nha khoa Paris là địa chỉ bọc răng sứ được nhiều khách hàng biết đến với hệ thống cơ sở vật chất hiện đại và đội ngũ bác sĩ giàu kinh nghiệm. Đơn vị ứng dụng công nghệ Nano 5S giúp tăng độ bền và tính thẩm mỹ, mang lại màu răng tự nhiên, hài hòa.
Quy trình thực hiện được tối ưu nhằm hạn chế mài răng, giảm ê buốt và bảo tồn răng thật. Bên cạnh đó, hệ thống máy móc hiện đại như scan 3D, CAD/CAM hỗ trợ nâng cao độ chính xác và rút ngắn thời gian điều trị.
Khách hàng còn được hưởng chế độ bảo hành từ 10 – 15 năm tùy loại răng sứ. Chi phí bọc răng sứ tại đây dao động khoảng 1.200.000 – 18.000.000 đồng/răng.
Ưu điểm khi bọc răng sứ tại nha khoa Paris
- Ứng dụng công nghệ Nano 5S trong chế tác răng sứ giúp tăng độ bền, cải thiện tính thẩm mỹ với màu sắc tự nhiên, độ trong mờ tương tự răng thật, mang lại nụ cười hài hòa và tự nhiên.
- Quá trình bọc răng sứ được thực hiện với kỹ thuật kiểm soát mài răng hợp lý, giúp giảm ê buốt, hạn chế đau nhức và đảm bảo chức năng răng thật.
- Khách hàng được áp dụng chế độ bảo hành từ 10–15 năm (tùy dòng răng sứ). Trong thời gian bảo hành, các trường hợp như nứt, vỡ, mẻ hoặc bong tróc sẽ được hỗ trợ xử lý hoặc thay mới theo chính sách.
- Trang thiết bị hiện đại hỗ trợ điều trị chính xác: Hệ thống máy móc như chụp X-quang, scan dấu hàm 3D và công nghệ CAD/CAM giúp tối ưu độ chính xác, rút ngắn thời gian thực hiện và nâng cao hiệu quả phục hình.
Khoảng giá tham khảo: 1.200.000 – 18.000.000 đồng/răng

Nha khoa Paris

Review từ khách hàng đã trải nghiệm dịch vụ bọc răng sứ tại Nha khoa Paris
Thông tin liên hệ:
- Địa chỉ: 4C Nguyễn Thị Minh Khai, Phường Tân Định, TP.HCM (Quận 1 cũ) và 179C Đường Ba Tháng Hai, Phường Diên Hồng, TP.HCM (Quận 10 cũ)
- Hotline: 1900 6900
Bệnh viện Răng Hàm Mặt TP.HCM
Bệnh viện Răng Hàm Mặt TP.HCM có tiền thân là Trạm Răng Hàm Mặt trực thuộc Sở Y tế, được thành lập từ năm 1976. Đây là một trong những cơ sở chuyên khoa răng hàm mặt lâu đời tại TP.HCM, được nhiều người dân lựa chọn khi có nhu cầu thăm khám và điều trị các vấn đề răng miệng.
Bệnh viện sở hữu hệ thống cơ sở vật chất tương đối hoàn chỉnh, với nhiều phòng chức năng được phân khu rõ ràng. Trang thiết bị nha khoa được đầu tư đồng bộ, hỗ trợ quá trình chẩn đoán và điều trị diễn ra thuận lợi, góp phần nâng cao hiệu quả điều trị.
Đội ngũ bác sĩ tại đây được đào tạo chuyên sâu, có kinh nghiệm trong nhiều lĩnh vực nha khoa. Nhờ đó, các ca điều trị từ cơ bản đến phức tạp, bao gồm bọc răng sứ thẩm mỹ, đều được thực hiện theo quy trình đảm bảo an toàn và kiểm soát rủi ro tốt.
Về dịch vụ, bệnh viện cung cấp đa dạng các loại răng sứ, từ răng sứ kim loại đến răng sứ toàn sứ, với mức chi phí tham khảo dao động từ khoảng 5 – 7 triệu đồng/răng.
Bên cạnh bọc răng sứ, bệnh viện còn triển khai đầy đủ các dịch vụ nha khoa khác như trám răng, điều trị tủy, nhổ răng, tẩy trắng răng và cấy ghép Implant. Các dịch vụ đều được thực hiện trong môi trường đảm bảo vô trùng, tuân thủ các tiêu chuẩn an toàn trong y khoa.
Ưu điểm khi bọc răng sứ tại Bệnh viện Răng Hàm Mặt TP.HCM
- Cơ sở vật chất hiện đại, được bố trí thành nhiều phòng chức năng riêng biệt và trang bị đầy đủ thiết bị nha khoa. Nhờ đó, quá trình thăm khám, chẩn đoán và điều trị được diễn ra nhanh chóng, chính xác, đảm bảo chất lượng dịch vụ.
- Đội ngũ bác sĩ được đào tạo chuyên sâu, giàu kinh nghiệm lâm sàng và có khả năng xử lý tốt các tình huống trong quá trình điều trị.
- Nhiều ca bọc răng sứ từ đơn giản đến phức tạp đã được thực hiện thành công, đảm bảo an toàn và hiệu quả cho khách hàng.
- Cung cấp đa dạng các dòng răng sứ, từ răng sứ kim loại đến răng toàn sứ phù hợp với nhiều nhu cầu khác nhau.
Khoảng giá tham khảo: 5 – 7 triệu đồng/răng

Bệnh viện Răng Hàm Mặt TP.HCM

Review từ khách hàng đã trải nghiệm dịch vụ bọc răng sứ tại Bệnh viện Răng Hàm Mặt TP.HCM
Thông tin liên hệ:
- Địa chỉ: 1256 Võ Văn Kiệt, P Chợ Lớn, TP.HCM (Quận 5 cũ) và 148 Đề Thám, Phương Cầu Ông Lãnh, TP. HCM ( Quận 1 cũ)
- Hotline: 1800 6836
Nha khoa Parkway
Nha khoa Parkway là một trong những địa chỉ bọc răng sứ thẩm mỹ được nhiều khách hàng lựa chọn hiện nay. Phòng khám được đầu tư cơ sở vật chất hiện đại, không gian điều trị sạch sẽ, đảm bảo yếu tố vô trùng, mang lại sự an tâm trong suốt quá trình thực hiện.
Đội ngũ bác sĩ tại đây được đào tạo bài bản và có kinh nghiệm trong lĩnh vực phục hình răng sứ. Khách hàng sẽ được thăm khám và tư vấn cụ thể trước khi thực hiện, từ đó lựa chọn phương án phù hợp với tình trạng răng và nhu cầu thẩm mỹ cá nhân.
Về công nghệ, nha khoa ứng dụng các thiết bị hiện đại như hệ thống CAD/CAM 3D hay máy quét dấu răng kỹ thuật số, giúp tăng độ chính xác trong quá trình chế tác răng sứ và cải thiện độ khít sát khi phục hình.
Bên cạnh đó, các dòng răng sứ được sử dụng có nguồn gốc rõ ràng, đa dạng về lựa chọn, đáp ứng nhu cầu thẩm mỹ và chức năng ăn nhai. Mức chi phí bọc răng sứ tại đây dao động trong khoảng từ 2.700.000 – 11.000.000 VNĐ/răng, được công khai để khách hàng tham khảo trước khi quyết định.
Ưu điểm khi bọc răng sứ tại nha khoa Parkway
- Các bác sĩ tại Parkway đều được đào tạo bài bản từ các trường Y uy tín và có nhiều năm kinh nghiệm trong phục hình răng sứ.
- Hệ thống trang thiết bị tại Parkway được đầu tư đồng bộ với các công nghệ tiên tiến như CAD/CAM 3D, máy quét dấu răng 3Shape E2,… hỗ trợ quá trình thiết kế và chế tác răng sứ đạt độ chính xác cao.
- Parkway sử dụng răng sứ nhập khẩu từ các thương hiệu quốc tế uy tín, đi kèm chính sách bảo hành rõ ràng.
Khoảng giá tham khảo: 2.700.000 – 11.000.000 VNĐ/răng

Nha khoa Parkway

Review từ khách hàng đã trải nghiệm dịch vụ bọc răng sứ tại nha khoa Parkway
Thông tin liên hệ:
- Địa chỉ: 215 Nam Kỳ Khởi Nghĩa, Phường Võ Thị Sáu, TP.HCM (Quận 3 cũ) và 228-228A Trần Hưng Đạo, Phường Cầu Ông Lãnh, TP.HCM (Quận 1 cũ)
- Hotline: 1900 8059
Nha khoa Anna
Nha khoa Anna là một trong những địa chỉ bọc răng sứ uy tín tại TP.HCM, nổi bật với kinh nghiệm điều trị lâu năm và định hướng đặt chất lượng lên hàng đầu. Đội ngũ bác sĩ được đào tạo bài bản, giàu kinh nghiệm trong lĩnh vực nha khoa thẩm mỹ, luôn chú trọng mang lại kết quả tự nhiên và hài hòa cho khách hàng.
Phòng khám được đầu tư hệ thống trang thiết bị hiện đại, đồng thời sở hữu Labo chế tác răng sứ riêng, giúp kiểm soát chất lượng và rút ngắn thời gian thực hiện. Các dòng răng sứ sử dụng có nguồn gốc rõ ràng, đảm bảo độ bền và tính tương thích sinh học cao.
Bên cạnh đó, nha khoa còn áp dụng chính sách bảo hành rõ ràng cùng hỗ trợ trả góp 0%, giúp khách hàng dễ dàng tiếp cận dịch vụ. Chi phí bọc răng sứ tại đây dao động khoảng 5.000.000 – 12.000.000 VNĐ/răng.
Ưu điểm khi bọc răng sứ tại nha khoa Anna
- Các bác sĩ tại Nha khoa Anna được đào tạo bài bản từ các trường Y khoa uy tín, có nhiều năm kinh nghiệm trong lĩnh vực phục hình và thẩm mỹ răng sứ, đảm bảo quá trình điều trị diễn ra chính xác và an toàn.
- Hệ thống máy móc, công nghệ được đầu tư đồng bộ, hỗ trợ chẩn đoán và điều trị hiệu quả, nâng cao độ chính xác và tối ưu kết quả phục hình.
- Nha khoa sở hữu phòng Labo nội bộ, giúp kiểm soát chất lượng răng sứ, đảm bảo nguồn gốc rõ ràng và rút ngắn thời gian hoàn thiện.
- Các dòng răng sứ được nhập khẩu từ Đức, Mỹ, có độ bền cao và khả năng tương thích sinh học tốt, đáp ứng cả yêu cầu thẩm mỹ và chức năng ăn nhai.
- Áp dụng chế độ bảo hành rõ ràng theo từng loại răng sứ, đồng thời hỗ trợ trả góp lãi suất 0%, giúp khách hàng dễ dàng chủ động kế hoạch chi phí.
Khoảng giá tham khảo: 5.000.000 – 12.000.000 VNĐ/răng

Nha khoa Anna

Review từ khách hàng đã trải nghiệm dịch vụ bọc răng sứ tại nha khoa Anna
Thông tin liên hệ:
- Địa chỉ: 28 – 30 Đường 3/2, Phường Hòa Hưng TP.HCM (Quận 10 cũ)
- Hotline: 0932 670 222
Nha khoa Parkview Dental
Nha khoa Parkview Dental là một trong những địa chỉ bọc răng sứ thẩm mỹ tại TP.HCM được nhiều khách hàng lựa chọn. Sau nhiều năm hoạt động, phòng khám đã phục hình thành công cho hơn 7.000 khách hàng trong và ngoài nước.
Quy trình bọc răng sứ tại đây được chuẩn hóa, áp dụng kỹ thuật mài răng tối thiểu giúp bảo tồn răng thật, kết hợp công nghệ hiện đại mang lại kết quả tự nhiên, thẩm mỹ cao. Hệ thống trang thiết bị được đầu tư đồng bộ, sử dụng vật liệu sứ chính hãng từ Đức, Mỹ, Nhật Bản… đảm bảo độ bền và tính an toàn.
Đội ngũ bác sĩ có kinh nghiệm trong lĩnh vực nha khoa thẩm mỹ, tư vấn tận tâm và cập nhật kỹ thuật mới thường xuyên. Chi phí bọc răng sứ dao động từ 1.800.000 – 10.000.000 VNĐ/răng, với nhiều chương trình ưu đãi phù hợp từng thời điểm.
Ưu điểm khi bọc răng sứ tại nha khoa Parkview Dental
- Parkview Dental áp dụng quy trình điều trị theo tiêu chuẩn quốc tế, ưu tiên kỹ thuật mài răng tối thiểu nhằm giữ lại tối đa mô răng thật.
- Phòng khám được đầu tư đồng bộ với các thiết bị tiên tiến như máy scan dấu răng 3D, phòng điều trị vô trùng khép kín đạt chuẩn Bộ Y tế.
- Toàn bộ vật liệu sứ đều có nguồn gốc rõ ràng từ các quốc gia như Đức, Mỹ, Nhật Bản, Ý…, đảm bảo độ bền cao, tương thích sinh học tốt và đi kèm chính sách bảo hành minh bạch.
- Các bác sĩ tại Parkview Dental có kinh nghiệm trong lĩnh vực nha khoa thẩm mỹ và thường xuyên tham gia đào tạo chuyên sâu để cập nhật kỹ thuật mới.
Khoảng giá tham khảo: 1.800.000 – 10.000.000 VNĐ/răng

Nha khoa Parkview Dental

Review từ khách hàng đã trải nghiệm dịch vụ bọc răng sứ tại nha khoa Parkview Dental
Thông tin liên hệ:
- Địa chỉ: 38 Trương Quốc Dung, Phường Phú Nhuận, TP.HCM (Quận Phú Nhuận cũ)
- Hotline: 028 7302 3833
Nha khoa SGC Dental
Nha khoa SGC Dental là một trong những cơ sở nha khoa tại TP.HCM nhận được nhiều phản hồi tích cực từ khách hàng sau điều trị, đặc biệt trong lĩnh vực bọc răng sứ thẩm mỹ. SGC Dental sử dụng các dòng vật liệu sứ có nguồn gốc rõ ràng, được nhập khẩu từ các thương hiệu quốc tế, với mức chi phí phù hợp với nhiều nhu cầu khác nhau.
Về cơ sở vật chất, nha khoa được trang bị đầy đủ các phòng chức năng như phòng chụp X-quang, khu vực thăm khám – tư vấn, phòng điều trị và khu vực vô trùng riêng biệt. Quy trình kiểm soát vô khuẩn được chú trọng nhằm hạn chế nguy cơ lây nhiễm chéo trong quá trình điều trị.
Chi phí bọc răng sứ tại SGC Dental dao động khoảng 2.000.000 – 8.500.000 VNĐ/răng, tùy theo loại vật liệu như răng sứ kim loại, răng sứ Titan hoặc các dòng toàn sứ.
Ưu điểm khi bọc răng sứ tại nha khoa SGC Dental
- Hệ thống cơ sở vật chất được đầu tư đồng bộ với các khu vực chức năng riêng biệt gồm phòng chụp X-quang, phòng tư vấn – thăm khám, phòng điều trị tổng quát và khu vô trùng dụng cụ, đảm bảo tiêu chuẩn an toàn trong nha khoa.
- Quy trình bọc răng sứ được thực hiện bài bản: thăm khám, chụp phim, tư vấn và xây dựng phương án điều trị phù hợp với từng tình trạng răng.
- Môi trường điều trị tuân thủ nguyên tắc vô trùng, hạn chế nguy cơ lây nhiễm chéo.
- Không gian nha khoa được thiết kế hiện đại, sạch sẽ, mang lại cảm giác thoải mái và yên tâm cho khách hàng trong suốt quá trình thăm khám và điều trị.
Khoảng giá tham khảo: 2.000.000 – 8.500.000 VNĐ/răng

Nha khoa SGC Dental

Review từ khách hàng đã trải nghiệm dịch vụ bọc răng sứ tại nha khoa SGC Dental
Thông tin liên hệ:
- Địa chỉ: 34 Hồ Biểu Chánh, Phường Phú Nhuận, TPHCM (Quận Phú Nhuận cũ)
- Hotline: 028 999 59597
Bệnh viện răng hàm mặt WorldWide
Bệnh viện Răng Hàm Mặt Worldwide chú trọng ứng dụng các công nghệ hiện đại trong quy trình bọc răng sứ nhằm nâng cao độ chính xác và hiệu quả điều trị. Hệ thống thiết bị hỗ trợ bao gồm máy chụp CT Cone Beam, máy scan trong miệng Trios 3Shape, phần mềm thiết kế nụ cười Digital Smile Design và công nghệ CAD/CAM trong chế tác răng sứ.
Worldwide sử dụng các dòng sứ phổ biến có nguồn gốc từ châu Âu như Zirconia, Nacera, Emax… đi kèm thông tin xuất xứ rõ ràng và chính sách bảo hành theo từng loại.
Quy trình bọc răng sứ được thực hiện bởi đội ngũ bác sĩ có chuyên môn trong lĩnh vực phục hình, với kế hoạch điều trị được xây dựng dựa trên tình trạng răng miệng cụ thể của từng khách hàng. Trước khi thực hiện, khách hàng sẽ được thăm khám và tư vấn chi tiết để lựa chọn phương án phù hợp.
Hiện nay, chi phí bọc răng sứ tại bệnh viện Worldwide dao động khoảng 3.300.000 – 15.000.000 VNĐ/răng, tùy theo loại vật liệu và tình trạng răng thực tế.
Ưu điểm khi bọc răng sứ tại nha khoa Bệnh viện Răng Hàm Mặt Worldwide
- Bệnh viện Răng Hàm Mặt Worldwide tiên phong ứng dụng các công nghệ tiên tiến trong bọc răng sứ, với hệ thống trang thiết bị chuyên dụng như máy chụp CT Cone Beam, máy scan Trios 3Shape, phần mềm Digital Smile Design và công nghệ CAD/CAM.
- các dòng sứ sử dụng đều là vật liệu cao cấp nhập khẩu từ châu Âu như Zirconia, Nacera, Emax… đi kèm thẻ bảo hành chính hãng, đảm bảo độ bền và tính thẩm mỹ lâu dài.
- Quy trình bọc răng sứ tại Worldwide được thực hiện trực tiếp bởi đội ngũ bác sĩ giàu kinh nghiệm, được đào tạo bài bản trong và ngoài nước.
- Mỗi khách hàng đều được thăm khám kỹ lưỡng, chẩn đoán chính xác và xây dựng kế hoạch điều trị phù hợp với tình trạng răng miệng, nhằm đảm bảo hiệu quả tối ưu và an toàn.
Khoảng giá tham khảo: 3.300.000 – 15.000.000 VNĐ/răng

Bệnh viện răng hàm mặt WorldWide

Review từ khách hàng đã trải nghiệm dịch vụ bọc răng sứ tại bệnh viện răng hàm mặt WorldWide
Thông tin liên hệ:
- Địa chỉ: 244A Cống Quỳnh, Phường Bến Thành, TP.HCM (Quận 1 cũ)
- Hotline: 0928 387 989
Nha khoa Peace Dentistry
Peace Dentistry là một trong những hệ thống nha khoa tại TP.HCM tập trung vào lĩnh vực phục hình răng sứ. Với định hướng chuyên môn hóa trong điều trị, mỗi bác sĩ tại Peace Dentistry sẽ đảm nhận các ca phù hợp với thế mạnh chuyên môn nhằm đảm bảo độ chính xác và an toàn trong quá trình thực hiện.
Đội ngũ bác sĩ tại đây đều được đào tạo chính quy chuyên ngành Răng Hàm Mặt và thường xuyên tham gia các chương trình đào tạo nâng cao. Việc cập nhật kiến thức và kỹ thuật mới giúp hỗ trợ quá trình điều trị đạt hiệu quả ổn định và phù hợp với từng tình trạng răng miệng.
Về trang thiết bị, Peace Dentistry đầu tư các hệ thống hỗ trợ chẩn đoán và điều trị như CT Cone Beam 3D, X-quang kỹ thuật số cùng quy trình vô trùng được kiểm soát, góp phần nâng cao độ chính xác và an toàn khi thực hiện. Nha khoa sử dụng nhiều dòng răng sứ phổ biến như Cercon, Emax, Zirconia… với đặc tính bền chắc, màu sắc tương đối tự nhiên và có chính sách bảo hành đi kèm.
Chi phí bọc răng sứ tại Peace Dentistry dao động khoảng 2.500.000 – 9.000.000 VNĐ/răng, tùy vào loại vật liệu và chỉ định cụ thể của bác sĩ.
Ưu điểm khi bọc răng sứ tại nha khoa Peace Dentistry
- Bác sĩ tốt nghiệp chính quy chuyên ngành Răng – Hàm – Mặt tại Đại học Y Dược TP.HCM, đồng thời thường xuyên tham gia các chương trình đào tạo nâng cao trong và ngoài nước. Khả năng sử dụng ngoại ngữ tốt giúp bác sĩ cập nhật nhanh các tài liệu và xu hướng điều trị quốc tế, từ đó ứng dụng hiệu quả vào thực tiễn lâm sàng.
- Nha khoa đầu tư đồng bộ công nghệ tiên tiến với các thiết bị nhập khẩu từ Mỹ, Anh, Úc như máy CT Cone Beam 3D, X-quang kỹ thuật số, ghế nha khoa đa năng và hệ thống vô trùng khép kín, đảm bảo hỗ trợ chẩn đoán chính xác và điều trị an toàn.
- Sử dụng các dòng răng sứ nhập khẩu từ những thương hiệu uy tín như Cercon, Emax, Zirconia và Straumann, mang lại độ bền chắc cao, tính thẩm mỹ tự nhiên và đi kèm chính sách bảo hành rõ ràng, minh bạch.
Khoảng giá tham khảo: 2.500.000 – 9.000.000 VNĐ/răng

Nha khoa Peace Dentistry

Review từ khách hàng đã trải nghiệm dịch vụ bọc răng sứ tại nha khoa Peace Dentistry
Thông tin liên hệ:
- Địa chỉ:
- 563 – 565 Trần Hưng Đạo, Phường Cầu Ông Lãnh, TP.HCM (Quận 1 cũ)
- 56 Nguyễn Thị Thập, KĐT Him Lam, Phường Tân Hưng, TP.HCM (Quận 7 cũ)
- 147 Nguyễn Thiện Thuật, Phường Bàn Cờ, TP.HCM (Quận 3 cũ)
- 328 Nguyễn Chí Thanh, Phường Diên Hồng, TP.HCM (Quận 10 cũ)
- 855 Phạm Văn Đồng, Phường Thủ Đức, TP. HCM (Thủ Đức cũ).
- Hotline: 1900 2102
Nha khoa Tâm Đức Smile
Hệ thống Nha khoa Tâm Đức Smile được thành lập từ năm 2008, là một trong những địa chỉ cung cấp dịch vụ chăm sóc răng miệng tại TP.HCM. Trong quá trình điều trị, Tâm Đức Smile chú trọng xây dựng phác đồ phù hợp với từng tình trạng răng miệng, hướng đến cải thiện cả chức năng ăn nhai và yếu tố thẩm mỹ.
Đội ngũ bác sĩ tại đây có kinh nghiệm trong lĩnh vực nha khoa, kết hợp cùng hệ thống thiết bị hỗ trợ như chụp phim X-quang 3D, máy Panorex – Cephalometric và công nghệ CAD/CAM trong thiết kế răng sứ. Những yếu tố này góp phần hỗ trợ quá trình chẩn đoán và điều trị được thực hiện một cách chính xác hơn.
Hiện nay, Tâm Đức Smile đã mở rộng hệ thống với nhiều chi nhánh tại khu vực phía Nam, giúp khách hàng thuận tiện hơn trong việc thăm khám. Nha khoa Tâm Đức Smile là một trong những địa chỉ bạn có thể tham khảo khi có nhu cầu bọc răng sứ tại TP.HCM.
Ưu điểm khi bọc răng sứ tại nha khoa Tâm Đức Smile
- Nha khoa sở hữu đội ngũ bác sĩ có chuyên môn cao, nhiều năm kinh nghiệm trong lĩnh vực, cùng hệ thống trang thiết bị hiện đại.
- Các công nghệ được ứng dụng gồm: chụp X-quang 3D, máy Panorex – Cephalometric, thiết kế răng sứ CAD/CAM 3D, phần mềm phân tích Implant 3D, VCeph 3D và công nghệ tẩy trắng răng Laser thế hệ mới.
- Với định hướng không ngừng nâng cao chất lượng dịch vụ, Tâm Đức Smile liên tục cập nhật công nghệ và mở rộng quy mô.
- Hiện hệ thống đã có hơn 30 chi nhánh tại khu vực miền Nam, là một trong những địa chỉ được nhiều khách hàng cân nhắc khi có nhu cầu chăm sóc và thẩm mỹ răng miệng tại TP.HCM.
- Nha khoa thường xuyên có các chương trình ưu đãi, trợ giá lên tới 60%, combo giá tốt và hỗ trợ trả góp, giúp giảm áp lực tài chính.
Khoảng giá tham khảo: 999.000 - 10.000.000 VNĐ/răng.

Nha khoa Tâm Đức Smile

Review từ khách hàng đã trải nghiệm dịch vụ bọc răng sứ tại nha khoa Tâm Đức Smile
Thông tin liên hệ:
- Địa chỉ: 52 Tân Kỳ Tân Quý, phường Tây Thạnh, TP.HCM
- Hotline: 1900.8040 - 0329851079
Nha khoa Đăng Lưu
Nha khoa Đăng Lưu là một trong những địa chỉ cung cấp dịch vụ bọc răng sứ và chăm sóc răng miệng tại TP.HCM, được nhiều khách hàng lựa chọn. Thành lập từ năm 2005, nha khoa tập trung phát triển đội ngũ bác sĩ có chuyên môn, được đào tạo bài bản trong và ngoài nước, với nhiều năm kinh nghiệm trong lĩnh vực phục hình và chỉnh nha.
Một số bác sĩ tại nha khoa Đăng Lưu từng tham gia các chương trình đào tạo chuyên sâu ở nước ngoài, trong đó có ThS.BS Nguyễn Quang Tiến – tốt nghiệp chuyên ngành chỉnh nha tại Đại học Münster (Đức).
Hệ thống phòng khám được đầu tư tương đối đồng bộ về cơ sở vật chất và trang thiết bị, hỗ trợ cho quá trình thăm khám và điều trị. Không gian phòng khám được bố trí sạch sẽ, thoáng mát, kết hợp với ghế nha khoa hiện đại, giúp khách hàng cảm thấy thoải mái hơn trong suốt quá trình điều trị.
Ưu điểm khi bọc răng sứ tại nha khoa Đăng Lưu
- Khách hàng được thăm khám và điều trị trực tiếp bởi bác sĩ giàu kinh nghiệm, đảm bảo quá trình bọc răng sứ diễn ra chính xác, mão sứ ôm sát cùi răng và hạn chế xâm lấn tối đa mô răng thật.
- Nha khoa sử dụng các dòng răng sứ như Cercon hoặc Titan (tùy chỉ định), có độ bền cao, khả năng chịu lực tốt và màu sắc tương thích với răng tự nhiên.
- Bọc răng sứ giúp xử lý các tình trạng như răng thưa, sứt mẻ, xỉn màu; đồng thời phục hồi khả năng ăn nhai ổn định gần với răng thật.
- Các bước thực hiện tuân thủ tiêu chuẩn vô trùng và kỹ thuật nha khoa, góp phần bảo tồn răng thật và duy trì kết quả phục hình ổn định theo thời gian.
Khoảng giá tham khảo: 1.100.000 - 11.000.000 VNĐ/răng

Nha khoa Đăng Lưu

Review từ khách hàng đã trải nghiệm dịch vụ bọc răng sứ tại nha khoa Đăng Lưu
Thông tin liên hệ:
- Địa chỉ: 983 Trần Hưng Đạo, Phường 5, Quận 5, Tp. HCM
- Hotline: 028 7301 7103
Câu hỏi thường gặp
Bọc răng sứ có đau không?
Với kỹ thuật nha khoa hiện đại, bọc răng sứ hiện nay diễn ra rất nhẹ nhàng. Tình trạng ê buốt nhẹ sau đó là phản ứng tự nhiên của cơ thể và sẽ chấm dứt hẳn chỉ sau 24 - 48 giờ nếu quy trình được thực hiện đúng kỹ thuật.
Bọc răng sứ giá bao nhiêu tại TP.HCM?
Chi phí bọc răng sứ dao động khoảng 1.000.000 – 12.000.000 VNĐ/răng, tùy vào loại sứ, công nghệ và tay nghề bác sĩ tại từng nha khoa.
Nên chọn răng sứ kim loại hay toàn sứ?
Việc lựa chọn loại răng sứ phụ thuộc vào vị trí răng cần phục hình và ngân sách của bạn. Nếu bạn ưu tiên tính kinh tế cho các răng hàm phía trong, răng sứ kim loại là lựa chọn hợp lý. Tuy nhiên, để sở hữu nụ cười rạng rỡ, tự nhiên và bền vững, các chuyên gia luôn khuyến khích sử dụng răng toàn sứ. Đây là dòng răng không chỉ đạt điểm 10 về thẩm mỹ mà còn bảo vệ sức khỏe răng miệng lâu dài, tránh hoàn toàn tình trạng đen viền nướu.
Làm sao để chọn nha khoa bọc răng sứ uy tín tại TP.HCM?
Bạn nên ưu tiên nha khoa có bác sĩ giàu kinh nghiệm, quy trình rõ ràng, sử dụng vật liệu chính hãng và có chính sách bảo hành minh bạch để đảm bảo an toàn và hiệu quả lâu dài.
Việc lựa chọn địa chỉ bọc răng sứ uy tín TPHCM cần dựa trên các tiêu chí quan trọng như tay nghề bác sĩ, công nghệ, chất liệu răng sứ và đánh giá thực tế từ khách hàng. Mỗi nha khoa trong Top 10 đều có thế mạnh riêng, vì vậy bạn nên xác định rõ nhu cầu để chọn địa chỉ phù hợp.
Nếu bạn đang tìm kiếm một địa chỉ chú trọng điều trị chất lượng, an toàn và cá nhân hóa, Nha Khoa Nhân Tâm là một trong những lựa chọn đáng cân nhắc để đồng hành cùng bạn trong hành trình cải thiện nụ cười.



