Viêm nha chu – Chớ xem thường
Nguyên nhân dẫn đến viêm nha chu chính là do những mảng bám tích tụ trong các kẽ răng tạo ra vi khuẩn và quanh chân răng dẫn đến tình trạng viêm nướu. Tuy viêm nha chu có những biểu hiện không rõ ràng nhưng nó gây nên hậu quả vô cùng nghiêm trọng.
Cách tốt nhất để phòng ngừa viêm nha chu là vệ sinh răng miệng sạch sẽ, đánh răng ít nhất 2 lần/ngày, sử dụng chỉ nha khoa ít nhất 1 lần/ngày, dùng kem đánh răng có chứa flour kết hợp sử dụng nước súc miệng và máy tăm nước để loại bỏ hoàn toàn các mảng bám còn sót lại. Bên cạnh đó, bạn nên thăm khám nha khoa định kỳ nhằm phát hiện và điều trị các vấn đề về sức khỏe răng miệng kịp thời.
Chính vì Viêm nha chu là bệnh lý khá phổ biến, nên nhiều người chủ quan. Không ít trường hợp do không điều trị kịp thời đã dẫn đến phá hủy dây chằng nha chu, xương ổ răng, gây tụt nướu, lung lay răng và hậu quả sau cùng là mất răng, biến dạng mặt, gây mất thẩm mỹ và suy giảm chức năng nhai, ảnh hưởng đến sức khỏe tổng quát.
Nguyên nhân và hậu quả
Viêm nha chu gây ra do sự gia tăng số lượng và chủng loại vi khuẩn thông qua sự tích tụ mảng bám. Bên cạnh đó, còn có một số yếu tố góp phần làm cho tình trạng viêm nha chu nặng hơn như: Giải phẫu răng không thuận lợi, sâu răng không điều trị, răng lệch lạc, stress, hút thuốc lá, chế độ dinh dưỡng (thiếu canxi, vitamin C, E, A…), bệnh loãng xương, suy giảm estrogen, thay đổi nội tiết tố (trong thai kỳ, bệnh đái tháo đường…), dùng thuốc (chống động kinh, thuốc ngừa thai…). Đặc biệt, một nguyên nhân quan trọng dẫn đến viêm nha chu mà đa số người dân không ngờ đến là do kỹthuật phục hồi răng không đúng phương pháp. Ví dụ như làm sứ không đúng kỹ thuật, các miếng trám và bờ của phục hình sứ không khít sát làm dễ dàng tích tụ mảng bám vi khuẩn, đeo răng nhựa tháo lắp không được vệ sinh kỹtạo cơ hội đọng thức ăn, làm cầu răng-nhiều răng liên kết với nhau cũng là một trong những nguy cơ gia tăng tình trạng viêm nha chu (chiếm tỉ lệ 15% sau 10 năm)
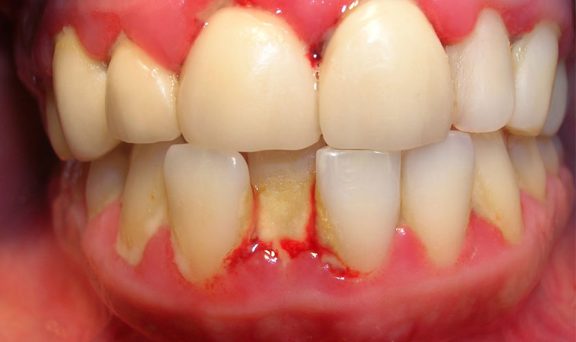
Viêm nha chu phần lớn là bệnh mãn tính nhưng để lại nhiều hậu quả ảnh hưởng đến sức khỏe răng miệng cũng như sức khỏe toàn thân, kể cả vấn đề thiếu tự tin trong giao tiếp và trở ngại trong hòa nhập cộng đồng. Đầu tiên phải kể đến là tình trạng hôi miệng và chảy máu nướu. Tiếp đến là tình trạng tụt nướu, ê buốt răng. Nghiêm trọng hơn là tiêu xương ổ răng và phá hủy dây chằng nha chu, đưa đến hậu quả răng bị lung lay, xô lệch và cuối cùng là mất răng, biến dạng mặt, gây mất thẩm mỹ và suy giảm chức năng nhai, ảnh hưởng đến sức khỏe tổng quát.
Xem thêm: Viêm nướu và những tác hại nghiêm trọng
Phương pháp điều trị viêm nha chu
Tùy theo tình trạng bệnh, có thể sử dụng một phương pháp độc lập hoặc đôi khi cần phối hợp nhiều phương pháp điều trị như sau: Điều trị không phẫu thuật bao gồm cạo vôi răng, nạo túi nha chu kết hợp sử dụng kháng sinh tại chỗ hay toàn thân; Điều trị phẫu thuật bao gồm nhổ răng, lật vạt làm sạch mặt gốc răng, ghép thêm mô…; Điều trị duy trì và dự phòng, ví dụ như hướng dẫn vệ sinh răng miệng (chải răng đúng cách, sử dụng nước súc miệng có Chlorhexidine, sử dụng chỉ nha khoa….), khám răng định kỳ 6 tháng/ lần. Một tình trạng phổ biến là bệnh nhân thường tự mua kháng sinh về uống mà không có sự thăm khám và chỉ định của bác sĩ. Đây là một thói quen sai lầm vì hiệu quả kém, bệnh vẫn tiến triển âm thầm, khả năng tái phát bệnh rất cao. Mặt khác, việc sử dụng kháng sinh bừa bãi sẽ gây hiện tượng kháng thuốc cũng đang là vấn nạn của toàn nhân loại.
Lời khuyên và cách phòng ngừa
Bệnh lý nha chu là một bệnh lý có thể không hồi phục như ban đầu, bởi tình trạng tiêu xương có thể không phục hồi hoàn toàn và là bệnh lý có tỉ lệ tái phát cao, diễn tiến âm thầm, không có triệu chứng cụ thể để bệnh nhân dễdàng phát hiện, cho đến khi tình trạng bệnh trở nên nghiêm trọng. Do vậy, ý thức dự phòng và chăm sóc sức khỏe răng miệng của chính bệnh nhân một cách đều đặn, thường xuyên và định kỳ là quan trọng, hơn cả việc điều trịbệnh. Bởi, đôi khi tình trạng quá nghiêm trọng không thể nào cứu vãn được, mà phải nhổ bỏ răng. Do vậy, đối với bệnh nhân, tôi có một số lời khuyên sau:
- Vệ sinh răng miệng đúng cách: Giữ gìn vệ sinh răng miệng sạch sẽ, chải răng sau mỗi bữa và trước khi đi ngủ với bàn chải mềm, không nên dùng bàn chải quá cứng. Đồng thời, kết hợp với chỉ nha khoa, máy tăm nước và nước súc miệng để làm sạch các kẽ răng, loại bỏ mảng bám vi khuẩn gây bệnh. Không nên dùng tăm vì sẽ dễ gây tụt nướu và thưa kẽ răng. Nên thay mới bàn chải mỗi 3 tháng
- Kiểm tra răng miệng định kỳ: Giúp phát hiện những dấu hiệu bất thường trong khoang miệng cũng như hệ thống nha chu. Nên cạo vôi răng mỗi 4-6 tháng bởi cao răng chứa rất nhiều vi khuẩn và là nguyên nhân hàng đầu gây nên bệnh viêm nha chu.
- Chế độ dinh dưỡng: Hạn chế ăn các thức ăn nhiều đường, bia rượu, hút thuốc lá. Thay vào đó hãy cung cấp các chất vitamin C, canxi cho răng đểrăng chắc khỏe hơn.
- Đối với phụ nữ trong thai kỳ, cần giữ gìn vệ sinh răng miệng thật tốt, cạo vôi răng định kỳ để ngăn ngừa mảng bám vi khuẩn gây viêm nha chu do thai nghén. Đối với bệnh nhân có can thiệp tim mạch, việc điều trị bệnh viêm nha chu–loại bỏ mảng bám vi khuẩn trở thành một chỉ định bắt buộc. Nếu không, vi khuẩn từ mảng bảm có cơ hội theo mạch máu vào tim dẫn đến nguy cơ thất bại cuộc phẫu thuật tim mạch và đe dọa tính mạng bệnh nhân.
- Đối với những bệnh nhân đang điều trị ung thư vùng đầu mặt cổ, cần cạo vôi, vệ sinh răng miệng sạch sẽ, điều trị tích cực những răng bị nha chu, thậm chí phải nhổ bỏ những răng bị lung lay không có khả năng hồi phục trước khi áp dụng liệu pháp xạ trị.
- Đối với bệnh nhân đã trồng răng implant, vấn đề chăm sóc mô mềm quanh implant (được xem như mô nướu) càng trở nên cấp thiết.
Hy vọng bài viết trên sẽ giúp bạn có những thông tin hữu ích và giải pháp để phòng tránh cũng như giải quyết nhanh chóng các vấn đề về sức khỏe răng miệng của mình. Nếu bạn có bất kỳ thắc mắc nào hãy liên hệ với chúng tôi qua Hotline: 1900 56 5678 hoặc tới trực tiếp Nha khoa Nhân Tâm để được hỗ trợ và tư vấn.
Ngày nay, phương pháp làm răng sứ là một phương pháp phổ biến được nhiều người chọn lựa như là một giải pháp khôi phục cả về thẩm mỹ nụ cười và chức năng ăn nhai. Tuy nhiên, quá trình thực hiện không đảm bảo đúng kỹ thuật có thể đưa đến hậu quả viêm nướu, viêm nha chu khiến nướu bị sưng đỏ, dễ chảy máu, hôi miệng và răng lung lay. Do vậy, việc lựa chọn cơ sở điều trị đầy đủ trang thiết bị và đội ngũ bác sĩ có chuyên môn cao, là yếu tố tiên quyết để đảm bảo tính thẩm mỹ, sựthành công lâu dài của răng sứ, sức khỏe của mô nha chu nói riêng và sức khỏe răng miệng nói chung.
(Theo TS. BS Võ Văn Nhân – Giảng viên Đại Học Y Dược TP. HCM)






