Trồng răng sứ là một giải pháp phục hình răng phổ biến trong nha khoa hiện đại
Để xác định được như thế nào là răng sứ chất lượng cao thì bạn có thể dựa vào một số yếu tố chính sau:
Vật liệu tạo nên răng sứ
Vật liệu sứ phải có nhiều đặc tính quang học, ưu việt, cụ thể là phải đáp ứng yêu cầu cao hơn về thẩm mỹ so với các loại răng sứ thường, đảm bảo có tính tương hợp sinh học tốt với nướu cũng như cơ thể.
Trong vô số các loại nguyên vật liệu sứ xuất xứ từ nhiều nhà sản xuất, nhiều nước khác nhau, răng sứ CERCON làm bằng nguyên liệu Zirconia và Cercon là loại răng sứ có chất lượng tốt nhất.

Răng sứ Cercon làm bằng nguyên liệu Zirconia và Cercon là loại răng sứ có chất lượng tốt nhất
Dòng răng sứ kim loại khi có ánh đèn chiếu vào sẽ phát ra ánh sáng cản quang, không được tự nhiên như răng thật. Hơn nữa, sau một thời gian phục hình, răng sứ sẽ bị đen ở viền nướu do hợp kim trong kim loại bị oxy hóa trong môi trường nước bọt.
Răng sứ Cercon có thể khắc phục hoàn toàn các phản ứng thường gặp trên của răng sứ kim loại với đặc tính cứng chắc, tương hợp sinh học tốt, thẩm mỹ cao, mang lại vẻ đẹp tự nhiên như răng thật và độ bền lâu dài.
Tay nghề của kỹ thuật viên chế tác răng sứ
Kỹ thuật viên chế tác răng sứ có trình độ cao sẽ làm cho hình dáng, màu sắc của răng sứ giống như răng thật, chuẩn khớp với tỷ lệ của dấu hàm, nhằm mang lại tính thẩm mỹ tối ưu.
Hiện nay, một số phòng khám nha khoa cũng xây dựng Labo chế tác răng sứ ngay tại nha khoa nhằm tạo sự thuận tiện cho khách hàng khi phục hình răng.

Chất lượng của răng sứ phụ thuộc rất nhiều vào kỹ thuật viên chế tác sứ
Xem thêm: Tái tạo gai nướu trong phục hình sứ
Tay nghề của Bác sĩ thực hiện làm răng sứ
Cùi răng thật cũng là một yếu tố ảnh hưởng gián tiếp đến chất lượng của răng sứ. Nếu cùi răng quá mỏng thì sẽ không giữ được răng sứ lâu, còn nếu cùi răng quá dày sẽ khiến cho bệnh nhân cảm thấy cộm cấn, khó chịu.
Do đó, Bác sĩ thực hiện bọc sứ phải là những Bác sĩ giỏi, có tay nghề cao với nhiều năm kinh nghiệm.
Bên cạnh đó, răng sứ sau khi được gắn cố định có bền đẹp hay không, có khít sát với cùi hay không là nhờ vào kỹ thuật lấy dấu hàm và lắp răng sứ của Bác sĩ.

Bác sĩ thực hiện bọc sứ phải là những Bác sĩ giỏi, có tay nghề cao với nhiều năm kinh nghiệm
Trên đây là một số yếu tố cơ bản giúp bạn xác định được như thế nào là răng sứ chất lượng cao khi có ý định thực hiện phục hình thẩm mỹ răng bằng phương pháp bọc răng sứ tại nha khoa.
Nha khoa Nhân Tâm - Trên 25 năm kinh nghiệm trong lĩnh vực răng sứ thẩm mỹ
- Nha khoa Nhân Tâm hội tụ đội ngũ Bác sĩ nha khoa thẩm mỹ trên 25 năm kinh nghiệm, luôn cập nhật xu hướng thẩm mỹ hiện đại, đảm bảo nụ cười hoàn hảo nhất cho răng.
- Ứng dụng công nghệ hiện đại với Hệ thống CT Cone Beam 3D, Phần mềm thiết kế nụ cười Smile Design Pro, Hệ thống răng sứ CAD/CAM hiện đại, Phần mềm lấy dấu mẫu hàm Kỹ thuật số 3Shape..., cho quy trình làm răng sứ nhanh chóng, thẩm mỹ, bền chắc.
- Hệ thống răng sứ đạt chuẩn được nhập khẩu trực tiếp từ Châu Âu.
- Hệ thống vô trùng nha khoa hiện đại, loại bỏ lây nhiễm chéo.
- Dịch vụ chất lượng cao, mang đến sự hài lòng tuyệt đối.
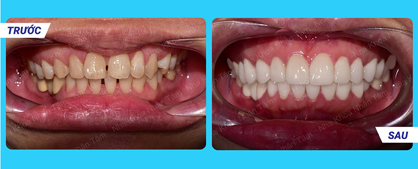
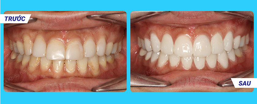
Hình ảnh trước - sau khi bọc răng sứ



Khách hàng thực hiện bọc răng sứ tại Nha khoa Nhân Tâm




