Răng sứ titan
Răng sứ titan sử dụng được bao lâu là câu hỏi được nhiều người quan tâm. Răng sứ titan là loại răng sứ phổ biến hiện nay. Tuổi thọ của loại răng sứ này giao động từ 15 đến 20 năm.
Làm sao để kéo dài tuổi thọ của răng sứ dài nhất có thể là điều mà nhiều bạn sau khi trồng răng sứ quan tâm nhất. Để giải đáp những thắc mắc này, mời bạn đọc những thông tin được chia sẻ trong bài viết dưới đây.
Thế nào là răng sứ Titan?
Trước tiên bạn nên biết thế nào là răng sứ Titan? Răng sứ titan là một loại răng sứ có phần sườn được làm bằng hợp kim Niken, Crom và Titan. Trong đó, hàm lượng Titan chiếm khoảng từ 4% đến 8% tùy từng loại răng titan khác nhau. Bên ngoài răng sứ titan có phủ một lớp sứ có màu sắc tương tự như răng thật.
Răng sứ titan được sử dụng nhiều bởi đáp ứng tốt các nhu cầu cơ bản về thẩm mỹ răng và độ bền chắc của răng. Bên cạnh đó, mức giá làm răng sứ titan tương đối rẻ nên là sự lựa chọn của rất nhiều người.
Xét về tính thẩm mỹ thì răng sứ titan có độ trắng sáng vừa phải, không đem tới khả năng thẩm mỹ tuyệt đối như những loại răng toàn sứ khác. Khả năng ăn nhai của răng sứ titan được các bác sĩ nha khoa đánh giá rất cao, răng sứ titan ăn nhai chắc chắn hơn răng thật từ 4 đến 6 lần.
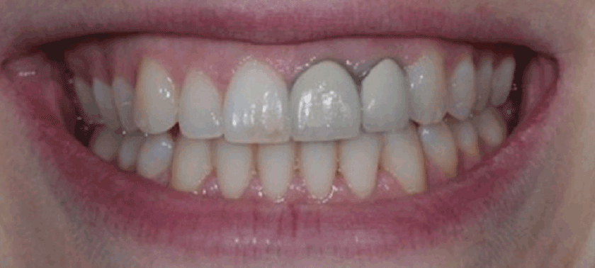
Tuy nhiên, sau thời gian sử dụng từ 3 đến 5 năm thì răng sứ titan bắt đầu để lộ nhược điểm là đen viền nướu. Đây là nhược điểm của răng sứ titan khiến nhiều người cân nhắc.
Răng sứ Titan có bị đen không?
Răng sứ Titan có bị đen không thì câu trả lời là có nhé! Khi bị chiếu ánh sáng trực tiếp, chiếu ánh sáng quá mạnh vào răng thì bạn sẽ thấy răng chuyển sang tối màu. Răng sứ titan sau thời gian sử dụng sẽ bị đen viền nướu.
Đây là loại răng sứ bằng kim loại nên trong khoang miệng, tiếp xúc với axit quá lâu sẽ khiến cho răng bị đen viền quanh nướu, đây chính là phần sườn của răng sứ.

Bị đen viền nướu sau một thời gian bọc răng sứ titan
Răng sứ Titan sử dụng được bao lâu và cách bảo quản thế nào?
Dù bạn bọc răng sứ loại nào, răng sứ titan hay răng toàn sứ, răng sứ thường thì chắc chắn việc bảo quản, chăm sóc răng thường xuyên để giữ được độ sáng khỏe, tránh được các bệnh lý về răng là vô cùng cần thiết.
Nếu như răng thật được tủy nuôi dưỡng để trắng sáng thì răng sứ là một bộ phận tách rời, nhất thiết phải có cách chăm sóc để gia tăng độ bền thì mới kéo dài được tuổi thọ của răng cũng như đảm bảo được tính thẩm mỹ cho răng.
Nếu không biết cách bảo quản răng sứ Titan thì nhất định bạn không thể nào có thể duy trì được độ bền, màu sắc sáng khỏe của răng sứ. Bạn cần biết cách bảo quản răng sứ để tránh hiện tượng đen viền nướu của răng sứ titan xảy ra quá sớm. Vậy cách để bảo quản răng sứ titan như thế nào là hợp lý?
3 cách bảo quản răng sứ titan theo lời khuyên của bác sĩ nha khoa:

Chăm sóc răng sứ titan như thế nào để duy trì độ bền đẹp?
Chăm sóc và vệ sinh răng miệng thường xuyên
Chắc chắn rồi, muốn răng khỏe, răng bền chắc thì luôn luôn phải có ý thức chăm sóc vệ sinh răng miệng đều đặn hàng ngày. Nếu có thể hãy đánh răng 3 lần mỗi ngày sau mỗi bữa ăn. Nếu không thì tối thiểu bạn phải đánh răng 2 lần mỗi ngày nhé.
Xem thêm: Cần hiểu rõ về răng sứ Titan và răng toàn sứ
Nên lựa chọn bàn chải đánh răng có lông mềm, chải răng nhẹ nhàng theo chiều dọc. Bạn cũng nên dùng chỉ nha khoa để loại bỏ những thức ăn thừa ở kẽ răng hàng ngày. Tuyệt đối không dùng tăm để xỉa răng bạn nhé!
Chế độ ăn uống lành mạnh
Các loại trái cây và rau quả có khả năng làm sạch và làm trắng răng mà bạn có thể dùng để bảo vệ răng chắc khỏe là dâu tây, táo, chuối,... Ngoài ra bạn không nên ăn các loại đồ uống có màu như cà phê, không ăn các thực phẩm quá cứng, quá nóng hay quá lạnh có thể gây nứt vỡ răng.
Khám răng định kỳ
Bạn nên khám răng sứ titan định kỳ tại chính địa chỉ bọc răng sứ của mình. Muốn bọc răng sứ titan chất lượng, đến ngay Nha khoa Nhân Tâm!



