Ca phẫu thuật cấy ghép implant thành công cho khách hàng bị thiếu răng bẩm sinh(*) đã được thực hiện cho chị Nguyễn Ngọc Hạnh (27 tuổi, ở Hà Nội) khi mắc phải căn bệnh cực kỳ hiếm gặp - Hội chứng loạn sản bì dẫn đến tình trạng không có răng và không có tóc bẩm sinh!
(*) Các thủ thuật/phẫu thuật phức tạp sẽ được chuyển qua bệnh viện để thực hiện
Một nụ cười tươi luôn là ước mơ của cô gái trẻ!
Từ khi mới sinh ra, Nguyễn Ngọc Hạnh (27 tuổi, Hà Nội) đã mắc phải một căn bệnh cực kỳ hiếm gặp - Hội chứng loạn sản ngoại bì, dẫn đến tình trạng không răng, không tóc bẩm sinh. Khiếm khuyết về ngoại hình đã khiến cuộc sống thường nhật của Hạnh chưa bao giờ là dễ dàng.
27 năm qua, Hạnh chưa từng có được một bữa cơm ngon miệng, Hạnh chỉ có thể ăn những loại thức ăn mềm hoặc đã được xay nhuyễn, phải nhai bằng lợi hoặc cố gắng nuốt. Dù vào năm Hạnh học lớp 11, bố Hạnh đã đưa Hạnh đi làm răng giả tháo lắp, nhưng vì hàm giả vốn dĩ không vững chắc, nên đã không thể tiếp tục sử dụng.
May mắn cuối cùng đã mỉm cười với cô gái đầy nghị lực
Khi biết tin mình mắc phải hội chứng không răng bẩm sinh, Hạnh đã tìm hiểu rất nhiều thông tin trên mạng và báo chí. Vì điều kiện kinh tế gia đình không cho phép, cô đã luôn theo dõi những chương trình từ thiện, giảm giá cho người có hoàn cảnh khó khăn, nhưng may mắn chưa một lần gọi tên Hạnh.
"Em chỉ có một mong muốn là được cười nói tự nhiên như bao người khác. Em đã thăm khám ở nhiều nơi nhưng các bác sĩ đều nói tình trạng của em chưa có giải pháp điều trị, lúc đó em cảm thấy thất vọng vô cùng.
Cho đến khi biết được bác sĩ Nhân đã từng điều trị thành công cho những trường hợp giống với em, từ đó em như được thắp lên hy vọng một lần nữa, em quyết định gửi email cho bác Nhân để trình bày hoàn cảnh của mình. Khi nhận được thông tin TS.BS Võ Văn Nhân đồng ý tiếp nhận điều trị, em như vỡ òa trong hạnh phúc, không giấu được sự xúc động và biết ơn dành cho bác sĩ Nhân", Ngọc Hạnh xúc động chia sẻ.
Ngọc Hạnh cho biết thêm, khi có một hàm răng mới, Hạnh sẽ "ăn cả thế giới". Đặc biệt, Hạnh sẽ chụp thật nhiều bức ảnh, cười thật tươi mỗi ngày như một lời tri ân dành cho bố mẹ, cho đội ngũ bác sĩ và y tá đã hỗ trợ mình.

Thiếu răng bẩm sinh gây ra tình trạng tiêu xương hàm
Trồng răng với ba công nghệ đương đại
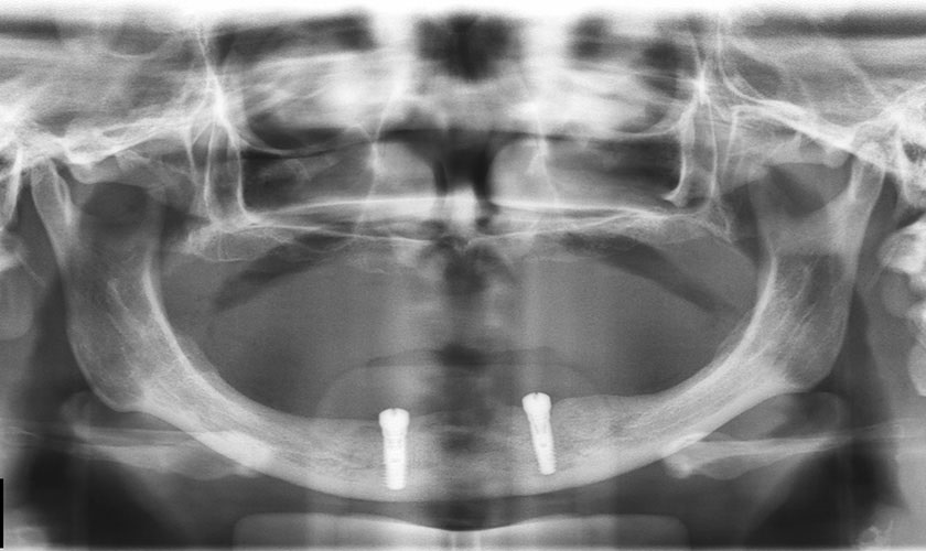
Sau khi thăm khám và khảo sát trên phim X-quang, TS-BS Võ Văn Nhân cho biết: “Trường hợp của bệnh nhân Nguyễn Ngọc Hạnh vô cùng đặc biệt. Ở hàm trên, do không có răng nên hoàn toàn không có xương ổ răng, đồng thời xương nền hàm trên cũng cực kỳ mỏng. Để giải quyết tình huống này, cấy Implant xương gò má(*) là giải pháp sau cùng. Trên thiết kế Implant cho thấy, Implant chỉ còn khoảng 1 mm là xâm phạm vào ổ mắt, hố thái dương, vì vậy, chỉ một sai lệch nhỏ cũng có thể gây ra biến chứng nghiêm trọng.
Trong khi đó, ở hàm dưới, xương hàm bị tiêu trầm trọng, mỏng dần theo chiều ngoài trong, đỉnh sóng hàm gần sát thần kinh hàm dưới. Do đó, hàm dưới cũng cần phải cấy Implant cực kỳ chính xác, nếu không Implant sẽ dễ dàng lệch ra khỏi vị trí và bị sai hướng. Việc lệch ra ngoài hay vào trong cũng sẽ gây biến chứng nguy hiểm như: giảm thị lực, tổn thương ổ mắt, chấn thương cơ thái dương, hạn chế há miệng,… đồng thời trụ Implant vì vậy mà không thể tồn tại lâu dài.
Đây là một ca phẫu thuật đặc biệt vì toàn bộ quá trình thực hiện từ giai đoạn xây dựng kế hoạch điều trị, phẫu thuật đến phục hình răng đều được ứng dụng các công nghệ kỹ thuật số, phối hợp ba công nghệ hàng đầu hiện nay: công nghệ định vị trong phẫu thuật trồng răng implant, công nghệ quét mặt ba chiều trong thiết kế nụ cười và công nghệ CAD/CAM chế tạo răng tự động để thiết kế vị trí và phục hình tối ưu thẩm mỹ và chức năng ăn nhai, đảm bảo chính xác, an toàn, nhẹ nhàng, nhanh chóng.”
Ca phẫu thuật cấy ghép Implant cho trường hợp không răng bẩm sinh(*) đã diễn ra thành công tốt đẹp. Sau ca phẫu thuật, Hạnh đã được gắn răng tạm tức thì. Khoảng 4 tháng sau, Hạnh đã có thể chuyển qua giai đoạn phục hồi răng sau cùng và hoàn tất quá trình điều trị.
Để giải quyết tình trạng thiếu răng bẩm sinh chỉ có một giải pháp là thực hiện song hành kỹ thuật: dời dây thần kinh(*), cấy ghép trụ Implant để phục hồi răng hàm dưới(*) và cấy ghép Implant xương gò má(*) để phục hồi răng hàm trên.

TS. BS Võ Văn Nhân - Chuyên gia cấy ghép Implant trên 25 năm kinh nghiệm
Vào năm 2013, TS-BS Võ Văn Nhân đã thực hiện thành công ca phẫu thuật dời thần kinh để cấy ghép Implant(*) cho khách hàng bị bắn gãy xương hàm dưới 40 năm, đến nay, sau 9 năm theo dõi đã đạt kết quả vượt ngoài mong đợi, không xuất hiện dấu hiệu tiêu xương, phục hình vẫn đảm bảo thẩm mỹ và chức năng ăn nhai.
Công trình khoa học này đã được công bố vào tháng 12/2020 trên tạp chí quốc tế Journal of Oral and Maxillofacial Surgery - Tạp chí hàng đầu của Hội các nhà phẫu thuật miệng và hàm mặt Hoa Kỳ, thuộc hệ thống ISI - Viện thông tin khoa học Hoa Kỳ.
(*) Các thủ thuật/phẫu thuật phức tạp sẽ được chuyển qua bệnh viện để thực hiện
*Chụp phim X-Quang hoặc phim 3 chiều CT Cone Beam là một bước quan trọng trong quy trình điều trị phục hồi răng. Vì vậy Khách hàng sẽ được Bác sĩ của nha khoa Nhân Tâm chỉ định đến các cơ sở y tế đủ chức năng để thực hiện trước khi điều trị.




