Viêm quanh Implant là một trong những nguyên nhân hàng đầu khiến trụ Implant bị đào thải sau khi cấy ghép. Từ khi mới xuất hiện, hệ thống GalvoSurge đã tạo nên một “cuộc cách mạng” trong điều trị viêm quanh Implant bằng cách đưa công nghệ điện phân vào làm sạch và khử nhiễm bề mặt Implant chỉ trong 2 phút thực hiện.
Viêm quanh Implant là gì?
Viêm quanh Implant là tình trạng viêm nhiễm xung quanh trụ Implant, gây phá hủy các mô xương nâng đỡ Implant, khiến trụ không thể đứng vững chắc trong xương hàm. Nhẹ thì xuất hiện tình trạng sưng đỏ, xuất huyết, mưng mủ,... còn nếu viêm nhiễm nặng thì trụ Implant có thể bị đào thải.

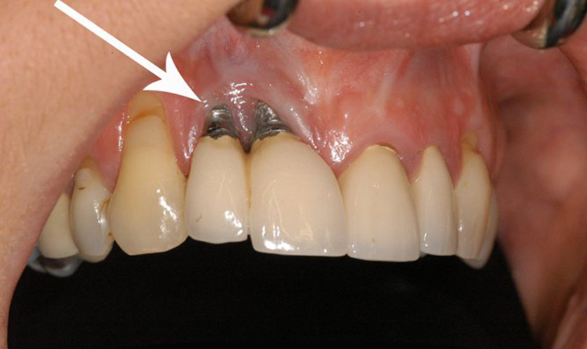
Viêm quanh Implant gây nên nhiều biến chứng nguy hiểm
Răng Implant rất dễ bị viêm nhiễm bởi cấu trúc xoắn ốc và bề mặt nhám của Implant sẽ tạo điều kiện thuận lợi cho vi khuẩn dễ dàng tích tụ và phát triển trên bề mặt Implant. Theo thời gian, vi khuẩn sẽ gây kích ứng các mô mềm xung quanh Implant, dẫn đến tình trạng viêm nhiễm và làm tổn thương mô, thậm chí phá hủy xương nâng đỡ xung quanh Implant và cuối cùng làm cho Implant rơi ra ngoài.
Các nguyên nhân gây ra tình trạng viêm quanh Implant
Có rất nhiều nguyên nhân gây viêm quanh Implant, trong đó có các nguyên nhân phổ biến sau:
- Lựa chọn Implant không phù hợp: Chất lượng, chất liệu và thiết kế ngoại hình của Implant nếu không phù hợp với cơ địa cũng như tình trạng răng của khách hàng cũng sẽ góp phần khiến cho mảng bám xuất hiện, làm nhiễm trùng các mô xung quanh Implant.
- Implant đặt không đúng vị trí: Bác sĩ thiếu kinh nghiệm, kiến thức chuyên môn có thể đặt Implant sai vị trí, hay khảo sát tình trạng xương hàm, mô nướu không kỹ lưỡng, từ đó làm ảnh hưởng đến khả năng tích hợp của Implant và tạo điều kiện thuận lợi cho vi khuẩn có hại xâm nhập và tấn công.
- Vệ sinh răng miệng không đúng cách: Việc chăm sóc, vệ sinh răng miệng tại nhà của khách hàng cũng góp phần quyết định đến kết quả cấy ghép Implant có thành công hay không. Nếu quá trình này không đảm bảo sẽ dễ hình thành mảng bám, vôi răng quanh Implant và khiến vùng này bị viêm nhiễm.
- Các nguyên nhân khác: Các yếu tố khác như bệnh tiểu đường, loãng xương, hút thuốc lá thường xuyên, điều trị lâu dài bằng corticoid, xạ trị và hóa trị,... cũng có thể là nguyên nhân dẫn đến viêm quanh Implant.

Lựa chọn loại trụ Implant không phù hợp cũng là nguyên nhân gây viêm quanh Implant
Nhận biết viêm quanh Implant như thế nào?
Viêm quanh Implant là biến chứng nặng hơn của viêm niêm mạc quanh Implant. Khi niêm mạc quanh Implant bị viêm, nướu sẽ bị sưng đỏ nhưng không mất đi sự bám dính và tiêu xương. Lúc này chỉ cần loại bỏ mảng bám vi khuẩn là được. Để ngăn ngừa tình trạng tiến triển nặng hơn, bạn cần nhận biết dấu hiệu viêm quanh Implant sớm:
- Vùng nướu xung quanh Implant sưng đỏ hoặc sẫm màu hơn so với bình thường, khi chạm vào thấy mềm nhũn.
- Nướu dễ bị chảy máu, nhất là khi chải răng hoặc dùng chỉ nha khoa, thậm chí có những trường hợp chảy máu tự phát.
- Nướu bị tụt xuống làm lộ phần chân Implant. Đây là dấu hiệu cảnh báo tình trạng viêm nhiễm đã tiến triển nặng hơn, có thể gây ra tiêu xương.
- Xung quanh trụ Implant xuất hiện mủ trắng hoặc vàng chảy ra, có thể kèm theo mùi hôi khó chịu. Mủ có thể xuất hiện khi ấn vào nướu hoặc tự phát.
- Quanh vị trí Implant xuất hiện cảm giác đau nhức âm ỉ hoặc đau nhói buốt, thậm chí đau nhức có thể lan ra các khu vực lân cận. Tình trạng đau nhức có thể tăng khi ăn nhai các thức ăn cứng.
- Trụ Implant lung lay khi nhai cắn thức ăn. Đây là dấu hiệu cảnh báo tình trạng viêm đã nghiêm trọng, phá hủy xương xung quanh Implant.

Triệu chứng viêm quanh Implant
Xem thêm: GalvoSurge: Hệ thống làm sạch Implant nha khoa
GalvoSurge - Giải pháp mới trong điều trị viêm quanh Implant
Khi nhận thấy những dấu hiệu bất thường ở vị trí răng Implant, bạn cần tìm đến ngay cơ sở nha khoa uy tín để bác sĩ thăm khám cụ thể. Bác sĩ sẽ thăm khám tổng quát tình trạng răng, chụp phim X-quang để đánh giá mức độ viêm nhiễm, từ đó đưa ra hướng điều trị phù hợp.
Trong trường hợp viêm quanh Implant chưa quá nặng và trụ Implant chưa bị đào thải, bác sĩ sẽ tiến hành xử lý vùng viêm nhiễm quanh quanh trụ Implant bằng cách loại bỏ các nhiễm trùng, mô hạt, các cặn bẩn cứng,... Tuy nhiên, bề mặt trụ Implant khá thô ráp nên việc làm sạch hoàn toàn là vấn đề khó khăn.
Để làm sạch bề mặt Implant, hiện tại trên thế giới đang áp dụng các biện pháp như: sử dụng công nghệ Laser, dùng chổi Titan hay thổi cát. Thế nhưng, kết quả của những phương pháp này chưa được tối ưu, không thể loại bỏ được hoàn toàn các màng sinh học, đồng thời còn có thể làm ảnh hưởng đến mô xương và nướu xung quanh Implant.

GalvoSurge là giải pháp điều trị viêm quanh Implant hiệu quả
Từ khi mới xuất hiện, GalvoSurge đã tạo nên một bước đột phá trong việc điều trị viêm quanh Implant. Hệ thống GalvoSurge ứng dụng công nghệ điện phân để làm sạch và khử nhiễm bề mặt Implant một cách nhanh chóng, an toàn và vô cùng nhẹ nhàng.
Giới thiệu về hệ thống làm sạch Implant nha khoa GalvoSurge
Hệ thống làm sạch Implant nha khoa GalvoSurge là phát minh của tập đoàn Straumann (Thụy Sĩ). Đây là một tập đoàn lớn và có độ uy tín cao trên thế giới với hơn 60 năm hoạt động và hơn 1000 nghiên cứu khoa học được công bố.
Trong điều trị Implant, tập đoàn Straumann luôn chú trọng vào việc nghiên cứu và phát triển các sản phẩm giúp cho việc điều trị đạt được kết quả tối ưu. Hầu như các chất lượng của các sản phẩm đến từ tập đoàn này đều giúp cho bệnh nhân và các bác sĩ yên tâm sử dụng.

GalvoSurge giúp làm sạch và khử nhiễm bề mặt Implant chỉ trong 2 phút thực hiện
Hệ thống GalvoSurge hoạt động bằng cách tạo một điện áp thấp có kiểm soát lên bề mặt Implant, đồng thời phun dung dịch điện phân lên trên đó. Từ đó tạo thành phản ứng giúp giải phóng các bọt khí hydrogen nhỏ, tách rời màng sinh học ra khỏi bề mặt Implant, khử nhiễm bề mặt Implant bị lộ, bao gồm cả phần ren, vùng lẹm và các cấu trúc vi thể.
Ưu điểm nổi bật của hệ thống làm sạch Implant GalvoSurge
Hệ thống làm sạch Implant nha khoa GalvoSurge tạo ra kết quả khác biệt so với những giải pháp hiện có trên thị trường, thường gây tổn hại cho bề mặt Implant sau quá trình vệ sinh. Cùng khám phá những ưu điểm nổi bật của GalvoSurge bên dưới nhé.
Hiệu quả làm sạch vượt trội
GalvoSurge loại bỏ hiệu quả màng sinh học cùng tất cả vi sinh vật liên quan chỉ sau một bước thực hiện. Bên cạnh đó, hệ thống còn giúp khử trùng bề mặt Implant, tạo điều kiện cho việc tái sinh xương và tái tích hợp xương tốt hơn.
Quy trình thực hiện nhanh chóng
Với hệ thống GalvoSurge, quá trình làm sạch và khử nhiễm bề mặt Implant chỉ mất khoảng 2 phút để hoàn thành, từ đó tiết kiệm thời gian cho cả bác sĩ và khách hàng.

GalvoSurge sở hữu nhiều ưu điểm vượt trội
Đảm bảo an toàn, ít gây khó chịu cho khách hàng
Với cơ chế điện phân cùng dung dịch đặc biệt, hệ thống GalvoSurge giúp làm sạch các mảng bám nhanh chóng, an toàn và rất nhẹ nhàng, không gây tổn hại đến bề mặt Implant.
Bên cạnh đó, dung dịch khử trùng rất an toàn cho nướu và mô mềm, hạn chế tối đa cảm giác ê buốt, khó chịu cho khách hàng trong suốt quá trình thực hiện.
Hiệu quả điều trị lâu dài
GalvoSurge giúp loại bỏ viêm nhiễm hiệu quả, từ đó bảo tồn Implant bị viêm lâu nhất có thể, hạn chế được việc phải tháo Implant. Từ đó góp phần nâng cao sức khỏe răng miệng và chất lượng cuộc sống cho các khách hàng.
Biện pháp phòng ngừa viêm quanh Implant
Viêm quanh Implant gây ra những hậu quả nặng nề cho khách hàng và rất phức tạp để điều trị dứt điểm. Vì thế, việc phòng ngừa viêm quanh Implant xảy ra là điều rất quan trọng trong việc đảm bảo ca cấy ghép Implant có thành công hay không.
Để phòng ngừa viêm quanh Implant, khách hàng cần lưu ý đến những điều sau:
- Lựa chọn địa chỉ chuyên sâu về cấy ghép Implant với uy tín lâu năm trên thị trường. Tại đây phải có bác sĩ giỏi và giàu kinh nghiệm, ứng dụng trang thiết bị hiện đại, đảm bảo quy trình thực hiện nghiêm ngặt và đảm bảo yếu tố vô trùng - vô khuẩn trong điều trị.
- Đánh răng kỹ lưỡng ít nhất 2 lần/ngày bằng bàn chải lông mềm. Lưu ý chải răng theo chiều dọc hoặc vòng xoắn ốc với một lực vừa phải, tránh làm tổn hại đến mô mềm và gây nên tình trạng viêm nhiễm không đáng có.
- Sử dụng chỉ nha khoa để làm sạch kẽ răng thay vì tăm xỉa răng. Đồng thời kết hợp sử dụng bàn chải kẽ, máy tăm nước để làm sạch các vị trí khó làm sạch.
- Không uống rượu bia, hút thuốc lá từ 4 - 6 tuần sau khi cấy ghép Implant để tránh làm ảnh hưởng đến quá trình lành thương và khiến trụ Implant bị đào thải.
- Khám răng định kỳ 6 tháng/lần để bác sĩ vệ sinh răng miệng cũng như có thể sớm phát hiện bệnh viêm quanh Implant (nếu có) để có biện pháp điều trị kịp thời, ngăn ngừa những biến chứng đáng tiếc.

Chăm sóc răng miệng kỹ lưỡng để phòng ngừa viêm quanh Implant
Tóm lại, viêm quanh Implant sẽ ảnh hưởng nghiêm trọng đến sức khỏe răng miệng và gây tổn hại đến xương hàm. Hệ thống làm sạch Implant nha khoa GalvoSurge sẽ là một giải pháp hiệu quả, an toàn và tiên tiến cho việc điều trị viêm quanh Implant. Để biết thêm thông tin, đừng ngần ngại liên hệ ngay đến Nha khoa Nhân Tâm - Nha khoa tốt ở Sài Gòn, các chuyên gia sẽ tư vấn cụ thể cho bạn.




