Cạo vôi răng là kỹ thuật nhằm loại bỏ hết các vết bám và mảng vôi xung quanh thân răng cũng như dưới nướu răng.
Mặc dù là kỹ thuật đơn giản nhưng quá trình cạo vôi răng cần phải được thực hiện bởi bác sĩ chuyên khoa giàu kinh nghiệm cùng với sự hỗ trợ của công nghệ hiện đại thì mới có thể lấy sạch hoàn toàn những mảng bám “cứng đầu” mà không hề gây cảm giác đau nhức, ê buốt, khó chịu cho khách hàng.
Hiện nay, Nha khoa Nhân Tâm đang áp dụng công nghệ cạo vôi răng hiện đại bằng máy siêu âm. Công nghệ này không chỉ lấy sạch triệt để vôi răng mà còn không gây đau, đảm bảo an toàn cho men răng cũng như nướu răng, đặc biệt là thời gian cạo vôi được rút ngắn đáng kể, chỉ mất khoảng 15 – 20 phút.
Cạo vôi răng mất thời gian bao lâu?
Cạo vôi răng mất thời gian bao lâu là thắc mắc của rất nhiều khách hàng. Trên thực tế, khoảng thời gian này dài hay ngắn còn tùy thuộc vào rất nhiều yếu tố, cụ thể như: mức độ vôi răng nhiều hay ít, tay nghề bác sĩ cũng như kỹ thuật áp dụng.
Trước đây, việc cạo vôi răng sẽ được thực hiện thủ công, dụng cụ sẽ tác động trực tiếp vào men răng, nướu răng, rất khó để làm sạch hoàn toàn vôi răng, đặc biệt là vôi răng nằm sâu bên dưới nướu, đồng thời còn có thể gây nên tình trạng đau buốt, chảy máu chân răng mà thời gian thực hiện còn kéo dài khoảng 40 – 60 phút.

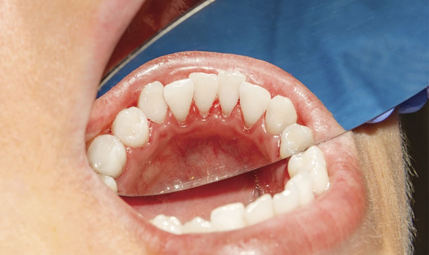
Cạo vôi răng mất bao lâu là câu hỏi được nhiều khách hàng quan tâm
Hiện nay, với sự phát triển của công nghệ hiện đại, quá trình cạo vôi răng sẽ được thực hiện bằng máy siêu âm, thời gian cạo vôi răng sẽ được rút ngắn đáng kể, chỉ khoảng 15 – 20 phút là đã có thể hoàn thành mà kết quả đạt được vẫn đúng như sự kỳ vọng của khách hàng.
Đặc biệt, công nghệ siêu âm còn mang lại nhiều ưu điểm vượt trội: áp lực nước sẽ phối hợp nhịp nhàng với bước sóng siêu âm, có thể đưa được đến mọi vị trí răng, thậm chí sâu bên dưới nướu, giúp loại bỏ vôi răng triệt để mà không hề gây ê buốt, khó chịu, ngăn ngừa sự tích lũy mảng bám trên răng.
Bao lâu nên cạo vôi răng một lần?
Bên cạnh câu hỏi cạo vôi răng mất bao lâu thì bao lâu nên cạo vôi răng một lần cũng là vấn đề được nhiều người đặt ra.
Các chuyên gia hàng đầu cho biết: vôi răng nếu tồn tại lâu ngày sẽ gây nên nhiều ảnh hưởng đến sức khỏe răng miệng, là nguyên nhân hàng đầu gây viêm nướu, chảy máu chân răng, hôi miệng, tụt nướu răng,… Những tình trạng này nếu không được điều trị kịp thời sẽ dẫn đến viêm nha chu, khiên răng lung lay và có thể gây mất răng.
Do đó, việc cạo vôi răng định kỳ 6 tháng/lần sẽ giúp làm sạch khoang miệng hoàn toàn, phòng ngừa các bệnh răng miệng và bảo vệ răng một cách hiệu quả. Sau khoảng thời gian này, vi khuẩn vôi răng sẽ hình thành, nếu kéo dài lâu hơn sẽ khiến vôi răng ngày càng nhiều và tác hại do vôi răng gây ra sẽ ngày càng nghiêm trọng.

Cạo vôi răng giúp bảo vệ sức khỏe răng miệng được tốt hơn
Cạo vôi răng ở đâu an toàn, nhanh chóng?
Giữa vô vàn địa chỉ nha khoa hiện nay thì đâu mới là địa chỉ uy tín, thực hiện cạo vôi răng nhanh chóng mà vẫn đảm bảo an toàn cho khách hàng?
Nếu còn băn khoăn chưa biết địa chỉ nào thì có thể tham khảo Nha khoa Nhân Tâm. Đây là trung tâm nha khoa uy tín lâu năm với hơn 23 năm hoạt động, được đông đảo khách hàng tin tưởng lựa chọn.
Khi thực hiện cạo vôi răng tại Nha khoa Nhân Tâm, khách hàng sẽ được trải nghiệm dịch vụ chất lượng quốc tế với cơ sở vật chất khang trang, trang thiết bị hiện đại, đặc biệt được đội ngũ bác sĩ có tay nghề cao, nhiều kinh nghiệm giúp thực hiện cạo vôi răng hiệu quả, an toàn và thời gian thực hiện nhanh chóng.
Ngoài ra, nha khoa còn thực hiện cạo vôi răng theo đúng quy trình, tuân thủ nghiêm ngặt yếu tố vô trùng, tránh tình trạng lây nhiễm chéo.

Nha khoa Nhân Tâm là địa chỉ cạo vôi răng uy tín
Hy vọng rằng những thông tin trên đây đã giúp bạn giải đáp được thắc mắc cạo vôi răng mất thời gian bao lâu. Nếu còn bất kỳ câu hỏi nào hoặc muốn đặt hẹn tại Nha khoa Nhân Tâm, hãy liên hệ ngay đến Hotline 1900 56 5678 để được các chuyên gia tư vấn cụ thể và hoàn toàn miễn phí.



