Bác sĩ Bùi Lê Mỹ Hạnh là một Bác sĩ trẻ và tài năng hiện đang làm việc tại Nha khoa Nhân Tâm. Bác sĩ Hạnh được đào tạo bài bản và có chuyên môn sâu về nha khoa thẩm mỹ, phục hình can thiệp tối thiểu, phục hình trên Implant, chỉnh nha, nội nha, nha chu, răng trẻ em.
Bên cạnh đó, Bác sĩ Hạnh cũng là một Bác sĩ cực kì tận tâm, chu đáo, luôn biết cách lắng nghe để hiểu được tâm lý và mong muốn của khách hàng, từ đó đưa ra kế hoạch điều trị phù hợp, giúp khách hàng có trải nghiệm thoải mái và hài lòng nhất.
Giới thiệu về Bác sĩ Bùi Lê Mỹ Hạnh
Bác sĩ Bùi Lê Mỹ Hạnh là một trong những Bác sĩ nha khoa uy tín và có nhiều kinh nghiệm. Hiện nay, Bác sĩ Hạnh đang hoạt động chuyên môn tại phòng Nha khoa thẩm mỹ của Nha khoa Nhân Tâm.
Bác sĩ Bùi Lê Mỹ Hạnh tốt nghiệp Đại học Y Dược TP.HCM năm 2017 với chuyên ngành Răng Hàm Mặt.
Sau khi ra trường, Bác sĩ tiếp tục tham gia các khóa đào tạo chuyên sâu về Chỉnh nha nâng cao tại Bệnh viện Trung ương Huế, Phẫu thuật nha chu tại Trung tâm Đào tạo YDS, OCTA digital concept tại PR JD Orthlieb, all on 4 total rehabilitation tại Paulo Malo.

Bác sĩ Bùi Lê Mỹ Hạnh và khách hàng nhí sau điều trị
Với chuyên môn vững vàng cùng kinh nghiệm dày dặn, Bác sĩ Hạnh có thể thực hiện các dịch vụ nha khoa chuyên sâu, bao gồm:
- Phục hình can thiệp tối thiểu
- Phục hình trên Implant
- Chỉnh nha, niềng răng thẩm mỹ
- Điều trị nội nha, các bệnh lý nha chu
- Chăm sóc và điều trị các bệnh lý răng miệng ở trẻ em
Bên cạnh đó, Bác sĩ Hạnh cũng là một người tận tâm, yêu nghề và luôn mong muốn mang đến cho khách hàng những trải nghiệm nha khoa tốt nhất. Phương châm nghề nghiệp của Bác sĩ Hạnh là:
Với sự yêu thương, tâm huyết và kỹ năng chuyên môn, tôi sẽ mang đến cho bạn nụ cười thật khỏe mạnh, tươi trẻ và rạng rỡ nhất. Tôi muốn được trở thành nha sĩ của sự tin tưởng, sự an tâm và sự hài lòng.
Nếu bạn đang tìm kiếm một Bác sĩ nha khoa giỏi, uy tín và tận tâm, Bác sĩ Bùi Lê Mỹ Hạnh là một lựa chọn hoàn hảo. Hãy đến Nha khoa Nhân Tâm để được Bác sĩ Hạnh tư vấn và điều trị.

Bác sĩ Hạnh luôn hết lòng vì khách hàng
Cảm nhận của khách hàng sau khi điều trị bởi Bác sĩ Bùi Lê Mỹ Hạnh
Không chỉ giỏi chuyên môn, Bác sĩ Hạnh còn được khách hàng đánh giá cao bởi sự tận tâm, chu đáo và nhiệt tình. Bác sĩ luôn lắng nghe mong muốn của khách hàng và đưa ra những giải pháp điều trị phù hợp nhất. Bác sĩ cũng luôn nhẹ nhàng và tỉ mỉ trong quá trình điều trị, giúp khách hàng cảm thấy thoải mái và yên tâm.
Bạn Nguyễn Lan Anh, sinh viên năm 3 Trường Đại học Tài nguyên và Môi trường sau khi niềng răng với Bác sĩ Bùi Lê Mỹ Hạnh tại Nha khoa Nhân Tâm đã chia sẻ:
"Trước đây răng của em bị khấp khểnh và hô nhiều, khiến em rất tự ti khi giao tiếp, nhưng vì sợ đau và em đang là sinh viên, điều kiện kinh tế không dư giả nên cứ trì hoãn việc niềng răng.
Sau khi được bạn bè giới thiệu và Bác sĩ Hạnh tư vấn dịch vụ niềng răng trả góp thì em đã quyết tâm chỉnh nha để thay đổi diện mạo.
Trong quá trình niềng em thấy rất thoải mái, Bác sĩ Hạnh làm rất nhẹ nhàng, không bị đau nhức như em vẫn nghĩ.
Và vì được chia nhỏ chi phí, thanh toán nhiều lần nên em cũng không bị áp lực nhiều về tài chính. Giờ đây em đã tự tin nở nụ cười và giao tiếp thoải mái với mọi người xung quanh. Em cảm ơn Bác sĩ Hạnh và Nha khoa Nhân Tâm rất nhiều.”

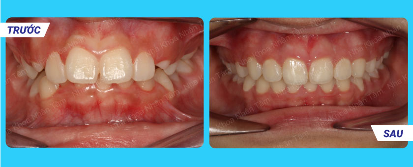
Hình ảnh hàm răng của khách hàng trước và sau khi được Bác sĩ Hạnh thực hiện niềng răng chỉnh nha
Khách hàng Phạm Thái Hòa cũng đã có những chia sẻ chân thành khi được điều trị bởi bác sĩ Hạnh. Anh chia sẻ: “Bác sĩ Hạnh đã có tư vấn rất nhiệt tình trong việc làm răng sứ cho tôi. Thời gian làm răng, bác sĩ Hạnh luôn tận tâm chăm sóc và thể hiện thái độ thân thiện với khách hàng”.

Lời cảm ơn khách hàng gửi tới bác sĩ Hạnh
Đọc thêm: Thạc sĩ, Bác sĩ Cao Thụy Nhật Thanh
Nếu bạn cũng đang gặp phải các khiếm khuyết hoặc bệnh lý về răng miệng gây ảnh hưởng đến sức khỏe và cuộc sống, hãy đến Nha khoa Nhân Tâm để được Bác sĩ Bùi Lê Mỹ Hạnh chăm sóc nụ cười của bạn!
*Chụp phim X-Quang hoặc phim 3 chiều CT Cone Beam là một bước quan trọng trong quy trình điều trị phục hồi răng. Vì vậy Khách hàng sẽ được Bác sĩ của nha khoa Nhân Tâm chỉ định đến các cơ sở y tế đủ chức năng để thực hiện trước khi điều trị.


