Trồng răng cửa bao nhiêu tiền đang là vấn đề thu hút nhiều sự quan tâm của khách hàng đang bị thiếu hụt răng cửa. Mời bạn tham khảo bảng giá chi tiết bên dưới để lựa chọn phương pháp trồng răng cửa thích hợp nhé
Có bao nhiêu phương pháp trồng răng cửa? Trồng răng cửa bao nhiêu tiền?
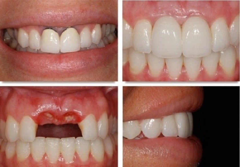
Trồng răng cửa bằng Implant
Cấy ghép răng bằng Implant chính là sử dụng chân răng nhân tạo (trụ Implant) để thay thế cho một hoặc nhiều chiếc răng bị mất trên hàm. Một răng Implant sẽ có cấu tạo gồm ba phần như sau:
– Trụ Implant được cấy ghép vào xương hàm được dùng để thay thế cho chân răng đã mất, được chế tạo bằng Titanium.
– Khớp nối Abutment: cũng được làm từ Titan hoặc sứ, một đầu được vít cố định vào trụ Implant, đầu còn lại được gắn vào chiếc răng sứ. Tạo nên sự kết nối giữa trụ Implant và răng sứ nằm bên trên.
– Răng sứ sẽ có cấu tạo gồm hai phần, khung sườn được làm từ kim loại hoặc sứ với lớp vỏ sứ phủ bên ngoài. Chúng được gắn cố định lên trụ Implant để phục hình lại thân răng.

Trồng răng cửa bằng Implant
Nhờ vào sự phát triển của kỹ thuật nha khoa hiện đại, việc cấy ghép răng Implant có thể áp dụng cho mọi tình huống bị mất răng: mất từ một, hai cho đến mất nguyên hàm răng. Cho đến thời điểm hiện tại, đây là phương pháp duy nhất có thể khôi phục cả thân và chân răng. Sau khi thực hiện, khách hàng sẽ có một chiếc răng mới với cấu tạo và chức năng giống hệt như răng thật, vẫn có chức năng bảo tồn xương hàm.
Ưu điểm
– Khôi phục được chức năng ăn nhai: Vì có chân răng nhân tạo, nên chức năng ăn nhai sẽ khôi phục toàn bộ.
– Khắc phục tiêu xương hàm: Sau khi cấy ghép xong, trụ Implant sẽ tích hợp toàn bộ vào xương hàm, giữ cho chúng không bị tiêu đi.
– Không ảnh hưởng đến răng kế bên: răng Implant sẽ tồn tại độc lập trong xương hàm, không xâm lấn các răng kế bên.
– Mang tính thẩm mỹ cao: Răng Implant có cấu tạo giống như những chiếc răng thật mọc tự nhiên từ nướu. Giá trị thẩm mỹ sẽ không bị thay đổi theo thời gian.
– Thời gian sử dụng: Nếu bạn được cấy ghép đúng kỹ thuật, trụ Implant có thể tồn tại vĩnh viễn trong xương hàm, duy trì suốt đời không cần thay thế.
– Vệ sinh dễ dàng: Vệ sinh và chăm sóc răng Implant cũng không khác biệt so với răng thật.
Nhược điểm
Chi phí cấy ghép răng Implant khá cao, dao động 19.000.000 VNĐ/răng - 34.000.000 VNĐ/răng. Nhưng nếu xét về thời gian sử dụng và hiệu quả phục hình thì mức chi phí này hoàn toàn hợp lý.
Trồng răng cửa bằng sứ
Trong cách bắc cầu sứ, cầu răng giả sẽ được bắt ngang qua chỗ răng bị khuyết và được gắn cố định lên hai răng kế bên đã được mài trước đó. Sau đó lấp đầy khoảng trống răng bị mất trong cung hàm, cải thiện chức năng ăn nhai và thẩm mỹ.
Ưu điểm
– Thời gian thực hiện nhanh chóng: Tổng thời gian thực hiện chỉ tốn khoảng 2 – 4 ngày, rất tiện lợi cho khách hàng bận rộn và không có nhiều thời gian.
– Tính thẩm mỹ cao: Răng sứ có màu rất tự nhiên, chân thật, đặc biệt là các loại răng sứ như Emax, Zirconia và HI – Zirconia có độ bóng như răng thật nên rất khó biết được.
– Vệ sinh dễ dàng: Vì răng sứ được gắn cố định trên hàm nên việc vệ sinh rất dễ dàng, thao tác như răng thật.

Trồng răng cửa bằng sứ
Nhược điểm
Sau một khoảng thời gian sử dụng, phần xương hàm bên dưới cầu răng có thể bị tiêu hõm đi, để lộ một phần khoảng trống giữa nướu và răng, khá mất thẩm mỹ. Ngoài ra, răng thật bị mài mòn sẽ yếu dần đi. Sau một thời gian, chúng sẽ không khỏe để làm trụ răng nữa. Lúc này bạn nên đi thay cầu răng sứ mới để đảm bảo chức năng nhai và tính thẩm mỹ.
Trồng răng cửa bao nhiêu tiền với phương pháp bắc cầu răng sứ sẽ tùy thuộc vào tình trạng răng của mỗi người, số lượng răng cần trồng, loại răng sứ mà bạn lựa chọn,... Trung bình giá răng sứ sẽ dao động từ 2.800.000 VNĐ/răng - 7.500.000 VNĐ/răng.
Trồng răng cửa bằng hàm tháo lắp
Răng giả tháo lắp là phương pháp khá cổ điển, được dùng để phục hình răng cửa cho người cao tuổi. Được dùng trong trường hợp khách hàng không muốn mài răng hay cấy ghép Implant.
Kỹ thuật thực hiện răng giả tháo lắp là bác sĩ sẽ gắn một tổ hợp gồm nướu và răng giả lên vị trí răng bị mất, giúp lấp đầy chỗ bị khuyết trên cung hàm.

Trồng răng cửa bằng hàm tháo lắp
Ưu điểm
– Thực hiện nhanh chóng: Thời gian làm răng giả tháo lắp mất khoảng 2 – 4 ngày.
– Chi phí rẻ: Đây là phương pháp có chi phí thấp nhất trong các phương pháp nêu trên, chỉ từ 300.000 – 500.000đồng/ một răng.
Nhược điểm
Do phần nướu của răng giả tháo lắp được làm bằng nhựa nên sẽ không được tự nhiên, dễ nhận biết. Ngoài ra răng giả được gắn lên nướu thật, không có chân răng và trụ Implant nâng đỡ nên khả năng chịu lực không cao.
Cách để trồng răng cửa với mức giá ưu đãi
Nha khoa Nhân Tâm là một địa chỉ trồng răng đáng tin cậy, được nhiều khách hàng đánh giá cao. Ở đây giá cả sẽ được niêm yết rõ ràng về từng dịch vụ, giảm thiểu tình trạng tiền mất tật mang. Bên cạnh đó, Nha khoa Nhân Tâm còn đáp ứng đầy đủ máy móc, trang thiết bị hiện đại, đặc biệt là đội ngũ bác sĩ có chuyên môn giỏi, kinh nghiệm dày dặn.
Nha khoa sẽ có chế độ bảo hành chuyên nghiệp giúp khách hàng được sử dụng dịch vụ an toàn. Tránh trường hợp phải trồng lại răng làm tốn nhiều chi phí như ở các cơ sở chui hoặc trái phép. Ngoài ra, các bạn có thể theo dõi chương trình khuyến mãi trên trang mạng xã hội, Website nha khoa Nhân Tâm để được hưởng mức giá hấp dẫn.
Trồng răng cửa bao nhiêu tiền sẽ có sự chênh lệch tùy vào từng cơ sở và phương pháp trồng răng do khách hàng lựa chọn. Để biết cụ thể chi phí trồng răng cửa bao nhiêu thì các bạn nên đến trực tiếp nha khoa Nhân Tâm để được tư vấn cụ thể nhé!





