Nguyên tắc cơ bản khi đeo hàm duy trì sau chỉnh nha liệu khách hàng đã biết đến hay chưa? Hàm duy trì sau chỉnh nha đóng vai trò rất quan trọng và sẽ tiếp tục đồng hành với khách hàng trong một khoảng thời gian tương đối dài sau khi đã tháo mắc cài. Đeo hàm duy trì sau chỉnh nha cũng vô cùng quan trọng không kém so với việc đeo khí cụ chỉnh nha.
Thời gian đeo hàm duy trì
Đây là một trong những nguyên tắc cơ bản khi thực hiện đeo hàm duy trì chỉnh nha mà bạn nên tuân thủ để mang lại một kết quả duy trì tốt nhất, cho dù là sử dụng niềng răng bằng mắc cài thường hay những vật liệu cao cấp.
Khi bắt đầu đeo hàm duy trì sau niềng răng, bạn cần phải tuân thủ mang khí cụ suốt 24/24 và không được tự ý tháo ra. Thời gian này có thể kéo sẽ dài từ 3 đến 4 tuần tùy thuộc vào tình trạng răng miệng của bạn. Sau khoảng thời gian đầu này, thời gian đeo hàm duy trì trong ngày sẽ được giảm đi đáng kể, bạn không nhất thiết phải đeo 24/24 nữa mà thời gian có thể ít hơn và còn có thể tháo rời hay đeo lại vào bất cứ khi nào bạn muốn.
Kỹ thuật tháo lắp
Đối với việc thực hiện tháo lắp hàm duy trì, bạn cũng cần phải tuân thủ theo mọi hướng dẫn của bác sĩ một cách nghiêm ngặt. Nếu bạn sử dụng các loại hàm gắn với vít cố định vào răng, việc tháo lắp nên do Bác sĩ trực tiếp thực hiện hoặc dưới sự chỉ dẫn của Bác sĩ và bạn phải thực hiện một cách nhẹ nhàng và đúng thao tác.
Còn nếu bạn sử dụng hàm duy trì chất liệu máng nhựa thì việc tháo rời sẽ đơn giản hơn nhiều và bạn còn có thể tự thực hiện tại nhà. Tuy nhiên, không được tháo khí cụ duy trì quá lâu, bạn phải đeo lại ngay sau đó nhằm đảm bảo răng được ổn định, nhất là trong giai đoạn đầu mới đeo.
Vệ sinh hàng ngày đúng cách

Vệ sinh hàm đúng cách như khi niềng răng
Trong quá trình đeo mắc cài niềng răng, cách bạn vệ sinh răng miệng như thế nào thì cũng nên thực hiện tương tự như thế đối với hàm duy trì sau niềng răng. Bạn nên chú ý chải răng thật sạch sẽ, kết hợp dùng chỉ nha khoa, nước súc miệng để làm sạch răng miệng kỹ càng hơn vì thức ăn cũng dễ bị mắc vào khí cụ duy trì và khó làm sạch.
Xem thêm: Niềng 2 răng cửa mất bao lâu?
Tái khám đúng lịch hẹn
Tái khám định kỳ theo đúng với lịch hẹn với Bác sĩ là một nguyên tắc vô cùng quan trọng, bởi còn đeo hàm duy trì có nghĩa là bạn vẫn còn đang trong giai đoạn phải được theo dõi thường xuyên.
Việc tái khám định kỳ sẽ giúp Bác sĩ đánh giá được mức độ ổn định của hàm răng sau khi niềng chỉnh có tốt hay không, có phát sinh các vấn đề nào không.

Nên tái khám tại nha khoa đúng lịch hẹn
Nếu răng của Bệnh nhân chưa thực sự ổn định thì Bác sĩ sẽ phải xác định rõ nguyên nhân, do hàm duy trì hay là do cách sử dụng chưa đúng. Nếu nguyên nhân là do hàm duy trì không vừa vặn thì cần thực hiện thiết kế lại, nếu do cách gắn cố định thì nên điều chỉnh lại, còn do người bệnh đeo hàm không đúng cách thì Bác sĩ sẽ hướng dẫn lại.
Nhìn chung, quá trình dùng hàm duy trì sau niềng răng sẽ dễ chịu hơn so với khi đeo mắc cài. Tuy nhiên, bạn cũng nên tuân thủ theo những nguyên tắc cơ bản khi đeo hàm duy trì để có thể mang lại kết quả tốt nhất, giúp rút ngắn đi thời gian đeo.
Các loại hàm duy trì sau niềng răng
Hiện nay có 2 loại hàm duy trì được sử dụng phổ biến nhất là hàm duy trì tháo lắp và hàm duy trì cố định.
Hàm duy trì tháo lắp
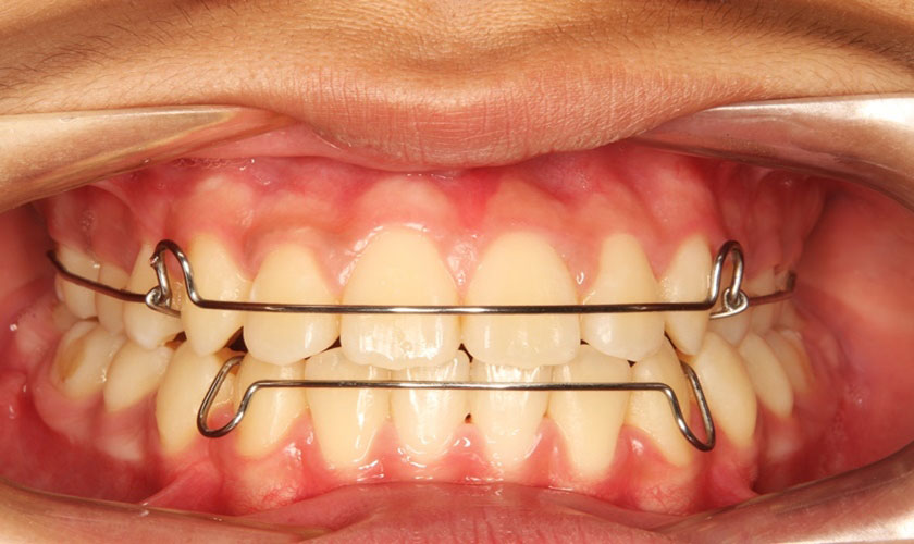
Loại hàm duy trì tháo lắp được sử dụng khá phổ biến, nhất là khí cụ có tên Hawley bao gồm cung môi nằm bên ngoài, nối răng nanh ở bên này và răng nanh bên kia của cùng một hàm, được móc trên răng cối và nền nhựa phủ niêm mạc. Nhờ đó loại hàm duy trì này giúp tạo một mặt phẳng cắn chuẩn, giúp ăn nhai thuận lợi, dễ dàng.
Tuy nhiên giữa răng nanh với răng cối sẽ gây ra một khe hở nên hàm phải được biến thể, hàn thanh ngang của móc Adams với cung môi để khắc phục tình trạng hở kẽ răng đó.
Ngoài hàm Hawley, bạn còn có thể chọn dùng hàm duy trì cơ bản với hai nền nhựa ôm hai mặt trong và ngoài của răng, giữ cho răng ổn định. Tuy nhiên loại hàm này sẽ phần nào gây khó chịu hơn, ăn nhai cũng không thuận lợi.
Hàm duy trì cố định

Hàm duy trì cố định thích hợp để duy trì răng cửa hàm dưới
Bác sĩ sẽ chỉ định loại hàm này cho khách hàng trong các trường hợp duy trì răng cửa hàm dưới đang tăng trưởng hoặc duy trì đóng khe hở… Hàm sẽ được gắn vào mặt bên trong của răng hoặc được hàn vào khâu gắn trên răng nanh hay còn được gọi là thanh lưỡi.
Nếu bạn còn có bất kỳ thắc mắc nào, hãy liên hệ trực tiếp với Trung tâm Nha khoa Nhân Tâm để được các chuyên gia tư vấn chi tiết và nhanh chóng nhất.
*Chụp phim X-Quang hoặc phim 3 chiều CT Cone Beam là một bước quan trọng trong quy trình điều trị phục hồi răng. Vì vậy Khách hàng sẽ được Bác sĩ của nha khoa Nhân Tâm chỉ định đến các cơ sở y tế đủ chức năng để thực hiện trước khi điều trị.




