Trồng răng Implant là một dịch vụ cấy ghép răng mất trong nha khoa hiện đại, mang lại nụ cười rạng rỡ tự tin cho khách hàng. Chi phí trồng răng Implant nhìn chung cao hơn so với những phương pháp phục hồi răng mất khác.
Do vậy, để biết trồng răng Implant giá có quá đắt không, khách hàng nên lựa chọn những cơ sở nha khoa uy tín để được tư vấn chính xác nhất.
Một trong những phòng khám nha khoa nổi tiếng cả nước về chất lượng dịch vụ cung như uy tín mang lại cho khách hàng là nha khoa Nhân Tâm tại TP.HCM.
Là nơi tập hợp đội ngũ bác sĩ có chuyên môn cao và giàu kinh nghiệm lâm sàng, nha khoa Nhân Tâm luôn là sự lựa chọn tin cậy của khách hàng trong và ngoài nước.
Trồng răng Implant có chi phí cao hơn vì sao?
Trồng răng Implant là một thủ thuật có xâm lấn trong miệng, quá trình thực hiện dịch vụ này cần sự hỗ trợ của rất nhiều các yếu tố về nhân lực và vật lực bao gồm các bác sĩ, trợ thủ có chuyên môn cao, trang thiết bị, dụng cụ, vật liệu đầy đủ, công nghệ hiện đại để kết quả cấy ghép đạt hiệu quả cao nhất có thể.
Do vậy, chi phí của dịch vụ này thường cao hơn so với một số phương pháp phục hồi răng mất khác, bởi:
- Đây là một dịch vụ được thực hiện bởi những bác sĩ có trình độ chuyên môn cao, giàu kinh nghiệm, được đào tạo chuyên sâu sau Đại học trong lĩnh vực cấy ghép Implant.
- Là thủ thuật có xâm lấn trong miệng, cần sử dụng đến sự hỗ trợ của nhiều dụng cụ, vật liệu để quá trình cấy ghép đạt hiệu quả cao nhất.
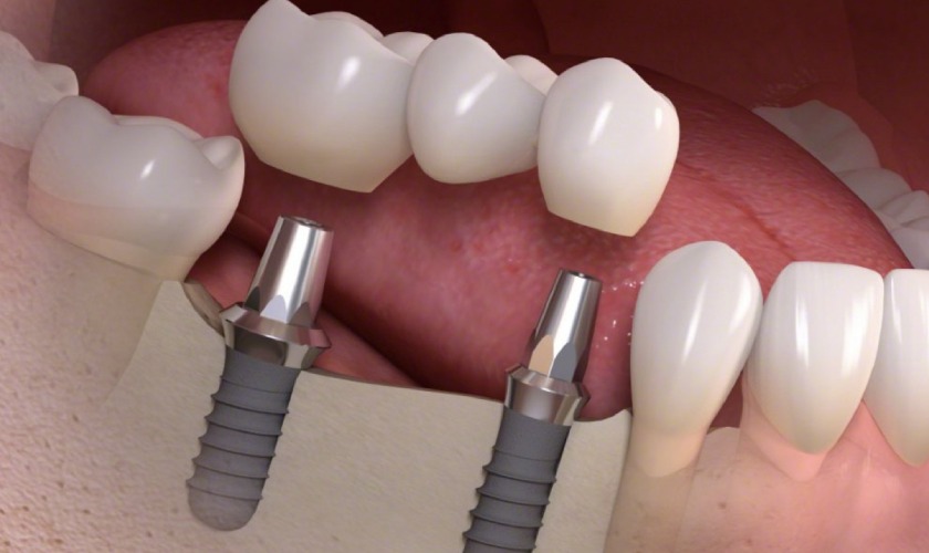
- So với những phương pháp phục hồi khác, răng Implant có nhiều ưu điểm nổi trội hơn về mặt thẩm mỹ, chức năng, bền theo thời gian,… Đặc biệt là trồng răng Implant có khả năng ngăn chặn sự tiêu xương hàm do mất răng, đây là một ưu điểm mà không phương pháp phục hình răng nào có được.

Răng Implant mang lại thẩm mỹ cao
Trồng răng Implant có quá đắt không?
Chi phí thực hiện trồng răng Implant cao hơn so với các phương pháp trồng răng khác rất nhiều lần. Tuy nhiên so với chất lượng, tính thẩm mỹ thì mức giá này là tương xứng.
Thực tế, chi phí trồng răng Implant thường cao hơn so với những phương pháp phục hồi răng mất khác. Tuy nhiên để có thể biết được chi phí bỏ ra cho dịch vụ này có quá đắt không, chúng ta cần so sánh về sự tương xứng giữa chi phí và hiệu quả mà dịch vụ này mang lại.
Hiện nay, có rất nhiều phòng khám nha khoa quảng cáo dịch vụ cấy Implant với giá rất rẻ, xong, khách hàng nên tìm hiểu cẩn thận và lựa chọn cho mình một phòng khám thực sự uy tín, chất lượng.

Công nghệ định vị cấy ghép Implant hiện đại
Xem thêm: Cắm Implant là như thế nào? Cấu tạo và đặc điểm răng Implant
Chi phí cấy ghép Implant hợp lý – nên tới đâu?
Tại TP.HCM, một trong những cơ sở cấy ghép Implant nổi tiếng được nhiều khách hàng trong và ngoài nước lựa chọn là nha khoa Nhân Tâm, bởi:
Đội ngũ bác sĩ trình độ chuyên môn cao, nhiều năm kinh nghiệm:
Khách hàng khi tới trồng răng tại đây sẽ được chuyên gia hàng đầu trong lĩnh vực Implant là TS.BS Võ Văn Nhân khám, tư vấn và thực hiện dịch vụ.
Cơ sở, vật chất trang thiết bị hiện đại , được đầu tư thường xuyên và liên tục được cập nhật:
Đây có lẽ là điểm tạo nên sự khác biệt của nha khoa Nhân Tâm so với nhiều phòng khám khác trong khu vực và trên cả nước để đảm bảo đáp ứng tốt nhất cho nhu cầu của khách hàng.
Áp dụng công nghệ cao trong điều trị:
Nha khoa Nhân Tâm là một trong số rất ít những phòng khám lớn khác trên cả nước sử dụng công nghệ định vị cấy ghép giúp quá trình này diễn ra một cách nhanh chóng, chính xác. Không chỉ trong lĩnh vực Implant, tất cả các dịch vụ khác tại đây đều được áp dụng công nghệ hiện đại bậc nhất.
Chi phí hợp lý:
Khách hàng khi tới thực hiện dịch vụ tại nha khoa Nhân Tâm không cần phải lo lắng về vấn đề chi phí bởi phòng khám luôn tạo điều kiện cho khách hàng một cách tối đa, khách hàng thậm chí có thể trả góp với lãi suất 0%.

Khách hàng tới cấy ghép Implant tại nha khoa Nhân Tâm
Trên đây là toàn bộ thông tin về trồng răng Implant giá có quá đắt không. Hi vọng, qua bài viết này khách hàng có thể hiểu rõ hơn về chi phí của dịch vụ này và lựa chọn cho mình một phòng khám phù hợp. Hãy liên hệ tới Hotline: 1900 56 5678 để được tư vấn miễn phí nếu các bạn còn bất kỳ vấn đề gì cần được tư vấn.




