Trám răng cửa bị mẻ giá bao nhiêu trên thực tế sẽ có sự chênh lệch ít nhiều giữa các nha khoa khác nhau do nhiều yếu tố chi phối như trình độ y bác sĩ, hệ thống trang thiết bị, công nghệ, vật liệu trám răng sử dụng,…
Khi chọn lựa nha khoa, bạn đừng nên chỉ dựa vào bảng giá dịch vụ mà cần cân nhắc đến chất lượng, uy tín, bề dày kinh nghiệm để đảm bảo quy trình điều trị diễn ra an toàn và mang lại kết quả tốt.
Các bước trong quy trình trám răng cửa bị mẻ
Để hiểu rõ nhất về phương pháp này thì trước khi nói đến trám răng cửa bị mẻ giá bao nhiêu, hãy cùng Nha khoa Nhân Tâm tìm hiểu về các bước trong quy trình trám răng bị sứt mẻ nhé.
Bước 1: Khám tổng quát và tư vấn
Đầu tiên, bác sĩ sẽ khám răng tổng quát và xác định tình trạng răng miệng, mức độ sứt mẻ răng rồi đưa ra phương án trám răng hoặc phục hình thích hợp nhất.
Nếu phát hiện các bệnh lý như sâu răng, viêm nướu, viêm tủy, bác sĩ sẽ chỉ định chữa trị các bệnh lý này trước rồi mới trám răng.

Thăm khám và tư vấn khách hàng trước khi trám răng bị sứt mẻ
Bước 2: Làm sạch khoang miệng
Làm sạch khoang miệng trước khi trám răng rất quan trọng, bước này sẽ giúp loại bỏ vi khuẩn có hại và tránh hiện tượng lây nhiễm chéo. Từ đó, răng thật sẽ được bảo vệ tốt nhất và miếng trám cũng bền chắc hơn.
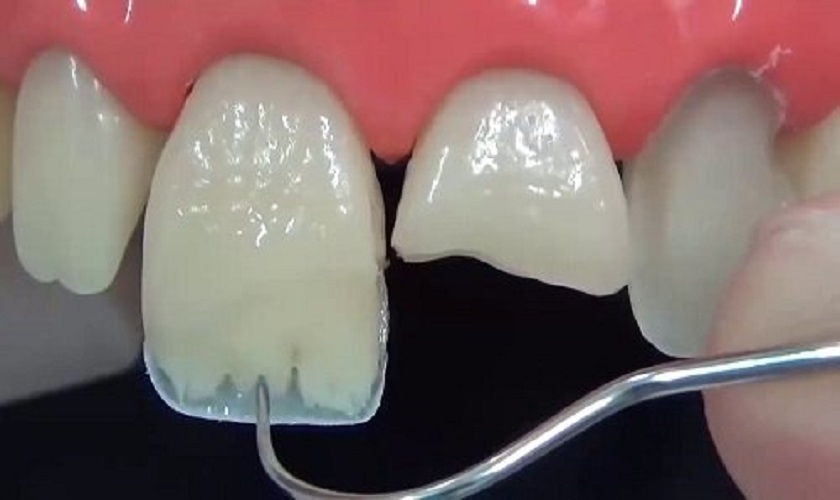
Bước 3: Trám răng
Khi vùng răng bị thương tổn đã được làm sạch thì bác sĩ sẽ tạo hình miếng trám bằng chất liệu nha khoa chuyên dụng và đắp lên răng. Bác sĩ sẽ tiếp tục mài chỉnh miếng trám để chúng có kích thước, hình dáng bằng với phần răng đã mẻ, đem lại vẻ đẹp thẩm mỹ tối ưu nhất và tránh cảm giác khó chịu, cộm vướng.

Kết quả trám răng cửa bị mẻ bằng vật liệu trám răng thẩm mỹ tại nha khoa
Bước 4: Hướng dẫn chăm sóc và hẹn lịch tái khám
Sau khi việc hàn trám răng đã hoàn thiện thì bác sĩ sẽ hướng dẫn khách hàng cách chăm sóc răng để miếng trám bền đẹp trong thời gian dài. Ngoài ra, bạn cần tái khám định kỳ sau mỗi 6 tháng hoặc theo lịch hẹn của bác sĩ để đánh giá độ bền của răng đã trám và kiểm soát các bệnh lý liên quan đến răng miệng.
Trám răng cửa bị mẻ giá bao nhiêu?

Trám răng cửa bị mẻ giá bao nhiêu sẽ phụ thuộc vào nhiều yếu tố
Trám răng cửa bị mẻ giá bao nhiêu trên thực tế sẽ có sự chênh lệch ít nhiều giữa các nha khoa khác nhau do nhiều yếu tố chi phối. Nếu thực hiện tại các cơ sở chất lượng kém, công nghệ lạc hậu, bác sĩ ít kinh nghiệm, tay nghề kém thì giá trám răng cửa bị mẻ sẽ thấp hơn nhưng kết quả đem lại rất khó đạt được như ý muốn.
Vì vậy khi chọn lựa nha khoa, bạn đừng nên chỉ dựa vào bảng giá dịch vụ mà cần cân nhắc đến chất lượng, uy tín, bề dày kinh nghiệm, hệ thống trang thiết bị để đảm bảo quy trình điều trị diễn ra an toàn và mang lại kết quả tốt.

Cân nhắc và chọn lựa nha khoa tốt trước khi quyết định sử dụng dịch vụ
Hiện nay, Nha khoa Nhân Tâm là địa chỉ nha khoa tốt nhất Sài Gòn, được cả giới chuyên môn và đông đảo khách hàng đánh giá cao. Là nơi quy tụ các chuyên gia đầu ngành, được đầu tư đầy đủ các trang thiết bị công nghệ hiện đại với hơn 25 năm kinh nghiệm trong chăm sóc, điều trị và thẩm mỹ nha khoa, Nhân tâm là địa đến đáng tin cậy dành cho bạn khi có nhu cầu hàn trám hoặc khắc phục các vấn đề khác về răng miệng.
Sau đây là bảng báo giá trám răng cửa bị mẻ tại Nha khoa Nhân Tâm mà quý khách hàng có thể tham khảo:
Với các thông tin cập nhật ở trên, chắc hẳn các bạn đã nắm rõ quá trình thực hiện cũng như trám răng cửa bị mẻ giá bao nhiêu rồi phải không? Đây là kỹ thuật thẩm mỹ răng đơn giản, nhanh chóng và an toàn nhưng không phải là biện pháp tối ưu trong tất cả trường hợp. Do đó, bạn hãy trực tiếp ghé qua Nha khoa Nhân Tâm tại 807 Đường 3/2, Phường 7, Quận 10, Thành phố Hồ Chí Minh để xác định chính xác tình trạng của mình có phù hợp với kỹ thuật trám không nhé, các bác sĩ tại đây luôn sẵn sàng hỗ trợ bạn miễn phí.



