Niềng răng trong suốt và niềng răng mắc cài
Điểm giống nhau
2 phương pháp niềng răng đều được thiết kế để đạt được mục đích nắn chỉnh răng, cải thiện thẩm mỹ của răng và sức khỏe răng miệng.
Cả trẻ em lẫn người lớn đều có thể sử dụng cả 2 phương pháp điều trị chỉnh nha này.
Điểm khác nhau
Niềng răng trong suốt:
- Niềng răng trong suốt:
- Sử dụng nhiều khay niềng răng trong suốt, có thể dễ dàng tháo rời.
- Tính thẩm mỹ rất cao, khay niềng gần như vô hình, người khác khó mà nhận ra.
- Vệ sinh nhanh chóng và dễ dàng bằng hệ thống làm sạch chuyên dụng Invisalign.
- Dễ dàng tháo lắp thuận tiện trong sinh hoạt hằng ngày và vệ sinh răng miệng.
- Không gây cản trở trong hoạt động ăn nhai.
Niềng răng mắc cài:
- Sử dụng các khí cụ chỉnh nha như dây cung và mắc cài để chỉnh thẳng răng.
- Tính thẩm mỹ không được cao, dễ nhìn thấy trong quá trình đeo niềng.
- Quy trình vệ sinh khá phức tạp và mất thời gian.
- Không thể tự tháo lắp như niềng răng trong suốt, dễ cọ xát vào má gây đau, nhiệt miệng.
- Dễ bị mắc thức ăn.
- Hiệu quả hơn trong những trường hợp chỉnh nha phức tạp.
Niềng răng trong suốt
Thay vì phải sử dụng hệ thống các mắc cài, dây cung, phương pháp niềng răng trong suốt invisalign sử dụng các khay niềng trong suốt, ôm khít vào răng, tạo một lực dịch chuyển và sắp xếp lại vị trí của các răng bị lệch lạc. Các khay niềng này còn có thể tháo được lắp dễ dàng trong quá trình sử dụng nên vô cùng thuận tiện khi ăn uống và vệ sinh răng miệng.

Niềng răng trong suốt invisalign
- Tính thẩm mỹ cao: Loại khay niềng này gần như vô hình, bạn sẽ không cảm thấy e ngại hay lo lắng sẽ gây sự chú ý khi đang đeo khay niềng.
- Vệ sinh đơn giản, thoải mái khi đeo: Vệ sinh khay niềng đơn giản với bàn chải thông thường. Phương pháp niềng răng trong suốt không yêu cầu bạn phải đeo khí cụ như mắc cài, thun hay vòng niềng nên tình trạng vướng, cộm sẽ không nhiều.
- Dễ dàng tháo, lắp khay niềng: Tính tiện lợi cao, có thể tháo khay niềng trong lúc ăn uống hay lúc vệ sinh răng miệng, sau đó tự lắp lại một cách dễ dàng. Đây là một việc gần như không thể đối với các phương pháp niềng truyền thống khác.
Niềng răng mắc cài
Đây là phương pháp chỉnh nha gắn cố định một hệ thống mắc cài, dây cung lên răng, tạo lực giúp di chuyển răng về đúng vị trí mong muốn. Có khá nhiều loại niềng răng mắc cài khác nhau bao gồm:
Mắc cài kim loại
Khung niềng bằng kim loại có kết cấu tương đối vững chắc, lực tác động từ mắc cài và thun giúp cho việc chỉnh răng về đúng vị trí trở nên dễ dàng hơn.
Mắc cài sứ

Niềng răng mắc cài sứ
Nhờ vào những đặc điểm sử dụng mắc cài và dây thun trùng với màu răng thật nên niềng răng mắc cài sứ đạt được hiệu quả tương đối cao về mặt thẩm mỹ, khách hàng sẽ cảm thấy tự tin và thoải mái hơn trong khi giao tiếp hằng ngày. Niềng răng mắc cài sứ phù hợp đa số khách hàng đã đi làm, muốn sở hữu hàm răng đẹp mà vẫn đảm bảo về mặt thẩm mỹ lẫn tài chính.
Mắc cài có khóa
Niềng răng mắc cài có khóa được thiết kế với các chốt (bằng kim loại hoặc sứ) có thể được đóng mở linh động giúp cố định các dây cung trong rãnh mắc cài. Các dây cung cũng có thể tự do trượt trong rãnh mắc cài này, giúp duy trì một lực ổn định hơn, đặc biệt lực ma sát sẽ được giảm thiểu tối đa, dây cung cũng ít bị bung tuột hơn nên giảm được thời gian phải đi nắn chỉnh dây cung tại nha khoa.
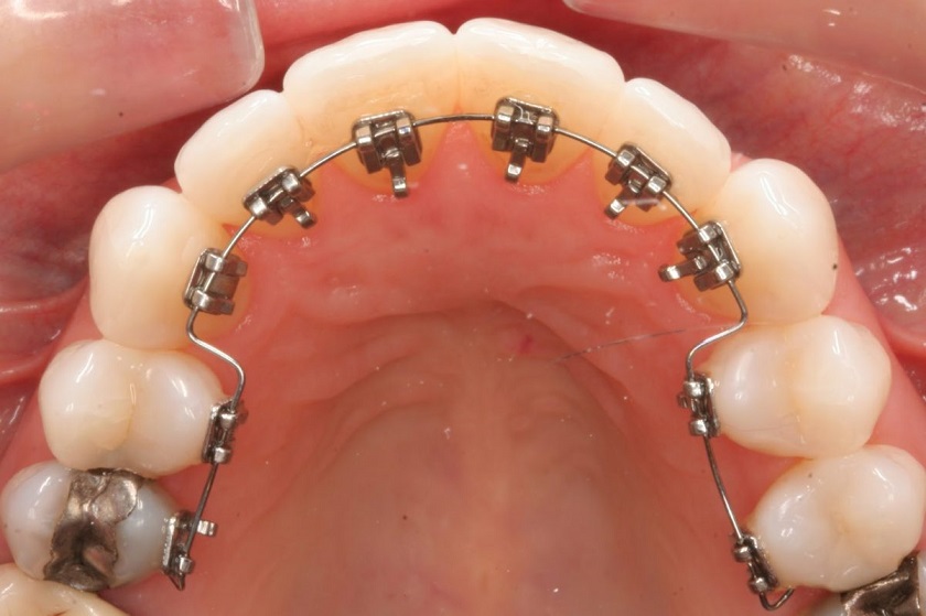
Mắc cài mặt trong (mặt lưỡi)

Niềng răng mắc cài mặt trong
Niềng răng mắc cài mặt trong là khi mắc cài được gắn ở phía mặt trong của răng. Việc này sẽ giúp tăng hiệu quả thẩm mỹ khá cao của răng hàm. Người sử dụng có thể thoải mái giao tiếp mà không lo sợ bị lộ mắc cài như những mắc cài niềng răng thông thường trên. Do đó, niềng răng mặt trong sẽ là phương pháp phù hợp với các trường hợp như người bị hô, móm nhẹ. Hoặc người có răng bị khấp khểnh, răng thưa cũng như trường hợp sai lệch khớp cắn.
Ưu điểm
Tính thẩm mỹ cao: phương pháp niềng răng mắc cài mặt trong đem lại tính thẩm mỹ cao, bởi vì hệ thống mắc cài được gắn ở mặt trong của răng. Do đó người đeo niềng không bị lộ mắc cài trong quá trình chỉnh nha, mọi người sẽ cảm thấy tự tin hơn khi giao tiếp hàng ngày.
Phương pháp niềng răng mặt trong cũng giúp khách hàng rút ngắn thời gian niềng răng. Tùy vào tình trạng cơ địa của mỗi người mà thời gian niềng răng sẽ được rút ngắn hơn so với các phương pháp niềng khác. Thời gian trung bình để thực hiện niềng răng mặt trong đem lại hiệu quả là khoảng 16 đến 18 tháng.
Nhược điểm
Bất tiện trong hoạt động ăn uống và vệ sinh mỗi ngày. Nguyên nhân là do các mắc cài chạm vào bên trong lưỡi gây kích ứng lưỡi trong quá trình niềng răng.
Gây khó khăn khi giao tiếp: thông thường các phương pháp niềng răng khác sẽ khiến răng bị cộm gây cảm giác khi nói chuyện, và khi đeo niềng răng mắc cài mặt trong sẽ khiến bạn khó chịu hơn. Bởi vì lúc này dây cung và mắc cài sẽ trực tiếp chạm vào lưỡi gây ảnh hưởng đến khả năng phát âm.
Hy vọng thông qua bài viết về niềng răng trong suốt và niềng răng mắc cài, phòng khám nha khoa Nhân Tâm đã giúp bạn giải đáp được phần nào những thắc mắc về vấn đề liên quan đến niềng răng. Nếu bạn muốn được tư vấn thêm về các vấn đề về niềng răng thì hãy liên hệ với chúng tôi.
*Chụp phim X-Quang hoặc phim 3 chiều CT Cone Beam là một bước quan trọng trong quy trình điều trị phục hồi răng. Vì vậy Khách hàng sẽ được Bác sĩ của nha khoa Nhân Tâm chỉ định đến các cơ sở y tế đủ chức năng để thực hiện trước khi điều trị.



