Nong hàm bằng dây cung hoặc nong hàm nhanh, chậm, nong hàm có Mini-Implant hỗ trợ là các biện pháp nong hàm sử dụng trong nha khoa hiện nay. Những biện pháp này đều nhằm mục đích nới rộng vòm hàm phía trên, tạo điều kiện thuận lợi để niềng răng, hạn chế việc phải nhổ răng đối với các trường hợp cung hàm hẹp hoặc khớp cắn chéo.
Khái quát về biện pháp nong hàm
Nong hàm là biện pháp sử dụng các khí cụ đặc biệt để nới rộng vòm hàm bên trên, giúp khoang miệng rộng hơn, khoảng cách giữa các răng tăng lên, từ đó hạn chế việc nhổ răng trong quá trình chỉnh nha.
Kỹ thuật này thường được chỉ định cho trẻ em hoặc người dưới 18 tuổi. Người trưởng thành vẫn có thể áp dụng biện pháp này nhưng thời gian nong sẽ lâu hơn và hiệu quả đạt được cũng không bằng trẻ nhỏ.
Các phương pháp nong rộng hàm trong nha khoa hiện nay
Nong hàm nhanh
Nong hàm nhanh là cách sử dụng khí cụ có khả năng mở rộng vòm hàm mỗi ngày 0,5 – 1mm. Kxy thuật này chủ yếu tập trung vào mở rộng diện tích xương.
Do xương phát triển với độ nhanh hơn sự di chuyển của răng nên sẽ làm xuất hiện khoảng trống giữa 2 răng cửa. Khoảng trống này sẽ tự đóng lại theo thời gian nhưng răng sẽ dễ bị sai lệch và chen chúc vào nhau. Vậy nên, ngay sau khi nong rộng hàm nhanh bạn cần tiến hành niềng răng.

Khí cụ nong hàm nhanh
Nong hàm chậm
Trong phương pháp này, khí cụ sẽ được mở rộng từ từ mỗi tuần khoảng 1mm. Bạn sẽ được bác sĩ hướng dẫn cách vặn vít để tự thực hiện tại nhà, hạn chế số lần đến nha khoa, giúp bạn tiết kiệm thời gian hơn.
Bạn sẽ cần đeo khí cụ nong hàm chậm khoảng 10 tuần. Lúc này tốc độ phát triển xương hàm sẽ tương đương với tốc độ dịch chuyển răng nên các răng sẽ không cách xa nhau quá và không bị đau nhiều.
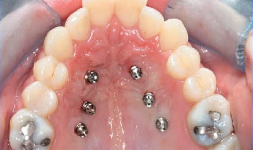
Nong hàm có hỗ trợ bởi Mini-Implant

Nong hàm có hỗ trợ bởi Mini-Implant
Kỹ thuật này áp dụng chủ yếu cho người trưởng thành. Vì lúc này đường sụn nối hai bên khuôn hàm đã cứng lại, việc ép chúng giãn ra tương đối khó khăn.
Bác sĩ sẽ cấy khoảng 2 – 4 chiếc Implant Mini vào giữa vòm hàm và kết nối chúng với các thiết bị chuyên dụng để nới rộng cung hàm.
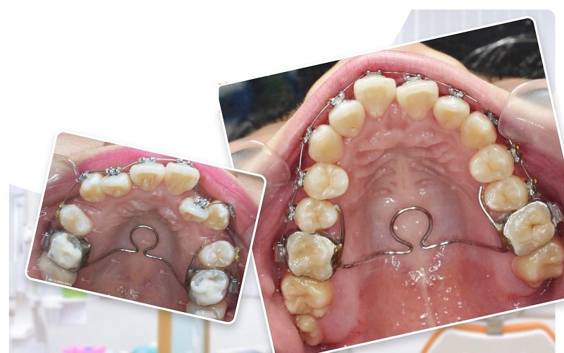
Nong hàm bằng dây cung
Nong hàm bằng dây cung phù hợp với các trường hợp răng mọc chen chúc nhẹ, tình trạng sai lệch không đáng kể. Tuy nhiên, hiệu quả đem lại từ biện pháp này không được cao. Nếu sau 5 đến 6 tháng nong hàm bằng dây cung mà không đạt kết quả thì cần sử dụng các khí cụ khác.

Nong hàm bằng dây cung
Các trường hợp cần nong rộng hàm
Cung hàm hẹp
Răng mọc lên có ngay ngắn và đúng vị trí hay không tùy thuộc rất nhiều vào diện tích cung hàm. Nếu khuôn hàm hẹp hoặc quá nhỏ thì sẽ không có đủ diện tích cho răng mọc, dẫn đến hiện tượng răng mọc lệch, chen chúc, làm mất tính thẩm mỹ của hàm răng.
Trong tình huống này, nếu muốn chỉnh nha thì bạn buộc phải tạo thêm khoảng trống nhằm sắp xếp lại các răng. Vì vậy, đôi khi sẽ cần nhổ răng. Biện pháp nong hàm sẽ giúp diện tích khuôn hàm tăng lên từ từ, tăng hiệu quả niềng răng và hạn chế nhổ răng.
Ngoài ra, khi cung hàm không có đủ chỗ trống cho mầm răng nhô lên sẽ dẫn đến nhiều vấn đề răng miệng khác. Thay vì phải nhổ bớt răng, bạn có thể lựa chọn nong rộng hàm để tạo khoảng trống cho răng mọc lên.
Khớp cắn chéo

Nong rộng hàm là biện pháp cần thiết để cải thiện khớp cắn chéo
Nới rộng hàm cũng có thể được áp dụng để cải thiện khớp cắn chéo. Khi gặp tình trạng này, phần hàm trên của khách hàng thường sẽ bị lệch hoặc nghiêng về 1 bên.
Vì vậy, việc sử dụng khí cụ để mở rộng diện tích hàm trên sẽ giúp đưa khớp cắn về lại trạng thái cân bằng, đảm bảo vòm hàm trên lớn hơn vòm hàm dưới và dễ dàng đưa răng quay lại vị trí đúng.
Trên đây là thông tin về kỹ thuật nong hàm bằng dây cung và các khí cụ khác trong chỉnh nha, hy vọng đã giúp bạn có cái nhìn cụ thể hơn và giải đáp được băn khoăn xoay quanh biện pháp này. Đây là một phương pháp yêu cầu bác sĩ phải có trình độ chuyên môn cao và được hỗ trợ bởi các thiết bị, máy móc hiện đại. Vậy nên, nếu có nhu cầu nong rộng hàm, bạn hãy tìm đến các địa chỉ nha khoa uy tín.



