Tùy vào từng trường hợp, từng tình trạng răng, từng phương pháp nhổ mà chi phí nhổ răng sẽ khác nhau. Ngoài ra, nhổ răng tốn bao nhiêu tiền cũng có sự chênh lệch giữa các trung tâm nha khoa tùy vào tay nghề của bác sĩ, hệ thống thiết bị hỗ trợ,… Vậy nên để biết chính xác nhất chi phí nhổ răng trong trường hợp của mình, bạn hãy tới trực tiếp phòng khám răng gần nhất và thăm khám, trao đổi với bác sĩ nhé.
Khi nào cần nhổ răng?
Nhổ răng được xếp vào tiểu phẫu nha khoa, đây gần như là chỉ định bắt buộc trong trường hợp răng hư hỏng hoặc sâu quá nghiêm trọng, không thể điều trị bảo tồn được nữa. Các trường hợp cần loại bỏ răng bao gồm:
Sâu răng nghiêm trọng
Nếu bạn chỉ bị sâu răng nhẹ, bác sĩ sẽ ưu tiên áp dụng các biện pháp trị liệu phục hồi, thông thường là trám răng hoặc bọc sứ. Răng tự nhiên chỉ bị loại bỏ khi chúng bị mẻ, vỡ, sâu hoàn toàn, dẫn đến viêm cuống chân răng, chết tủy. Trong những trường hợp như vậy, bạn cần tiến hành nhổ răng để tránh nguy cơ viêm toàn bộ cung hàm.
Viêm tủy răng
Viêm tủy răng nếu không được chữa trị sớm có thể gây nhiễm trùng lan rộng. Điều này làm cho các răng bị thương tổn nặng nề và ngày càng yếu dần đi. Nghiêm trọng hơn có thể gây hoại tử tủy răng. Lúc này, biện pháp khắc phục duy nhất là nhổ răng.
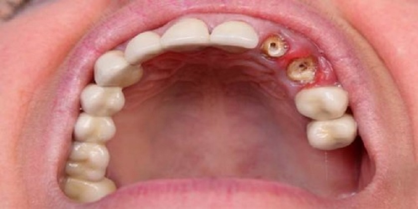
Răng gãy sát với nướu

Răng gãy sát với nướu cần nhổ bỏ
Khi răng bị vỡ, mẻ diện tích nhỏ, chân răng vẫn khỏe mạnh thì tùy vào mức độ, bác sĩ sẽ chỉ định bọc sứ hoặc trám răng nhằm bảo tồn răng thật. Tuy nhiên, xác suất giữ được răng bị gãy dưới nướu hoặc gần sát với nướu là cực kì thấp, thường phải loại bỏ.
Răng khôn mọc bất thường
Đối với các răng khôn (răng số 8) mọc ngầm, mọc lệch,… vừa không đảm nhận chức năng ăn nhai, vừa gây ra cảm giác khó chịu, đau nhức thì nên loại bỏ răng sớm để không gây ảnh hưởng tới các răng khác trên khuôn hàm.
Nhổ răng tốn bao nhiêu tiền?
Tùy vào từng trường hợp, từng tình trạng răng, từng phương pháp nhổ mà chi phí nhổ răng sẽ khác nhau. Ngoài ra, nhổ răng tốn bao nhiêu tiền cũng có sự chênh lệch giữa các trung tâm nha khoa tùy vào tay nghề của bác sĩ, hệ thống thiết bị hỗ trợ,… Vậy nên để biết chính xác nhất chi phí nhổ răng trong trường hợp của mình, bạn hãy tới trực tiếp phòng khám nha khoa gần nhất và thăm khám, trao đổi với bác sĩ.
Sau đây là bảng giá nhổ răng tại Nha khoa Nhân Tâm, bạn có thể tham khảo để biết được mức giá chung, từ đó chuẩn bị tốt hơn về mặt kinh tế:
Biện pháp chăm sóc răng sau nhổ
Sau khi nhổ răng, bạn sẽ được bác sĩ kê đơn thuốc giảm đau, chống viêm nếu cần thiết. Bạn cần tuân thủ hướng dẫn dùng thuốc và tuyệt đối không dùng thuốc khác khi chưa hỏi ý kiến bác sĩ.
Ê nhức, sưng, đau là các biểu hiện bình thường sau nhổ răng. Chúng kéo dài trong khoảng 3 đến 5 ngày tùy theo độ phức tạp của ca nhổ răng. Bạn có thể áp dụng biện pháp chườm lạnh lên vùng má, môi tương ứng với vị trí mới nhổ răng để làm giảm cơn đau, giảm sưng tấy.

Chườm lạnh sẽ giúp bạn làm giảm cơn đau và hiện tượng sưng tấy
Nếu sau nhiều ngày mà tình trạng đau, sưng vẫn không giảm đi, thậm chí nghiêm trọng hơn kèm theo nhiễm trùng thì bạn cần nhanh chóng thông báo cho bác sĩ để có biện pháp can thiệp sớm, tránh gây hại cho sức khỏe.
Trong thời gian đầu, bạn nên tránh khạc nhổ, không sử dụng rượu bia, cũng không được lơ là trong chăm sóc răng miệng, đánh răng tối thiểu 2 lần mỗi ngày và dùng thêm nước súc miệng để loại bỏ hoàn toàn mảng bám, vi khuẩn gây hại.
Có thể bạn quan tâm: Nhổ răng xong bị nhức – nguyên nhân và cách khắc phục
Trên đây là bài viết về chủ đề “Nhổ răng tốn bao nhiêu tiền? Khi nào cần nhổ?”. Nếu cần tư vấn thêm, quý khách hàng vui lòng liên hệ qua số điện thoại 1900 56 5678 hoặc tới trực tiếp Nha khoa Nhân tâm để được khám và tư vấn miễn phí nhé.



