Nhổ răng số 6 bao nhiêu tiền?
Nhổ răng số 6 thường nằm ở 2 trường hợp sau: nhổ răng thông thường và nhổ răng cần can thiệp chia nhỏ răng. Bác sĩ sẽ dựa vào kích thước của răng để có thể đưa ra cách nhổ phù hợp.
Hiện tại, với câu hỏi nhổ răng số 6 bao nhiêu tiền thì tại phần lớn các cơ sở nha khoa có giá dao động từ 500.000 đồng – 1.000.000 đồng.
Các chi phí đã nêu ở trên đã bao gồm tiền thăm khám và cả thuốc kháng sinh sau khi nhổ răng.
Quy trình nhổ răng thứ 6
Thăm khám và chụp X-Quang
Trước khi bắt đầu quy trình nhổ răng thứ 6, bác sĩ sẽ tiến hành thăm khám và chụp X-quang để biết được tổng quan tình trạng thực tế của răng, từ đó sẽ đưa ra quyết định có nên nhổ răng số 6 hay không.
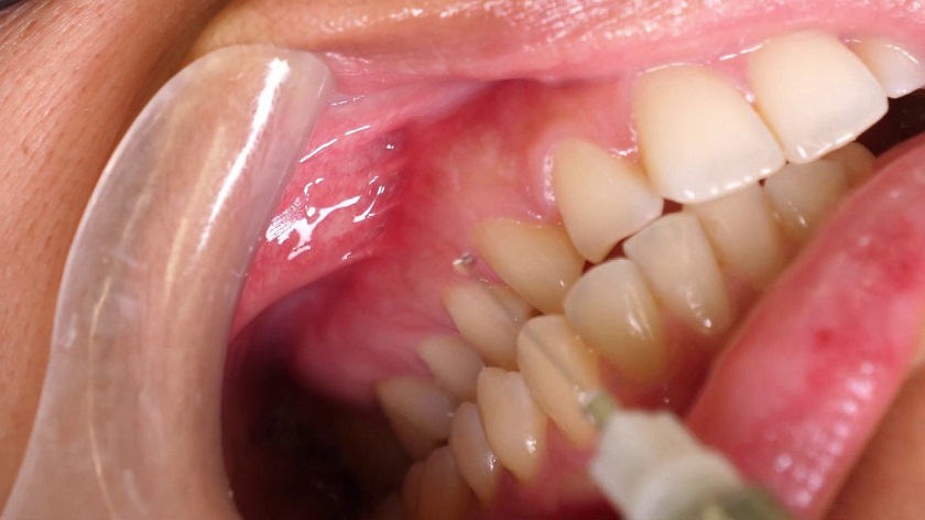
Gây tê cục bộ tại vùng răng số 6
Bác sĩ sẽ thực hiện gây tê cục bộ ở khu vực xung quanh răng số 6. Sau khi tiêm thuốc tê tầm 30 giây, khách hàng sẽ hoàn toàn mất đi cảm giác tại khu vực răng cấm.

Tiến hành gây tê cục bộ tại vùng răng số 6
Lung lay phần chân răng và bắt đầu nhổ răng
Với công nghệ tiên tiến hiện nay, bác sĩ sẽ dùng đến sóng siêu âm để làm đứt gãy những liên kết dưới chân răng trước. Sau đó mới bắt đầu thực hiện nhổ răng bằng kìm thông thường.
Cầm máu và hoàn tất quy trình nhổ răng số 6
Sau khi đã nhổ răng số 6, khách hàng sẽ được ngậm loại bông tự tiêu hoặc là bông gòn để cầm máu. Tiếp đó, bác sĩ sẽ theo dõi những tình trạng của khách hàng trong khoảng 15 đến 20 phút. Nếu không có bất kỳ vấn đề bất thường gì xảy ra, bác sĩ sẽ kê đơn thuốc và dặn dò những lưu ý sau khi nhổ răng cho khách hàng.
Nhổ răng số 6 có đau không?
Thực tế, nhổ răng số 6 gây đau quá nhiều như nhiều mọi người thường nghĩ. Bởi trước khi nhổ bác sĩ sẽ tiêm thuốc gây tê nên không có bất cứ hiện tượng đau nhức, khó chịu nào.
Sau khi thuốc tê hết tác dụng, khách hàng n sẽ bắt đầu có cảm giác đau âm ỉ. Thời điểm này, bạn nên hạn chế những hành động gây tác động đến răng như súc miệng, ăn đồ ăn cứng…

Cảm giác đau sau quy trình nhổ răng số 6
Khoảng từ 2-3 ngày sau là lúc nướu xung quanh bắt đầu bị tấy đỏ. Cảm giác đau lúc này sẽ rõ rệt hơn trước do những tác động trong quy trình nhổ răng số 6.
Răng số 6 có cấu trúc chân răng tương đối lớn, vì thế cảm giác đau nhiều hơn so với các răng ít chân như răng cửa hoặc răng nanh. Song cơn đau kéo dài nhất cũng chỉ kéo dài khoảng 5 ngày.
Sau 1 đến 2 tuần kể từ thời điểm nhổ răng, các mô ở lợi đã gần như được phục hồi hoàn toàn và đi vào ổn định cho các hoạt động thường ngày. Lúc này huyệt răng được đóng kín nên không còn bất kỳ cảm giác đau đớn nào cho khách hàng.
Tuy nhiên tùy vào cơ địa, độ tuổi cũng như thói quen ăn uống, sinh hoạt của khách hàng mà dẫn đến việc nhổ răng số 6 có đau hay không, thời gian đau trong bao lâu cũng khác nhau.
Tác hại khi mất răng số 6
Đặc điểm nổi trội của những chiếc răng vĩnh viễn là không thể nào mọc lại được. Do đó, nếu sau khi thực hiện quy trình nhổ răng số 6 mà không thực hiện trồng lại hay chỉnh nha thì sẽ mang lại một số tác hại sau:
Gia tăng áp lực của việc ăn nhai đối cho các răng khác: khi răng số 6 không còn nữa, những răng khác bắt buộc phải đảm nhận nhiệm vụ nghiền thức ăn. Do đó, những chiếc răng xung quanh sẽ dễ bị yếu dần, vì cấu tạo ban đầu của chúng không phù hợp với chức năng này.

Các tác hại khi mất răng số 6
Một phần gây ảnh hưởng đến hệ tiêu hóa: vai trò chính mà răng số 6 và số 7 đảm nhiệm là nghiền nát thức ăn. Cho nên khi nhổ răng số 6 xong thì răng số 7 sẽ phải một mình nhận thêm trách nhiệm cho việc ăn nhai. Từ đó, thức ăn sẽ không được nghiền kỹ trước khi xuống dạ dày, gián tiếp tạo nên “gánh nặng” cho hệ tiêu hóa.
Làm xô lệch răng: mất răng số 6 còn tạo ra một khoảng thưa đáng kể trên khung hàm, khiến các răng xung quanh đó mất chỗ dựa và lực nâng đỡ, dẫn tới việc răng bị đổ nghiêng hay mọc xiêu vẹo.
Xem thêm: Nhổ răng ăn gì để nhanh lành và hạn chế đau nhức?
Các giải pháp sau khi nhổ răng số 6
Sau khi nhổ răng 6, nếu để lâu sẽ dẫn đến tình trạng tiêu xương hàm, ảnh hưởng lớn đến các răng lân cận. Do đó, các bác sĩ thường khuyến khích khắc phục tình trạng mất răng càng sớm càng tốt.

Một số giải pháp khắc phục khi mất răng số 6
Trồng răng giả là một giải pháp được đưa ra nhằm khắc phục tình trạng mất răng số 6. Hiện nay, trồng răng implant được áp dụng khá phổ biến, cho độ bền và khả năng ăn nhai thoải mái nhất.
Bên cạnh băn khoăn nhổ răng số 6 bao nhiêu tiền, các câu hỏi khác như quá trình nhổ răng ra sau, có gây đau, hay những tác hại khi thiếu răng số 6 cũng đã được chúng tôi giải đáp cho các bạn trong bài viết này. Nếu còn những thắc mắc, bạn hãy trực tiếp liên hệ Nha khoa Nhân Tâm để được giải đáp trực tiếp.




