Nguyên nhân gây bệnh nha chu và các biện pháp phòng tránh
Nha chu là tổ chức bao gồm xương ổ răng, mô nướu và các dây chằng quanh răng, giúp răng chắc khỏe, đứng vững trên cung hàm và được bảo vệ một cách tốt nhất. Hãy cùng tìm hiểu về nguyên nhân và cách phòng tránh bệnh lý về nha chu trước khi nói tới người bệnh nha chu có trồng răng Implant được không nhé.
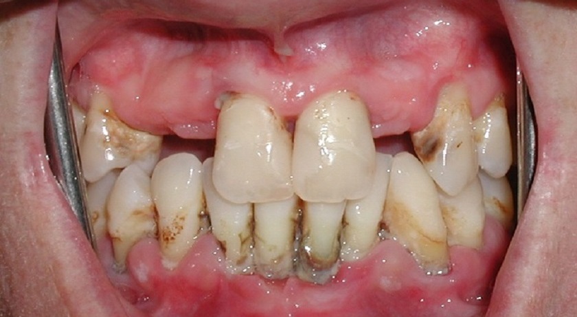
Khi mắc bệnh về nha chu, nướu của bạn sẽ sưng tấy, có hiện tượng tụt lợi, tiêu xương ổ răng, chảy máu chân răng, lung lay răng. Bệnh lý này nếu không chữa trị kịp thời có thể dẫn đến mất răng, ảnh hưởng lớn tới sinh hoạt hàng ngày.

Các nguyên nhân chủ yếu gây nên bệnh nha chu bao gồm:
- Cao răng, mảng bám tích tụ trên răng lâu ngày không được làm sạch tạo ra môi trường thuận lợi cho vi khuẩn sinh sôi, tấn công và làm hư hại các tổ chức nha chu.
- Làm sạch răng không đúng cách khiến vi khuẩn phát triển trong khoang miệng.
- Người mắc sâu răng không chữa trị kịp thời làm vi khuẩn tại mô răng tấn công nướu và gây viêm.
- Phụ nữ trong giai đoạn thai kỳ, nội tiết tố bị suy giảm, khả năng miễn dịch kém, dễ mắc phải các bệnh nha chu.
- Bệnh nha chu cũng có thể xảy ra do hút thuốc lá.
Vậy nên, để phòng tránh và hạn chế nguy cơ mắc bệnh nha chu, bạn cần tạo cho mình thói quen chăm sóc răng miệng hàng ngày và đúng cách. Ngoài ra, cần tới phòng khám răng để kiểm tra răng miệng định kỳ, phát hiện sớm các bất thường nếu có và điều trị kịp thời.
Bị nha chu có trồng răng implant được không?
Nếu bạn đang gặp phải các bệnh lý về nha chu thì đừng lo lắng quá. Các bác sĩ sẽ giúp bạn chữa trị dứt điểm trước khi lên kế hoạch phục hình răng với Implant. Trước khi thực hiện cấy răng Implant, bạn sẽ được thăm khám, đánh giá tình trạng bệnh lý để có hướng xử lý phù hợp.
Nếu chỉ viêm nha chu mức độ nhẹ, bác sĩ sẽ giúp bạn cạo vôi răng nhằm bảo vệ và hồi phục răng khỏe mạnh bình thường. Nhưng nếu tình trạng bệnh nghiêm trọng hơn và có nguy cơ gây mất răng thì sẽ cần điều trị theo hướng khác và cần nhiều thời gian hơn.
Người mắc bệnh nha chu nặng nếu muốn trồng răng Implant thì cần:
- Ghép xương: Bệnh lý nha chu ở mức độ nghiêm trọng có thể dẫn đến mất răng và tiêu xương hàm. Lúc này, thể tích xương không còn đủ để cấy trụ Implant vào nên cần phải ghép thêm xương.
- Nâng xoang: tương tự như biện pháp ghép xương, nâng xoang cũng là một biện pháp giúp khách hàng đảm bảo đủ các điều kiện để tiến hành trồng răng Implant.

Như vậy, bệnh nha chu có trồng răng Implant được không? Đáp là có hoàn toàn có thể sau khi bệnh lý đã được điều trị dứt điểm. Việc chữa trị trước khi cấy ghép sẽ giúp phòng tránh nhiễm khuẩn, các biến chứng phức tạp sau cấy ghép và tăng tỉ lệ thành công của ca phẫu thuật.
Xem thêm: Bao nhiêu tuổi thì trồng răng Implant được?
Tuy nhiên, để cho việc trồng răng implant đạt được hiệu quả cao nhất, khách hàng cần phải điều trị dứt điểm bệnh nha chu trước khi trồng răng implant. Sau đây sẽ là quy trình điều trị cho người bị bệnh nha chu.
Thăm khám và tư vấn
Trước khi thực hiện cấy ghép Implant cho người bị nha chu, Bác sĩ sẽ tiến hành kiểm tra tình trạng răng miệng và các bệnh lý có liên quan của khách hàng.
Ngoài ra, khách hàng sẽ được chụp phim X-Quang để kiểm tra cấu trúc và tình trạng xương hàm có đầy đủ để trồng răng implant không.
Lên kế hoạch điều trị bệnh viêm nha chu

Bác sĩ sẽ kiểm tra tình trạng nặng nhẹ của nha chu
Với trường hợp khách hàng bị nha chu, tùy theo tình trạng của bệnh mà Bác sĩ có những chỉ định phù hợp nhất.
Giai đoạn viêm nha chu nhẹ
Khách hàng sẽ được tư vấn làm sạch, cạo vôi răng và điều trị viêm nướu để bảo vệ và phục hồi sức khỏe răng miệng cho khách hàng bị viêm nha chu trước khi tiến hành implant.
Giai đoạn viêm nha chu nặng
Khi bệnh có biểu hiện nặng, bác sĩ có thể chỉ định khách hàng thực hiện:
Phẫu thuật nha chu: để điều trị triệt để và hiệu quả nhất, ngăn ngừa các hiện tượng nhiễm trùng và các biến chứng nguy hiểm sau khi trồng răng implant.
Ghép xương hàm: Khi mất răng do viêm nha chu gây ra, khách hàng có thể mắc phải tình trạng tiêu xương hàm. Khi đó, độ dày của xương không còn đủ để thực hiện cấy ghép implant, khách hàng sẽ được bác sĩ chỉ định phải ghép xương hàm để có thể khắc phục tình trạng này. Sau đó, mới đủ điều kiện tiến hành đặt trụ implant.
Nâng xoang: Đối với trường hợp viêm nha chu nặng xảy ra ở hàm trên, khách hàng có thể được bác sĩ kiểm tra xoang hàm và chỉ định nâng xoang để đạt đủ điều kiện thực hiện cấy ghép Implant.
Sau điều trị bao lâu có thể cấy ghép ghép implant?
Câu trả lời là còn phụ thuộc vào tình trạng bệnh của khách hàng. Cụ thể:
Ở mức độ nhẹ
Thời gian lấy cao răng thông thường sẽ kéo dài từ 15 đến 30 phút, dựa vào mức độ vôi răng bám nhiều hay ít của mỗi khách hàng. Sau khi thực hiện lấy vôi răng, khách hàng cần đến bác sĩ một lần nữa để chắc chắn rằng bệnh đã không còn. Đến lúc đó, bác sĩ mới có thể thực hiện trồng răng implant cho người bị viêm nha chu. Quá trình theo dõi này có thể sẽ diễn ra trong khoảng 1 đến 2 tuần.

Bác sĩ cần lấy cao răng và chắc chắn bệnh đã không còn
Thực tế, nếu khách hàng có thói quen lấy vôi răng định kỳ mỗi 6 tháng 1 lần sẽ giúp cho quá trình được diễn ra nhanh chóng và hiệu quả hơn. Ngoài ra, công nghệ loại bỏ cao răng bằng sóng siêu âm cũng sẽ hạn chế tối đa các tình trạng tổn thương đến răng nướu và giảm thiểu cảm giác ê buốt cho khách hàng.
Xem thêm: Trồng răng Implant mất bao lâu thời gian?
Ở mức độ nặng
Sau khi thực hiện phẫu thuật viêm nha chu, bác sĩ sẽ chỉ định cho khách hàng những loại thuốc phù hợp để giảm đau, bên cạnh đó hướng dẫn cách thức chăm sóc, vệ sinh răng miệng giúp vết thương mau lành. Bên cạnh đó, khách hàng cũng sẽ được lên lịch hẹn tái khám trong vòng từ 1 đến 2 tuần để bác sĩ có thể kiểm tra tình trạng hồi phục cũng như cắt tháo chỉ nếu cần. Sau đó khi hoàn toàn dứt điểm bệnh nha chu, bác sĩ mới có thể tiến hành cấy ghép implant cho khách hàng.
Lợi ích khi cấy ghép implant cho người bị nha chu
Ngăn ngừa tình trạng tiêu xương: Tiêu xương là một trong những vấn đề thường xảy ra đối với trường hợp bị nha chu nặng. Do đó, cấy ghép Implant cho người bị nha chu là giải pháp hữu hiệu nhất.

Phòng tránh tình trạng tiêu xương hàm
- Phòng tránh tiêu xương: Xương hàm tự tiêu hủy là vấn đề rất hay xảy ra ở người mất răng và viêm nha chu nặng. Vậy nên trồng răng Implant sẽ là giải pháp hữu hiệu để ngăn chặn hiện tượng này.
- Hạn chế xô lệch hàm: Sau khi xương tiêu biến, cung hàm có thể bị xô lệch và tác động xấu tới chức năng ăn nhai, giao tiếp cũng như sinh hoạt hàng ngày. Implant nha khoa sẽ giúp bạn ngăn chặn tình trạng này và đem lại cho bạn hàm răng đều đẹp tự nhiên.
- Phòng tránh các bệnh lý khác: Các bệnh lý nha chu có thể lay lan nên cần điều trị kịp thời. Biện pháp trồng răng Implant có thể giúp các răng còn lại trên cung hàm không bị ảnh hưởng bởi chứng bệnh này.
Để biết được bị nha chu có trồng răng implant được không cũng như mức độ an toàn, thành công ra sao, bạn nên tham khảo và chọn lựa những trung tâm nha khoa gần đây với đội ngũ bác sĩ chuyên môn cao, nhiều kinh nghiệm trong việc điều trị implant và có trang thiết bị hiện đại. Hy vọng bài viết trên đây sẽ giúp bạn an tâm hơn và sớm có được một hàm răng khỏe mạnh, trắng sáng.





